Cookie Consent byPrivacyPolicies.comLaquelle extraire? - Eugenol

Laquelle extraire?

geoffreydepeyrac

15/10/2008 à 00h02

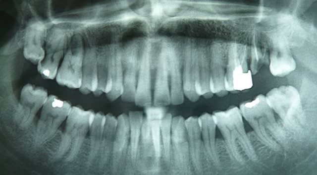
Quelle aproche auriez-vous quant au "traitement" de 18/17 ?

Privilégier la conservation de 18 ou de 17 ?

P1060940ret d869md - Eugenol
P1080198ret qepjjk - Eugenol

Grueavatar nptrc9 - Eugenol
Le Choixpeau magique

15/10/2008 à 01h06

Tu devrais peut être faire une rétro, mais la 7 est probablement irrécupérable. Malheureusement tu ne feras sans doute rien non plus de ta 8.
Amha, vire la 8, confirme la disposition de ta carie et vire la 7.


Marque a3 orange fyvhyq - Eugenol
Marc Apap

15/10/2008 à 01h09

Ah bon, on ne s'embête plus à soigner les dents maintenant ? La 8 OK, elle ne peut pas être utilisée. La 7 cela me paraît tout à fait récupérable moyennant quelques efforts (pulpec + obt coronnaire + couronne).


Grueavatar nptrc9 - Eugenol
Le Choixpeau magique

15/10/2008 à 01h12

Je demande à voir la gueule de la furcation entre la DV et la P !
Si c'est récupérable tant mieux, et dans ce cas rien de mieux que la vision directe après extraction de la 8 !


Image odged8 - Eugenol
ploc

15/10/2008 à 04h42

et au 421?
choisis une dent,le patient l'autre:la 1ère extraite est celle du gagnant(ou du perdant le tout est de fixer au préalable les règles)
en final les 2 seront extraites mais entre temps,des relations conviviales et ludiques se seront crées entre lui et toi

à la limite je me demande si je ne préfèrerai pas la 18 avec traction odf:)




geoffreydepeyrac

15/10/2008 à 10h15

Si la carie ne descendait pas autant en distal de 17, la réponse serait beaucoup plus facile, c'est sûr. Pour pimenter le jeu, ci dessous une vue complète ; pas très visible, le plancher de la 27 est carié.

P1080198retb tpnrjw - Eugenol

Avatar m3f7ri - Eugenol
le chamane

15/10/2008 à 12h35

je pense que la 7 est irrecuperable, dans ce genre de cas, je mes souviens des paroles d'un de mes prof d'endo qui disait que la résorption n'était pas que distale mais circonferentielle à la face distale, en forme de croissant.
ceci dit si tu veux garder la 8, ça doit pas être évident de dégager la sept sans y toucher.


3f3boxni50k58rq7e9ce9ddqrxgk - Eugenol
dentiste57

15/10/2008 à 16h12

moi je virai la 7 , curetage de 6 et 8 puis os de substitution dans l'alvéole.
laisser la 7 avec son dévellopement paro met en danger 6 et 8.
une rétro de la 6 ?


gilles69

15/10/2008 à 23h47

17 et 18


Cuisinier2 vnbbxx - Eugenol
jeff2

17/10/2008 à 22h57

voilà l'interet d'un cone-bean (que je n'ai pas)
mais honntement pas d'espoir pour la 7 ni pour la 6, la 8 est une fantaisie,mais aucun interet de la garder.
Avec le cone bean, t'aurais même des suprises pour la 5 ( je rigole, mais pas trop)


geoffreydepeyrac

19/10/2008 à 12h06

C'est quoi un cone-bean ?
quand tu dist que la 6 est condamnée, tu voulais dire la 27 je pense ?


Cuisinier2 vnbbxx - Eugenol
jeff2

19/10/2008 à 12h56

non non , je pense que la 6 va bientot y passer
le cone bean c'est ta radio en 3d
je suis effaré des résultats qu'on a avec ce truc, des dents que je me serais acharné a sauver, et bien apres le cone bean, le trio de mes correspondants implanto et endo, et bien on prend le chemin de l'implanto


isaïe

19/10/2008 à 13h38

Entièrement d'accord avec Jeff2.

"Quelle aproche auriez-vous quant au "traitement" de 18/17 ?"
Le patient a quel âge ? S'il a connu la Commune et Bismarck....
Sa santé est comment ?
Il a des sous pour ses dents ?
Pour l'entretien, il fait quoi habituellement ?
Et j'essayerais de comprendre pourquoi il en arrive là. Essayer.


Humator t9r5wy - Eugenol
humator

19/10/2008 à 17h40

effectivement, il manque quelques données au problème, mais à vue de nez, je ferai ext de 18, soin +/- TR, +/- couronne sur 17, le tout dans le cadre d'un traitement paro, qui semble ici necessaire...
jeff2, il faut que tu m'expliques ce que vient faire ici un haricot conique!!
;-)


024 vownvo - Eugenol
annie

19/10/2008 à 18h54

pourquoi pas essayer de garder les deux? soit la 7 est récupérable ou elle ne l'est pas ,toi seul peux le savoir, ou le tenter ,quant a la 8 un meulage en mésial l'empecherait de produire les mêmes effets,surtout sur une 7 qui serait couronnée?


Grueavatar nptrc9 - Eugenol
Le Choixpeau magique

19/10/2008 à 19h35

humator Ecrivait:
-------------------------------------------------------
> jeff2, il faut que tu m'expliques ce que vient
> faire ici un haricot conique!!

C'est bean le haricot...


Humator t9r5wy - Eugenol
humator

21/10/2008 à 16h06

je confirme, jeff2 parle bien d'un haricot conique!!

--
N.Hum


Grueavatar nptrc9 - Eugenol
Le Choixpeau magique

21/10/2008 à 16h20

Pardon, je n'avais pas saisi la pique !


S8ysxdzhdqgw00w4q6m07a5d47q2 - Eugenol
gai-luron

22/10/2008 à 00h02

Harry Connick Jr?