Cookie Consent byPrivacyPolicies.comEt si qu’on restaurait les rapports canins ! - Eugenol

Et si qu’on restaurait les rapports canins !

bjc

22/09/2008 à 05h02

Sexe : F
Age 45 ans

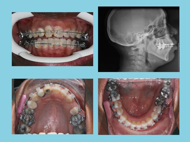
Debut 1 vrmona - Eugenol

bjc

22/09/2008 à 05h03

suite

au lieu d'extraire une Inc. Inf.

Fin 1 ubh56a - Eugenol

bjc

22/09/2008 à 05h04

Augmentation de longueur d’arcade = 15 mm.

Mesures 1 fi7ewx - Eugenol

isaïe

22/09/2008 à 10h06

Beau résultat. L'élargissement est impressionnant. On peut lire des résultats similaires chez Planas, mais traités en amovible. Planas ne fait jamais référence à une contention collée, si les souvenirs de ma lecture sont bons.
Bjc, si tu ne mets pas de contention, tu risques un dérangement du résultat, ce qui serait dommage, mais à quoi l'attribuerais-tu ?


Amibien

22/09/2008 à 10h52

tu es vraiment retors toi (:-)); c'est très Jésuite cette approche... mais ça doit être le bon langage quand même.

mes amitiés wallonnes à la Flandre du milieu !


Cuisinier2 vnbbxx - Eugenol
jeff2

22/09/2008 à 11h02

Quelle était la demande de la patiente?
esthétique je pense..
Pouquoi parler de restaurer un rapport canin? Il n'existait pas avant?
Comment vas tu réapprécier, ce nouveau rapport que tu vas créer, avec du papier bleu?
Si la patiente avant ton intervention n'avait aucune plainte et qu'apres elle en a que fera tu?


Amibien

22/09/2008 à 13h09

Il faut surtout se demander si le traitement ortho a été facile ? combien de temps a-t'il duré ? Le niveau de nervosité de ce patient quel est-il ? Dort-il bien la nuit ? A-t'il eu es maux de tête pendant le traitemnt ? A-t'il eu des problèmes de cervicalgies ou de douleurs dans les épaules pendan le traitement, quelle est le bilan de fonctionnalité des cochlées actuellement ? La récidive est à craindre à moins que quelque chose n'ait changé chez ce patient au niveau psy et au niveau impact de l'occlusion sur les cochlées...


bjc

22/09/2008 à 15h12

isaïe:
"Bjc, si tu ne mets pas de contention, tu risques un dérangement du résultat, ce qui serait dommage, mais à quoi l'attribuerais-tu ?"

J’aimerai bien essayer de ne pas mettre de contention, pour voir, mais ce serait trop risqué
il faudrait que je sois encore à la Fac. !!!
donc contention avec stripping pour la consolidation de l’os néoformé
quant à la corticale, on ne sait pas encore grand chose, les grosses têtes travaillent dessus
tout ce qu'on sait au vu des scanners, c'est qu'elle est tjs là. Pourquoi, alors qu'elle n'est pas vascularisée

on attend (Damon, Voudouris, Roncone...)

Naoa a peut être une idée

@+ Bjc.




bjc

22/09/2008 à 15h37

Rien qu'à la PANO., on peut voir que les rapports 22/33 sont modifiés

@+ Bjc.

Pano 1 vyca9l - Eugenol

bjc

22/09/2008 à 15h40

"Si la patiente avant ton intervention n'avait aucune plainte et qu'apres elle en a que fera tu?"

c'est une approche qui en vaut une autre

@+ Bjc.


bjc

22/09/2008 à 15h43

"Il faut surtout se demander si le traitement ortho a été facile ?"

dans l'état actuel de nos techniques, oui, ça a été facile, 2 ans, bien que maintenant, je sais que j'aurais pu gagner 6 mois
encore qq. mois avant la contention!
et je te rassure, elle dors comme un bébé

@+ Bjc.


bjc

22/09/2008 à 17h29

En dehors du résultat fonctionnel, elle se mordait le palais, et esthétique qui était aussi la demande du patient,
je me demande dans quelle mesure j’ai prolongé ou pas la durée de vie de ses dents (dans sa bouche)
et enlevé du boulot aux implantologistes
il ne faut pas oublier que notre longévité ne cesse d’augmenter,
j’ai vu un cas présenté en Conf., ou la patient à 82 ans !!!

@+ Bjc.