Tous les forums
AH AH AH !!!
15/10/2008 à 15h40
Je vois qu'il n'y a plus bcp de français ici. Je suis content de voir que ce forum s'ouvre à l'international.
15/10/2008 à 15h44
ben Ecrivait:
-------------------------------------------------------
> Je vois qu'il n'y a plus bcp de français ici. Je
> suis content de voir que ce forum s'ouvre à
> l'international.
je t'ai repere:tu etais au stade de france hier soir:tu siffle mieux
avec ton fameux M.E.a+
15/10/2008 à 15h54
c'était pas moi, j'y étais pas, je hais ces attroupements populaires.
15/10/2008 à 15h55
ben Ecrivait:
-------------------------------------------------------
> Parce que vous pensez, vous, praticiens français,
> que votre travail est mieux exécuté ????
Peut-être pas mais on assure le SAV s'il y a un problème...
Dis-moi, tu considères tes correspondants (français) qui t'envoient leurs cas endos comme des gros nazes? C'est pas cracher dans la soupe, ça?
15/10/2008 à 15h57
ça c'est déjà dit. Non, je te rassure, pour moi les gros nazes c'est ceux qu'adressent jamais.
15/10/2008 à 15h57
On a cru comprendre que tu hais pas mal de choses ou de gens.
15/10/2008 à 16h04
Je suis ravi que tu aies pu croire comprendre quelque chose.
Moi je peux croire comprendre qu'il n'y a finalement pas bcp d'images de guérison à montrer.
annie ne va pas mieux ?
15/10/2008 à 16h17
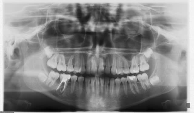
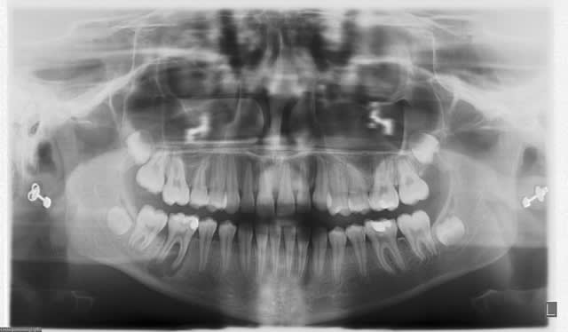
ben...redescends de ton pied d'estale...on est pas tous des billes en endo
tu veux des images...en voilà 2...avant traitement et 6 mois plus tard...
15/10/2008 à 16h28
C'est un beau début de cicatrisation.
Un début de guérison c'est léger pour un fil lu 1463 fois.
Mais je veux bien croire qu'il y en a d'autres, j'aimerais juste en voir.
Toi, pour commencer, t'as bien une image de guérison complête !!!!!
15/10/2008 à 16h42
Omniprésent ben sur ce fil!
Que ce passe-t-il? Plus de patients? Les correspondants ne correspondent plus ?
Je comprends l'aigreur...
15/10/2008 à 16h50
Grosse baisse d'activité en ce début "d'année". Des annulations du genre "avec la crise, je préfère attendre". Certains correspondants sont en panique. Faut pas que ça dure, sinon j'ai bien peur de continuer à tuer le temps ici.
15/10/2008 à 16h53
Ici, mes patients ne sont pas gênés par la crise; Ils n'ont pas d'actions!
Faut savoir choisir sa clientèle.AH AH AH !!!
15/10/2008 à 16h57
Si t'en es encore à croire qu'il n'y aura que ces actionnaires à souffrir, le réveil sera dur.
15/10/2008 à 17h00
enfin bon on dévie beaucoup sur ce fil...qui est partit des implants hongrois pour arriver à l'endo de nos cabinets...
15/10/2008 à 17h03
pluton Ecrivait:
-------------------------------------------------------
> enfin bon on dévie beaucoup sur ce fil...qui est
> partit des implants hongrois pour arriver à l'endo
> de nos cabinets...
Et oui :-(
Enfin , bon , tout ça pour dire que les gars qui croient faire de bonne affaires en Hongrie s'en mordent les doigts !
15/10/2008 à 17h04
"C'est comme le ciment hongrois, tu peux être sûr qu'ils mettent bcp plus de sable qu'ils ne mettent de ciment et après les murs se lézardent et tout le bazar....."
15/10/2008 à 17h08
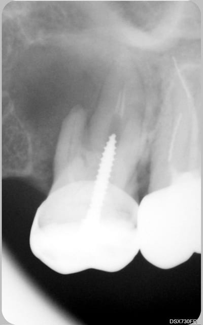
Modeste, merci d'ajouter de l'eau à mon moulin.
Bel exemple du genre d'endo que je reprends au quotidien juste à coté de ta 7, lentulo fracturé et autres cochonneries.
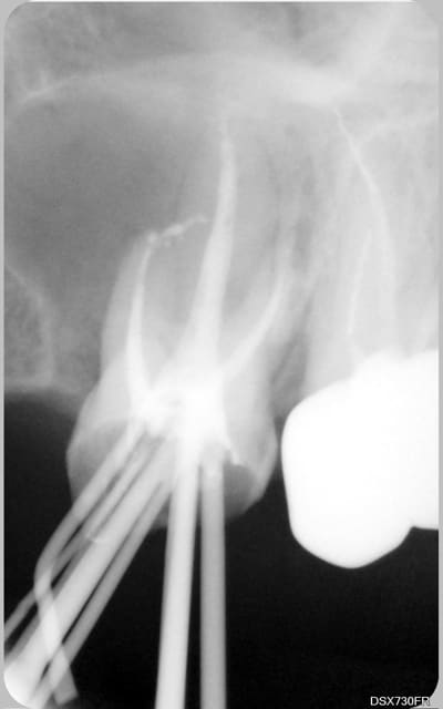
15/10/2008 à 17h10
et les instruments dans la 6, c'est toi? ;)
non, je déconne, je déconne.
joli résultat quand même.
15/10/2008 à 17h21
"Qui n'a jamais cassé une lime endo lui jette le premier cône de gutta ! "
15/10/2008 à 20h48
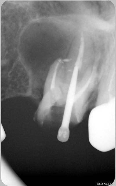
Modeste 60 Ecrivait:
-------------------------------------------------------
> Un exemple parmis d'autres...
> 2e essai
alors la c'est notre ben qui va etre jaloux!!!
Ce sujet est verrouillé
Les réponses à ce sujet sont désactivées