Cookie Consent byPrivacyPolicies.complein le cul de l'endo - Eugenol

plein le cul de l'endo

Manolito wom2of - Eugenol
manolito

08/11/2008 à 03h18

celui là je l'ouvre juste pour me défouler parce qu' en ce moment je les foire toutes. je passe des heures sur des reprise de traitement pour jamais arriver au bout des canaux. Sur les bio quand j'ai pas un saignement intarissable en fin de préparation qui m'empeche d'obturer c'est un canal que j'arrive pas à perméabiliser ou que je trouve même pas... J'ai l'impression de passer mes journées sur des soins que je facture même pas.
Qu'est ce que c'est dur cette discipline... J'espère que ce sera pas une trop longue serie sinon je vais peter les plombs


200106 10150128247663588 709988587 6466236 5598391 n d7mksb - Eugenol
hallboy

08/11/2008 à 05h18

c'est et le plus difficile et le plus ingrat.
D'ou l'obligation de se former , encore et encore a cette discipline.

Jusqu'au premolaires, j'arrive maintenant a radiographiquement faire illusion dans la plupart des cas;)

apres ......


Img 1392 s73srk - Eugenol
Guttaman

08/11/2008 à 09h36

hallboy écrivait:
-----------------
Jusqu'au premolaires, j'arrive maintenant a radiographiquement faire illusion
> dans la plupart des cas;)
>
> apres ......

Bin après quoi ? ;-)

46 postop vlw03d - Eugenol

Img 1392 s73srk - Eugenol
Guttaman

08/11/2008 à 09h36

Pour manolito : c'est vrai que c'est parfois une discipline frustrante. Mais si on regarde de près ce que tu écris, je constate que la source de cette frustraton se situe "surtout" au niveau de la non rémunération du temps passé. Essaye de positiver plutôt que de sombrer dans un montage de bourrichon où tu vas te stresser pour rien en pensant à l'argent qui ne rentre pas immédiatement avec ces quelques cas difficiles. Au contraire, vois les comme des challenges techniques en te disant que tu es un des rares à pouvoir les réussir dans de bonnes conditions (même si ce n'est pas vrai, on s'en fout, l'important c'est de revaloriser ton travail...à tes yeux, pas à celui de tes patients).

Bon courage.


Manolito wom2of - Eugenol
manolito

08/11/2008 à 10h10

Guttaman écrivait:
------------------
> Pour manolito : c'est vrai que c'est parfois une discipline frustrante. Mais si
> on regarde de près ce que tu écris, je constate que la source de cette
> frustraton se situe "surtout" au niveau de la non rémunération du temps passé.


Pas vraiment, ça y contribue mais si c'était juste un probleme d'argent j'aurais une solution toute prete : fini d'acheter des thermafills, de protapers des digues du MTA et autres fournitures ruineuses et je ferais mes endo en 20 mn, suivi d'une couronne quelle que soit la qualité de mon traitement.
Ce qui me frustre c'est de ne pas maitriser le traitement. Pourquoi dans certains cas j'ai une hemoragie apicale alors que je fais comme d'habitude, pourquoi je passe jamais la butée lors d'une RTE etc...c'est pourtant pas faute d'essayer .


200106 10150128247663588 709988587 6466236 5598391 n d7mksb - Eugenol
hallboy

08/11/2008 à 12h44

pour la butée, c'est courbure voir plicature de lime manuelle acier. En general ta butée va se trouver sur la partie externe de ta courbe. donc prevoit aussi une ouverture camerale et de la partie haute du canal tres soignée.

et parfois , oh miracle !!! genial on passe la butée. A ce stade prendre enormement de temps pour l'effacer au maximum avnt de passer a un autre intrument.
Et pas de miracle : c'est dasn une formation speciale RTE que on me l'a montré.

Désolé de ne pouvoir le rendre plus clair. il faudrait de petits dessins . il y a sur eugenol qq personnes bcp plus capables qiue moi en endo;) peut etre qu'elles dessinnent et mieux aussi.

