Cookie Consent byPrivacyPolicies.comAH AH AH !!! - Eugenol

AH AH AH !!!

ben

15/10/2008 à 15h40

Je vois qu'il n'y a plus bcp de français ici. Je suis content de voir que ce forum s'ouvre à l'international.


glad

15/10/2008 à 15h44

ben Ecrivait:
-------------------------------------------------------
> Je vois qu'il n'y a plus bcp de français ici. Je
> suis content de voir que ce forum s'ouvre à
> l'international.

je t'ai repere:tu etais au stade de france hier soir:tu siffle mieux
avec ton fameux M.E.a+


ben

15/10/2008 à 15h54

c'était pas moi, j'y étais pas, je hais ces attroupements populaires.


Q42955962076 4064 lcuc3e - Eugenol
dentino

15/10/2008 à 15h55

ben Ecrivait:
-------------------------------------------------------
> Parce que vous pensez, vous, praticiens français,
> que votre travail est mieux exécuté ????

Peut-être pas mais on assure le SAV s'il y a un problème...
Dis-moi, tu considères tes correspondants (français) qui t'envoient leurs cas endos comme des gros nazes? C'est pas cracher dans la soupe, ça?


ben

15/10/2008 à 15h57

ça c'est déjà dit. Non, je te rassure, pour moi les gros nazes c'est ceux qu'adressent jamais.


Grueavatar nptrc9 - Eugenol
Le Choixpeau magique

15/10/2008 à 15h57

On a cru comprendre que tu hais pas mal de choses ou de gens.


ben

15/10/2008 à 16h04

Je suis ravi que tu aies pu croire comprendre quelque chose.
Moi je peux croire comprendre qu'il n'y a finalement pas bcp d'images de guérison à montrer.
annie ne va pas mieux ?


Photo pluton1b h9n4ea - Eugenol
pluton

15/10/2008 à 16h17

ben...redescends de ton pied d'estale...on est pas tous des billes en endo
tu veux des images...en voilà 2...avant traitement et 6 mois plus tard...

12 03 2008 g2x3kb - Eugenol
25 08 2008 fya484 - Eugenol

ben

15/10/2008 à 16h28

C'est un beau début de cicatrisation.
Un début de guérison c'est léger pour un fil lu 1463 fois.
Mais je veux bien croire qu'il y en a d'autres, j'aimerais juste en voir.
Toi, pour commencer, t'as bien une image de guérison complête !!!!!


Spriford

15/10/2008 à 16h42

Omniprésent ben sur ce fil!
Que ce passe-t-il? Plus de patients? Les correspondants ne correspondent plus ?
Je comprends l'aigreur...


henri

15/10/2008 à 16h44

il est peut être énnervé de ne pas avoir été remboursé de son asm


Modeste 60

15/10/2008 à 16h44

Un exemple parmis d'autres...


ben

15/10/2008 à 16h50

Grosse baisse d'activité en ce début "d'année". Des annulations du genre "avec la crise, je préfère attendre". Certains correspondants sont en panique. Faut pas que ça dure, sinon j'ai bien peur de continuer à tuer le temps ici.


speedy

15/10/2008 à 16h52

hummm ca pue l'humilité ici....


Modeste 60

15/10/2008 à 16h53

Un exemple parmis d'autres...
2e essai

01   07 avril 2006 qgskan - Eugenol
02  26 mai 2006 obtqtd - Eugenol
03   13 juin 2006 rr1srh - Eugenol

Spriford

15/10/2008 à 16h53

Ici, mes patients ne sont pas gênés par la crise; Ils n'ont pas d'actions!
Faut savoir choisir sa clientèle.AH AH AH !!!


ben

15/10/2008 à 16h57

Si t'en es encore à croire qu'il n'y aura que ces actionnaires à souffrir, le réveil sera dur.


Photo pluton1b h9n4ea - Eugenol
pluton

15/10/2008 à 17h00

enfin bon on dévie beaucoup sur ce fil...qui est partit des implants hongrois pour arriver à l'endo de nos cabinets...


Attila

15/10/2008 à 17h03

pluton Ecrivait:
-------------------------------------------------------
> enfin bon on dévie beaucoup sur ce fil...qui est
> partit des implants hongrois pour arriver à l'endo
> de nos cabinets...

Et oui :-(
Enfin , bon , tout ça pour dire que les gars qui croient faire de bonne affaires en Hongrie s'en mordent les doigts !


ben

15/10/2008 à 17h04

"C'est comme le ciment hongrois, tu peux être sûr qu'ils mettent bcp plus de sable qu'ils ne mettent de ciment et après les murs se lézardent et tout le bazar....."


Modeste 60

15/10/2008 à 17h05

Un exemple parmis d'autres...
suite

04   26 juin 2006 i64cza - Eugenol
05   17 janvier 2007 efux3r - Eugenol

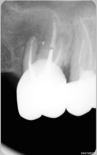
ben

15/10/2008 à 17h08

Modeste, merci d'ajouter de l'eau à mon moulin.
Bel exemple du genre d'endo que je reprends au quotidien juste à coté de ta 7, lentulo fracturé et autres cochonneries.


S8ysxdzhdqgw00w4q6m07a5d47q2 - Eugenol
gai-luron

15/10/2008 à 17h10

et les instruments dans la 6, c'est toi? ;)


non, je déconne, je déconne.

joli résultat quand même.


Attila

15/10/2008 à 17h21

"Qui n'a jamais cassé une lime endo lui jette le premier cône de gutta ! "


glad

15/10/2008 à 20h48

Modeste 60 Ecrivait:
-------------------------------------------------------
> Un exemple parmis d'autres...
> 2e essai
alors la c'est notre ben qui va etre jaloux!!!


12345...

Ce sujet est verrouillé

Les réponses à ce sujet sont désactivées