Tous les forums
C.C.M cmu 39,50
15/11/2008 à 07h40
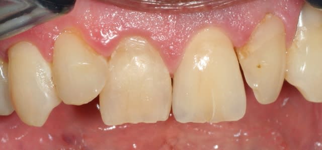
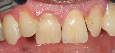
... le travail du prothésiste est moche; mais il est certainement à la hauteur du travail du CD qui est en dessous, du style pas de limites, pas de place pour la céram.
15/11/2008 à 10h33
une CCM à 36€ réalisée en urgence en direct.
nan j'déconne, c'est de la made in corsica.
15/11/2008 à 11h11
Sid écrivait:"... bien que je ne sois bientôt plus concerné à titre personnel."
???
15/11/2008 à 15h59
Pour info, les ccm sortent aux alentours de 10 € dans les labos chinois, on trouve même à 8€.
Je connais quelques dentistes qui passent commandes en direct, mais il y a surtout beaucoup de labos francais "de quartier" qui envoient vos couronnes en chine, parfois les remaquillent et vous les refourguent "made in dans ta rue".
15/11/2008 à 18h44
shdent écrivait:
----------------
> mais il y a
> surtout beaucoup de labos francais "de quartier" qui envoient vos couronnes en
> chine, parfois les remaquillent et vous les refourguent "made in dans ta rue".
Ou plutôt fabriquées au Maroc, pour ne pas être trop louche au niveau des délais...
J'ai été forcé de faire quelques éléments avec un labo de ce type, tout était vraiment catastrophique.