Cookie Consent byPrivacyPolicies.comAH AH AH !!! - Eugenol

AH AH AH !!!

024 vownvo - Eugenol
annie

16/10/2008 à 03h35

Tilc Ecrivait:
-------------------------------------------------------
> Ce qui me fait bien rire c est de voir vous
> engoufrer dans le chemin que ce con de Ben vous
> trace . Surtout en sachant qu au bout de ce
> chemin, c est l'insulte qui arrive...


Avec Ben on s'amuse contrairement a d'autres!


Spriford

16/10/2008 à 10h44

Tilc Ecrivait: Ce qui me fait bien rire c est de voir vous engoufrer dans le chemin que ce con de Ben vous trace . Surtout en sachant qu au bout de ce chemin, c est l'insulte qui arrive...

Normal ! c'est une benne à ordures...



Grueavatar nptrc9 - Eugenol
Le Choixpeau magique

16/10/2008 à 11h13

annie Ecrivait:
-------------------------------------------------------
> Avec Ben on s'amuse contrairement a d'autres!

Asinus asinum fricat...


Rorschachwhite tx6rqr - Eugenol
Candide Candida

16/10/2008 à 11h19


> Asinus asinum fricat...
>
>

Joli !

CC.


ben

16/10/2008 à 11h28

Donc ce post a été vu 2500 fois, et on a un début de cicatrisation osseuse, chez un pro qui prend des panos tous les 6mois et une soi disant amélioration qu'il faut croire sur parole.
Avec ça, y'en a qui peuvent continuer à affirmer que les raccourcis ça paye en endo ????? Qu'on s'en sort très bien sans moyens ?????


Grueavatar nptrc9 - Eugenol
Le Choixpeau magique

16/10/2008 à 11h31

Mais enfin c'est vrai ça, l'illustre Ben a exigé quelque chose, 2500 personnes ont lu l'ordre, et deux seulement se sont exécutées, où va le monde ?


kri

16/10/2008 à 11h35

Le plus difficile a savoir dans l'histoire c'est si le but de ce genre de remarque est la polemique ou si quand on s'autoproclame specialiste (ou q'on en a le titre d'ailleurs pour d'autre specaialité) tous les omnipraticiens deviennent des manchots.

Franchement Ben, je doute fort qu'il y ait un seul "eugenonlien" qui ne puisse poster ici des radios de cicatrisation apicale.


ben

16/10/2008 à 19h41

Mais on a tous pu le remarquer, kri, les succès sont nombreux et indiscutables.
Bravo à tous, et je m'excuse platement d'avoir pu un instant en douter.


kri

16/10/2008 à 20h32

Peut etre que nos confrere n'ont pas besoin d'un forum pour se valoriser


Photo pluton1b h9n4ea - Eugenol
pluton

16/10/2008 à 20h51

pis sincèrement...on a autre choses à foutre que de regarder notre bibliothèque de radios pour te montrer des exemples ben...j'en ai des tas...mais pas le temps de les chercher...j'avais juste l'ex sous la main avec mes panos...logique, je venais de voire la gosse...


Q42955962076 4064 lcuc3e - Eugenol
dentino

16/10/2008 à 22h03

Le grand problème des spécialistes, c'est qu'ils dépendent souvient des "dentistes de base" comme nous pour constituer leur patientèle.
A partir de là, deux approches:
- L'endo c'est compliqué, très compliqué, mais tout le monde doit s'y coller, même si les tarifs sont scandaleux. Donc, j'essaie d'améliorer par mes conseils et suggestions le niveau de l'ensemble et je suis là pour intervenir si le cas nécessite un matériel et un savoir-faire spécifiques. Même si je n'approuve pas la médiocrité, je ne me prends pas pour un cador (approche Stéphane et bien d'autres)
-L'endo c'est compliqué, très compliqué, trop compliqué pour vous, bande de nazes. Laissez ça aux spécialistes et retournez à vos détartrages et bbd (approche Ben)
Les "dentistes de base" n'ont plus alors qu'à choisir à qui adresser en fonction de ces approches, et c'est valable pour toutes les disciplines. Un spécialiste conscient qu'il noue une relation symbiotique avec moins compétent que lui dans son domaine sera toujours débordé de boulot, crise ou pas crise.

