Cookie Consent byPrivacyPolicies.comAll on 4? - Eugenol

All on 4?

dov

02/12/2008 à 09h21

Quelles reflexions vous inspire le systeme All on 4 (ou 6
).Les patients me demandent ce type de traitement,que je ne pratique pas.


P1010130 jpci1f - Eugenol
MarcB6

02/12/2008 à 15h09

Cher Dov,

La technique All on 4 ou 6 dont tu parle fonctionne bien, elle rend de grands services aux patients édentés ou proches de l'être.

je la pratique régulièrement depuis maintenant 3 ans avec beaucoup de succès.

En fonction du cas, je pratique les extractions et la pose des implants simultanément. Parfois à la demande de certains patients, je fais également de la mise en charge immédiate.
Sinon temporisation avec prothèse totale résine immédiate.

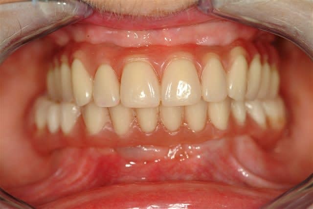
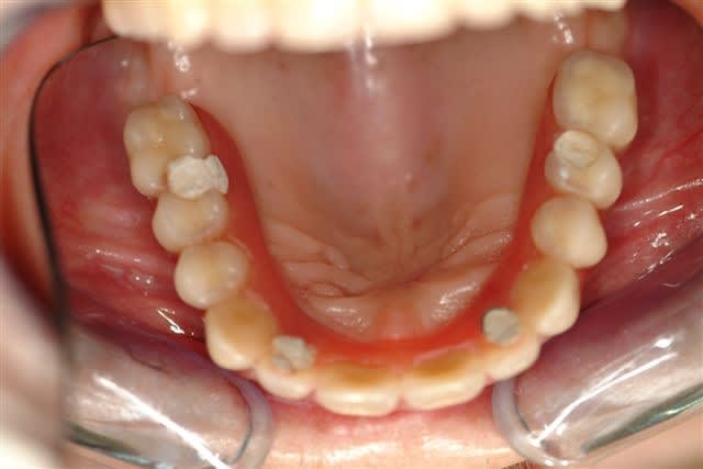
Je te joins quelques clichés ( 2 all on 4 sup et inf temporaires en résine sans armatures métal) qui te permettront de te rendre compte de ce que l'on peut obtenir comme résultat.
Après six mois il faut faire la même prothèse avec une armature métallique.

Si tu pratique l'implanto de façon courante je te recommande de t'y mettre ta satisfaction et celle de tes patients sera au rendez vous.

Bon courage.

MarcB6






Dscf0918 yj9b6i - Eugenol
Dscf0919 fvt6hg - Eugenol
Dscf0924 g2nrzw - Eugenol
Dscf1027 jobdqh - Eugenol
Dscf1024 az3sbe - Eugenol

Péach

02/12/2008 à 15h33

quel recul as tu sur cette option all on 4 au maxillaire (ancienneté et nombre de cas) ? je te pose cette question parce que tout le monde (ou presque?) parle de 6 implants au maxillaire et 4 à la mandibule (par exemple, Hadi Antoun ADF 2007 et 2008)


P1010130 jpci1f - Eugenol
MarcB6

02/12/2008 à 21h34

Depuis 2 ans je pratique le ALL on 4 Maxillaire,

dans les cas ou je ne peux placer d'implant en position de 6 pour des raisons de proximité sinusienne.
et si le patient refuse une greffe sinusienne, je ne place que 4 implants en position de 2 ou 3 et 5.
De toute façon l'inclinaison des implants postérieurs contre indique la pose de plusieurs implants antérieurs.

De toute façon la principale indication des All on 4 c'est justement pour éviter les greffes osseuses.

Plusieurs facteurs rentrent aussi en ligne de compte pour le choix du nb d'implants
âge du patient
corpulence
contexte occlusal
force masticatoire
denture antagoniste...

Sinon, all on 6 et implants placés en 2/4/6 pour plus de sécurité.

Auparavant je ne faisais que des cas mandibulaires avec cette technique.

J'ai du faire environ une vingtaine de cas maxillaires depuis.

Pour le moment tout se passe bien, j'attends pour voir.

Si quelqu'un en fait depuis plus longtemps j'aimerai bien avoir son avis.

MarcB6


Zorglub

02/12/2008 à 23h51

Voici une réflexion de Carl Misch sur le All on 4: All on four, c'est null on three...

Que préconise Misch dans son livre ?

Toujours un implant en zone des 6 et en zone des 3 et jamais plus de 2 éléments intermédiaires entre deux implants. Jamais d'extensions au maxillaire et jamais de plus d'une dent à la mandibule.

