Cookie Consent byPrivacyPolicies.comOn ne les voit pas toujours à 2 ans - Eugenol

On ne les voit pas toujours à 2 ans

bjc

27/09/2008 à 13h27

Salut

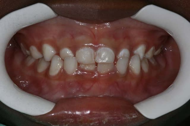
Fillette de 5 ans
Vous feriez quoi ?

@+ Bjc.

5 ans zig0id - Eugenol

trismus

27/09/2008 à 14h13

Mon cher bjc,
Là, c'est un casse tête, à 5 ans difficile de leur faire accepter un appareillage. Pourtant, plus tôt nous interviendrons et mieux s'est pour le patient.
Dans ce cas, je tente une SB pour antémorphose à porter la nuit...en fait je ne pense pas qu'il y ait une recette miracle, cela dépend trop du gamin et de l'attitude des parents.
Et toi, comment tu t'en sors dans ces cas?


lama

27/09/2008 à 14h15

gouttiere souple 1er age, temps de port à determiner selon enfant ; à cet age cela peut sauter tres vite et facilement


Cuisinier2 vnbbxx - Eugenol
jeff2

27/09/2008 à 14h27

Sb ou truc comme ca, tout depends de la participation de l'enfant
de toute facon l'objectif c'est en priorité, cet inverénet ca BJC tu l'as bien compris

perso sur ma,puce de 5 ans, j'ai commence les filtres, sinon elle commence a porte un sb pour comencer a corriger sa petite classe2 qui ne m'affole pas, vu son visage carré,

je pense que dans ton cas, BJc, rien ne t'inderdit de verifier si son occlusion est neutre, car de toute facon son inversé vient de quelque part


bjc

27/09/2008 à 15h25

elle est latéralisée au niveau de la langue, mais pas sa Md.
l’occlusion de ce cas n’est pas neutre,

elle mange comme un caïman


bjc

27/09/2008 à 15h40

cher lama

"gouttiere souple 1er age, temps de port à determiner selon enfant ; à cet age cela peut sauter tres vite et facilement"


c'est quand m drôlement vérouillé!


bjc

27/09/2008 à 15h45

une gouttière dans un cas comme celui-là entrainera des mouvements d'ingression
je ne suis pas que ce soit excellent pour le germes des permanentes qui sont en dessous


trismus

27/09/2008 à 16h03

bjc,
Les SB, c'est magique pour lever les supras, il faut même surveiller attentivement et vite arrêter avant que le bout de chou ne se retrouve en bout à bout incisif, voire pire...
Le pb c'est que cela agit essentiellement en vestibulant les incisives inf avec égressions molaires inf, d'où l'intérêt de l'équiplan de Planas qui lève aussi la rétroalvéolie incisive sup, mais bon...
Toi, qu'est-ce que tu préconises.
Meulages? Damon? cales composites?




isaïe

27/09/2008 à 16h25

Il y a un tas d'outils qui peuvent arriver rapidement à bout de ce problème. Même une plaque avec patins occlusaux et quelques accessoires.
L'important n'est peut-être pas là.
Cette configuration est l'aboutissement d'un dysfonctionnement musculaire dont l'origine première n'est probablement pas dentaire, c'est trop tôt. En corrigeant, et c'est indispensable, l'engrènement des dents, l'origine n'est pas prise en compte et on impose un nouveau schéma à un élément qui fait partie d'une boucle de régulation. Soyons prudents, aligner pour pouvoir montrer des photos, c'est de l'esthétique et c'est important. Remettre le patient en bonne santé, c'est autre chose.


bjc

27/09/2008 à 16h28

trismus

"Les SB, c'est magique pour lever les supras,"
Oui, sur adulte

"et vite arrêter avant que le bout de chou ne se retrouve en bout à bout incisif, voire pire..."
c’est déjà fait

Alors, des filtres ?

@+ Bjc.



Cuisinier2 vnbbxx - Eugenol
jeff2

27/09/2008 à 16h33

bjc Ecrivait:
> Alors, des filtres ?
>
Deux choses différentes
explique nous toutes tes recidives... On parlera des filtres.


trismus

27/09/2008 à 17h03

:-)))
j'ai pas le temps, c'est dommage,
à ce soir bjc.
mais en attendant, sachant comment tu fonctionnes,tu ferais mieux de nous montrer ton résultat, de nous expliquer comment tu as fait...
Nous t'applaudirons certainement, ce qui n'enlève rien à la pertinence des messages d'Isaïe et de Jeff2.


bjc

27/09/2008 à 17h11

Cher isaïe

"Cette configuration est l'aboutissement d'un dysfonctionnement musculaire dont l'origine première n'est probablement pas dentaire, c'est trop tôt."

je pense plutôt que ce sont des malpositions dentaires (éruptions décalées) qui entraînent un dysfonctionnement musculaire (hypofonctionnement en latéralité dont les Mv. sont nécessaires au développement osseux)
croissance encore et tjs.

mais, tu as peut être raison, en tout cas il faut faire qq. chose
il est bloqué, il faut le débloquer !

