Cookie Consent byPrivacyPolicies.complanmeca pro max - Eugenol
Bernard l ermite yjelun - Eugenol
doc-driba

26/10/2008 à 20h55

Salut,

dentiste57 écrivait:
--------------------
> si ils pouvaient envoyer des images pour comparer.

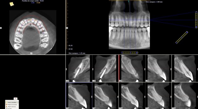
Je ne possède pas (encore?) de 9000 3D mais j'ai adressé des patients chez un pote qui en possède une depuis peu.

Mise à part la prise en main qui semble aisée mais en réalité demande un temps d'apprentissage pour arriver à bien cibler la zone désirée, je suis satisfait des images obtenues.

Il ya encore un souci d'artéfact important quand il y a un fort contraste exemple obturation endo très dense ou tenon métallique ((flèche sur image jointe).

L'outil de visualisation fourni est bien fait sa prise en main facile sauf pour les coupes obliques là je cale encore.

Cordialement.

C ne bean01 kdgfgb - Eugenol
Cone bean mzc425 - Eugenol
Capt 1924461 copie mzardk - Eugenol
Capt 1924463 rlx7za - Eugenol
Capt 1924464 p0tuqr - Eugenol

bru

26/10/2008 à 21h17

jeff2 écrivait:

> T'es un peu à la traine, les 3D de Ben et Carole sont a 85000 euros et ces
> appareils, des Kodak 9000 3D, sont des betes de courses qui irradient beaucoup
> moins que la planmeca pour une resultat superieur

Mais oui, évidemment, des bêtes de course ! ; montre moi que kodak irradie moins.... et comment ils font pour un implant même unitaire car sur aucune acquisition je ne vois l'arcade antagoniste...


Cuisinier2 vnbbxx - Eugenol
jeff2

26/10/2008 à 21h23

bru écrivait:
. et comment ils font pour un implant même unitaire car sur aucune
> acquisition je ne vois l'arcade antagoniste...

Là , chapeau!! il faut que tu m'expliques..
Même avec un scan "normal", je n'ai jamais vu les deux en même temps

mais je suis sur que ton explication va interesser tout le monde


Logo vuaztn - Eugenol
mac

26/10/2008 à 21h30

bon que ça irradie moins qu'un scan, pourquoi pas même si c'est pas trop un critère pour moi.

le problème de la 9000 pour moi c'est qu'on peut faire l'acquisition que d'une demi-arcade, et donc on ne peut pas faire de guide chir avec simplant ou nobelguide, donc se payer une machine de se prix et être obligé d'envoyer ses patients chez le radiologue : bof !


Blason dql7mj - Eugenol
growler

26/10/2008 à 21h39

c'est bien pour cela que la I-cat m'interesse...clichés mardi matin.


bru

26/10/2008 à 21h43

jeff2 écrivait:

> Là , chapeau!! il faut que tu m'expliques..
> Même avec un scan "normal", je n'ai jamais vu les deux en même temps

je suis d'accord un scan ( et surtout en protocole low dose ) c'est pas mieux


>
> mais je suis sur que ton explication va interesser tout le monde

Sans l'antagoniste, c'est n'importe quoi ( sauf à avoir un guide radiologique ) ; gros avantage d'un promax avec lequel tu as l'antagoniste..


bru

26/10/2008 à 21h49

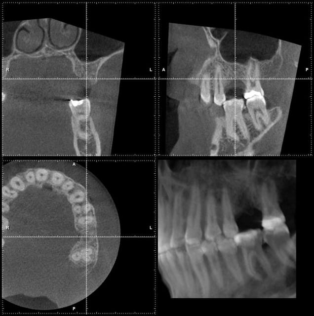
Juste le temps de faire une capture...

Acq cmff1r - Eugenol

Logo vuaztn - Eugenol
mac

26/10/2008 à 22h00

growler écrivait:
-----------------
> c'est bien pour cela que la I-cat m'interesse...clichés mardi matin.


et moi donc...