J'ajouterai simplement ceci: quel doit être la durée de vie d'un traitement implantaire dont l'échec d'un seul implant va ramener le patient vers un amovible ?


Est-il éthique de mettre l'implantologie à portée des gens peu fortunés et de les embarquer dans une galère... dans 5, 10 ans.

1 % d'échec pour nous, c'est 100 % d'échec pour le patient.

Cette technique n'a pas un recul suffisant et va à la catastrophe. Il y a déjà eu des échecs cuisants...

Je ne la pratiquerai jamais et je pense que les praticiens qui placent l'éthique au dessus du portefeuille ne doivent pas la pratiquer.


P1010130 jpci1f - Eugenol
MarcB6

03/12/2008 à 13h45

Tu as raison Zorglub, je ne peux prédire l'avenir de ce type de traitement dans 10 ans.

Par contre peux tu me dire ce que tu propose à tes patients d'un certain âge handicapés au quotidien, physiquement et socialement par leur prothèse amovible.

Dans notre exercice il y'a la théorie et la réalité quotidienne que nous rencontrons tous dans nos cabinets.

S'il y'avait un consensus sur la façon de soigner les patients ça se saurait...

A mon sens on ne peux ignorer cette alternative de traitement aujourd'hui.

MarcB6


Zorglub

03/12/2008 à 17h12

Je ne leur propose rien d'autre que des plans de traitement et des techniques validées depuis plus de dix ans.

C'est tout ou rien car je ne fais pas de l'expérimentation sur mes patients et surtout, je préserve ainsi leur capital osseux...

On en reparlera dans 5 ans du all on four... Il faut lire les livres de Marc Bert... Tout a déjà été essayé en implantologie...

D'ailleurs, on est déjà occupé à récuperer des cas... devenus null on three...

Il faut se méfier de certaines sirènes...


Humator t9r5wy - Eugenol
humator

03/12/2008 à 17h44

!eviv bulgroz!

(je vois qu'on a quelques ref biblio en commun!)

marcB6 a donné sa vision du traitement de l'édenté complet, que je respecte, soit dit en passant. Quelle est la tienne Z?

que proposes tu au minimum pour un maxillaire?

pour ma part, je ne descendrais pas en dessous de 6 piliers. A 4, je ne serais pas serein!
cependant, si j'ai la place pour 8, c'est le chemin que je prendrais, quitte à faire un geste commercial.

--
N.Hum


Zorglub

03/12/2008 à 18h45

Je vois qu'on n'a pas que certaines lectures en commun...

Je place le maximum d'implants possible au MAX et à la MAN car il ne faut pas oublier des facteurs que nous ne maîtrisons pas:

La qualité de l'os, la force musculaire des patients, la longueur et éventuellement la largeur disponible, la grandeur de la mâchoire, la durée de vie du patient, la fatigue des métaux, et ce que les patients vont faire subir à leurs dents...

Au maxillaire, je descends rarement en dessous des 8. Et 7 à la mandibule.

Pour les grandes mâchoires, il m'est arrivé de faire 12 au maxillaire mais je pratique alors un forfait, peu importe le nombre d'implants.

En fait, si j'avais un échec sur une implanto totale (aucun à ce jour), il est hors de question que l'on me reproche d'avoir sous-implanté...


Img 8465 fqhxid - Eugenol
noahaxeltiger-olivier

03/12/2008 à 21h14

Zorglub écrivait:
>
> Au maxillaire, je descends rarement en dessous des 8. Et 7 à la mandibule.
>
> Pour les grandes mâchoires, il m'est arrivé de faire 12 au maxillaire

et tu t'appuies sur quelles références biblio pour ce choix du nombre d'implant ?


Zorglub

03/12/2008 à 22h41

Plus de 20 ans d'expérience, sans compter les 35 ans d'expérience de mon professeur d'implantologie, cela vaut toutes les bibliographies...

Et puis il y a le livre de Carl Misch qui donne des normes minimales à respecter mais un implant de 8mm 3.75 ne vaut pas un 15mm 3.75..., placé axialement ou en oblique non plus...

Et puis il y a le modèle naturel qui prévoit 14 dents par maxillaire, bien plus de racines encore et un ligament amortisseur, pour plus ou moins un siècle...

Les implants encaissent des forces à la limite de ce que peut supporter l'os avant de se micro fracturer ou de se résorber, c'est ce qu'on apprend dans les DU. L'implant n'est pas une super dent.

Et c'est après 5 ans que surviennent les problèmes purement mécaniques: dévissages, bris d'implants...