PS: ne pas oublier ça ce WE

http://www.eugenol.com/sujets/382955-a-adresser-a-votre-depute-et-senateur-ce-we-apres-c-est-trop-tard?page=1#post_387398


Image odged8 - Eugenol
ploc

08/11/2008 à 14h03

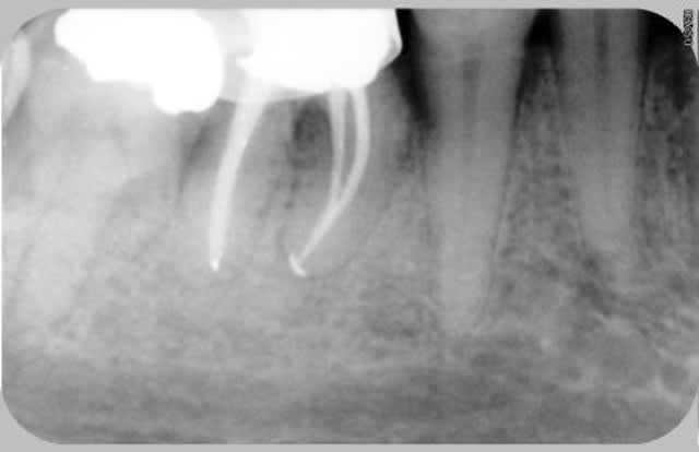
puis des fois ça parait bien...et c'est l'extraction
radios: Mai/ aout/ octobre

Franck mai iokv3v - Eugenol
Franck aout ombxue - Eugenol
Franck oct mhgsjj - Eugenol

Dsc 0022 zyz4bz - Eugenol
Fred

08/11/2008 à 14h14

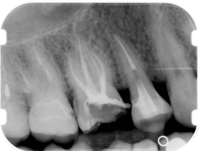
Et celle là elle est pas belle???
Une heure, je trouve le 4ème canal,je le cathétérise jusqu'au bout, je me dis ça démarre bien, on y va tranquille, digue, edta hypo par litres etc etc.
ET?????

Le dernier instrument (heureusement le dernier!!), il pète dans le canal MV2.
AGGRRRRRRRRRRRRRRRRRRRRRRRRRRRRRRRRRR LES BOULES !!!!!!!!

J'en ai marre, je les vérifie à la loupe, je ne force pas, et de temps en temps j'en casse.
Et comme je ne dois pas être très doué j'arrive à passer à côté une fois sur mille.
J'ai envie d'essayer un autre système FKG, qui a l'air bien, je l'ai acheté il y a six mois, pas eu le temps de mettre en pratique.

Pour ce qui est du prix, quand je dévitalise, c'est que la dent a une énorme carie et donc, sauf exception, c'est couronne, donc le prix de l'endo je m'en fous, c'est pour moi un acte global, je fais l'empreinte dans la même séance de 2 heures.

Mais bon quand tu sens que tu vas te faire une belle endo et que ça se finit comme ça , ça te fout un peu ta journée en l'air.
Ce qui me gonfle aussi c'est que je n'arrive pas à joindre ma radio, il y a un post là dessus, j'y vais voir et je reviens.


Dsc 0022 zyz4bz - Eugenol
Fred

08/11/2008 à 15h45

Ca marche!!!

Z be4ayd - Eugenol

Pa050055 igyagy - Eugenol
mark

08/11/2008 à 19h37

Je compatis, Manolito!
L'endo est certainement la discipline la plus ingrate parce que la plus difficilement maîtrisable, en tout cas jamais à 100%. Et en cas d'échec complet c'est l'extraction que l'on aura voulu éviter!! Donc l'impossibilité de restaurer la situation, comme dans le cas d'une prothèse ou d'un implant...

Je rejoins Hallboy, les formations t'assurent de faire tout ce qu'il faut pour améliorer tes résultats dans chaque cas, mais aucune ne t'évitera de longues minutes de lutte contre les éléments récalcitrants au bout du compte mal évalués: courbures infernales, butées à la con, obturation résistant aux solvants les plus adaptés, fractures, etc...

