Cookie Consent byPrivacyPolicies.comchronologie.... - Eugenol

chronologie....

alhoun

30/09/2008 à 16h50

une attaque parodontal maousse.... et absence totale de gencive attachée sur une 35.

attendre la guérison de la paro... ou greffer le plus vite possible.... that is the question.


Img 8465 fqhxid - Eugenol
noahaxeltiger-olivier

30/09/2008 à 17h22

.


alhoun

30/09/2008 à 22h16

oui, c'est un peu ce que je vais faire
le truc, c'est que mon greffon, je ne sais pas sur quel périoste le plaquer...
enfin, on verra bien...
surtout que j'ai un trou mentonnier assez proche, je crois que je vais accrocher le greffon avec le nerf...

thx noa machin :)


Logo vuaztn - Eugenol
mac

30/09/2008 à 22h22

alhoun Ecrivait:
-----------------------------------------------------

> surtout que j'ai un trou mentonnier assez proche,
>


bah tant que t'en as qu'un de proche, ça va.


alhoun

30/09/2008 à 22h23

arrête, j'ai pas vérifié pour les autres!


Img 8465 fqhxid - Eugenol
noahaxeltiger-olivier

30/09/2008 à 22h47

.


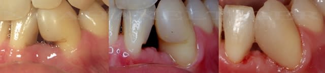
alhoun

01/10/2008 à 10h31

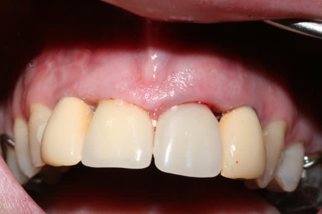
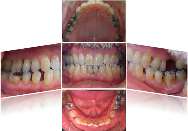
voilà à quoi ça ressemble aujourd'hui...

Paro vr1t2f - Eugenol

Img 8465 fqhxid - Eugenol
noahaxeltiger-olivier

01/10/2008 à 11h25

.


olivier

01/10/2008 à 12h54

l'absence de 46 ne doit pas beaucoup aider ...enfin moi je dis cela je dis rien


Garf2 hcrtax - Eugenol
enamel

01/10/2008 à 17h50

pas de surcharges occlusales sur ta 5 ?? ou d'interference....


bon courage


Img 8465 fqhxid - Eugenol
noahaxeltiger-olivier

01/10/2008 à 22h18

.

Photos intiales jn99lt - Eugenol
Bilan paro et radio initial dv2ves - Eugenol
Operation gtr htycch - Eugenol
Bilan paro et radio  1 an nkyo2q - Eugenol

Img 8465 fqhxid - Eugenol
noahaxeltiger-olivier

01/10/2008 à 22h19

.

Bilan parod et radio initial e4lsjb - Eugenol
Bilan parod et radio  2ans qtv6fh - Eugenol
Photos cliniques  2ans vv1puq - Eugenol

Grueavatar nptrc9 - Eugenol
Le Choixpeau magique

02/10/2008 à 15h31

alhoun Ecrivait:
-------------------------------------------------------
> voilà à quoi ça ressemble aujourd'hui...


!! Quelle est l'étiologie de cette lésion ?
Le patient a t-il "bénéficié" d'un traitement ortho ?
Tu veux vraiment garder ça ?


alhoun

02/10/2008 à 15h59

il y a un trauma occlusal, à l'évidence. mais le trauma n'est qu'un facteur aggravant.
la patiente est en traitement paro en attendant une réévaluation dans trois à quatre mois.. mais elle est ouverte à tout.


tourteau

02/10/2008 à 18h18

noahaxeltiger Ecrivait:
-------------------------------------------------------
> voila comme promis les 2 cas cliniques.
>
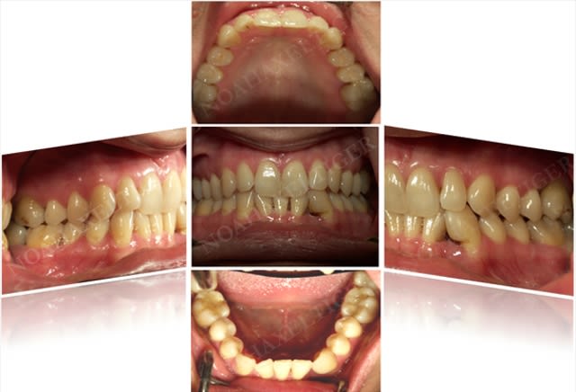
> patiente 1 : paro aggressive, importantes lésions
> angulaires traitées par emdogain sauf mesial 33 où
> j'ai préféré faire une GTR avec comblement
> BioOss.
>


Superbes résultats !
Quelques questions :
1 La conservation de la 28 n'est elle pas un facteur défavorable ?
2 la 26 a t'elle été extraite en première intention ou après un échec de la régénération ?
3 avais tu dans ce cas une espèce bactérienne spécifique ?


