Cookie Consent byPrivacyPolicies.complanmeca pro max - Eugenol
Péach

21/10/2008 à 14h09

pour ceux qui en ont assez d'envoyer leur patients se faire faire un scanner et d'attendre le retour dudit patient, la solution peut s'appeller pro max;
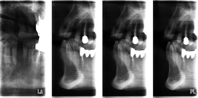
comme son prix en version 3D m'inquiétait un peu, (+ de 100.000 €), je l'ai acheté en version allégée, sans la 3D; elle fait donc les panos et surtout les tomos (voir fichiers ci joint); les résultats sont assez intéressants; la version 3D sera ajoutée dans un an ou deux; je pense que ça ne peut pas remplacer à 100 % un scanner pour préparer un soulevé de sinus par abord latéral, mais ça le fait très bien pour le reste; pour les sinus par abord crestal, j'attend de voir

Le sant fernand ptntf7 - Eugenol
Onnot daniel xl7c9p - Eugenol

Grueavatar nptrc9 - Eugenol
Le Choixpeau magique

21/10/2008 à 14h22

J'ai travaillé dans un cabinet d'implanto qui l'avait, le praticien en avait l'air content, mais les clichés tomos étaient très inégaux et devaient souvent être recommencés (bonjour l'irradiation), pour un résultat quand même souvent assez "impressionniste". Il est quand même assez fréquent que sur les quatre coupes, une seule "coupe" vraiment quelquechose.
Je pense que c'est plus utile pour avoir une "idée" de l'anatomie, plutôt que pour faire quelque chose de précis.
Il arrivait assez souvent que le praticien envoie le patient faire un scanner après deux ou trois séries de tomos ratées...


Péach

21/10/2008 à 14h35

d'où le fait de ne pas l'utiliser pour un soulevé de sinus, et encore... à suivre
pour ma part, je n'ai pas encore raté de tomos, 4 réussies sur 4, j'en suis donc content;
pour les résultats "impressionnistes", que penses tu des fichiers en pièces jointes?
quant à l'irradiation, une tomo fait 7 à 8 Sv, contre 300 à 600 pour un scanner, et si ma mémoire est bonne, 2500/an pour l'exposition naturelle au soleil et 3000 environ en Bretagne
bon, de toute façon, c'est une simple info pour les amateurs, et la radio n'a qu'une semaine d'activité ;-)


Humator t9r5wy - Eugenol
humator

21/10/2008 à 16h10

mon cher peach, tu n'as pas précisé le cout de cette version.
Peux tu me donner approximativement l'encombrement de cette machine ( surface au sol, et à hauteur d'homme).
merci

--
N.Hum


Péach

21/10/2008 à 18h36

le coût négocié est entre 50 et 60.000 € (je te communiquerai le prix réel en MP car mon vendeur m'a demandé une certaine discrétion, vu l'effort réalisé)
le volume nécessaire pour installer une pano est imposé par la loi, il faut un local de 2 m x1,50m , je crois;
je n'ai pas la doc' sous les yeux mais je dirais que la Pro Max fait 1-1,1m x1,3-1,4 m
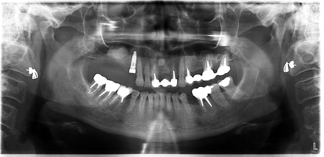
je viens de faire une pano pour contrôler un soulevé tout à l'heure, je le post en PJ car je trouve la définition extra, et il n'y a pas de déformation : l'implant est rectiligne, contrairement à ceux sur la dernière pano que j'ai reçue d'un radiologue il y a 15 jours qui étaient déformés; en plus , le biomat' n'était pas très bien visible, là, il est super
le liseré foncé autour de l'implant est normal, il n'existe pas sur une rétro

Le leonnec josiane pano 1 rgxhri - Eugenol

Rape p0as4f - Eugenol
rapelapente

21/10/2008 à 19h24

belles images qd même !
MAis fais attention les noms des patients apparaissent...


Grueavatar nptrc9 - Eugenol
Le Choixpeau magique

21/10/2008 à 19h38

Je confirme aussi le bon fonctionnement de ce modèle en mode "pano" (bien meilleur en tout cas que la kodak que j'ai aussi pu utiliser pendant quelque temps)


Péach

21/10/2008 à 20h25

yes, merci, j'ai bien vu ensuite que les noms circulaient, j'ai modifié les réglages; c'est un beau joujou autrement; j'ai hâte de passer en 3D, je verrai à l'ADF les tendances tarifaires


3f3boxni50k58rq7e9ce9ddqrxgk - Eugenol
dentiste57

22/10/2008 à 01h13

Péach écrivait:
---------------
> yes, merci, j'ai bien vu ensuite que les noms circulaient, j'ai modifié les
> réglages; c'est un beau joujou autrement; j'ai hâte de passer en 3D, je verrai à
> l'ADF les tendances tarifaires

de ce coté là il n'y aura pas beaucoup de changement avant 3 ou 4 ans, c.a.d toujours plus de 100000.
chacun son job, laissons faire les radiologues. et puis c'est extrêmement chronophage; il faut un bon quart d'heur par tomosynthèse avec le promax.

sinon planméca c'est vraiment au top .


