Cookie Consent byPrivacyPolicies.comOn ne les voit pas toujours à 2 ans - Eugenol

On ne les voit pas toujours à 2 ans

isaïe

29/09/2008 à 23h16

Dsc04691 gnucuy - Eugenol

bjc

29/09/2008 à 23h34

"Bjc, on peut avoir une belle carrosserie, orthodontiquement au poil, qui cache de la misère."

Merveilleux exemple, isaï,
il n’y pas que la carrosserie, il faut soulever le capot

"Aucun ortho ne trouverait un argument pour intervenir et à raison.
s’il n’y en a qu’un, je serai celui la"

je reviens, j’ai de la soupe sur le feu

@+ Bjc.

P.S. : on va peut être enfin arriver à se comprendre avec cet exemple


Humb

29/09/2008 à 23h36

et des petits bruits articulaires vont apparaître
tout doucement surtout si la barre se trouve un peu haute pour ses capacités:grosse pression.Que fait-elle,études ou travail?


bjc

30/09/2008 à 01h02

salut isaïe,

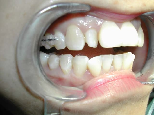
il y a une petite constriction molaire, mais surtout une constriction canine inf., si tu prends une empreinte et que tu mesures la distance inter-canine, tu verras qu’elle sort des moyennes
cela ressemble au cas que j’ai présenté avec des mesures ou les canines sont linguo-versées, (comme alexlop l’a bien vu)
les Inc. Inf. commencent à partir en avant
les formes d’arcades ne sont pas bonnes, et cela va mal évoluer

c’est une parente ?

@+ Bjc.



chakour

30/09/2008 à 01h19

isaïe Ecrivait:
-------------------------------------------------
> L'escalier commence à apparaître entre les blocs
> prémolaires-molaires et canines-incisives.

peux tu préciser s'il te plait


> L'impression des dents sur les bords de langue
> sont ici un beau signe.
C'est,même peut être LE signe important,que l'on ne voyait pas sur la première photo,et qui montre effectivement un pb de posture linguale "dite de repos???" c à d hors déglutition;mais alors ,que faire à cet âge?,surtout quand les troubles apparaissent?
tout changement de cette posture linguale entrainera dans la durée un changement de forme,notamment au niveau de l'arc incisif inf(recul des inc,donc encombrement)?
Dans ce genre de situation,j'en ai déjà parlé,je propose un travail lingual au patient ,car je privilégie l'équilibre musculaire(,avec mes notions actuelles non encore passées au filtre des filtres,)mais en le prévenant bien des conséquences dentaires,qui bien, que minimes seront inéluctables dès le changement de posture acquis (mais le stripping existe ensuite)




isaïe

30/09/2008 à 08h29

Ce problème est apparu récemment.
Si on décide de modifier, il va falloir la persuader qu'elle court un risque sérieux au point qu'elle accepte de remettre en cause une esthétique quasi parfaite.
Si on décide de modifier, il va aussi falloir contenir parce qu'on n'a pas trouvé la raison de ce changement relativement récent.
J'ai un problème également de muscles masticateurs qui sont en rigidité exagérée : je ne peux pas la justifier par son engrènement qui n'a pas fondamentalement changé depuis des années, mais le risque apparaît maintenant plus clairement : il y a une menace musculaire qui se précise.
La première piste à explorer à mon avis en première intention : déterminer le rôle du cortex dans la modification de la rigidité musculaire. Celle-ci est générale, pas limitée à la langue ou aux masséters. Ce rôle cortical, on peut le déconnecter dans l'exploration clinique : si on récupère à ce moment la fluidité musculaire, l'intervention sur l'arcade (ortho ou occluso) doit être utilisée en seconde intention. Ou combinée, d'accord avec toi bjc, si les dysmorphoses sont trop importantes ce qui n'est pas encore le cas ici.
Je pense qu'on a intérêt à examiner la boucle de déglutition et chercher précisément à quel moment ou à quel endroit elle dérape.


bjc

30/09/2008 à 12h20

cher isaï,

"l'intervention sur l'arcade (ortho ou occluso) doit être utilisée en seconde intention. Ou combinée, d'accord avec toi bjc, si les dysmorphoses sont trop importantes ce qui n'est pas encore le cas ici."

Voilà comment ton cas va évoluer, surtout en bas

"Je pense qu'on a intérêt à examiner la boucle de déglutition et chercher précisément à quel moment ou à quel endroit elle dérape."

Tu ne pourras pas corriger les Pbs. de la langue si tu ne lui fais pas de la place
la langue est la conséquence, pas la cause
c’est évident Watson !

@+ Bjc.