Je ne cherche pas la polémique mais je donne mon avis sur le all on 4 comme demandé dans le post.

Et quand on programme une implanto totale, on n'est pas à quelques implants près pour assurer sa tranquillité et celle du patient non ?


Blason dql7mj - Eugenol
growler

03/12/2008 à 22h55

maintien de l'ostéo-intégration et conservation de l'os péri-implantaire, c'est çà qu'on souhaite. Et çà ne passe pas forcément par le maximum d'implants. On ne peut systématiquement transposer le modèle dents naturelles aux implants. Certes il y a le bon sens, mais par exemple les règles du rapport C/racine ne sont pas transposable à une couronne sur implant.

d'ailleurs tiens, j'ai trouvé cette étude qui me laisse perplexe (je me demande si j'ai bien traduit):
http://minilien.fr/a0j3js

et puis il y a pleins de paramètres qui entrent en ligne de compte, tu sites la longueur de l'implant mais le diamètre semble bien plus important: http://www.ncbi.nlm.nih.gov/pubmed/18783411?ordinalpos=10&itool=EntrezSystem2.PEntrez.Pubmed.Pubmed_ResultsPanel.Pubmed_DefaultReportPanel.Pubmed_RVDocSum


Zorglub

04/12/2008 à 01h50

Ce que l'on souhaite, c'est de voir mourir le patient avec ses implants et ses dents fixes en place, car on peut garder l'ostéointégration et le niveau osseux sur un implant fracturé...

Vous faites comme vous voulez les gars... mais pourquoi essayer de me prouver que j'ai tort ?

Vous pouvez continuer de défendre une implantologie à petit nombre d'implants, avec des implants courts, des petits, des gros diamètres mais faut pas venir pleurer en cas d'échec dans 10 ou 15 ans.

Mon objectif, c'est que mes patients ne s'offrent qu'une seule implantation dans leur vie.

Je sais qu'il y aura toujours des funambules, c'est pas pour moi.

J'ai aussi assez d'expérience pour savoir que dans des études statistiques, certains écartent ce qui les arrangent... Et puis une étude à UN an, c'est pas sérieux.

Et franchement, bien sûr que le modèle biologique n'est pas le modèle implantaire mais la fatigue du métal, les dents ne connaissent pas non plus...

Petit détail qui a son importance: je traite tous mes cas d'implantation totale en mise en charge immédiate, alors all on four...


Flaschcode adresse site cabinet  bsizag - Eugenol
dentissimo

04/12/2008 à 01h58

Cher ZORGLUB, cela fait quarante ans que Branemark à mis en place des prothèse mandibulaire ostéoancrées avec des implants devant les foramens et des extensions postérieures de 17 mm environs... soit plus d'une dent.... mais on peut encore attendre 5 ans pour être sûr que ça fonctionne!!!

aucun consensus médial n'esiste dans la littérature sur le nombre d'implants minimum nécessaire... mais nous pouvons publier un consensus EUGENOL!!


Visiblement 3 implants sont insuffisants...
Duyck J, et coll.
Magnitude and distribution of occlusal forces on oral implants supporting fixed prostheses: an in vivo study.
Clin Oral Impl Res 2000;11:465-475.

Mainteant,mon cher ZORGLUB il faut faire attention à ne pas accuser tes confrères de manquement à l'éthique en réaliser des ALL on four... tu n'es pas Mish.. et Misch n'est pas détenteur de la vérité...son livre n'est pas la bible

je suppose que tu ne fais plus de couronne sur dents naturelles puisque en cae d'echec tu l'auras rendu édenté!!... ou es tu sûr que cela tient 15 ans à chaque fois...
Je suppose aussi que tu réalises systématiquement des greffes osseuses (sans suitesopératoires bien sûr) pour placer des implants au niveau des 6 du bas......

pour être très franc... tu écrit un peu comme ces gens qui savent tout mais qui ne font pas grand choses car il existe toujours une justification de ne pas le faire....
excuse mon agressivité mais qui es tu pour te permettre de parler d'ethique et de protefeuille comme tu le fais??


Ce que tu déclares est intolérable pour tous ceux qui travaillent avec leur âme et conscience et qui apportent des soins de qualité à leur patient ..en les respectant...

Il y a sûrement des débutants sur le forum mais aussi des prticiens extrêmement expérimentés et qui ne sont pas des cow-boys...

un dernier conseil si je peux me permettre .. Démischtifie l'implantologie!!


Zorglub

04/12/2008 à 02h03

Voilà un scoop, Branemark et ses mentons... Tu as déjà regardé ses cas comme ils sont bien sélectionnés ? Des kilomètres d'os avec des complets en face... Et certains patients ont quand même réussi à plier l'extension de l'armature en or-résine...

