Cookie Consent byPrivacyPolicies.comextraction d'un instrument fracturé - Eugenol

extraction d'un instrument fracturé

Avat pepite tqh0yu - Eugenol
flux

11/11/2008 à 02h54

Bonjour :)

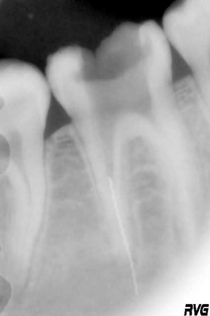
Suite à une nouvelle consultation d'une patiente de 16 ans, dévitalisation de 46 (entre autres) a été décidée (voir plus bas la radio pré-op).
Après un cathétérisme puis un début d'ampliation à l'aide de lime K et racleurs (15, 20 et 25), je décide de passer un rispi jusqu'au tiers moyen de chacun des 4 canaux détectés dans cette dent.
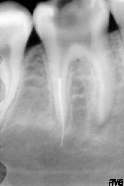
Monté sur son giromatic, le rispi neuf est d'abord passé dans le canal disto-vestibulaire ; juste après, je me laisse surprendre par un effet de vissage (sur giromatic ???) et me retrouve avec l'instrument fracturé bien au dela de l'apex.
Je décide directement de tenter de l'extraire, mais n'y arrive pas dans la séance. Je donne un autre RV. Entre temps, la mère appelle et hurle (bref...).
2nde séance : 1h15 a essayer d'aléser autour du rispi pour pouvoir l'attraper grace à un IRS.
Je peux voir l'instrument à l'oeil nu, j'arrive a mettre l'IRS dessus, mais si je tire, ou si je tente un mouvement de dévissage, l'IRS ressort et l'instrument reste en place pour le moment.
Pareil en passant des racleurs à coté du rispi quasiment jusqu'à l'apex et en tentant un mouvement de remontée : le rispi n'a pas encore bougé.
Je revois la patiente mercredi à 20h ; je me demandais si vous auriez des conseils pour arriver à l'enlever (combien de millimetres d'instrument pris dans l'IRS ; mouvement vertical ou de dévissage ? Utilisation de racleurs pour le remonter...
Ci joint 4 radios...
1ere : pré-op
2nde : je viens de casser le rispi
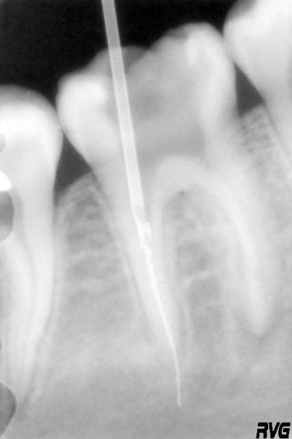
3eme : après alésage du tiers coronaire
4eme : rispi en place (j'arrive a le mettre un 1/2 mm plus sur le rispi quand je le lache pas pour prendre une radio)

Merci d'avance pour vos conseils !



Ad0 0 ihcooh - Eugenol
Ad1 0 rqiymf - Eugenol
Ad2 0 l4a0uh - Eugenol
Ad3 0 iutmwr - Eugenol

Manolito wom2of - Eugenol
manolito

11/11/2008 à 03h32

vaut peut être mieux laisser ça à un exclusif pour pas casser le rispi plus bas. Quitte à payer la facture.


Marque a3 orange fyvhyq - Eugenol
Marc Apap

11/11/2008 à 10h58

Cet instrument cassé ne ressemble pas à un Rispi mais à une lime H (Girofile ?). Etant donné le dépassement, et le profil des lames, pas sûr qu'on puisse le retirer.
Le tout baignant allègrement dans la salive, je ne pense pas que les conditions soient optimales pour une guérison.
Mais on peut rester optimiste.
PS 1: quelle idée de travailler avec des méthodes largement révolues ? En plus un vrai Rispi, c'est fait pour préparer les deux tiers coronaires. Quid de la mesure de la longueur de travail ?
PS 2 : cela prouve qu'il n'y a pas que le NiTi qui casse !
Moralité : cela devrait te permettre de tirer les leçons de cet échec, de réfléchir à ta technique et d'améliorer tes performances futures.