Péach

08/12/2008 à 20h04

gros rabais à l'ADF: la Planmeca Pro max grand format (maxillaire entier) baisse de 100.000€, et celle équivalant à la Kodack 9000 mais avec un capteur un peu plus grand est au prix de la Kodack, soit 80.000€ environ! les acheteurs du début 2008 ne vont pas vraiment apprécier; le cone beam se démocratise!


Logo vuaztn - Eugenol
mac

08/12/2008 à 21h47

Péach écrivait:
---------------
> gros rabais à l'ADF: la Planmeca Pro max grand format (maxillaire entier) baisse
> de 100.000€, et celle équivalant à la Kodack 9000 mais avec un capteur un peu
> plus grand est au prix de la Kodack, soit 80.000€ environ! les acheteurs du
> début 2008 ne vont pas vraiment apprécier; le cone beam se démocratise!


ils prennent pas les gens pour des cons, c'est ça qui est bien.


Blason dql7mj - Eugenol
growler

09/12/2008 à 02h26

la I-CAT est commandée, livraison courant Janvier.


1 okqrab - Eugenol
Léonard

09/12/2008 à 03h57

Péach écrivait:
---------------
> gros rabais à l'ADF: la Planmeca Pro max grand format (maxillaire entier) baisse
> de 100.000€, et celle équivalant à la Kodack 9000 mais avec un capteur un peu
> plus grand est au prix de la Kodack, soit 80.000€ environ! les acheteurs du
> début 2008 ne vont pas vraiment apprécier; le cone beam se démocratise!



Bonjour a tous, ...

1- Euuuuhh! Tu dis 100000 euros de moins ?!? Pour la 3D ?

Çà fait du combien çà au total ???

2- Et la 9000 3D est sortie avec un champs plus grand pour l'adf ??? (désolé comprend pas, j'y étais pas ! )

3- Et l'icat , çà donne quoi en terme de prix et de grandeur de champs d'acquisition ?




Merci d'avance pour ces précieuses réponses

!


Blason dql7mj - Eugenol
growler

09/12/2008 à 10h35

disons que la I-CAT, tu te la payes avec le rabais obtenu sur la pro-max. Je crois que sur la kodak ils auraient sortie un logiciel pour faire fusionner 3 acquisitions pour reconstruire ainsi un grand champ.

cette année, l'effet concurrence a fait retomber sur terre les distributeurs (bien qu'ils soient toujours en lévitation) et peut-être même que çà baissera encore l'année prochaine car avec le développement de l'implanto il y a un potentiel d'équipement à vendre important et c'est actuellement une des dernières vraie manne qui se propose aux marchands et installateurs.


champ de la I-CAT: 8x8 et i y a un mode pano
categorie E5


Péach

09/12/2008 à 17h25

je confirme....les propos du vendeur de ma Planméca version pano-tomo d'octobre : la version complète avec 3D et grand format passe de 250.000 à 150.000, et le petit format, qui sera livré en mars, le sera au prix de 80.000 € environ et aussi dans une taille de capteur supérieure à celle de la Kodack; pour tenir les acheteurs, ils les livrent actuellement avec le grand format jusqu'à ce que le petit sorte, et ils feront l'échange standart ensuite
c'est vraiment le big bazar.....
un "jeune vendeur" (je veux dire, très tête à claque) de Planméca m'a même entre autre affirmé qu'ils sortaient prochainement un logiciel permettant de coupler les fichiers droit et gauche du petit format pour en faire un grand
le délire complet! les acheteur du grand format à 250.000 vont hurler de joie
et effectivement, on ne nous prend pour des idiots
il est donc surtout intéressant de ne pas se presser et d'attendre l'ADF 2009 où la guerre fera probablement encore plus rage
après avoir été pigeon, on pourra devenir chasseur!


cyberquenottes

09/12/2008 à 17h27

growler écrivait:
-----------------
I-CAT: categorie E5

et ton fournisseur t'a fourni les conditions d'installations pré validées par l'ASN

je dis ca je dis rien
--
.
.
.
.
.
.
.
.SIGNEZ LA PETITION JULIE ICI :
http://www.mesopinions.com/pour-supprimer-les-nouveaux-controles-de-droits-inclus-dans-la-version-3-31-de-JULIE-petition-petitions-38d6097a26a6eb6b5db29a71c7a8bbdd.html


choucha

09/12/2008 à 23h17

Bonsoir
Pour avoir passe du temps avec le representant de chez ICAT lors du dernier congres a Bruxelles et à l ADF.

