Tous les forums
Un joli kyste
07/11/2008 à 22h07
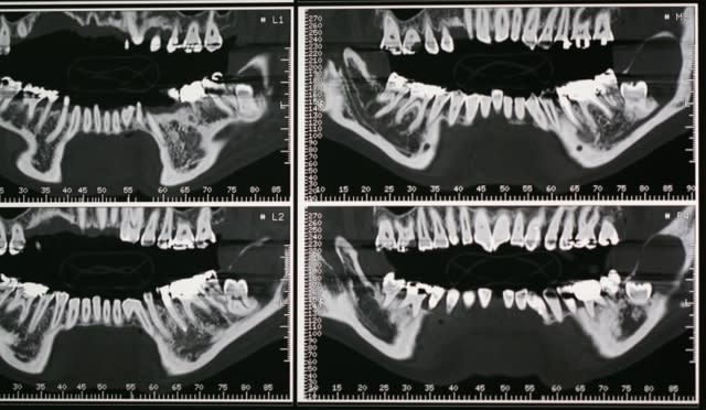
Un petit cas fait ce matin que je partage : kyste péricoronaire de 2,5 cm x 3 cm.
Comme quoi même sans être chirurgien, on peut faire de la chirurgie... à quand la spé ?
Tout s'est parfaitement passé et la patiente n'a aucune paresthésie. Ouf !
07/11/2008 à 22h17
Impressionnant!!!!!!
On dirait que la dent est à genoux, décapitée par dudule.
Ne poste plus que des cas chir, laisse tomber le reste.
07/11/2008 à 22h54
Guttaman écrivait:
------------------
> Mais on dit kyste ou kystre ? mdr... ;-)kyste
contraction de kyste et dans la foulée rte de 36 , cela donne kystre (pas kysrte ,puisque imprononçable ) ...
dudule , l'est couillu , bravo ...
07/11/2008 à 22h56
très belle intervention mais.....
j'ai vomi...
s'pa grave , je r'viendrai plus en chir'
--
SIGNEZ LA PETITION JULIE ICI :
http://www.mesopinions.com/pour-supprimer-les-nouveaux-controles-de-droits-inclus-dans-la-version-3-31-de-JULIE-petition-petitions-38d6097a26a6eb6b5db29a71c7a8bbdd.html
07/11/2008 à 23h30
DC50 avec la DDS
Avec une assistance opératoire à 45€/heure et 1 heure d'intervention... je vous laisse faire le calcul
Mais sinon je pense comme la majorité de la profession, si la création d'une spé voit le jour, il ne faudrait surtout pas autoriser le dépassement d'honoraire sur la chir quand on aura plus le droit de faire que ça...
Normal avec tout ce qu'on se gave.......... enfoiré dirait Coluche !
08/11/2008 à 00h26
dudule écrivait:
----------------
> Avec une assistance opératoire à 45€/heure
Ca fait une moyenne avec "cépalajoiparici" qui bosse sans assistante.
T'es sûr du tarif?
08/11/2008 à 11h10
Bonjour dudule,
je suis enfin reconnecté, j'avais rien compris autruc depuis le changement
Tout ça pour dire effectivement joli kyste !
Tu l'as fait sous AG celui-ci ?
SInon quelle lame de bistouri utilises-tu pour l'incision postérieure ?
Perso j'utilise la lame 15 car on a que ça au service mais je trouve quelle est trop petite pour bien inciser l'épaisseur des tissu au niveau du bord antérieur du ramus.
joli cas, j'en ai un similaire bientôt (un peu plus petit) , je vais essayer de l'iconographié pour le forum.
--
Canin
08/11/2008 à 12h35
Quel âge a le patient ? et quelles sont les circonstances de découverte ? infection, fortuit ?
As-tu déjà reçu l'anapath ?