Mais ne mélange pas tout, et surtout pas de digression débile vers les couronnes... ici, on ne fait pas un cours, ni de la rétrospective, on parle de l'all on four...

Parce que all on four, c'est éthique ? Dommage que tu te sentes visé...

Que je sois Misch ou pas, cela ne change rien puisque je ne fais que de témoigner de ses propos.

Pour moi, all on four, ce n'est pas de l'evidence based medecine. C'est de l'expérimentation et certainement pas la bible non plus.

Je ne crois pas être le seul à le penser et l'avenir nous dira qui a tort et qui a raison...

Ne te tracasse pas pour moi j'assume mes connaissances en implantologie... Alors je te laisse avec tes propres certitudes, tes sarcasmes de bas étage et tes procès d'intention...

Et je t'assure que j'en fais bien plus que tu ne le penses... c'est peut-être cela qui doit te déranger... à moins que ce ne soit de lire certaines vérités.


Blason dql7mj - Eugenol
growler

04/12/2008 à 09h08

"Pour moi, all on four, ce n'est pas de l'evidence based medecine"

oui, mais tes arguments non plus, tu es u peu trop subjectif. Moi je crois que ce qui a été statistiquement étudié. Avec tes nombreux cas réalisées depuis d'assez nombreuses années tu devrais pouvoir publier un suivi.

@+


Zorglub

04/12/2008 à 09h58

1. Pas le temps ni l'envie. Et pour convaincre qui ?

2. De toute façon, dans les études, on inclut les patients que l'on veut bien y inclure... Les enjeux sont trop grands.

3. Il suffit d'attendre que les all on four se cassent la figure et commencent à envahir les cabinets. Ce sera la meilleure preuve de la pérennité de ce traitement. Puisque de toute façon, cette manière de faire est bien trop récente pour livrer ses secrets... Les études sur le all on 4 mêmes sincères ne sont actuellement que des opinions à court terme.

4. Si le bouquin de Misch (qui est mondialement connu) et de Marc Bert ne te suffisent pas... Je suis alors effectivement trop subjectif.

5. Je le répète, chacun est libre d'avoir sa propre opinion sur le all on 4. J'ai donné la mienne et celle de MIsch. Ensuite chacun fait comme il veut.

6. Il y aura toujours deux camps, ceux qui sont pour et ceux qui sont contre. Seul le temps fera pencher la balance...


Rorschachwhite tx6rqr - Eugenol
Candide Candida

04/12/2008 à 11h44

growler écrivait:
-----------------
> "Pour moi, all on four, ce n'est pas de l'evidence based medecine"
>
> oui, mais tes arguments non plus, tu es u peu trop subjectif. Moi je crois que
> ce qui a été statistiquement étudié. Avec tes nombreux cas réalisées depuis
> d'assez nombreuses années tu devrais pouvoir publier un suivi.


Assez d'accord avec Growler.

Et puisque l'on parle de EBM, une citation de David Sackett le père de l'EBM qui ne manquait pas d'humour et qui colle bien avec cette discussion :

1) The most powerful therapeutic tool you'll ever have is your own personality

2) Half of what you'll learn in medical school will be shown to be either dead wrong or out of date within five years of your graduation ; the trouble is that nobody can tell you which half—so the most important thing to learn is how to learn on your own

3) Remember that your teachers are as full of bullshit as your parents

4) You are in for more fun than you can possibly imagine

CC.


Zorglub

04/12/2008 à 14h25

Rappelez-vous les implants recouverts d'hydroxyapatite... De belles études à court terme et maintenant...

La surface TiUnit... la plus mauvaise pour résister aux péri-implantites : Dr Berghlund (Suède)

Donc All on four, je ne conseille à personne de le faire et je ne le fais pas.

Nous connaissons tous les statistiques de Branemark, avec du titane pur usiné. Il y a eu des pertes d'implants immédiates et retardées...

Si on croit cette étude on place quelques implants de plus et cela évite que la perte d'un implant = la perte de toute la partie prothétique.

Donc je place peut-être trop d'implants par maxillaire aux yeux de certains mais quand j'en perd un sous mon bridge provisoire, je ne suis pas toujours obligé de le remplacer.

Pourquoi le TGV ne roule-t-il jamais à sa vitesse maximum en routine ? Pour garder une marge de sécurité.

All on four, la marge de sécurité = zéro. Ce ne sont pas des publications, ni des statistiques, c'est du bon sens...
Au mieux, on va réopérer mais pensez-vous que les patients aiment être réopérés et si le site est compromis avec la perte du bel implant en oblique, on va faire quoi ?