Debut 1 xqgo5x - Eugenol
Dscn0821 zei2cl - Eugenol

bjc

30/09/2008 à 12h59

salut,

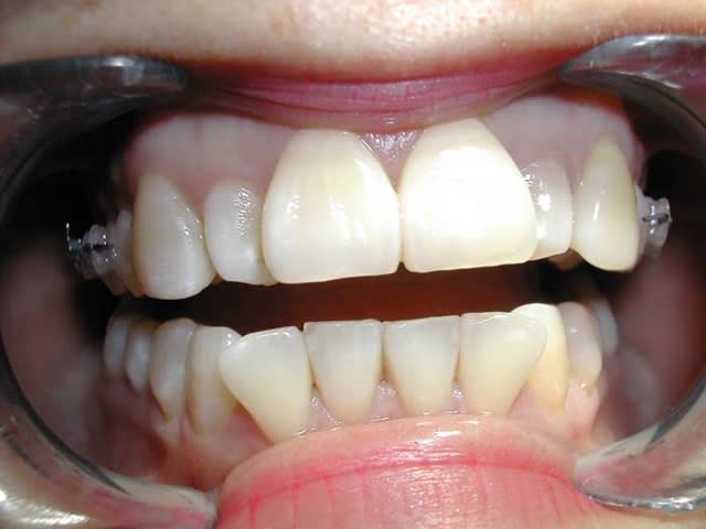
Les marques sur la langue sont le signe qu’elle est incapable de reformer l’arcade
si on ne lui fait pas de la place, elle va passer en position haute, et tu vas te retrouver avec un respirateur buccal
la rééduquer voudrait dire la rétrécir
bon courage !

@+ Bjc.


isaïe

30/09/2008 à 13h29

Tu ne sens pas que ton raisonnement est boiteux ?
Elle a une arcade superbe depuis des années. Pourquoi sa langue se sentirait tout à coup à l'étroit ? Elle n'a besoin de reformer rien du tout. Elle a un changement de son état musculaire, certainement pas à cause d'un changement de forme d'arcade, tu te mords la queue. Tu peux lui mettre des attaches de n'importe quelle sorte (d'abord, elle n'en voudra pas) tu ne changeras rien à sa langue et tu vas lui coller une contention iatrogène.
Bien sûr que la langue n'est pas la cause première, la langue est un effecteur, mais je te l'ai déjà dit, lève les yeux, elle a un cerveau.


bjc

30/09/2008 à 13h42

16 ans, fin de croissance chez les filles, elle rentre dans la force de l'age, elle à beaucoup plus de force qu'à 12 ans,
le cerveau, lui, n'as pas de force, il n'arrive pas à gerer cette augmentation
les marques sur la langue en sont la preuve, la langue subit la situation
le cadre est faussé et c'est pas avec les boucles du cerveau que tu vas redresser le cadre

maintenant, tu as peut être raison, qui sait?


isaïe

30/09/2008 à 13h53

"le cerveau, lui, n'as pas de force, il n'arrive pas à gerer cette augmentation"
Molière ?


bjc

30/09/2008 à 13h56

non, Moulière!


bjc

30/09/2008 à 14h40

c’est un bel exemple biologique des lois de Whöler sur la fatigue
tu ne comprends pas qu’elle a grandi, et que les forces ont augmenté

@+ Bjc.


bjc

30/09/2008 à 15h46

elle se décidera sans doute pour un ttt. ODF. vers 25/30 ans


isaïe

30/09/2008 à 15h53

Certainement pas, parce que nous allons rétablir ses mécanismes naturels de régulation de l'élasticité musculaire, et sans aucun artifice. Et pas aller encombrer quelqu'un avec un traitement dont il n'a aucun besoin.
Horresco referens.



bjc

30/09/2008 à 16h13

et les dents vont reprendre leur place
je ne demande qu'à voir

amicalement Bjc.


Cuisinier2 vnbbxx - Eugenol
jeff2

30/09/2008 à 16h15

bjc Ecrivait:
-------------------------------------------------------
> et les dents vont reprendre leur place
> je ne demande qu'à voir
>
Est ce le but?



bjc

30/09/2008 à 17h12

actuellement, les dents sont dans une situation instable, elles ont bougé et vont continuer
comment allez vous, au mieux, stabiliser les dents, dans une mauvaise forme d’arcade ?
je dis mauvaise, car ce n’était celle de ses 12 ans, et qui, en plus, a abouti à ces résultats

@+ Bjc.



isaïe

30/09/2008 à 17h23

Tu parles de ton cas ou de ma patiente ?


bjc

30/09/2008 à 17h44

je te rappelle que la mienne à 5 ans
j'attends les Rx. du reste


bjc

30/09/2008 à 17h51

cher isaï,

à quoi ça sert de "rétablir ses mécanismes naturels de régulation de l'élasticité musculaire, et sans aucun artifice" si c’est sur cadre faussé
c’est comme si tu disais : le châssis de ma voiture est faussé, c’est pas grave, je vais rouler moins vite
c’est ça qui me terrifie chez les occluso

vous nous laissez mastiquer avec un châssis faussé, et de belles paroles


isaïe

30/09/2008 à 18h06

"comment allez vous, au mieux, stabiliser les dents, dans une mauvaise forme d’arcade"
Je sais que sa forme d'arcade est mauvaise pcq la langue ne va pas bien. Pourquoi la langue ne va pas bien ? Pcq la forme d'arcade est mauvaise.
On ne délire pas un peu là ?


Amibien

30/09/2008 à 18h44

Il est utile de se poser la question de savoir quels sont les critères utilisés pour juger que la forme d'arcade est mauvaise ?


bjc

30/09/2008 à 19h17

"Je sais que sa forme d'arcade est mauvaise pcq la langue ne va pas bien."

non pas la langue, c’est vous qui la mettez à toutes les sauces
la forme d’arcade est mauvaise parce que les dents sont mal rangées, et les dents sont mal rangées parce que la forme d’arcade est mauvaise,
et ça va empirer avec le temps

@+ Bjc.



Cuisinier2 vnbbxx - Eugenol
jeff2

30/09/2008 à 19h33

les dents vont bouger toutes seules?