Cookie Consent byPrivacyPolicies.comimplants Biotech ou autre marque française pour débuter en - Eugenol

implants Biotech ou autre marque française pour débuter en implanto

Dr.Quenotte

12/09/2008 à 13h51

Bonjour à tous,

Ayant décidé de me lancer dans l'implantologie, et souhaitant privilégier des marques françaises (je suis chauvine...), je voulais connaitre vos avis sur des marques comme Biotech (International) - ils sont dans ma région.

Qui saurait m'en dire plus sur leurs produits? mais aussi sur leurs formations (CIRF)?

Est-ce une marque fiable pour débuter? avez-vous d'autres marques à me conseiller?

merci d'avance

Béa


Péach

12/09/2008 à 14h04

pour ma part, je suis sur TBR depuis 18 ans, et c'est la première marque française apparue sur le marché, je crois; les débuts ont été un peu décevant (il y a 15 ans) pour les transferts, mais aujourd'hui, je suis très satisfait; en plus, ils ne sont pas trop cher; l'implant de base (2 temps avec vissage manuel) coûte 189 €, celui que j'utilise le plus souvent a une bague zircone et se visse au mico moteur, il coûte 249€


Dr.Quenotte

12/09/2008 à 14h09

Merci de m'avoir répondu aussi rapidement.
je vais aller me renseigner sur TBR. Ont-ils un organisme de formation?


Péach

12/09/2008 à 15h50

oui, ça dépend des régions, ils ont un site : http://www.tbr-group.com/france/index.html


Photo pluton1b h9n4ea - Eugenol
pluton

12/09/2008 à 22h00

moi le TBR avec la bague zircone ne m'a jamais séduit...le zircone est une céramique...et c'est fragile...et quand on sait que les propriétés mécaniques de la zircone diminuent de 50% en 3 ans...le "reste" du col en titane le parait fin fin fin....
pour débuter aujourd'hui j'aurais plutôt opté pour du MIS ou du tekka par ex...


Voltaire dali btdyqx - Eugenol
Independentiste

12/09/2008 à 22h39

Quel est le rapport entre le début de la pratique implantaire et le choix de la marque du système?


Logo vuaztn - Eugenol
mac

12/09/2008 à 23h01

pluton Ecrivait:
-------------------------------------------------------
et quand on sait que les propriétés
> mécaniques de la zircone diminuent de 50% en 3
> ans...l


ça m'intéresse, tu peux en dire plus.


elliot

13/09/2008 à 00h52

Tekka, société très active et innovante: bientôt un implant à connexion conique interne et la semaine prochaine le "Krestal": http://www.tekka.fr/index.php?lang=fr&tekka=news&page=une3


Photo pluton1b h9n4ea - Eugenol
pluton

13/09/2008 à 01h34

mac Ecrivait:

> ça m'intéresse, tu peux en dire plus.
>


j'en ai parlé le WE dernier avec Patrick Exbrayat...une étude à été faite sur ce sujet par le labo de biomat de Lyon (étude qu'il a vraisemblablement supervisé...au mini...)...par contre je ne sais pas si çà à été publié...
Toujours est-il que les résultats sont plutôt alarmant sur le vieillissement de ces matériaux en bouche...et il s'attendent à un phénomène de casse assez conséquent vu la mode actuelle du pilier Zircone...un peu comme il y a quelques années avec l'hydroxyapatite...


Dr.Quenotte

16/09/2008 à 19h48

Les formations, tout simplement
Autant maitriser un système complet. Donc une marque.
Pourquoi vous posez des marques différentes?


Dr.Quenotte

16/09/2008 à 19h55

elliot Ecrivait:
-------------------------------------------------------
> Tekka, société très active et innovante: bientôt
> un implant à connexion conique interne et la
> semaine prochaine le "Krestal":
> http://www.tekka.fr/index.php?lang=fr&tekka=news&p
> age=une3
>
>

Cette innovation existe depuis déjà longtemps chez d'autres d'après ce que je sais, non?



Dr.Quenotte

16/09/2008 à 19h57

pluton Ecrivait:
-------------------------------------------------------
> moi le TBR avec la bague zircone ne m'a jamais
> séduit...le zircone est une céramique...et c'est
> fragile...et quand on sait que les propriétés
> mécaniques de la zircone diminuent de 50% en 3
> ans...le "reste" du col en titane le parait fin
> fin fin....
> pour débuter aujourd'hui j'aurais plutôt opté pour
> du MIS ou du tekka par ex...


c'est bon à savoir!
je vous remercie toutes et tous pour ces quelques informations.


elliot

16/09/2008 à 21h24

je disais Tekka société innovante....de vraies innovations seront présentées à l'adf.


Photo pluton1b h9n4ea - Eugenol
pluton

17/09/2008 à 01h39

Dr.Quenotte Ecrivait:
-------------------------------------------------------

> Autant maitriser un système complet. Donc une
> marque.
> Pourquoi vous posez des marques différentes?

tu ne doit pas te limiter dans ton choix d'implant...bien choisir son système est important pour ton avenir dans l'implantologie...tous les systèmes ne font pas tout...et il y a souvent des compromis à faire...mais généralement, les systèmes les plus connus (et souvent les plus cher...) sont les plus polyvalents et offrent plusieurs solutions prothétiques pour un cas donné...ce sont les plus complets...
Maintenant, ce qui prime dans le choix...c'est l'ergonomie...qui doit te correspondre, avec ton sens tactile pour la pose de l'implant...puis pour la prothèse. C'est pourquoi tu trouves tant de marques, de protocoles, etc..., parce que chaque implanto a ses priorités...
Le mieux est d'essayer de voir et comparer tous les systèmes que tu peux (sur un congrès comme bientôt l'ADF par ex)avant de faire ton choix...

