Cookie Consent byPrivacyPolicies.comQuel flash macro pour la photo dentaire? - Eugenol

Quel flash macro pour la photo dentaire?

bigratiche

25/11/2008 à 21h55

Bonjour à tous, Eugénoliens,
Je suis l'heureux possesseur d'un canon eos 40D avec un objo canon 60mm macro mais je cherche un flash annulaire.

J'hésite entre un annulaire sigma qui est aux alentours des 300€ et un canon qui fait passer 500

Je vous sollicite donc pour m'aiguiller dans mon choix grâce à vos expériences personnelles.

Merci à toutes et à tous.


Img 8465 fqhxid - Eugenol
noahaxeltiger-olivier

25/11/2008 à 22h13

bigratiche écrivait:
--------------------
> J'hésite entre un annulaire sigma qui est aux alentours des 300€ et un canon
> qui fait passer 500


Bonsoir bigratiche
Le flash annulaire sigma est suffisant et très bien. En plus il est moins cher que le canon. Que demander de plus !!
@+ et bonnes photos


poinpoin

25/11/2008 à 22h20

salut

je travaille depuis 2 ans avec 1 Canon Macro MR-14 EX sur un boitier 20D et aucun problème.

Par contre , j'ai un sigma ef 500dg en flash normal et j'ai déjà eu plusieurs problèmes de fiabilité et je suis déçu de cet achat.

Donc canon sans hésiter!


Blason dql7mj - Eugenol
growler

25/11/2008 à 22h30

j'ai le sigma depuis 2 ans, usage quotidien, no problem.


Photo pluton1b h9n4ea - Eugenol
pluton

25/11/2008 à 22h53

j'ai un MR-14 EX Canon....super matos...plus cher que le sigma...qui à mon avis suffit...mais avec un bon de réduction canon pour moi la diff de prix était d'environ 50€...(çà remonte à il y a 3 ans...déjà...)


bigratiche

26/11/2008 à 00h26

J'ai peur que le sigma soit un peu limite au niveau fiabilité dans le temps j'ai un ami qui a eu aussi quelques soucis avec le sien et qui a du passer au canon par la suite.

Je pense que je vais prendre le canon meme s il coute quelques deniers de plus.


Pubg2 rjl8jc - Eugenol
vincent63

26/11/2008 à 11h52

Je fais ma thèse sur la photographie en dentaire, le sigma fait quasi l'unanimité ! (quasi vu que tu rapporte une personne semble t'il mécontente).

Cordialement

Vincent

--
cherche remplacement / congé maternité France entière à partir janvier 2009


Img 8465 fqhxid - Eugenol
noahaxeltiger-olivier

26/11/2008 à 12h29

Un article intéressant à ce sujet:
http://dpanswers.com/canon_flash.html

Tu peux lire dans cet article que les problèmes décrits par poinpoin concernant le flash Sigma EF 500 Super (qui n'est pas un flash macro annulaire) sont connus et anciens. Cela concerne uniquement cet ancien modèle.

Ce n'est pas pour te convaincre d'acheter Sigma à la place de Canon mais juste pour t'assurer que le flash Sigma EM-140 DG Macro EO-ETTL est un flash fiable.

A plus.


Logo vuaztn - Eugenol
mac

26/11/2008 à 12h42

j'en ai un depuis 3 ans et pas de problème particulier, maintenant je pense que c'est mieux un flash avec 2 flashs sur les cotés en dentaire, désolé je sais plus comment ça s'appelle.


Img 8465 fqhxid - Eugenol
noahaxeltiger-olivier

26/11/2008 à 13h00

mac écrivait:
-------------
> j'en ai un depuis 3 ans et pas de problème particulier, maintenant je pense que
> c'est mieux un flash avec 2 flashs sur les cotés en dentaire, désolé je sais
> plus comment ça s'appelle.

Macro twin flash ;-)

Je pense que le flash annulaire te donne une lumière plus douce plus "équilibrée" que le twin flash mais je n'ai jamais essayé.

Qu'en pense Chapeau magique et vincent63


3f3boxni50k58rq7e9ce9ddqrxgk - Eugenol
dentiste57

26/11/2008 à 13h49

j'ai également ce Sigma.
pas de problèmes particuliers.

toutefois, comme tous les flashs annuaires il présente un encombrement certain et reste un peu faible en apport d'éclairage pour la mise au point.

il est donc important d'avoir un objectif avec une focale supérieur à 60mm comme un 105mmm pour pouvoir s'éloigner du sujet et permettre à la lumière du scialytique d'éclairer convenablement.


bigratiche

26/11/2008 à 13h53

Qu'est ce que tu veux dire par"faible en apport d'éclairage?"


3f3boxni50k58rq7e9ce9ddqrxgk - Eugenol
dentiste57

26/11/2008 à 20h46

je parle de cet éclairage là..

Img 0608 umwprh - Eugenol

Grueavatar nptrc9 - Eugenol
Le Choixpeau magique

26/11/2008 à 20h51

noahaxeltiger-olivier écrivait:
-------------------------------
> Je pense que le flash annulaire te donne une lumière plus douce plus
> "équilibrée" que le twin flash mais je n'ai jamais essayé.

Le flash annulaire sigma est de toute façon constitué de deux flash avec un réflecteur qui simule l'annulaire.

D'après ce qui se dit, le double flash Nikon n'est pas adapté au dentaire, en dehors de son prix très élevé, le fait que les flashs soient très déportés a tendance à faire plein d'ombres disgracieuses.