Si la situation d'échec ou le risque de celui-ci, pour traitement imparfait, paraît gérable, soit par l'information préalable du patient, soit par la possibilité d'adresser, je suis d'accord avec toi, le plus stressant est bien le sentiment de dépasser le temps imparti, soit au plan horaire, soit au plan tarifaire!

Il faudrait que l'un de nos éminents endodontistes qui ne tarisent pas de conseils cliniques et d'études techniques nous donnent la solution qui consiterait à gérer ce facteur temps et donc d'encadrer ce surcoût, à moins de facturer largement en dépassement d'honoraire, je le rappelle, contrairement à la nomenclature...

En attendant, concernant courbures et butées, il me paraît judicieux de réhabiliter le travail des limes manuelles précourbées, lent, précautionneux, bien repérées, auxquelles l'adjonction des nouvelles limes Endo-Express elles-mêmes précourbables constituent un nouvel atout pour faciliter l'accès au tiers apical, en mouvement alternatif...

Pour ce qui est des saignements, je partage ta détresse! Pour ma part, j'attribue l'augmentation de ces cas à l'usage d'hypochlorite plus concentrée qu'auparavant, associée à un contrôle insuffisant, soit de la longueur de travail, soit de la pression d'irrigation.

Courage! :)


Dsc 0022 zyz4bz - Eugenol
Fred

08/11/2008 à 20h29

Un truc à 100% pour les saignements!!!
C'est pas dans les manuels mais ça marche

Un peu de pâte au lentulo (à l'apex mais sans dépasser) après l'alésage, on la laisse deux minutes, ensuite re-nettoyage, hypochlorite et séchage, je vous jure que ça marche.
On peut même rajouter une mêche papier qui comprime un peu, et après c'est nickel

Essayez vous me direz


Manolito wom2of - Eugenol
manolito

08/11/2008 à 20h42



>
> Pour ce qui est des saignements, je partage ta détresse! Pour ma part,
> j'attribue l'augmentation de ces cas à l'usage d'hypochlorite plus concentrée
> qu'auparavant, associée à un contrôle insuffisant, soit de la longueur de
> travail, soit de la pression d'irrigation.


c'est aussi l'impression que j'ai.



> Courage! :)

merci mark


Gutt-A

08/11/2008 à 21h29

manolito écrivait:
------------------
> celui là je l'ouvre juste pour me défouler parce qu' en ce moment je les foire
> toutes. je passe des heures sur des reprise de traitement pour jamais arriver au
> bout des canaux. Sur les bio quand j'ai pas un saignement intarissable en fin de
> préparation qui m'empeche d'obturer c'est un canal que j'arrive pas à
> perméabiliser ou que je trouve même pas... J'ai l'impression de passer mes
> journées sur des soins que je facture même pas.
> Qu'est ce que c'est dur cette discipline... J'espère que ce sera pas une trop
> longue serie sinon je vais peter les plombs

Bonjour,
il faut certes une formation mais aussi le matériel adéquat. Perso, depuis que je travail avec Mtwo+Raypex+condesation thermomeca, c'est rapide et efficace


3f3boxni50k58rq7e9ce9ddqrxgk - Eugenol
dentiste57

09/11/2008 à 00h04

manolito écrivait:
------------------
> celui là je l'ouvre juste pour me défouler parce qu' en ce moment je les foire
> toutes. je passe des heures sur des reprise de traitement pour jamais arriver au
> bout des canaux. Sur les bio quand j'ai pas un saignement intarissable en fin de
> préparation qui m'empeche d'obturer c'est un canal que j'arrive pas à
> perméabiliser ou que je trouve même pas... J'ai l'impression de passer mes
> journées sur des soins que je facture même pas.
> Qu'est ce que c'est dur cette discipline... J'espère que ce sera pas une trop
> longue serie sinon je vais peter les plombs





tu postes à 2heure 18 du matin !!

ça va te rendre malade les endos!
passe plutôt à l'extraction et implantation, tu te ferra moins de cheveux blancs.

ça me fais quand même plaisir de voir que je suis pas le seul à avoir des insomnies. :)
et merci pour ce post , ça rassure de voir que les autres aussi ont des endos qui font ch..r!


