Cookie Consent byPrivacyPolicies.comVous feriez quoi ? - Eugenol

Vous feriez quoi ?

Blue eye thumb medium dx1i0w - Eugenol
bill

18/10/2008 à 02h01

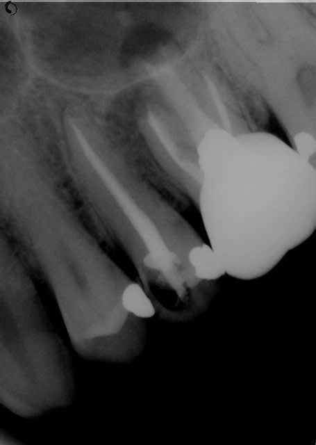
Patient 22-23 ans, endo de la molaire faite lorsqu'il avait 8-10 ans d'après lui.
Que faire sur un truc pareil?

Ff f8dgrp - Eugenol

Squash u44zd8 - Eugenol
steph

18/10/2008 à 02h10

Obturation au MTA.
Pas de difficulté pour retirer la couronne, pas de tenon et un canal palatin large.
Avec un patient jeune, un potentiel de guérison intéressant, et avec le matos adapté c'est ce que je ferais.


Audi tt 2007 jzsdts - Eugenol
sbire

18/10/2008 à 02h31

oui faut tenter


Img 1392 s73srk - Eugenol
Guttaman

18/10/2008 à 03h26

Sauf que l'image apicale sur la racine MV pourrait indiquer une fêlure. Je déposerai déjà la couronne, sondage en mésial, observation au MO (ou loupe si tu as) avant de bloquer plus de temps pour rien.
Si tout semble ok, MTA dans le palatin.


024 vownvo - Eugenol
annie

18/10/2008 à 03h32

en attendant de savoir quoi faire sauve la 5 !


Blue eye thumb medium dx1i0w - Eugenol
bill

18/10/2008 à 18h38

annie Ecrivait:
-------------------------------------------------------
> en attendant de savoir quoi faire sauve la 5 !


C'est en cours annie.

Le problème c'est qu'il n'y a plus de butée apicale, comment on fixe le mta?
Je crois que ça va aller chez ben ce truc, ça me dépasse ... ;-)


op

18/10/2008 à 18h47

envoie le à un endo exclusif
et occupes toi de la 5



01 ukhwbq - Eugenol
Bobby

18/10/2008 à 20h15

A mon sens faire traiter la dent par un endo exclusif et la couronner par la suite, ça se tente mais c'est quand même pas mal risqué, d'une part au niveau de l'endo, le résultat n'est pas garanti (même si c'est toujours le cas...), et puis la racine palatine semble faiblarde, donc avec un tenon dedans, c'est pas dit qu'elle tienne super longtemps. De plus le coup pour le patient va être relativement élevé, alors qu'avec un implant, le pronostic est quand même plus sûr.
Si c'était pour ma dent, j'y réfléchirais à deux fois. Pas sûr qu'un patient, même si on lui explique bien, accepte de passer du temps au fauteuil et de dépenser "quelques" sous pour s'entendre dire dans six mois ou un an que sa dent est à extraire.


Pa050055 igyagy - Eugenol
mark

18/10/2008 à 20h46

Perso, je n'oserais pas. Je passerais la main.


doc.driba

18/10/2008 à 21h35

Salut,

steph Ecrivait:
-------------------------------------------------------
> Obturation au MTA.
> Pas de difficulté pour retirer la couronne, pas de
> tenon et un canal palatin large.


Pas évident que la couronne ne soit pas une couronne monobloc avec un encrage dans la chambre.


Sinon, si pas de fêlure, MTA pour le platin et vérifier le MV2 pour la racine MV.



bill Ecrivait:
-------------------------------------------------------
Le problème c'est qu'il n'y a plus de butée apicale, comment on fixe le mta?


Sans aide optique, laisse tombé, tu dois pouvoir voir ton canal jusqu'au fond pour maîtriser le placement du MTA surtout avec un canal qui fini en entonnoir.


Cordialement.



Blue eye thumb medium dx1i0w - Eugenol
bill

19/10/2008 à 02h48

op Ecrivait:
-------------------------------------------------------
> envoie le à un endo exclusif
> et occupes toi de la 5
>
>
>

J'aimerais bien l'avis de Stéphane ou Willy s'ils sont par là.
La 5 j'ai déjà fait l'endo, c'est la radio.




Et je rajoute pour ceux qui ne vont pas manquer de faire la leçon que l'endo a été faite sous digue mais comme déjà dit je la retire pour faire la radio, je fais en général confiance au localisateur ce qui est le cas ici...


ben

19/10/2008 à 13h56

sacré bill ;))))


Stéphane

19/10/2008 à 17h42

Effectivement, bouchon de MTA sur la racine palatine.

Pour ce faire, desobturation complete, irrigation +++

mettre le porte MTA dans le canal et faire une radiographie de controle. L'embout doit descendre à environ 2mm de l'apex radiographique.

Si c'est bon, tu mets un stop en sillicone pour repérer la longueur.
Séchage du canal, et mise en place du MTA : il faut le déposer dans le canal sans pousser.

Radio de controle.
S'il est bien placé, avec des cones de papier de gros diamètre utilsiés à l'envers, tu ne foules pas le matériau, mais tu absorbes l'eau en excès.

Ensuite tu apportes du MTA jusqu'à obtenir une obturation apicalede 5 mm au minimum.