Dentino, "dentiste de base" & fier de l'être


Photo pluton1b h9n4ea - Eugenol
pluton

16/10/2008 à 22h33

+1...bien dit dentino


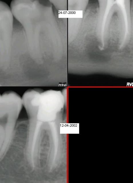
dudiarz

16/10/2008 à 23h03

En voilà un qui traine sous le coude.......
je l'ai sorti car je l'ai revu aujourd'hui, soit 8 ans après, et la dent est tjs là. Pas de rx d'aujourd'hui car je suis en panne de RVG (je suis retourné dans la chambre noire....)
Francis

pluton Ecrivait:
-------------------------------------------------------
> pis sincèrement...on a autre choses à foutre que
> de regarder notre bibliothèque de radios pour te
> montrer des exemples ben...j'en ai des tas...mais
> pas le temps de les chercher...j'avais juste l'ex
> sous la main avec mes panos...logique, je venais
> de voire la gosse...



dudiarz

16/10/2008 à 23h05

oublié le document......désolé

Koje 46 gd4xuh - Eugenol
Fistule 46 xmx0mq - Eugenol

S8ysxdzhdqgw00w4q6m07a5d47q2 - Eugenol
gai-luron

16/10/2008 à 23h13

même patient?


dudiarz

16/10/2008 à 23h19

Voui


trimarc

16/10/2008 à 23h35

ben Ecrivait:
-------------------------------------------------------
> Misérable, je savais que je n'aurais pas grand
> chose, mais à ce point......

dire que je suis revenu en france (temporairement) pour voir un abruti pareil.
en irlande, on n'a pas de tel individu (si, au zoo).




ben

17/10/2008 à 00h20

dudiarz, nickel, mais j'imagine que c'est une endo conduite dans les règles de l'art, avec digue à minima (4% d'entre vous, c un bruit qui court).L'exception. ça fait toujours plaisir à voir de tels résultats!!


Grueavatar nptrc9 - Eugenol
Le Choixpeau magique

17/10/2008 à 00h57

ben Ecrivait:
-------------------------------------------------------
>(4% d'entre vous, c un bruit qui
> court)

Source ?
Et c'est qui "vous" ?


bouboule

17/10/2008 à 01h50

Le Choixpeau magique Ecrivait:
-------------------------------------------------------
> ben Ecrivait:
> --------------------------------------------------
> -----
> >(4% d'entre vous, c un bruit qui
> > court)
>
> Source ?
> Et c'est qui "vous" ?
>

Bah nous! les bouzeux, la populace, les nazes, les mauvais. En gros tout le monde sauf lui ô le grand dieu de l'endo que c'est le seul à avoir le-matos-de-compete-qu'en-plus-y-a-que-moi-qui-m'en-sert-bien!! Quand je pense que certains ici osent le tutoyer... Nan c'est clair moi ben mes patients m'en parlent tout les jours. Certains ont même une photo dans leur portefeuille! Ce mec moi il me fait rêver! Nan et puis en plus, comme tout les vrais bons, c'est un mec plein d'humilité, accessible et tout...
Mouarf, son discours me fait penser à celui de certains profs auto proclamés "pontes" quand j'étais étudiant. Ceux qui se faisaient tellement mousser qu'ils laissaient une flaque derrière eux en partant... Et puis quelques années après avec un peu d'expérience tu te rends compte que les vrais bons on les entend pas... Ils bossent et tu leur envoi tes patients les yeux fermés... Après t'as les autres, ceux qui étalent leur savoir comme de la confiture...
Soif de reconnaissance ou ptetre frustration... En même temps on s'en fout
Va comprendre charles
Ben franchement t'es trop fort! suis jaloux!