@+ Bjc.


chakour

27/09/2008 à 17h13

bonjour
toujours pas tenté par l'ELN alors?


lama

27/09/2008 à 17h34

gouttieres pre orthodontiques chez ortho plus , pour les petits dans un cas comme ca je les preferre aux SB ; pas d'ingression / à mon experience mais cela depend de cooperation comme pour SB


isaïe

27/09/2008 à 18h16

Chakour, personnellement c'est ce que je ferais. Mais à 5 ans on ne va pas avoir une super-collaboration avec un outil qui va le nécessiter. Alors à l'oeuf, je rajoute 2 adams sur 55 65 et des patins occlusaux et de quoi récupérer les inversions. Il faut récupérer l'inversion au plus vite, c'est le déverrouiller que nous rappelle bjc. Une fois que c'est fait, il faut évaluer le fonctionnement musculaire. C'est une erreur de penser que le déverrouillage va suffire à retrouver une fluidité musculaire correcte, cher bjc. Ce serait si simple.


Amibien

27/09/2008 à 19h34

Isaïe, il y a quelque chose que tu ne nous dis pas !


chakour

27/09/2008 à 19h37

eh non,surtout pas de crochets adams qui seraient
verrouillants dans le sens transversal,donc 2 solutions pour commencer :
soit les crochets KORN,mais difficiles à régler à cet âge
soit un appui type ressort kangourou très souple prenant un appui très lèger sur la plancher buccal,donc restant en dedans de l'arcade inf
quant au timing,il faut bien sûr intervenir dès maintenant,mais il n'y a pas non plus d'urgence immédiate,et on peut se donner le temps de laisser l'eln et la langue faire le travail en douceur en qqs mois
de plus,du fait de l'innocclusion naturelle en posture de repos,j'ai peu souvent utilisé de patins occlusaux,mais quand il le faut ,je préfère faire des collages individuels sur les DDL le tps du saut d'articulé


bjc

27/09/2008 à 20h45

Cher trismus,

Ce cas est nouveau, j’ai bien sur ma petite idée de plan de ttt.
mais est-ce que avec vos avis, je ne pourrai pas faire mieux

P.S.: non! chakour, tjs. pas d'ELN


bjc

27/09/2008 à 20h49

Comment devrait être sa denture mixte à son age ?


Cuisinier2 vnbbxx - Eugenol
jeff2

27/09/2008 à 21h30

Abrasée en denture lactéale, des diastemes antérieurs partout


bjc

27/09/2008 à 21h43

"Abrasée en denture lactéale, des diastemes antérieurs partout"

absolument, mon premier acte va être de le remettre dans l’état dentaire ou il devrait être: meulages en plusieures fois
m si les diastèmes ne créent pas, je vais libérer les mouvements de latéralité qui sont indispensables au développement des Max.

la croissance à cet age étant faible, et les engrammes très faciles à modifier, je vais le suivre avant de décider un appareillage (sans cochets pour ne pas bloquer)
on pourrait envisager un vérin, un ELN à verin !!!
mais je n’aime pas !

s’il y en a un, ce sera sans doute un Q.H.

@+ Bjc.


bjc

27/09/2008 à 22h30

oui, mais !!!

@+ Bjc.


isaïe

27/09/2008 à 22h35

Avec le recouvrement incisif, croisé ou pas, le meulage va être du massacre, je ne laisserais pas faire ça à mes patients. Je ne peux pas imaginer qu'on meule en première intention dans ce cas.
Faire retraverser les sup croisées, c'est simple avec un amovible, patins occlusaux et ça ne dure pas deux mois. Dire qu'on bloque transversalement en deux mois avec des adams, c'est une vue de l'esprit. Le Qh serait différent ? Allons, allons.
Et vous n'avez pas réglé le problème musculaire primaire, ce qui est plus important que de choisir un outil dans son tiroir.


isaïe

27/09/2008 à 22h37

"les engrammes très faciles à modifier"
Ta patiente a un sérieux problème avec ses élévateurs de mdb, je me demande comment tu vas désengrammer ça.


12...