Obtruation du reste du canal à la gutta dans une seconde séance.

Ce n'est pas iumpossible sans microscope. Des loupes sont les bienvenues, et de toute facon faciliteront largement la procédure.

Il suffit de compter sur la chance du débutant qui veut que les premières fois ca marche toujoutrs. la seconde est toujorus plus périlleuse !!


ben

19/10/2008 à 19h17

Je ne partage pas du tout ton avis. Réaliser un bouchon de MTA dense et étanche sur cette racine palatine est extrêmement difficile.
Ridicule de tenter ça sans microscope, et assez illusoire même avec. Il faut déjà retirer toute la merde du canal, et tant qu'à rien y voir, tu peux aussi travailler avec des gants de boxe.
Maintenant, à l'écrit, c'est largement faisable, surtout la première fois ;))))


ben

19/10/2008 à 19h29

Et puis de toute façon, t'attaques pas un tel traitement en comptant sur "la chance du débutant". Encore une fois, on est ici dans la vraie vie, avec des vrais gens, des vrais coûts, et de vrais choix à faire en fonction de tout ça.


Grueavatar nptrc9 - Eugenol
Le Choixpeau magique

19/10/2008 à 19h33

Surtout ne jamais effectuer aucun acte qu'on n'a pas déjà réalisé au moins une fois auparavant...


Stéphane

19/10/2008 à 20h48

Le Choixpeau magique Wrote:
-------------------------------------------------------
> Surtout ne jamais effectuer aucun acte qu'on n'a
> pas déjà réalisé au moins une fois auparavant...

Rien n'empeche Bill de s'entrainer sur une dent extraite, ce que je lui conseille.

Et si ca ne fonctione pas, ou s'il ne le sent pas le jour J, alors il réfère.

Rien n'est irréversible sauf s'il aggrave la situation.

l'endodontiste doit rester dans son rôle. Ce 'est pas à lui de décider ce qu'on doit lui adresser, mais bien à l'omnipraticien.

Les gens sont censés et connaissent leur limite.
Si Bill n'est pas à Paris, ou la concurrence semble commencer à faire rage à lire Dr Ben, ce n'est pas le cas en Province, et il aura peut être du mal a trouver un référent à moins de 300km de chez lui.

Quand on décide de limiter son exercice et de se spéialiser, on doit savoir ou l'on va.
Je connais beaucoup d'omnipraticiens qui font de la très belle endo, bien mieux que moi souvent et que beaucoup d'"endodontistes" qui ont suivi une formation de 6 jours et qui parce qu'ils osnt doués de leurs doigts se sont auto proclamés sépacilistes en endodontie.

Vas Y Bill, j'ai confiance en toi !


Grueavatar nptrc9 - Eugenol
Le Choixpeau magique

19/10/2008 à 21h19

Stéphane, c'était de l'humour ! (peut être raté).


ben

19/10/2008 à 21h26

"Les gens sont censés et connaissent leur limite." :Tu vas devenir le drucker de l'endodontie au fil des confs et bouquins "ki ne te rapportent rien".
C'est dingue ce qu'on peut être consensuel quand on doit vendre sa came.
Si le cas ci dessus n'est pas un cas à référer, un bon cas bien pourri, au pronostic bien réservé, alors je ne vois pas ce qu'il faut adresser.
Mais c'est vrai que je suis dans la vraie vie, dans mon vrai cab avec mes vrais problèmes et mes petites compétences acquises sur le tas.
Et c'est vrai que je n'ai rien à vendre.


alhoun

19/10/2008 à 21h46

Le Choixpeau magique Ecrivait:
-------------------------------------------------------
> Stéphane, c'était de l'humour ! (peut être raté).
>
>


pas du tout.
j'ai bien rigolé.
je t'assure.


Tilc

19/10/2008 à 21h50

Pour avoir tenter ce type de traitement avec et sans micro j'ai remarqué qu'il s'agit d'une procédure super standardisée et que le micro n'apporte en aucun cas une modification de la dite procédure : Ccl le micro ne sert a rien ...
L'utilisation d'un moyen particulier (un scanner, une séparation de racine, l'utilisation d'un microscope) ne se justifie que si elle modifie l'acte en question .


Mordancage Fatal

22/10/2008 à 01h04

Je suis étudiant et j'aimerais tenter ce genre de manip avec une dent à apex bien ouvert mais je n'ai pas de MTA. Quel est le matériau (le moins couteux possible) qui se trouve facilement et dont la consistance est la plus proche du MTA, pour tenter une mise en place. Merci à vous
PS : j'ai bien sur pensé au ciment de Portland mais apparemment ils le livrent avec une benne...


Blue eye thumb medium dx1i0w - Eugenol
bill

22/10/2008 à 01h26

Stéphane écrivait:
------------------

>
> Vas Y Bill, j'ai confiance en toi !


Merci, je vous tiens au courant de la suite, en général j'essaie de ne faire que ce que je sais, de toute manière, si je ne le sens pas, je trouverai une autre solution.


pater

09/12/2009 à 00h07

extraction puis implant.


marcus

09/12/2009 à 00h22

Pourquoi ne pas tenter l'endo de quelque manière que ce soit, et si çà ne marche pas, il reste la solution de ne virer proprement QUE la racine palatine .Une cr sur les racines vestibulaires bien consolidées sera toujours mieux que le plus beau des implants


12