Cookie Consent byPrivacyPolicies.comRésorbtion ? - Eugenol

Résorbtion ?

marc

14/11/2008 à 19h56

Patient de 14 ans
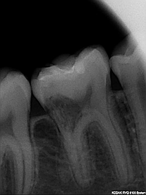
découverte sur pano d'une image radioclaire au niveau caméral de 46.
aucun signe clinique
vitalité positive
sondage paro ok

Pensez vous qu'un traitement par Ca(OH)2 laissé dans la chambre, puis endo complète et obturation au MTA soit indiqué et possible?
Sinon quel est votre avis?

Merci

Orthocentr  yzpklh - Eugenol
Cone radio en distal vxurgy - Eugenol
Cone radio en m sial pwxttc - Eugenol

Img 1744 z0evts - Eugenol
dumaille

14/11/2008 à 20h44


résorption interne mais il n'y a pas de signes, je ne sais pas si intervenir ne serait pas pire car quelle sera l'avenir de cette dent fragilisé en plus par ton accès pour l'endo.
--
La vie est une fête!


Img 1392 s73srk - Eugenol
Guttaman

14/11/2008 à 23h35


Pour moi il s'agit plutôt d'une résorption externe.
Le traitement est donc le suivant :
application d'une solution à 90% d'acide trichloracétique sur le tissu de résorption
curetage
restauration avec un verre ioniomère.
traitement endo si nécessaire.
Parfois extrusion ortho dans certains cas.

Il y a des chances que ce soit une séquelle d'un traitement ortho, mais parfois l'étiologie reste inconnue.

Quoiqu'il en soit, c'est pas gagné car dans ton cas, elle est en stade 3...
PS : si tu te lances dans l'endo...tu as une radix entomolaris (ou paramolaris)...ne l'oublies pas.


marc

15/11/2008 à 10h11

Merci pour vos réponses

Effectivement, le patient qui a 14 ans vient juste de terminer son ttt ortho.

On est d'accord que le pronostic est assez incertain :

Pensez vous qu'il est préférable de ne rien faire et d'attendre quelques années que le patient soit en age de recevoir un implant. Il faut espérer que la résorption ne va pas évoluer (ttt ortho fini) ou ne pas créer de complications (fistule comme un post envoyé récement ou destruction complète)
C'est risqué comme option !

Soit on tente le ttt de guttaman, avec un risque d'échec assez élevé, et donc l'obligation de bricoler un système provisoire pendant quelques années si l'extraction est inévitable. (pas terrible pour le patient)
Maintenant si ça marche, ce serait l'idéal !(pour lui et pour moi)

Pour Guttaman:
L'application d'acide et la mise en place du cvi doit se faire par l'extérieur si j'ai bien compris.(en essayant de ne pas renter dans la chambre). c'est chaud car c'est volumineux !
J'ai pas tout compris à ta dernière phrase, mais j'imagine que tu fais allusion à la présence de racines individualisées au niveau de cette 46.
Merci
Tu montres une fois de plus qu'il n'y a pas que Stéphane pour donner des conseils clairs et précis sur des sujets ou on est pas trés à l'aise.


Stéphane

15/11/2008 à 11h08

Guttaman a tout dit. je mettrai juste un bémol.

La proximite pulpaire de la resorption fait que sans pratiquement aucun doute il y a une communcation pulapire. Le traitement endodontique sera inevitable.

Deuxieme chose, l'application d'acide trichloracetique dans ce cas ne sera pas facile mais nécessaire. Pour accéder a la lesion, il te faudra lever un lambeau, dans un tissu extremement hemorragique car inflammatoire. Le niveau osseux se situe en dessous du niveau de la résorption. Une osteoplastie sera donc necessaire.

le probleme a gérer sera donc définitivement plus complexe sur le plan parodontal que sur le plan endodontique.


marc

15/11/2008 à 11h51

Merci pour les réponses.

Donc, si j'ai bien compris, vous me prévenez des difficultés et risques , mais vous me conseillez de tenter l'intervention sur ce patient.

ok.
J'essayerais de vous tenir au courant de la suite.

Marc


Img 1392 s73srk - Eugenol
Guttaman

16/11/2008 à 21h46

En fait, j'ai eu un cas comme ça sur une 42. Le praticien référent voulais faire la chirurgie. J'ai fait le tt endo avant...et n'ai pas pu refermer ce jour là car il y avait communication avec la résorption externe avec la mise en forme (je ne sais pas si elle existait avant ou pas). J'espèrais que non mais quoiqu'il en soit, une fois la mise en forme terminée, impossible de sécher (sang++). J'ai donc temporisé et placé un verifer dans le canal (coupé au niveau de la chambre) et verre ionomère. Une fois son intervention faite, j'ai pu terminer tranquillement. Le but était qu'il ne me bouche pas le canal avec son VI. Et ça a marché niquel (techniquement). Biologiquement, je ne sais pas encore, je n'ai pas encore revu la patiente en rappel (bientôt sans doute).

Bonne chance.