Cookie Consent byPrivacyPolicies.comDent ankylosée : stratégie et timing - Eugenol

Dent ankylosée : stratégie et timing

Icon poker h4nm2d - Eugenol
jeff

20/11/2008 à 23h05

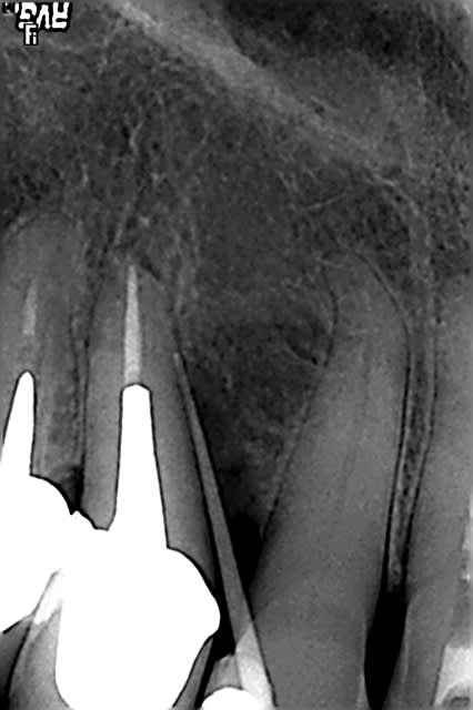
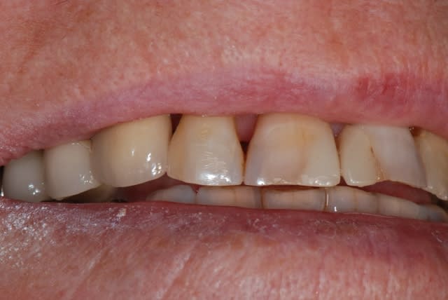
Voila, tout est dans le titre, une patient avec une dent re-implanté suite accident de voiture en 1990. Resorption externe et semble ( comme la 12 ) completement ankylosée.

Vous gerez cela comment ?

Ankylose dldx7r - Eugenol

3f3boxni50k58rq7e9ce9ddqrxgk - Eugenol
dentiste57

20/11/2008 à 23h40

je connais des profs de la fac de Strasbourg qui n'hésitent pas à implanter même partiellement dans une racine...
évidemment, cela reste discutable.


Péach

21/11/2008 à 19h13

je tenterais bien une EII avec un implant de 13 mm ø 4 mini plus mise en vitrine et biomat', mais ça dépendra de l'état de l'alvéole après ton extraction; les ankyloses, ce n'est pas de la tarte, et si tu perds en plus le pan vestibulaire de l'alvéole....
il y a bien le piezotome, mais j'en suis revenu pour les extractions; j'ai eu beaucoup de nécroses osseuses, certainement à cause de la baisse de la vascularisation de l'os provoquée par le piezo; il ne me pose pas de soucis pour les sinus, mais pour les alvéolectomies, j'en suis pour l'instant très mécontent;
pour la mise en vitrine, le blocage primaire décidera, 35 Nm sur un 13 mm ø 4 ne m'a pas donné de problème pour l'instant;
enfin, il faudra gérer l'occlusion, exclure les contacts en protrusion; pour ma part, j'interdis interdire toute incision sur la provisoire; c'est peut être trop mais je n'ai pas d'info sur le sujet, alors je joue la sécurité
sinon, il y aussi le collage d'une provisoire sur les 2 dents colatérales, mais on ne gère plus les papilles de la même manière, ou encore faire une PAP d'une dent, pas très top mais très efficace à condition de bien-bien évider l'intrados
à chacun ses petites manies ;-)


Rorschachwhite tx6rqr - Eugenol
Candide Candida

21/11/2008 à 21h14

Bonjour Péach, quelle limite te donne tu sur la fenestration vestibulaire (limites verticales : hauteur du defect ou limite horizontale : distance entre la surface vestibulaire de l'implant et ce qui reste de la corticale osseuse).

Et ensuite : Comblement et/ou membrane ?

CC.


Icon poker h4nm2d - Eugenol
jeff

21/11/2008 à 21h25

Une EII, tres bien, mais tu le dis toi-même, tout dépend de l'extraction, sachant qu'en plus, il y a un sourire gingivale, faut pas se louper.

Je pense en fait bouffer la dent a la fraise pour economiser l'os alvéolaire, car si l'on part sur de l'alvéoltecmie, on se dirige plutot vers une greffe ensuite, non ?

J'aimerai bien, en fait savoir a l'avance ce que je vais faire, et pouvoir l'expliquer a la patiente. Bien sur, on peut etre amener a modifier un plan de ttt au cour d'un acte, mais dire" je vais extraire, si je peux, et on verra bien si je met l'implant" me parait un peu leger.