bouboule

17/10/2008 à 01h55

et sinon pour les patients qui rentrent de Hongrie la règle pour moi est simple: On soulage en cas de douleurs violentes et on renvoie bien confraternellement au confrère traitant et ce qu'il soit à 100 metres du cab ou à plusieurs heures d'avions... En gros le même traitement que celui que j'aimerai voire appliqué à ceux de mes patients qui iraient voire un collègue en urgence pendant mes vacances...


guttapercha

17/10/2008 à 02h29

Je n'ai pas suivi les 8 pages de conversation mais j'ai un souci avec deux patients revenus de Turquie cet été, avec couronnes soudées sur dents vivantes... et des épisodes d'hyperhémie pulpaire assez violents.

J'ai prescrit des antalgiques mais pas fait de geste en bouche, je trouve ça hasardeux de tenter une ouverture de chambre sous couronne (j'ai testé une fois pendant ma formation universitaire, c'était pas la franche réussite) et fait un devis.

Le premier patient préfère retourner en Turquie.
La deuxième non, mais je la sens pas très bien, je sais que c'est une patiente "itinérante" et mauvaise payeuse de surcroît. Est-ce que j'aurais dû tenter une ouverture de chambre quand même ? (sachant qu'il fallait découper la couronne...) J'me pose la question !


Images eb1m5g - Eugenol
tonio

17/10/2008 à 02h33

marrant ça! v'la maintenant qu'on parle d'endo en exercice pro!

Si on s'en donne un peu les moyens (connaissances, matos, produits, techniques opératoires), les chances d'obtenir un succès endodontique (radiologique et biologique) sur des traitements initiaux (avec ou sans présence de LIPOE) restent tout de même favorables: entre 80 et 95%. Je dis bien si on s'en donne les moyens...

Un grand merci quand même à la rotation continue qui a permis d'améliorer la qualité et la reproductibilité des traitements endos. Il faut le reconnaître.

Le retraitement, c'est autre chose, plus aléatoire et surtout plus ingrat dans la besogne quotidienne. Mais, toujours avec ces mêmes moyens, les satisfactions professionnelles (amélioration du traitement initial ou guérison d'une LIPOE) ne sont pas rares non plus. Mais la modestie reste de mise quand on s'attaque à un nécessaire retraitement.

Pour ceux qui sont intéressés par le sujet, bouchez, trope, orstavik and cie ont pas mal écrit sur ces histoires de pourcentage de succès, de prévalence de LIPOE... bref, des études épidémios mais qui ne sont pas toujours comparables du fait des moyens et des techniques employées donc l'interprétation et l'analyse des données n'est pas transposable d'une étude sur l'autre.

L'article le plus déprimant de tous, mais tellement réaliste, est celui de Machtou (étanchéité coronaire vs étanchéité apicale), où il nous confesse que presque tous nos traitements sont voués à l'échec sur le long terme, du fait de la perte d'étanchéité. Mais il nous remonte le moral en nous disant qu'en faisant bien notre endo, on limitera ce pourcentage d'échec. ;-)

N.B: LIPOE = Lésion Inflammatoire Périradiculaire d'Origine Endodontique (pour ceux qui ne savaient pas).


Logo vuaztn - Eugenol
mac

17/10/2008 à 08h51

ben Ecrivait:
----------------------------------------------------- (4% d'entre vous, c un bruit qui
> court).


faut faire gaffe aux bruits qui courent.


Dr - Eugenol
JeRis

17/10/2008 à 09h23

"Est-ce que j'aurais dû tenter une ouverture de chambre quand même ? (sachant qu'il fallait découper la couronne...) J'me pose la question !"


... il suffit de la percer en oclusal; souvent, elles ne sont pas plus épaisses qu'une feuille de papier cigarette.
La dent au desssous est souvent à peine taillée.


1...567

Ce sujet est verrouillé

Les réponses à ce sujet sont désactivées