Wra300x300 gotue6 - Eugenol
hop

09/11/2008 à 01h32

manolito écrivait:
------------------
> Qu'est ce que c'est dur cette discipline... J'espère que ce sera pas une trop longue serie sinon je vais peter les plombs

courage..la formation, la formation et encore la formation.

vois l'endo (et ses reprises) comme la fable de La Fontaine "le laboureur et ses enfants":

"Travaillez, prenez de la peine:
C'est le fonds qui manque le moins"

http://poesie.webnet.fr/poemes/France/lafontai/14.html


avec tes bonnes endos, tu sèmes...tu auras toutes les graines.


Images eb1m5g - Eugenol
tonio

10/11/2008 à 14h36

ploc écrivait:
--------------
> puis des fois ça parait bien...et c'est l'extraction
> radios: Mai/ aout/ octobre

pourquoi n'as-tu pas envisagé d'emblée l'extraction sur cette dent? l'échec était prévisible malgré la qualité de ton traitement endo, non?

tu vas me dire, facile à dire a posteriori, c'est vrai.

quand on veut sauver une dent porteuse d'une LIPOE, il y a d'autres paramètres à prendre en compte que la lésion, comme le délabrement de la dent ou encore l'accessibilité aux canaux.
Dans ton cas, force est de constater que l'accessibilité aux cas n'a pas posé de problème.

Par contre, j'aurai extrait la dent pour les raisons suivantes:
- zone interradiculaire très fragile (voire perforée)
- carie sous gingivale à mi-hauteur sur la racine D
- délabrement coronaire conséquent voire total
- racines de petite taille, probablement résorbées par la LIPOE: donc faible appui pour le futur IC et difficulté de contrôle de la longueur de l'obturation du fait de l'absence de cône apical.


Image odged8 - Eugenol
ploc

10/11/2008 à 19h28

tonio écrivait:
---------------
>
> Par contre, j'aurai extrait la dent pour les raisons suivantes:
> - zone interradiculaire très fragile (voire perforée)

non,vérifié après extraction

> - carie sous gingivale à mi-hauteur sur la racine D

au 1/3

> - délabrement coronaire conséquent voire total
certes mais j'ai fait pire


> - racines de petite taille, probablement résorbées par la LIPOE: donc faible> appui pour le futur IC et difficulté de contrôle de la longueur de l'obturation
> du fait de l'absence de cône apical.

dommage,je n'ai pas eu le reflexe de prendre la dent en photo sur une compresse(vu en urgence evidemment)
la dent n'était pas fracturée,l'obturation(gutta condensée) vraiment bien
par contre c'est vrai ,racines courtes et surtout aucune recuperation osseuse
le curetage et comblement ont été plus longs que l'extract

il existait un paramètre subjectif et affectif:petit,il a partagé le mme cheval que ma fille et lui fait couler maintenant des jours heureux au pré:)
moniteur,il n'a pas trop de sous
je partais:mon rempla à qui je refile les endos difficiles qd il vient(je suis une titulaire qui aime les endos de son remplaçant et lui fait confiance:) a tenté, pr me faire plaisir,bien que sceptique(moi aussi)
hors du temps et de l'argent,on n'avait rien à perdre et le patient aurait pu gagner qqes années


Squash u44zd8 - Eugenol
steph

10/11/2008 à 23h02

Dans la 9è édition du "Pathways of the pulp", les mecs te récupèrent des dents bien plus compromises...du funambulisme.
Avec du MTA quand même.


Images eb1m5g - Eugenol
tonio

11/11/2008 à 13h49

steph écrivait:
---------------
> Dans la 9è édition du "Pathways of the pulp", les mecs te récupèrent des dents
> bien plus compromises...du funambulisme.
> Avec du MTA quand même.

Peut être mais une sur combien?
J'aimerai qu'ils montrent tous leurs cas, échecs et succès compris.
Stéphane a écrit un article dans RC il y a 3-4 ans sur l'endo et économie tissulaire qui est un bon résumé sur le sujet.


Grueavatar nptrc9 - Eugenol
Le Choixpeau magique

11/11/2008 à 13h59

Yep, on peut effectivement se poser des questions sur la sur-préparation (amha) des canaux et sur l'étanchéité coronaire (pas taper ploc), sans doute pas idéale.