Si je fraise la dent, puis je passe mes forets et pose l'implant, c'est grave, docteur si j'ai oublié des bouts de dent ? ( la limite dent-os est pas toujours évidente, même si l'os, ça saigne et pas la dent ).


Péach

22/11/2008 à 11h15

pour candide:
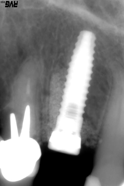
je te propose ce cas que j'ai achevé il y a 2 mois; tu verras que la notion de limite est variable, sauf celle du blocage primaire, d'où cette proposition de mise en esthétique uniquement avec un bon blocage primaire;
dans le cas présenté, je n'ai bien évidemment pas fait de mise en esthétique, j'ai simplement mis une PAP d'une dent, puisque la 14 est une CCM où je ne pouvais pas faire de collage
j'ai mis du ß TCP sans membrane, j'ai eu une très légère récession gingivale que l'utilisation des TBR Zircone autorise sans soucis avec un sourire non gingival
la pose a été faite 6 mois plus tard

pour jeff:
les aléas chirugicaux sont toujours présents, une membrane sinusienne qui se déchire en grand, un pas de vis qui foire, une corticale qui cède, etc
ton cas est obligatoirement aléatoire, il vaut mieux en parler à ta patiente d'abord; elle ne te le reprochera jamais; dans ce cas, je me préparerais à ne faire qu'un comblement avec membrane, mais aussi à poser l'implant et à faire la MEI; ce n'est que mon avis

Eii le tal - Eugenol

Péach

22/11/2008 à 11h55

tiens, on peut plus agrandir les photos sur les planches-contacts
j'essaye un envoi photos par photos, ça sera peut être mieux

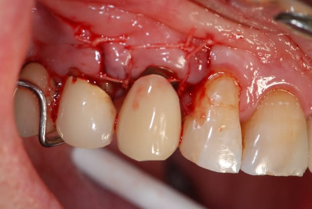
Pr  op suloxf - Eugenol
Pose cl1jmq - Eugenol
Comblement ueqajm - Eugenol
Sutures bdm18l - Eugenol
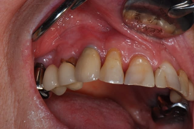
Pap feptx8 - Eugenol
6 mois kx5itc - Eugenol
Pose qmceht - Eugenol
Sourire dqz88s - Eugenol

Péach

22/11/2008 à 12h45

ah oui, et pour les "bouts de dents", je n'ai pas de réponse;
histologiquement et physiologiquement, ça ne me gênerait pas....(?)
le risque serait peut être + bactériologique, en fonction de l'emplacement du morceau laissé; mais là aussi, c'est un peu aléatoire...à toi de voir in situ ;-)
personnellement, je préférerais essayer de tout enlever, mais il faudra aussi que l'ankylose le veuille bien; montre nous les résultats quand tu auras fait l'avulsion


3f3boxni50k58rq7e9ce9ddqrxgk - Eugenol
dentiste57

24/11/2008 à 12h58

Péach écrivait:
---------------
> ah oui, et pour les "bouts de dents", je n'ai pas de réponse;
> histologiquement et physiologiquement, ça ne me gênerait pas....(?)
> le risque serait peut être + bactériologique, en fonction de l'emplacement du
> morceau laissé; mais là aussi, c'est un peu aléatoire...à toi de voir in situ
> ;-)
> personnellement, je préférerais essayer de tout enlever, mais il faudra aussi
> que l'ankylose le veuille bien; montre nous les résultats quand tu auras fait
> l'avulsion

c'est quoi le beta tcp que tu à mis ?


Péach

24/11/2008 à 14h46

le graftec de TBR, je regarde sa porosité et je mettrai la radio avec


Péach

24/11/2008 à 23h32

graftek : porosité de 60 à 80 %, ø des pores de 150 à 400 µm, 0,75 cc par seringue, je mets le prix demain


Péach

25/11/2008 à 19h43

ça coûte 240€ les 5 seringue de 0,75 cc, et 1 seringue fait à peu près le triple du volume d'un flacon de bio oss de 0,5 gr (de mémoire)
la dernière radio est à 6 mois post op, il y a eu une petite inflammation distale qui m'a fait perdre un peu de hauteur, provoquée par un grain de TCP qui est resté bloqué en surface pendant les vacances cet été; le PBI est revenu à 0 depuis
voilà, demain soir, je serai à l'ADF

Le tal1 ircoiu - Eugenol
Le tal2 yejubn - Eugenol
Le tal3 xpcrji - Eugenol
Le tal4 ukkcii - Eugenol