Nous, nous l'avons déjà fait...parfois en tâtonnant...pour arriver au système qui nous correspond le mieux...mais les brevets tombant régulièrement dans le domaine publique, de nouvelles "petites" sociétés (comme celles que nous t'avons indiqués) lancent des produits très intéressants qui auraient peut être fait changer notre choix si elles avaient été plus présentes à ce moment


Dr.Quenotte

17/09/2008 à 13h16

pluton Ecrivait:
-------------------------------------------------------
> Dr.Quenotte Ecrivait:
> --------------------------------------------------
> -----
>
> > Autant maitriser un système complet. Donc une
> > marque.
> > Pourquoi vous posez des marques différentes?
>
> tu ne doit pas te limiter dans ton choix
> d'implant...bien choisir son système est important
> pour ton avenir dans l'implantologie...tous les
> systèmes ne font pas tout...et il y a souvent des
> compromis à faire...mais généralement, les
> systèmes les plus connus (et souvent les plus
> cher...) sont les plus polyvalents et offrent
> plusieurs solutions prothétiques pour un cas
> donné...ce sont les plus complets...
> Maintenant, ce qui prime dans le choix...c'est
> l'ergonomie...qui doit te correspondre, avec ton
> sens tactile pour la pose de l'implant...puis pour
> la prothèse. C'est pourquoi tu trouves tant de
> marques, de protocoles, etc..., parce que chaque
> implanto a ses priorités...
> Le mieux est d'essayer de voir et comparer tous
> les systèmes que tu peux (sur un congrès comme
> bientôt l'ADF par ex)avant de faire ton choix...
>
> Nous, nous l'avons déjà fait...parfois en
> tâtonnant...pour arriver au système qui nous
> correspond le mieux...mais les brevets tombant
> régulièrement dans le domaine publique, de
> nouvelles "petites" sociétés (comme celles que
> nous t'avons indiqués) lancent des produits très
> intéressants qui auraient peut être fait changer
> notre choix si elles avaient été plus présentes à
> ce moment

Merci Pluton
L'ADF sera effectivement une bonne occasion d'aller à la rencontre de ces marques et de leurs systèmes. Je vais tâcher de m'organiser en conséquence!
>



Dr.Quenotte

17/09/2008 à 13h18

elliot Ecrivait:
-------------------------------------------------------
> je disais Tekka société innovante....de vraies
> innovations seront présentées à l'adf.


Des infos avant l'heure? je suis curieuse!


davemarss

17/09/2008 à 14h04

le pb avec biotech c'est que c une conenctique biotech.


Dr.Quenotte

17/09/2008 à 14h35

davemarss Ecrivait:
-------------------------------------------------------
> le pb avec biotech c'est que c une conenctique
> biotech.


c'est à dire?
Les autres systèmes propose des connectiques "universelles"?


Péach

17/09/2008 à 16h30

pluton Ecrivait:
> moi le TBR avec la bague zircone ne m'a jamais séduit...le >zircone est une céramique...et c'est fragile...et quand on sait que >les propriétés mécaniques de la zircone diminuent de 50% en 3 >ans...le "reste" du col en titane le parait fin fin fin....

dr quenotte Ecrivait:
> c'est bon à savoir! je vous remercie toutes et tous pour ces >quelques informations.

et si les 50% qui restent étaient encore très largement suffisant pour que la bague en zircone résiste? ;-)
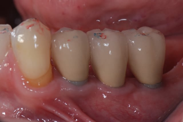
je pose des TBR bague zircone depuis.... 5 ans ?, TBR en fabrique depuis un peu plus longtemps (7 an?), et je ne vois toujours rien venir; en tout cas, comme l'article n'est donc peut être pas encore publié, j'attendrai sa publication, et sa confirmation par d'autres publications....et j'attendrai aussi de voir si les 50% sont réellement inférieurs ou supérieurs aux besoins
pour le moment, je préfère voir ça (pièce jointe) qu'une CCM sur un anneau de métal; mais comme on dit, c'est mon choix ;-)
au fait, les prothèses en zircone sont en bouche depuis combien d'année?
et puis, j'ai aussi un bridge sur implant zircone pur (Sandhaus) posé en 1992 qui est toujours en place et qui, avec le temps, a pourtant un important porte-à-faux(PJ N°2)

Dsc 0348 xnmbs7 - Eugenol
Bridge z uf8zvj - Eugenol

Photo pluton1b h9n4ea - Eugenol
pluton

17/09/2008 à 17h45

Encore une fois, et comme je l'ai expliqué à Dr.Quenotte, si tu es en harmonie avec ton système...
Maintenant, moi je n'ai jamais pu accrocher avec ce système TBR...et je préfère un implant crestal quitte à céramiser mon pilier...;-)


Péach

17/09/2008 à 20h39

je suis d'accord avec toi, pluton, chacun fait avec le système qui fonctionne et qu'il choisit, et c'est bien le principal ;-)