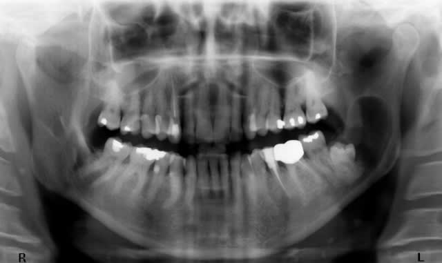
Pour l'AG je crois que j'ai ma réponse car sur la vue endibuccale pré-op il me semble qu'il y a un morceau du packing visible qui déborde l'écarteur.
en PJ: quelques images du cas
--
Canin
08/11/2008 à 13h15
Canin, pour répondre à tes questions :
- tu as bien vu le packing sur la photo préop donc effectivement en AG... Certains dirait une AG mais cela peut se faire en local... oui pour l'exérèse mais si tu fractures la mandibule ça devient vraiment galère à gérer en local.
- une lame 15 en appuyant à fond pour bien inciser sur le bord ant. de la branche montante mais c'est vrai qu'une 11 ferait sans doute mieux l'affaire.
- patiente de 45-50 ans avec lésion découverte au décours d'une infection aiguë puis adressée par un confrère (Pit que je remercie pour sa confiance s'il vient à me lire).
- non je n'ai pas encore l'anapath mais vu la lésion monogéodique uniloculaire, il s'agit à 99% d'un kyste péricoronaire de la DDS.
Je voulais juste préciser qu'il faut pour des kystes aussi important prévoir quand même d'avoir sous la main des ligatures maxillo car pas de possibilité de poser des plaques bien évidemment... pour ton cas c'est je pense différent car d'une part il n'y aucune raison de fracturer et d'autre part on pourrait poser une plaque au niveau de l'angle goniaque car il reste suffisament d'os.
J'attends les photos de ton kyste...
08/11/2008 à 15h15
merci pour les infos,
je suis tout à fait en accord avec ton approche.
pour le bistouri je ne pensais pas forcément à la lame 11 mais à des lames type 15 mais plus grandes que j'avais déjà vu mais je ne connais pas le numéro.
en prime je te montre le côté gauche.
--
Canin
08/11/2008 à 21h31
Salut,
J'ai une question concernant cette situtation:
Face à cette cavité kystique qui ne saigne pas, quelle attitude à adopter avant de refermer ?
Cordialement.
09/11/2008 à 05h42
Une cavité kystique donne toujours cette situation mais ne t'inquiète pas au bout de quelques minutes sans aspirer cela est totalement rempli de sang.
Pour autant j'ai mis en surface un pangen2 non comprimé juste pour éviter une invagination lors de la réattache musculaire.
Le meilleur comblement c'est le sang bien entendu.
09/11/2008 à 09h58
pareil
tu fais saigner l'os avec la curette pour bien nettoyer et le niveau sanguin monte doucement dansla cavité.
en PJ une radio post-op de kératokyste récidivant où j'ai aussi mis un gros carré de pangen avant de refermer âprès avoir bien cureter
--
Canin
09/11/2008 à 09h59
Pas contre il est déconseillé de mettre un surgicel au contact d'un nerf
--
Canin
09/11/2008 à 10h58
c'est du collagène lyophilisé d'origine bovine utilisé en milieu hospitalier pour ses propriétés hémostatiques.
voir lien http://www.dentsply.fr/2007/telechargement/mode_emploi/pangen2.pdf
--
Canin
09/11/2008 à 11h07
voici comment il se présente dans son emballage
--
Canin
09/11/2008 à 11h11
il existe aussi le format plus grand pour les cavités plus grandes ou extraction multiples.
faut pas en mettre trop car il y a une expansion avec le contact sanguin
ça colle horriblement aux instruments quand il y a le contact sanguin, faut le manipuler avec précaution avec deux mains et au départ et des instrument non souillés
--
Canin
09/11/2008 à 11h17
personnellemnt je n'ai pas observé d'alvéolites chez les patients chez qui ont met du pangen comme avec le surgicel d'ailleurs et je peux te dire que j'en utilise tous les jours sur des dizaines d'extraction
je pense que c'est un problème d'utilisation, faut pas en mettre trop sinon on absorbe tout le sang
faut que le matériau soit inclus totalement par du sang pour favoriser le caillot,
faut pas que le matériau déborde de l'alvéole ou la cavité
faut pas en mettre dans une alévole qui saigne pas beaucoup.
nous on l'utilise quasi systématiquement chez tous les patients à risque hémorragique et ça se passe très bien crois moi sur parole (ou sur écriture).
il y a aussi cette précaution ou contre-indication avec le surgicel
--
Canin