Img 8465 fqhxid - Eugenol
noahaxeltiger-olivier

02/10/2008 à 20h58

.


024 vownvo - Eugenol
annie

03/10/2008 à 20h15

alhoun Ecrivait:
-------------------------------------------------------
> voilà à quoi ça ressemble aujourd'hui...


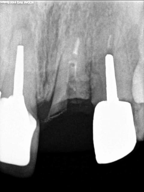
n'importe qui d'autre t'aurait adressé cette radio,tu aurais répondu extraction,implant,que passa?


Img 8465 fqhxid - Eugenol
noahaxeltiger-olivier

23/11/2008 à 19h26

.

32 et 33 avant pendant apr s n1nptd - Eugenol

Squash u44zd8 - Eugenol
steph

23/11/2008 à 19h48

Beau résultat.
Le collage sur cément est toujours délicat, et tu ne risques pas un porte-à-faux important sur la canine?
Je me demandais aussi si c'est toi qui faisais tout cela?


Img 8465 fqhxid - Eugenol
noahaxeltiger-olivier

23/11/2008 à 20h02

.


3f3boxni50k58rq7e9ce9ddqrxgk - Eugenol
dentiste57

24/11/2008 à 22h39

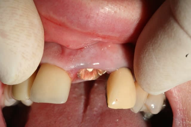
fracture d'une racine 21, infection vestibulaire

1 vue clinique

2 provisoire réalisée avec empreinte de la patiente en ayant retiré la couronne (histoire d'avoir la forme exacte de la gencive le jour de l'extraction)

3 et 4 fendu = foutu !

5 oups ... même photo.

6 RTR en place mais extraction du pan vestibulaire seulement pour avoir un site non infecté et une gencive cicatrisée (donc plus facile à suturée)le jour de la pose de l'implant.

7 dent provisoire maintenant la gencive en place.


ma question;

auriez vous extrait la dent dans sa totalité tout de suite en implantant immédiatement avec les risques infectieux? ou alors extraction, cicatrisation (et donc perte du volume gingivale) puis implantation?



Img 0361 dmvapf - Eugenol
Img 0364 b7naas - Eugenol
Img 0377 imvlbk - Eugenol
Img 0381 blpn4e - Eugenol
Img 0364 cszvrr - Eugenol
Img 0392 bfbiog - Eugenol
Img 0388 hw8fio - Eugenol

Img 8465 fqhxid - Eugenol
noahaxeltiger-olivier

24/11/2008 à 22h52

une radio sous la main ?


3f3boxni50k58rq7e9ce9ddqrxgk - Eugenol
dentiste57

25/11/2008 à 00h31

je vais y penser pour demain

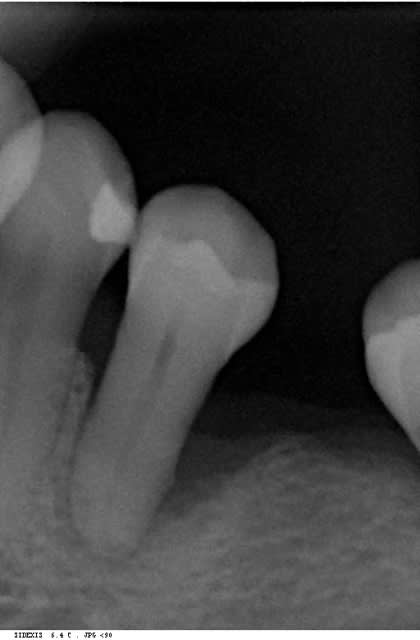
lors de l'extraction du morceau vestibulaire, j'ai pu constater que la table externe était partiellement détruite.
si je pose un implant, dois je faire un lambeau pleine épaisseur et mettre une membrane titane (frios) ou plutôt bioguide .

j'ai un peu de mal à savoir comment gérer ce timing.


Dr - Eugenol
JeRis

25/11/2008 à 08h30

... un cas similaire traité par Marc C. (je crois que tu connais).

Je n'ai fait que tenir l'aspi :)

C'est un dossier compressé avec les photos; je n'arrive toujours pas à mettre des PJ.

En espérant que cela puisse t'être utile.


> http://cjoint.com/?lzhANUtKEM

Merdum ... marche pas celui là! Je vais essayer autre chose.

>


Rien qui fonctionne ce matin! :(


pfffff! ... enfin! > http://www.savefile.com/files/1903077


3f3boxni50k58rq7e9ce9ddqrxgk - Eugenol
dentiste57

25/11/2008 à 13h44

voici la radio

Radio 21 fractur e kbb2or - Eugenol

12