Cookie Consent byPrivacyPolicies.comFacettes - Eugenol

Facettes

juliana

02/11/2008 à 14h57

Bonjour.
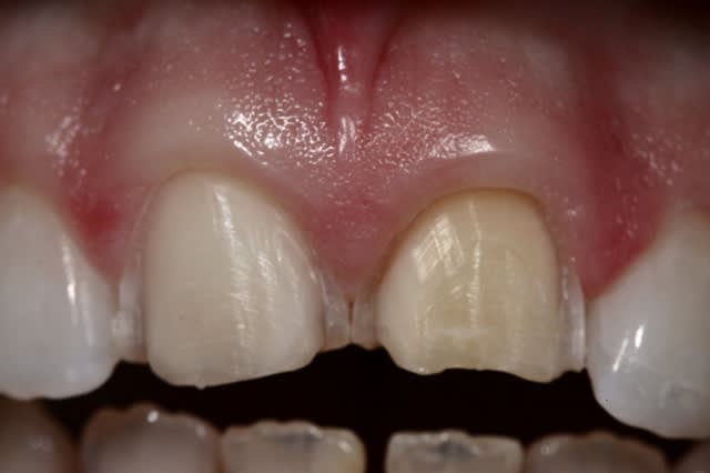
Je vais faire 2 facettes sur incisives centrales (avec retour palatin). J'hésite au niveau du choix du matériau : vitrocéram pressée ou zircone.
Qui a testé ?


Logo vuaztn - Eugenol
mac

02/11/2008 à 15h19

E-max.


alhoun

02/11/2008 à 20h10

l'e max, elle est pressée?


Logo vuaztn - Eugenol
mac

02/11/2008 à 20h16

oui c'est l'évolution de l'empress 2.

en tout cas surtout pas zircone.


003 penrd2 - Eugenol
Cingulum

02/11/2008 à 20h16

Oui pressée, mais jamais en retard...
super collage, alors qu'avec la Zircone on peut toujours s'accrocher !



--
Dr Cingulum
-----Ancien interné----
----Attaché à l'apex----

Img 6313  1024x768  puhjvo - Eugenol
Img 6415  1024x768  bt5eja - Eugenol
Img 6424  1024x768  zv9t5e - Eugenol
Img 6474  1024x768  vi342n - Eugenol
Img 6477  1024x768  ywnopv - Eugenol

Blason dql7mj - Eugenol
growler

02/11/2008 à 20h20

magnifique Cingulum comme dab


Chafia

02/11/2008 à 20h40

Quel beau résultat ^^ chapeau!
par contre pour les couronnes provisoires ça se passe comment ?
--
«Le meilleur miroir ne reflète pas l’autre côté des choses.»Proverbe Japonais


juliana

02/11/2008 à 21h27

Merci beaucoup pour vos réponses.
Cingulum, superbe réalisation !


denver

02/11/2008 à 21h31

Tu les a collées avec quoi s'il te plait?


003 penrd2 - Eugenol
Cingulum

02/11/2008 à 21h46

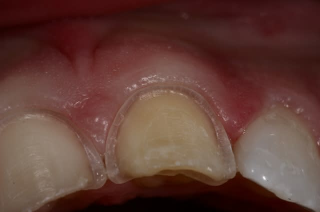
Collé avec du RelyX mais mordançage Acid Fluo sur les facettes + silane...

Provisoire c'est trés simple en fait quand on sait :)


--
Dr Cingulum
-----Ancien interné----
----Attaché à l'apex----

Img 6428 fidqcg - Eugenol
Img 6439 vakcre - Eugenol

Logo vuaztn - Eugenol
mac

02/11/2008 à 21h57

super comme d'hab.

une question : Galip Gurel préconise de rester dans l'émail pour la taille des facettes,
avec des préparations de 0,3 à 0,5mm.

ton avis?



003 penrd2 - Eugenol
Cingulum

02/11/2008 à 22h07

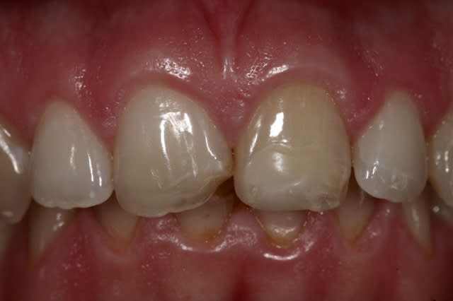
Le probleme c'est que dans 0,3mm d'épaisseur on stratifie pas grand chose. En plus quand je fais des facettes c'est qu'il y a quelques choses à corriger (forme, teinte, defaut...) et dans 0,3mm on cache rien... :(
sur cette photo on voit qu'il reste pas mal d'émail...

