Cookie Consent byPrivacyPolicies.comresection de 10 ans - Eugenol

resection de 10 ans

Cuisinier2 vnbbxx - Eugenol
jeff2

13/10/2008 à 21h03

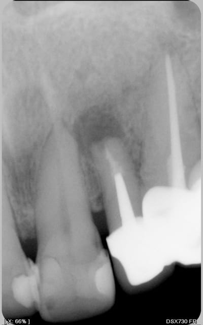
Cette patiente se plaint d'une lourdeur sur sa 21.
Les tests de vitalité sur 21 et 11 sont positifs et similaires et aucune reponse a la percussion

Est'il normal que dix ans aprés sa résection de 22, une telle image soit encore visible.

Une infection par des canaux latéraux de 21 est'elle possible

si diag d'infection? ('pas de symptome sur 22)
tenteriez vous quelque chose a rétro, en sachant que 22 est solidaire de 23, qui est pilier de bridge 24/25 inters, 26 couronnée

016 zqngu4 - Eugenol

S8ysxdzhdqgw00w4q6m07a5d47q2 - Eugenol
gai-luron

13/10/2008 à 21h19

jeff2 Ecrivait:
-------------------------------------------------------
> Cette patiente se plaint d'une lourdeur sur sa
> 21.
> Les tests de vitalité sur 21 et 11 sont positifs
> et similaires et aucune reponse a la percussion
>
> Est'il normal que dix ans aprés sa résection de
> 22, une telle image soit encore visible.


normal, non, mais ça peut se voir.
Si désinfection canalaire pas bien faite, la résectionsans obturation à retro ne sert à rien. Couper un bout de racine, quelle utilité si ce qui est au dessus n'est pas net?



> Une infection par des canaux latéraux de 21
> est'elle possible
>
> si diag d'infection? ('pas de symptome sur 22)
> tenteriez vous quelque chose a rétro, en sachant
> que 22 est solidaire de 23, qui est pilier de
> bridge 24/25 inters, 26 couronnée


Lésion quand même importante...


3002 1 yx79qg - Eugenol
ORIOLI

14/10/2008 à 12h53

Je pense que le " réservoir" de germes est endocanalaire et que sans reprise complète du traitement endo, on ne pourra pas avancer. Donc dépose du bridge et reprise de tout le traitement endo & proth. (apex de 23 pas net...), après temporisation nécessaire, il faut réévaluer 21.


Gonzo k0qhwz - Eugenol
matten

14/10/2008 à 13h26

Il me semble possible de nettoyer les 3-4mm apicaux par voie retrograde et de faire une obturation au MTA


ben

14/10/2008 à 13h27

Non seulement c'est possible, mais c'est ce qu'il faut faire.


Marque a3 orange fyvhyq - Eugenol
Marc Apap

14/10/2008 à 13h37

matten Ecrivait:
-------------------------------------------------------
> Il me semble possible de nettoyer les 3-4mm
> apicaux par voie retrograde et de faire une
> obturation au MTA


Bertrand Khayat préconise l'IRM comme matériau d'obturation canalaire a retro, et il montre des photos de succès spectaculaires.


ben

14/10/2008 à 14h17

Y'en a d'autres qui ont des résultats meilleurs que tout le monde grace au laser........


024 vownvo - Eugenol
annie

15/10/2008 à 04h45

ben Ecrivait:
-------------------------------------------------------
> Y'en a d'autres qui ont des résultats meilleurs
> que tout le monde grace au laser........


oui mais laser et MTA coutent cher,si on a les mêmes résultats avec IRM pourquoi depenser plus!
ça fait penser a la pub,il faudrait etre fou!


Willy Pertot

15/10/2008 à 11h18

ORIOLI Ecrivait:
-------------------------------------------------------
> Je pense que le " réservoir" de germes est
> endocanalaire et que sans reprise complète du
> traitement endo, on ne pourra pas avancer. Donc
> dépose du bridge et reprise de tout le traitement
> endo & proth. (apex de 23 pas net...), après
> temporisation nécessaire, il faut réévaluer 21.


Effectivement, c'est tout à fait correct...
Mais on peut aussi prendre en considération que si la prothèse semble bonne au plan esthétique et fonctionnel, vu qu'il s'agit d'une dent d'accès plutot facile et que la destruction osseuse est déjà présente, une chirurgie avec nettoyage et obturation a rétro du canal jusqu'au tenon est envisageable.


doc.driba

15/10/2008 à 16h15

Salut,

N'oublie pas de prévenir ta patiente de la possible découverte au moment de l'intervention d'une fêlure de la racine.

En raison de la récidive, je te conseille d'éliminer la "surface apicale" afin de retrouver une dentine saine (entre 0,5 et 1 mm). Tu élimineras ainsi une couche de dentine infiltrée. Dans ces cas là, le laser rend effectivement un grand service.

Comme le dis matten, tu n'auras pas de soucis pour éliminer l'ancien traitement jusqu'au tenon !

Après le choix du matériau d'obturation est surtout dicté par l'habileté du praticien à manipuler le MTA. Il vaut mieux placer un IRM correctement que merder avec le MTA !

Cordialement


Tilc

15/10/2008 à 21h15

Cette 22 est pour moi condamnée a moyen terme (racine trop courte)
Donc Voila pour moi le PTT :
1° Dépose tout le brdige
2° Reprise de tous les traitements(effectivement l'apex de 13 et atteint il semble)
3° Chirurgie a rétro de 12 pour favoriser et accelerer la cicatrisation de l'os
4° Extraction de 12 dans 1 an (apres avoir regagné de l'os) et pose d'1 implant.

Faire une chir toute seule dans ce cas reviendrait à se trouver presque au niveau du tenon avec pas forcement 3mm d'hauteur d'obturation .
A coté de ca la hauteur de la racine residuelle serait franchement trop courte pour tenir le coup mécaniquement.
CCl pour moi la chir seule c est une connerie


Cuisinier2 vnbbxx - Eugenol
jeff2

15/10/2008 à 21h32

Tilc Ecrivait:
-------------------------------------------------------
> Cette 22 est pour moi condamnée a moyen terme
> (racine trop courte)
Si elle est condamnée pour quoi embeter la patiente? avec une chirugie a retro de 22
La 13 a été retraitée il y a 4 mois avec une grosse image apicale et j'espére que c'est en bonne voie.
Maintenant si c'est condamné, j'envoie a l'implanto et on fait tout en six mois fini.

Faut être clair la dessus, on s'amuse pas a dire la dent est condamnée et on va bidouillé la patiente pendant 16 mois?






Tilc

16/10/2008 à 01h34

pour recuperer de l'os, soigner une infectionet poser un implant dans de bonnes conditions a moindres frais. Je trouve que ca vaut la peine !


ben

16/10/2008 à 11h22

Franchement, c sans souci.