Cookie Consent byPrivacyPolicies.comtravail 5 etoiles - Eugenol

travail 5 etoiles

LdL

17/02/2005 à 16h48

je croyais que c'était une devinette !
j'ai cherché...


cyberquenottes

17/02/2005 à 16h48

"quand ils ont mal, c'est moi qu'ils viennent voir"

elle est bonne

c'était bien la deuxième


Avatar transparent iqadnc - Eugenol
adhoc

17/02/2005 à 19h13

Non , sire, pitié, n'abdique pas. Comment notre empire eugénolien va s'en sortir?


Image19 iebot6 - Eugenol
athos

17/02/2005 à 19h54

déjà que beaucoup s'exilent à Cap breton...


majicados

17/02/2005 à 21h52

sire tu dois pas être au top car en ce moment le PSG niveau de 2eme division...


SIRE

17/02/2005 à 22h36

Soit, à la demande générale je reprends mon titre d'Empereur des chir-dents( pour 100jours ?? )et je refais mes mer...veilles dès demain pour le bonheur et le plaisir (!?? ) de tous...


Image19 iebot6 - Eugenol
athos

17/02/2005 à 22h38

vive l'Empereur!


coco

19/02/2005 à 18h54

Vive l'Empereur et vive sire !


jérome B.

19/02/2005 à 19h01

majicados a raison : ne pas critiquer car ça peut nous tomber dessus !!!!


Icon poker h4nm2d - Eugenol
jeff

24/02/2005 à 00h33

exemple, 47 serait tellement bien en pilier de bridge.

( sauf si on fait de l'implanto, car à ce moment la, on ne se pose même plus la question de savoir si c'est sauvable )( que personne ne se sente visé ! :-))

Radio1 cqvbeu - Eugenol

Icon poker h4nm2d - Eugenol
jeff

24/02/2005 à 00h36

Oups, un coup de lentulo un peu trop généreux ( mais c'est n'est pas trop grave, c'est pas du N2 ! ).

Et en plus ce n'est même pas conforme aux données de la science ! ouh !

Radio2 dtynqn - Eugenol

24/02/2005 à 01h04

Jeff cochon!


Ylfwcw979cz1jnx9gfqeaxndiuzk - Eugenol
Algi

24/02/2005 à 11h20

Que choses soient claires: même une dent saine qui semble fonctionner correctement est pas toujours parfaite alors celles qu'on rafistole avec nos petits doigts.... donc on est dans l'à peu prés permanent et on fera presque jamais mieux que la nature (je dis presque jamais parceque des fois mère nature se plante aussi: agenesies, amélogenése imparfaite....).

Reste à se donner la peine de faire les choses bien... ensuite il est difficile de dire ce qu'est une réelle bouse: le soin fait en un quart d'heure et qui tienra 10 ans vs la reprise d'endo sous loupe qui dure 5 heures et se termine par fracture, faux canal pour passer quand même et extraction.... le premier cas est une bouse baclée le second cas la faute à pas de chance et au manque d'expereince des endos difficiles (ou alors une bouse car on aurait du savoir que c'était pas la peine).

Ensuite quand l'exercice conventionnel autorisera le travail "horaire" (300€ de l'heure?) quel que soit l'acte, on pourra prendre le temps de faire les choses correctement et alors là oui on pourra parler de bouses si un traitement est pas mené correctement mais faudra pas oublier l'aléas thérapeutique dont on se débarrassera jamais.... loin de lmoi l'idée de vouloir se dédouaner completement mais faudrai arreter de s'autoflageller, dans la plupart des cas on fait de notre mieux avec les moyens du bord (concilier données avérées de la science et nomenclature qui date de 1962 est un peu schyzophrénique quand même).

Donc oui des bouses mais "relatives" et ensuite qui dit doute sur un soin dit prevenir le patient car toutes nos bouses sont explicables si on sait rester humble et si on siat éququer nos patients à cette humilité sauf à traiter des gens qu'on a pas envie de soigner et dont on bâcle les soins.... là faut svoir dire "non"!


Amibien

24/02/2005 à 16h11

et même ce serait de l'N2, même le vrai le pur et dur que cela ne poserait aucun problème...

de toute manière ta dent est condamnée...

beau travail quand même


Icon poker h4nm2d - Eugenol
jeff

24/02/2005 à 16h32

françois a écrit:
-------------------------------------------------------
> Jeff cochon!