Comme sur l ICAT grand champ, il n y a pas de fonctionnalité panoramique avec la Gendex ou meme l ICAT seulement une reconstitution logiciel à partir d l'image 3D.

Il est donc impensable d avoir une bonne image et surtout impossible d avoir l autorisation de la facturer Z21.

Je suis en train d hesiter entre un scanora3D, encore un peu chere (150,000€) ou la Kodak9000 3D (83000€) car le gros de mes images restent la panoramique et sur mes 200 implants annuels seulement 10% sont des cas necessitant une arcade complete (possible avec le scanora3D). Quoi qu il arrive dans les deux cas, il n y a aucune manipulation manuel pour passer du scanner a la pano car tous deux sont equipés de 2 capteurs pivotants automatiquement....


3f3boxni50k58rq7e9ce9ddqrxgk - Eugenol
dentiste57

10/12/2008 à 00h10

Péach écrivait:
---------------

> il est donc surtout intéressant de ne pas se presser et d'attendre l'ADF 2009 où
> la guerre fera probablement encore plus rage
> après avoir été pigeon, on pourra devenir chasseur!
>

pour ma part, j'ai acheté une simple planméca xc il y a deux ans et la qualité des clichés est excellente.
le besoin de la 3d n'est pas encore vraiment essentiel.
c'est un peu comme pour se rendre au boulot, on peut y aller avec le nouveau Q7 de 300 chevaux ou bien en Renault safrane toutes options.
le résultat est le même mais le plaisir est différent.
je sais attendre...quand on voit la différence de prix d'une année à l'autre, on se dit qu'il vaut mieux patienter encore quelques années et faire d'autres investissements plus utiles.


Blason dql7mj - Eugenol
growler

10/12/2008 à 00h45

j'ai eu la confirmation écrite de la cotation z21 pour les panos et pour la catégorie E5 (signées par les autorités compétentes).





Péach

10/12/2008 à 10h10

la 3D ne me semble pas effectivement utile pour l'implanto sur des crêtes suffisantes; par contre, j'aimerais bien pouvoir en disposer pour les sinus et pour tout ce qui nécessite un dépistage d'insuffisance d'épaisseur, et ce n'est pas la situation la plus fréquent des cas que je traite;
c'est pourquoi j'attend encore un peu, surtout au vu de l'ahurissante évolution des prix et des résultats (couplage des fichiers droit et gauche, par exemple)
par contre, je pense que l'ADF 2009 sera une étape importante pour moi pour finir l'équipement de ma Planméca


Blason dql7mj - Eugenol
growler

18/01/2009 à 08h08

çà y est le cone-beam 3D I-Cat est installé depuis jeudi avec un PC plein de mémoire et une carte graphique du diable. J'ai déjà réalisé 3 examens. Le positionnement du patient est simple, l'environnement logiciel assez intuitif.
Faudrait que je vous fasse quelques copies d'écran mais dores et déjà je trouve que les clichés sont vraiment de bonne qualité. Quel confort! les mesures se font au quart de poil.

@+



Fouilla h6plsy - Eugenol
fouilla

18/01/2009 à 10h36

joyeux noël.


Blason dql7mj - Eugenol
growler

18/01/2009 à 19h33

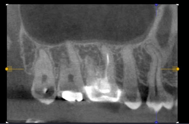
les premières copies d'écran (je ne maîtrise pas encore le logiciel)

I cat exemple 1 jhyv8k - Eugenol
I cat test 2 wku5ws - Eugenol

Grueavatar nptrc9 - Eugenol
Le Choixpeau magique

18/01/2009 à 20h22

C'est vraiment génial !


Gonzo k0qhwz - Eugenol
matten

18/01/2009 à 20h49

La qualite est 100x au dessus du kodak.
Tu l'as eu pour combien?


Cuisinier2 vnbbxx - Eugenol
jeff2

18/01/2009 à 20h58

ne retournez pas le bistouri dans la plaie pour les possesseurs du kodak!!