Cookie Consent byPrivacyPolicies.com2 questions sur les pulpo de dents définitives... - Eugenol

2 questions sur les pulpo de dents définitives...

024 vownvo - Eugenol
annie

07/09/2008 à 00h39

ploc Ecrivait:
-------------------------------------------------------
> Bjorn Ecrivait:
> --------------------------------------------------
> -----
> > ploc Ecrivait:
> >
> --------------------------------------------------
>
> > -----
> > >
> > > et ce n'est pas de la resine que je mets mais
> > du> > compo
> >
> > Trop élitiste pour moi eugenol.
>
> tu as raison je pensais "resine acrylique"(si,si
> je rencontre encore des dents obturées à la resine
> auto) et non charges minérales noyées dans une
> matrice organique.
>
>
ça ne change rien au problème,Ploc!



Images eb1m5g - Eugenol
tonio

08/09/2008 à 22h07

ploc Ecrivait:
-------------------------------------------------------
> tonio Ecrivait:
> --------------------------------------------------
> -----
> >
> > Je vois assez souvent ce genre de "technique
> > sandwich" à base d'eugénate (ou IRM) voir de
> dycal> sous des composites. bilan: 100% de
> récidives sur> ces composites.
> > Par contre, sous les amalgames, c'est souvent
> > clean.
>
> >
> conclusion hâtive et intolérante
> ne serait ce pas parceque les compos sont plus
> difficiles à gérer au niveau de l'etancheité ?
> tout est question de technique mise en oeuvre,je
> pense,(epaisseur et de la largeur d'email laissé
> pr coller par ex)
>
>
>
>
réponse hâtive et fondée uniquement sur un ressenti.
Trouve-moi un seul article valable scientifiquement qui recommande cette procédure clinique. Que ce soit en formation, dans des revues ou encore sur Pubmed, je n'ai jamais vu une telle recommandation.


Gonzo k0qhwz - Eugenol
matten

08/09/2008 à 22h53

Je viens de lire dans les ROS l'article de Stephane et de Berdhal / Machtou (et d'autres que j'oublie).

Simple mais efficace, il repose les bases et remet au jour certains points (Ca(oh)2/mta) meme si ca meriterait un bouquin entier en fait.

Je crois que d'ici 50 ans on verra notre metier d'une autre facon grace a ces personnes.


Stéphane

09/09/2008 à 01h34

au moins un qui qurq eu le courqge de le lire... jusqu'au bout !

> Je crois que d'ici 50 ans on verra notre metier d'une autre facon grace a ces personnes

Pourquoi 50 ans ? tu essaies de te rassurer ??


Spriford

09/09/2008 à 18h00

matten Ecrivait: Je viens de lire dans les ROS l'article de Stephane et de Berdhal / Machtou (et d'autres que j'oublie).

Je ne sais pas si c'est possible, mais aurais-tu un moyen de nous l'envoyer? Pour dire d'agrémenter le post...merci!


Gonzo k0qhwz - Eugenol
matten

10/09/2008 à 02h05

Stephane a peut etre un pdf ou equivalent a disposition...


Imagescanx9uel x9b7id - Eugenol
newone'

16/09/2008 à 15h27

complement d'info

D l ovwyz0 - Eugenol

Gonzo k0qhwz - Eugenol
matten

16/09/2008 à 15h56

La ça devient rentable faire de l'endo:
deux coups de fraise congé dans les entrees et hop: ca fait 83€ mme.


Spriford

16/09/2008 à 16h40

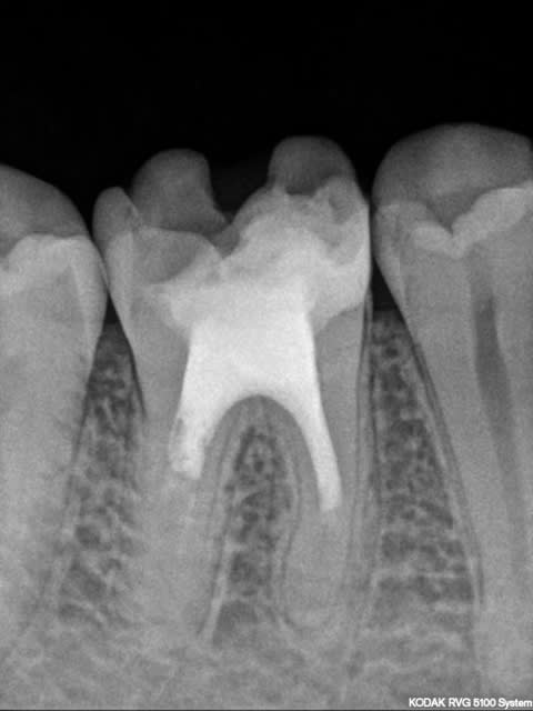
J'ai demandé au patient hier de récupérer son dossier chez ses 2 dentistes précédents . J'aimerais bien savoir à quel âge cette dent a été traitée.

La radio RVG de Newone'(merci pour elle!) nettement plus précise que la mienne confirme que la dent se porte plutôt bien , non ?


Spriford

19/09/2008 à 21h28

matten Ecrivait: Stephane a peut etre un pdf ou equivalent a disposition...


Effectivement, il avait, et il a eu la gentillesse de me l'envoyer.
Et pour lui prouver que je suis attentif à la biologie pulpaire, mais côté clinique, voici une dent de lait (de mon fils !!!) enlevée il y a déjà qq années, mais je l'avais gardée pour sa dentine en regard de l'amalgame.


Dentine tertiaire r4usvz - Eugenol

Squash u44zd8 - Eugenol
steph

19/09/2008 à 22h44

Tu parles d'un fétichiste!!!!


12