Zoe   son arriv e whwqpj - Eugenol
emma

11/11/2008 à 11h23

Marc Apap écrivait:
-------------------

> un vrai Rispi, c'est fait pour préparer les deux tiers coronaires. Quid de la
> mesure de la longueur de travail ?


--

le fait que l'instrument ait amorcé un tel dépassement indique un phénomène de vissage, le moteur a dû tourné à l'envers lors de l'introduction de la lime, dans de telles conditions, ça part à toute vitesse, c'est par contre étonnant que ça arrive avec un giromatic.

je crains que le retrait de la lime soit impossible car elle est fixée dans l'os; en effet, demande l'aide d'un exclusif.

emma


3f3boxni50k58rq7e9ce9ddqrxgk - Eugenol
dentiste57

12/11/2008 à 14h22

t'es bon pour une petite résection apical là !


Avat pepite tqh0yu - Eugenol
flux

12/11/2008 à 18h27

Bonjour,

Alors toutes mes excuses, effectivement, vous avez raisons sur plusieurs points.
Le fait que j'utilise "des techniques largement dépassées" vient du fait que je fais un remplacement, et travaille donc avec les moyens du bord.

C'est bien des "girofiles" (et non un rispi) que j'ai utilisé (je n'avais jamais vu cet instrument avant) ; et le contre-angle que j'avais pris pour un giromatic est en rotation constante (et non mouvemnet alternatif).

La digue a sauté a partir du moment ou je me suis mis à faire 10000 radios pour observer la progression de l'IRS.
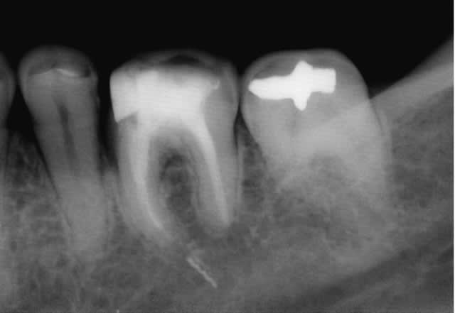
Je compte bien entendu la remettre pour finir l'endo (si c'est moi qui la finie, celle ci...).

Pour ce qui est de la résection apicale, c'est le canal disto-lingual (46 à 4 canaux)... Je pensais que cette technique était pour le coup mal partie.

J'vais quand meme me rebattre avec ce giro-file ce soir, "on sait jamais"...
Merci pour vos réponses :)


Marque a3 orange fyvhyq - Eugenol
Marc Apap

12/11/2008 à 21h07

Je comprends mieux cette contradiction entre l'utilisation d'instruments anciens, et l'approche extrêmement sérieuse de ta démarche (l'absence de digue en moins). C'est le métier qui rentre !
Blague à part, on peut faire des traitements à peu près corrects avec un rispi pour le tiers cervical, mais les girofiles, même sur giromatic, ça redresse beaucoup trop les courbures. Malheureusement, il n'existe pas de limes K comme les Flexofile qui sont très intéressantes, pour ce genre de contre angle (il faut un M4 safety de Kerr ou Endocursor de WH pour ça, mais je m'égare).
Bon courage pour la suite, mais je crains que l'extraction de la lime soit quasi impossible du fait qu'elle est coincée à l'apex.


Blue eye thumb medium dx1i0w - Eugenol
bill

13/11/2008 à 00h44

Allez, pour rassurer notre jeune confrère (déjà postée mais je l'aime bien celle-là...) ;-)

Trop loin sgmyf6 - Eugenol

120 81 mdkvjo - Eugenol
Monaco

06/07/2012 à 13h41

J'ai déjà vu pas mal de patients arriver et découverte fortuite à la pano de limes au delà de l'apex ..


