Cookie Consent byPrivacyPolicies.comavenir de la dent? - Eugenol

avenir de la dent?

gribouille

08/09/2008 à 17h12


Patiente ayant traversé sa véranda en mars: choc sur la 11.
Revue par une consoeur pendant ma longue absence (perte de la contention que je lui avais placé)
Je la revois auj:
légère mobilité
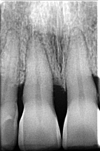
Mais radiologiquement, je suis dubitatif:

http://img75.imageshack.us/my.php?image=planonsn1.jpg

Votre avis?

Plan on t5i7n4 - Eugenol

024 vownvo - Eugenol
annie

08/09/2008 à 19h11

que donnent les tests de vitalité pulpaire?


gribouille

08/09/2008 à 20h11

Positif, mais la lamina dura en mésial m'inquiète


Img 1392 s73srk - Eugenol
Guttaman

11/09/2008 à 10h57

Il peut s'agir d'un début de résorption externe. A suivre de près.


gribouille

22/09/2008 à 17h28

Merci d'avoir partagé vos avis.
J'ai revu la patiente auj.
Le test de vitalité est toujours positif et surtout avec une réponse identique sur 11 et 21.
Radiologiquement, pas d'évolution notable. Une incidence un peu plus mésiale me laissse entrevoir une lamina dura bien délimitée sur un bon 1/3 cervical du desmodonte mésial.
Je la revois dans un mois...

Plancon2 tsat92 - Eugenol
Plan on2 g1cses - Eugenol