Péach

22/10/2008 à 11h44

sauf que les radiologues de chez moi ne font pas de commentaires, et c'est donc à moi de faire leur travail, sauf que le patient ne repart plus sans plan de traitement du cabinet et avec un délais de 3 semaines avant d'avoir son scanner, et sauf que je fais payer 90 € pour le temps passé pour faire les tomos; dans ce contexte, je suis très satisfait et ma pro max se est financée, mais j'admet sans problème que ça ne puisse pas être le cas pour tout le monde


3f3boxni50k58rq7e9ce9ddqrxgk - Eugenol
dentiste57

22/10/2008 à 15h13

Péach écrivait:
---------------
> sauf que les radiologues de chez moi ne font pas de commentaires, et c'est donc
> à moi de faire leur travail, sauf que le patient ne repart plus sans plan de
> traitement du cabinet et avec un délais de 3 semaines avant d'avoir son scanner,
> et sauf que je fais payer 90 € pour le temps passé pour faire les tomos;


90 !

t'es vraiment pas cher.

au fait, superbe soulevé de sinus , bravo !


Péach

22/10/2008 à 17h38

merci ;-) c'est toujours rigolo, cette grosse bouboule de futur nonosse dans un sinus;
quant aux 90€, c'est le prix de la tomo, pas de l'analyse de l'image; ça paye le leasing mais pas les 15 mn du temps passé pour faire la tomo;
les scanner implanto sont à 150€ par ici; 90 € , c'est en promo pour la première semaine de la planméca ;-) je dois dire que je ne me suis pas non plus encore beaucoup penché sur le problème


3f3boxni50k58rq7e9ce9ddqrxgk - Eugenol
dentiste57

23/10/2008 à 01h09

la tomo D sur le promax est facturée 120 par mon radiologue.
si ça peux t'aider à te caler..


Péach

23/10/2008 à 02h09

merci pour l'info, je vais y réfléchir


Blason dql7mj - Eugenol
growler

23/10/2008 à 19h03

ton post m'interresse car je suis sur le point de signer directement pour le 3D avec la i-cat
http://www.gxcb500.com/



Péach

24/10/2008 à 00h45

j'ai vu la Gendex, je ne connais pas ses qualité techniques, mais elle m'a l'air très volumineuse, (et fait un peu chaise électrique! ;-) )
la planméca est plus racée et prend moins de place
ma clientèle est admirative devant son aspect; du coup, la porte est toujours ouverte et la salle reste éclairée pour que tout le monde la voit en allant à la salle d'attente
c'est un vrai "plus"


Logo vuaztn - Eugenol
mac

24/10/2008 à 01h01

c'est quoi le volume de coupe avec la planmeca?


Blason dql7mj - Eugenol
growler

24/10/2008 à 01h55

ce qui me plaît sur la I-CAT c'est justement la position assise pour une meilleure stabilité du patient. Pas de maintenance particulière. Certes elle peut paraître moins "racée" mais si l'assistante qui accompagne le patient est elle même bien balancée çà compensera.

@+


Blue eye thumb medium dx1i0w - Eugenol
bill

24/10/2008 à 02h03

growler écrivait:
-----------------
Certes elle
> peut paraître moins "racée" mais si l'assistante qui accompagne le patient est
> elle même bien balancée çà compensera.
>
> @+


MDR !!!

Je suis sûr que l'argument sera repris sur la plaquette commerciale...


Péach

24/10/2008 à 09h49

mac écrivait:
-------------
> c'est quoi le volume de coupe avec la planmeca?

on peut faire 3 coupes espacées de plusieurs mm, la distance entre chaque coupe étant réglable; je ne connais pas encore toutes les valeurs, actuellement, je travaille sur un espace de 3 mm;


Mamour

25/10/2008 à 23h07

quand on possède l'option 3D (je ne parle pas de l'option coupe tomo)sur le planméca les coupes peuvent être faites de 0.8 mmm en 0.8mm
c'est largement suffisant.


Logo vuaztn - Eugenol
mac

25/10/2008 à 23h09

en parlant de volume, je voulais savoir si on pouvait faire des coupes d'une arcade entière par exemple.


Cuisinier2 vnbbxx - Eugenol
jeff2

25/10/2008 à 23h28

dentiste57 écrivait:

>
> de ce coté là il n'y aura pas beaucoup de changement avant 3 ou 4 ans, c.a.d
> toujours plus de 100000.


T'es un peu à la traine, les 3D de Ben et Carole sont a 85000 euros et ces appareils, des Kodak 9000 3D, sont des betes de courses qui irradient beaucoup moins que la planmeca pour une resultat superieur


3f3boxni50k58rq7e9ce9ddqrxgk - Eugenol
dentiste57

26/10/2008 à 11h07

si ils pouvaient envoyer des images pour comparer.


Cuisinier2 vnbbxx - Eugenol
jeff2

26/10/2008 à 11h12

on va demander a MArc Apap qu'il nous fasse un comparatif

livraisons de 4 cone bean diffrents chez Marc Apap. Il a la place.