Cookie Consent byPrivacyPolicies.comsimple comme un coup de fil ! - Eugenol
1 p3qrc4 - Eugenol
Bjc.

07/01/2009 à 19h22

...

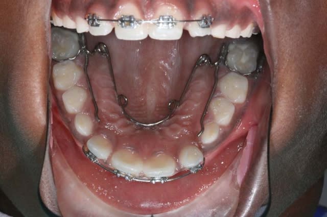
Img 0547 zcnfbu - Eugenol
Img 0573 jqlcq0 - Eugenol

Cuisinier2 vnbbxx - Eugenol
jeff2

07/01/2009 à 20h30

C'est quoi l'intérêt?


1 p3qrc4 - Eugenol
Bjc.

08/01/2009 à 02h29

"C'est quoi l'intérêt?"

C’est de montrer à ceux qui voudraient faire de l’interception, mais n’osent pas se lancer parce que c’est trop compliqué, que c’est à la porté de n’importe quel dentiste,

@+ Bjc.


Image001 e0kg9q - Eugenol
clemsdent

08/01/2009 à 21h50

et c'est ou c'était quoi le problème du patient?


1 p3qrc4 - Eugenol
Bjc.

08/01/2009 à 22h15

la 22


1 eugenol dmj5np - Eugenol
Dancha

09/01/2009 à 13h05

Pourrais-tu nous montrer la panoramique ?
Merci.

Daniel


weber

09/01/2009 à 16h53

1- Quel est l'interêt du QH ?
2- Le problème de la 22 n'est-il pas l'évolution de la 23 ?
Merci


1 eugenol dmj5np - Eugenol
Dancha

10/01/2009 à 13h40

Tu ne retrouves pas la panoramique ?

Daniel


Cuisinier2 vnbbxx - Eugenol
jeff2

10/01/2009 à 19h20

chut Dancha, bjc avait oublié la canine..


1 p3qrc4 - Eugenol
Bjc.

10/01/2009 à 22h19

et pourquoi vous croyez que j'ai mis un QH.
pour faire joli?

allez Dancha, met nous un autre cas, pas toujours le m,
qu'on rigole un peu !!!

@+ Bjc.


1 eugenol dmj5np - Eugenol
Dancha

12/01/2009 à 11h17

jeff2 écrivait:
---------------
> chut Dancha, bjc avait oublié la canine..

Tu as raison, il ne faut pas trop lui remuer le couteau dans la plaie !


Daniel