Excellente remarque, mais un peu courte !


Qui est le cochon ? celui qui merdouille la reprise , ou celui qui a fait la première endo ?

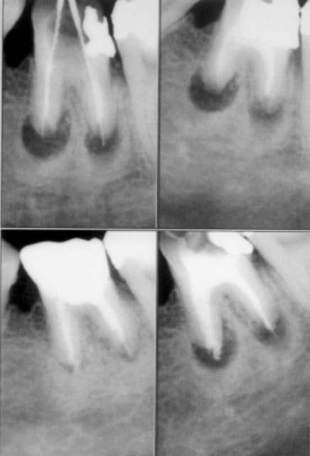
J'ai voulu sauver une dent et je me suis fait chier une heure, alors que cela aurait pris 5 mn à Alhoun, sans risque de dépassement.

La question que m'inspire ce cas est la suivante : la reprise a été faite sous digue, irriguée tout comme il faut, radio lime en place, localisateur.

Tout ce travail gaché ( pour l'instant ) parce que j'ai conservé la technique d'obturation que l'on m'a enseignée il y a 15 ans.

Je sais qu'il faudrait que je change de technique, et pourtant, le temps passe, et je reste au bon vieux lentulo en me disant : " il faudrait ... )
( remarque, je ne suis pas le seul ! ).


Audi tt 2007 jzsdts - Eugenol
sbire

24/02/2005 à 16h38

il faudrait pas, il faut...
blague a part, il est tellement simple de changer de methode que tu as tord de t'en priver, certes le thermafil est cher mais tu as aussi le compactage thermomecanique tres simple et tres efficace...c'est comme pour tout et tous (moi le premier) il faut passer au dela de l'habitude pour que ton travail devienne un plaisir...si je voulais etre bete je dirais que c'est comme la digue, au debut on s'oblige apres...alors vas-y!

A +


Ylfwcw979cz1jnx9gfqeaxndiuzk - Eugenol
Algi

24/02/2005 à 17h17

1/ des condamnées comme ça qui vont bien j'en ai pein.

2/ la pâte a dépassé et alors? si la dent reste asymptomatique.... et si ta pâte est pas toxique....

3/ au moins t'es sûr d'avoir instrumenté toute les racines.

Ai essayé photos numerique de ratages pires que ça mais le flash rend les images merdiques et j'ai pas les outils ni la capacité informatique pour diminuer taille des images RVG (et eugenol ne donne que 200ko...)


Ylfwcw979cz1jnx9gfqeaxndiuzk - Eugenol
Algi

24/02/2005 à 17h24

ben finalement, sans le flash...

Imgp0525 jvucfx - Eugenol
Imgp0526 vwfhrc - Eugenol
Imgp0527 aclcfh - Eugenol

Ylfwcw979cz1jnx9gfqeaxndiuzk - Eugenol
Algi

24/02/2005 à 17h28

Dents traitées y'a maintenant 1 à 4 mois et qui vont bien merci. Avec lentulo+N2 sans formaldéhyde et laser. Ai pas eu de suites lors de tels dépassements même si je me suis posé de sales questions aprés le premier... maintenant j'ai l'habitude.. à croire que les pâtes aux HE directement dans les lesions apicales c'est pas si mal :)

quand même: quelques douleurs "de suite" ça oui mais qui disparaissent en 1/2 heure à 2 heures et parés va bene...


alhoun

24/02/2005 à 17h30

"alors que cela aurait pris 5 mn à Alhoun"
tu rêves.


Icon poker h4nm2d - Eugenol
jeff

24/02/2005 à 19h16

Alhoun, 5 mn : c'est évidement le temps d'extraire cette dent.
Mais, si tu me dis que tu aurais fait une reprise de ttt, au lieu d'une extraction + proposition implant, c'est que je me suis trompé.


alhoun

24/02/2005 à 20h03

non, je peux la garder, pourquoi pas, mais certainement pas en pilier de bridge.


alhoun

24/02/2005 à 20h28

la preuve.

Monsieur sal1oq - Eugenol

Ylfwcw979cz1jnx9gfqeaxndiuzk - Eugenol
Algi

24/02/2005 à 20h33

On dirait du algi.... :0)


Amibien

25/02/2005 à 00h04

Algi a écrit:
-------------------------------------------------------
> On dirait du algi.... :0)


et sans la digue ! oh oh oh