--
Dr Cingulum
-----Ancien interné----
----Attaché à l'apex----

Img 6419 obyvhf - Eugenol

Logo vuaztn - Eugenol
mac

02/11/2008 à 22h14

Cingulum écrivait:
------------------
> Le probleme c'est que dans 0,3mm d'épaisseur on stratifie pas grand chose. En
> plus quand je fais des facettes c'est qu'il y a quelques choses à corriger
> (forme, teinte, defaut...) et dans 0,3mm on cache rien... :(


en fait il part de 0,3 si on reste sur la même teinte, et dit de rajouter 0,2 mm d'épaisseur par ton de coloration à modifier.

pour la forme bien sur que s'il faut la modifier, il y a des endroits ou il faudra tailler plus.

merci.


Chafia

02/11/2008 à 22h37

Merci Cingulum !
je parlais pas de la réalisation des provisoires mais plus du ciment de scellement , ça se décolle pas trop facilement ?( toujours pour les provisoires bien sur... mais non c est pas une idée fixe ...:D)

--
«Le meilleur miroir ne reflète pas l’autre côté des choses.»Proverbe Japonais


003 penrd2 - Eugenol
Cingulum

02/11/2008 à 22h52

composite fluide sans adhésif photopolymeriser a travers la provisoire...

--
Dr Cingulum
-----Ancien interné----
----Attaché à l'apex----


Chafia

02/11/2008 à 23h05

Cingulum écrivait:
------------------
> composite fluide sans adhésif photopolymeriser a travers la provisoire...
>
> --
> Dr Cingulum
> -----Ancien interné----
> ----Attaché à l'apex----

Merci , c est vraiment bien d'avoir des praticiens qui partagent leur savoir ! merci Cingulum
--
«Le meilleur miroir ne reflète pas l’autre côté des choses.»Proverbe Japonais


Grueavatar nptrc9 - Eugenol
Le Choixpeau magique

03/11/2008 à 15h09

Bravo cingulum !


200106 10150128247663588 709988587 6466236 5598391 n d7mksb - Eugenol
hallboy

04/11/2008 à 12h37

superbe!!


Audi tt 2007 jzsdts - Eugenol
sbire

15/12/2008 à 19h07

c'est vrai que ca marche pas mal les provisoires avec compo sans adhésif

Me dubesset  1  dwsuae - Eugenol
Dubesset  5  jysfvw - Eugenol
Dubesset  7  fvtlha - Eugenol
Dubesset  6  dnlsmp - Eugenol

003 penrd2 - Eugenol
Cingulum

15/12/2008 à 19h33

super :)
ça fait plaisir... j'ai jamais fait à la mandibule...


--
Dr Cingulum
-----Ancien interné----
----Attaché à l'apex----


Img 0812 mvp6i0 - Eugenol
jeamba

15/12/2008 à 22h31

Bravo et merci de partager ces connaissances, çà donne envie de se lancer. Concernant la sensibilité dentinaire y a t-il un traitement spécifique à faire comme pour les couronnes sur dent vivante? Et si oui lequel ?


david59

15/12/2008 à 23h05

suite au cas présenté par cingulum.
pour tes facettes avec retour palatin, je ne comprends pas l'interet d ela facette avec le risque accru de decollage.
pourquoi ne pas faire de Couronne ceramo ceramique??

merci d'eclairer ma lanterne


3f3boxni50k58rq7e9ce9ddqrxgk - Eugenol
dentiste57

15/12/2008 à 23h27

david59 écrivait:
-----------------
> suite au cas présenté par cingulum.
> pour tes facettes avec retour palatin, je ne comprends pas l'interet d ela
> facette avec le risque accru de decollage.
> pourquoi ne pas faire de Couronne ceramo ceramique??
>
> merci d'eclairer ma lanterne

tout pareil...

c'est pas pour critiquer, mais effectivement avec la taille en linguale cela ressemble plus à une taille de couronne non ?

ps : s'est sympa quand même.


003 penrd2 - Eugenol
Cingulum

16/12/2008 à 10h56

L'empress mordancé ne se décolle pas...
et la préservation des tissus sains conditionne la perennité dans le temps de toute nos restaurations...
meme si difference n'est pas trés importante dans certaine situations... je l'accorde

--
Dr Cingulum
-----Ancien interné----
----Attaché à l'apex----


Grueavatar nptrc9 - Eugenol
Le Choixpeau magique

16/12/2008 à 12h32

Il y a un truc que je ne comprend pas, comment on peut à la fois avoir une stratification et de la céramique pressée ?
Sur une couronne, si je comprend bien, la chape est en pressée, et le protho fait ensuite la stratification esthétique dessus avec les techniques conventionnelles.
Dans le cas d'une facette, il n'y a pas de chape, juste la cosmétique. Si vous réalisez une facette en pressée, ça veut dire de la monocouche sans stratification, non ?


12