Cookie Consent byPrivacyPolicies.comcas composite - Eugenol

cas composite

hmg

07/01/2009 à 13h34

salut a tous. une patiente d'un certain age ce presente pour un traitement prothetique sans avoir recours a une solution implantaire.
J'ai decidé de faire deux CCM avec attachement de chaque coté au niveau mandibulaire auxquels s'attachera un stellite.
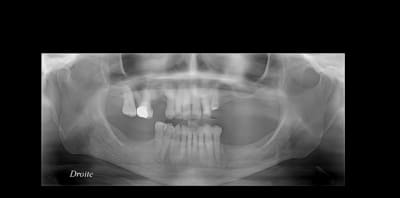
Au niveau maxillaire apres extraction de la 16 on va realiser deux CCM sur la 13 et la 17 qui seront reliés par une barre qui servira d'attachement.
Mais le probleme se pose du coté gche: d'une part la 22 est mobile, versée et avec une proximité radiculaire compromettante pour la 21 qui déja commence a souffrir du coté distal.
Est il meilleur de conserver la 21 et de réaliser un bridge 21-22-23 ou bien extraire 21 et 22 et le bridge sera de 11 jusqu'a la 23 (bien evidement avec attachement + stellite sup )
merci

Retro yfvcev - Eugenol
Pano lp8ygz - Eugenol
Retro2 dxg6ju - Eugenol

Photo pluton1b h9n4ea - Eugenol
pluton

07/01/2009 à 15h47

t'as de toutes façon une belle "pèche" sur la 23...avant toute chose revoir le traitement de cette dent et attendre la guérison de cette lésion avant de proposer un plan de traitement...
et puis...quel dommage de mutiler des dents saines...une "simple" PAP n'est elle pas "suffisante"???


belette

07/01/2009 à 16h04

et la 16 pourquoi l'extraire ? Un traitement n'est pas envisageable pour la prolonger de quelques années? si ta patiente est d'un certain âge...

16 p4hn7u - Eugenol

Photo pluton1b h9n4ea - Eugenol
pluton

07/01/2009 à 16h32

+1 belette...


hmg

07/01/2009 à 19h19

a propos de la 16: la radio n'est pas tres claire mais cliniquement il y a une atteinte de furcation et perte d'attache assez importante au niveau de la racine palatine.
La 23 a ete retraitée par moi meme et la peche a tendance a disparaitre sinon resection apicale pour conserver cette racine assez longue coute que coute.
La patiente est assez exigente esthétiquement et ne veut pas de crochets visibles d'ou la necessité de "mutiler" des dents saines et je doute que la patiente puisse supporter une PAP résine.