Stéphane

11/11/2008 à 14h29

POur répondre à Mark, quant au saignement.
Ton jugement sur l'augmentation de la concnetration de l'hypochlorite et l'apparition d'un saignement canalaire est tout à fait plausible.

Quand il y a saignement, c'est qu'il y a un tissu vivant et très proablement inflammatoire. C'est une lapalissade digne d'un coach, mais tout est là !

Quand il y a un saignement dans le canal, de deux choses l'une.
1- soit il rest du tissu pulpaire dans le canal, et après avoir été titillé pendant tout le traitement, il est passé en phase aigur de l'inflammation et est responsable de ce saignement. Dans ce cas, il convient de vérifier la longueur de travail pour s'en assurer.
2- le canal est vidé de son contenu et dans ce cas, le saignement est apical, et là, c'est bien plus emmerdant. Car cela sous entend qu'il y a une inflammation aigue dans le périapce. L'origine peut être une surpréparation, ou une réaction infalmmatoire aigué à une autre agression type toxicité chimique. Le passage de solution désinfectante au dela du foramen peut tout à fait déclencher uen réaction de ce type. Si l'hypochlorite à 5% est a priori plus efficace que le 2.5%, il n'en est pas moins toxique loin de là ! Aujourd'hui aux Etats Unis, pays de la finesse et de la dentelle, une solution à 6% est proposée. On est là, dans la fenêtre de toxicité du produit.
Il en est de même avec l'EDTA.

En résumé, une mauvaise maitrise des derniers dixiè-me de millimètres apicaux est probablement à l'origine de ce genre de mésaventure.
Cela m'arrive également, et j'ai remaque que cela m'arrive plus fréquemment quand je suis très agressif avec ma séquence de désinfection.

Le problème, c'est que dans ce cas, la dent n'est plus asymptomatique, et il est fortement déconseillé de l'obturer dans la séance. Il fdaut tarir le saignement certes, mais également et surtout l'inflammation apicale.

Ca énerve, je sais, notamment quand le patient vient de loin, car il faut le faire reveneir, et ce n'était pas prévu !
La mise ne place de ciment dans le canal comme déctrit plus haut permet certe de stopper l'hémorragie, mais ne guérit pas le mal.

Maintenant, que l'endodontie soit ingrate, j'en convient et elle l'est pour tout le monde. POur moi, hier était une mauvaise journée et j'aurais du faire le pont... Mais elle est également à l'origine de sublimes satisfactions; ca c'était la semaine dernière !

Ne lâchez pas surtout, car la vraie amélioration de la qualité des soins en santé publique est dans vos mains, pas dans celles de ceux qui "sauvent" 15 dents par semaine comme moi !!


Avatar m3f7ri - Eugenol
le chamane

11/11/2008 à 15h10

Stéphane écrivait:
------------------

> Le problème, c'est que dans ce cas, la dent n'est plus asymptomatique, et il est
> fortement déconseillé de l'obturer dans la séance. Il fdaut tarir le saignement
> certes, mais également et surtout l'inflammation apicale.


peux tu nous dire ce que tu fais pour cela merci.


200106 10150128247663588 709988587 6466236 5598391 n d7mksb - Eugenol
hallboy

11/11/2008 à 15h22

le chauffage permet d'avoir une solution aussi efficace et moins toxique? ou est que l'ageression liée a une efficacité equivalente produira les mm resultats?


Stéphane

11/11/2008 à 16h39

le chamane écrivait:
-------------------->
> peux tu nous dire ce que tu fais pour cela merci

Mise en place d'hydroxyde de calcium dans le canal pendant 1 semaine et obturation différée.

Pour Hallboy :
Je n'en ai aucune idée en fait.
Mais si le chauffage augment l'éfficacité sans aggraver la toxicité, c'est dans ce cas alors peut être une indication de ce fameux chauffage. Pour l'instant, j'attends les preuves.


Pharmacodent

11/11/2008 à 18h56

il est toujours prudent le gars


12