Grueavatar nptrc9 - Eugenol
Le Choixpeau magique

26/11/2008 à 20h52

dentiste57 écrivait:
--------------------
> et reste un peu faible en apport d'éclairage pour la mise au point.

Argh, mais puisqu'on te dit de faire la mise au point en manuel !


bigratiche

26/11/2008 à 20h57

Bon ben la je suis un peu perdu dans tout çà!!!

Les photos sous scialytique ne donnennt pas de beaux rendus, si le flash sigma fait simplement çà comme lumiere je comprends que tu me dises qu'il y ait une perte!!!

Si qqun peut me poster des photos que j'ai des exemples çà serait sympa.Merci.


Blason dql7mj - Eugenol
growler

26/11/2008 à 22h15

le top c'etait l'objectif medical nikkor 200 mm car le diametre du flash était de 75 mm, donc pas d'ombres portées mais cette focale en numérique demande a s'éliogner de trop (sauf uniquement pour photographier une seule molaire) , le medical nikkor 120 mm a un flash de 10 cm de diamètre et donne d'excellent résultat (c'est un vrai flash annulaire). le flash sigma a le même diamètre et on peut tourner la bague éclairante pour éviter au mieux l'ombre portée par la joue ou les lèvres. avec un tel flash il est important de ne pas être trop près pour photographier les zones molaires et avec un objectif 105 mm on pourra s'éloigner plus qu'avec un 60 mm. *

bref, c'est toujours un peu galère de photographier en cadrage serré dans les secteurs postérieur quelque soit le matos...amha.

ci-dessous clichés avec 105 mm et flash sigma

Ceramique fred hmbqc1 - Eugenol
D80 q0fd7u - Eugenol

3f3boxni50k58rq7e9ce9ddqrxgk - Eugenol
dentiste57

26/11/2008 à 23h50

bigratiche écrivait:
--------------------
> Bon ben la je suis un peu perdu dans tout çà!!!
>
> Les photos sous scialytique ne donnennt pas de beaux rendus

ça dépend du type de scialytique.
j'en ai fait deux pour toi
scialytique standard et scialytique chir (4 focales)

Img 0209 temhv0 - Eugenol
Img 0208 kfhr7h - Eugenol

bigratiche

27/11/2008 à 00h17

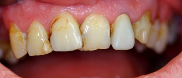
J'ai essayé d'en faire sous scialytique mais je ne suis pas content du résultat je trouve que c'est une lumière trop froide donc c'est pour çà que je me retourne vers un flash annulaire.

Voici un exemple:

Img 0662 cwmj8q - Eugenol

bigratiche

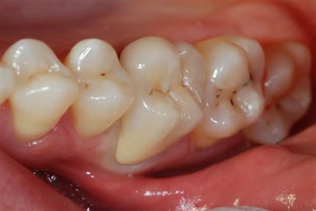
28/11/2008 à 21h29

J'ai reussi à me procurer le CANON MR-14 EX.

Voici un exemple de photo.

Img 0948 zadll1 - Eugenol

Grueavatar nptrc9 - Eugenol
Le Choixpeau magique

29/11/2008 à 01h12

bigratiche écrivait:
--------------------
> J'ai essayé d'en faire sous scialytique mais je ne suis pas content du résultat
> je trouve que c'est une lumière trop froide

C'est probablement un scialytique à led, non ?
Si ce n'est pas le cas tu as probablement un problème de balance des blancs !


Wra300x300 gotue6 - Eugenol
hop

29/11/2008 à 02h25

un cliché au PENTAX K10 avec un flash tout ce qu'il y a de plus classique.

je les ai mises chez moi car trop lourdes pour nonol:

détail:

http://sitepic.free.fr/pk10-1.jpg

champs total:

http://sitepic.free.fr/pk10-2.jpg




003 penrd2 - Eugenol
Cingulum

29/11/2008 à 10h05

canon 350D, 100mm macro canon, et flash deluxe MR 24ex...
le flash est primordial...
Les objectif canon sont plus rapide et la mise au point plus fiable que les sigma bien que l'on soit en général en mise au point manuelle...
Se faire une balance des blancs manuelle et ne plus y toucher, cela évite d'avoir des gencives de toutes les couleurs.
Bien fermer le diaph, environ f14 f16... le mieux étant en manuel, pour ma part 1/200 et f16....
Et une bonne assistante (70% du resultat de la photo....)

--
Dr Cingulum
-----Ancien interné----
----Attaché à l'apex----

Crw 8876 aa9lub - Eugenol
Figure 4b qf2v0l - Eugenol
Figure 10d qxjkfd - Eugenol

Dsc05606 nnro80 - Eugenol
melodieblue

30/11/2008 à 14h20

vincent63 écrivait:
-------------------
> Je fais ma thèse sur la photographie en dentaire, le sigma fait quasi l'unanimité

ta thèse m'intéresse, peut-on se la procurer?


3tudiant

01/12/2008 à 00h20

Bonsoir à tous, j'adore vos photos, ca donne envie!

Alors une petite question quand on parle de macro photo en dentaire, il faut un objectif qui va dans les 105 mm
J'ai un reflex avec un objectif 14-42, il me faut celui qui fait 40-150 c'est bien ca?


Deuxieme question, vous parlez de flash sigma, est ce que ce flash annulaire est adaptable sur n'importe quel objectif?


Merci pour vos réponses