C'est souvent asymptomatique me trompais-je ??
Des expériences similaires par chez vous ?


209209668 fh2mys - Eugenol
fredo667

06/07/2012 à 16h10

Même s'ils m'enervent un peu pour un certain nombre de choses, un exclusif te sortira de ce mauvais pas. Ca te coutera, et peut etre que tu reverras pas la patiente, mais au moins t auras la conscience tranquille.

Point de vu cout, calcule, ton rendement horaire, et regarde ce que tu perds en bataillant comme cela.

En tout cas, bon courage quand même.


220px don camillo4 qrcfhs - Eugenol
camillo

06/07/2012 à 17h04

A mon avis, depuis 3 ans et demi, cette histoire doit être réglée depuis longtemps:)


Morgan ztbb1b - Eugenol
BONNET jc

06/07/2012 à 17h07

Un Girofile monté sur Giromatic ne casse jamais. Le rispi a une pointe mousse qui casse si tu arrives à l' apex( ne jamais faire).
Quand aux vieilles techniques dépassées, en 20 ans j' en ai coonu une bonne dizaines de techniques qui révolutionnaient l'endo...Elles durent 3 à 4 ans...


120 81 mdkvjo - Eugenol
Monaco

06/07/2012 à 19h49

J'en profite donc pour relancer ma question..
Un instrument fracturé au delà de l'apex (disons 2mm), est ce mort pour le devenir de la dent ou si l'endo a été bien conduite par ailleurs, le ni-ti peut rester en place ?


Morgan ztbb1b - Eugenol
BONNET jc

06/07/2012 à 20h05

A mon avis sauf résection apicale, la dent partira en extraction. Tu auras une inflammation chronique à l' apex. Moi, j'ai déjà eu ça avec un cône de gutta qui dépassait.


malimor33

07/07/2012 à 03h59

BONNET jc écrivait:
-------------------
> A mon avis sauf résection apicale, la dent partira en extraction. Tu auras une
> inflammation chronique à l' apex. Moi, j'ai déjà eu ça avec un cône de gutta qui
> dépassait.

Ouaip, mais pas toujours. Quelquefois ça se passe miraculeusement bien. J' ai vu un cas il n'y a pas longtemps avec une obturation " canalaire" carrément dans l'os, à côté d'une 25 .Le patient m'a raconté avoir eu une sensibilité pendant quelque mois , puis plus rien . La dent va très bien plusieurs années après, il ne se souvient plus depuis combien de temps.

Je me demande comment le confrère qui a fait ça a séché son "canal", ça devait sacrément pisser le sang...


Salamandre

07/07/2012 à 04h44

Il ne faut pas parler des erreurs des autres sur le forum! On est lu par des particuliers. Il faut cacher tout ca "sous le tapis". On fait Tous des merdes mais faut surtout pas en parler c'est pas confraternel.


120 81 mdkvjo - Eugenol
Monaco

07/07/2012 à 11h31

Tiens d'ailleurs au passage, fracturer un instrument c'est une faute ou un aléas thérapeutique ?
On peut être attaqué pour ça ?


209209668 fh2mys - Eugenol
fredo667

09/07/2012 à 00h13

camillo écrivait:
-----------------
> A mon avis, depuis 3 ans et demi, cette histoire doit être réglée depuis
> longtemps:)

Pitin, j avais pas vu, c est la honte, alors je change : la patiente doit être décédée, tu peux dormir tranquille


Warum

12/07/2012 à 17h38

Effectivement ! Mais à l'époque il n'y avait pas l'Endo Rescue, ou son interprétation Low Cost à base d'embouts aiguilles de différents diamètres…
Microscope obligatoire, mais le thermo-compacteur vissé à mi-longueur n'y résiste pas. Testé avec du Gradia Core en seringue auto-mélangeuse, mais décrit avec d'autres composites dual de reconstitution de moignon.

--
Rubber Damned !