P1010130 jpci1f - Eugenol
MarcB6

04/12/2008 à 15h22

Eh bien je vois que le forum est très animé,

c'est plus qu'un débat et un échange d'idées...

restons calmes les gars, personne ne détient la vérité absolue.

les dogmes d'hier ne valent plus rien aujourd'hui...
implants enfouis,
surface usinée,
col lisse,
lambeau d'accés impératif,...
1 implant par unité radiculaire...
enfouissement 6 à 8 mois...
Tout ça c'est de l'histoire ancienne.
ce n'est pas parce que l'on ne cite pas de réference bibliographique que l'on en a pas...

Les implants, c'est comme les frites Mc Cain c'est ceux qui en parlent le plus qui en font le moins...
Je connais beaucoup de confrères comme ça...

Chacun est libre de donner son avis et relater son expérience, c'est à ça que sert un forum.

Dans mon exercice, je sais avoir rendu d'énormes services à certains patients agés qui de toute façon seraient restés avec leur prothèse amovible s'il avait fallu faire des greffes sinusiennes ou des greffes d'apposition verticales pour les implanter dans les secteurs postérieurs mandibulaires.

Pour ma part, aujourd'hui, la technique ALL on 4 m'apporte des réponses intérressantes au traitement de certains cas.

Je repose la question, quelqu'un pratique t-il cette technique depuis suffisamment longtemps pour donner un avis objectif ???

merci d'avance

MarcB6








dov

04/12/2008 à 21h44

Zorglub a raison,On ne va pas deterrer la hache de guerre.C'est un echange d'idees.Quand j'ai ouvert cette dicussion je ne m'attendais pas a ouvrir la boite de Pandore.Le cote tres positif de cette bataille ouverte ,c'est que les intervenants aiment leur metier.Alors merci de continuer ces echanges.
Au passage,ca fait 30 ans que je n'habite plus la France.Je ne suis plus tres au courant de la litterature professionnelle en langue francaise.Vous m'apprenez que Marc Bert est une source intarrissable en implanto.Pouvez vous me conseiller un de ses bouquins,surtout clinique et pratique.
Au plaisir de continuer a vous suivre et a participer

DOV


Flaschcode adresse site cabinet  bsizag - Eugenol
dentissimo

05/12/2008 à 02h15

ZORGLUB , je ne charche pas à te convaincre que tu as tort que j'ai raison... je serais aussi idiot que toi à emettre une opinion aussi tranchée.. je garde mes convictions mais je suis ausssi ouvert à entenre les critiques à me remettre en question...
ce que je citique c'est la l'aspect moraliste de ton jugement au niveau humain.. que je trouve inadmissible et à vrai dire un peu professoral

Voilà pour ma part j'arrête là...


Zorglub

05/12/2008 à 09h24

Dentissimo, j'ai bien compris que sous ton discours mielleux tu me traites d'idiot. Mais avec un pseudo aussi explicite que le tien, cela ne m'étonne guère !

Je trouve cela petit et mesquin de s'attaquer à une personne alors que je m'attaque à un concept prôné par la firme d'implant connue pour être la plus orientée vers l'aspect profit de l'implantologie et qui nous a déjà servi quelques "perles" sur un plateau.

Ce qui m'intéresse, ce n'est pas de savoir si l'on peut traiter un cas avec 4 implants positionnés de la sorte mais de savoir ce que l'on va faire gober et payer au patient pour réaliser après échec, une implantologie digne de ce nom. Car affirmer qu'il n'y a pas ou n'aura pas d'échec est aussi passablement idiot...

Il ne faut pas avoir beaucoup d'empathie pour embarquer ses patients dans un plan de traitement douteux. Si c'est cela le côté humain et soi-disant moralisateur que tu réprouves, alors, je te laisse avec ta conscience.

L'avenir heureusement nous dira s'il est très intelligent de traiter des patients avec 4 implants et une marge de sécurité valant zéro.

Au plaisir...


Blason dql7mj - Eugenol
growler

06/12/2008 à 18h51

c'est tout récent:
http://www.ncbi.nlm.nih.gov/pubmed/18652085?ordinalpos=11&itool=EntrezSystem2.PEntrez.Pubmed.Pubmed_ResultsPanel.Pubmed_DefaultReportPanel.Pubmed_RVDocSum

je vais essayer de trouver l'étude complète.

@+


Zorglub

07/12/2008 à 14h26

Etude sur 4.4 ans sur le All on 4... et uniquement à la mandibule. Cela vous parait-il suffisant pour se lancer à fond dans ce concept ? Et quid de l'antagoniste ? Un complet ?