Cookie Consent byPrivacyPolicies.comL’ortho est-elle utile ? - Eugenol

L’ortho est-elle utile ?

bjc

22/09/2008 à 17h39

Sexe :F
Age 45 ans

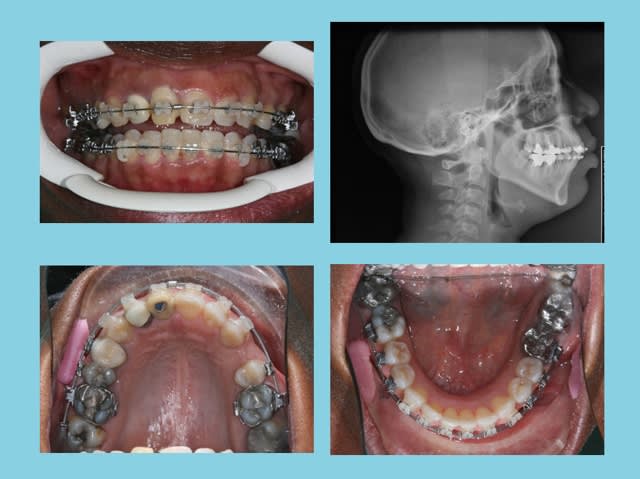
Debut 1 djbdlg - Eugenol

bjc

22/09/2008 à 17h41

PHOTOS

Debut 1 zymdmr - Eugenol
Fin 1 xfreq4 - Eugenol

bjc

22/09/2008 à 17h42

SUITE

Mesures 1 ev0m2u - Eugenol
Pano 1 whnhsx - Eugenol

Mmmm

22/09/2008 à 20h02

Bjc, c'est pas très honnete ce que tu as fait....si tu transfère un sujet transfère le en entier.

Pour tous les autres, j'ai posté en ortho mais j'aimerais bien avoir vos opinions, voici le message que j'ai posté:

Bonjour, tout d'abord mon but n'est pas de lancer une polémique mais je me pose quelques questions après plusieurs années d'exercice.
Je voudrais avoir vos ressentis vis à vis des ttt multibague:
- pensez vous qu'ils ont un réel intérêt thérapeutique ( avec une stabilité après le ttt) ou qu'ils sont juste un moyen de placer le système manducateur dans une position artificielle que l'on doit maintenir à vie?
- traiter à l'adolescence ou à l'âge adulte des petites Cl II, des petits encombrements a-il un intérêt?
- que pensez des extractions? se justifie -t-elles pour faire un ttt d'ortho?

Mon but n'est vraiment pas de polémiquer, je suis ortho et travauille en multibague tous les jours, mais je me pose quand même des questions sur l'utilité "réelle" de mon métier ( et je ne parle bien sur pas des cas de dents incluses que l'on met sur l'arcade, je ne dis pas que tous les ttt sont inutiles...)
Merci de vos avis




bjc

22/09/2008 à 20h22

"Bjc, c'est pas très honnete ce que tu as fait....si tu transfère un sujet transfère le en entier."

je n'ai pas mis la photo en cours de ttt., mais elle n'est parlante que pour des orthos,
ce n'est pas de la malhonnête, c'est pour alléger le sujet
les autres photos sont en ODF. pour ceux que ça intéresserait

cool ...