Tous les forums
qu en pensez vous?
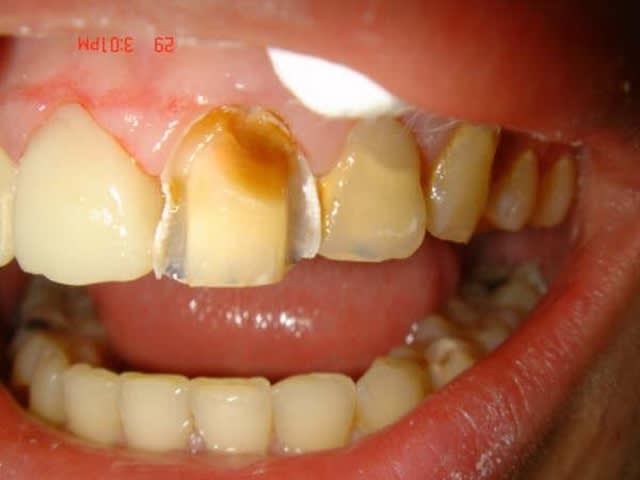
12/01/2009 à 18h19
ce patient a 30 ans il est sous NEURONTIN 600 depuis 6 ans et sous TRILEPTAL depuis plus longtemps.En un an, comparez les pano, il a developpé des caries tres invasives en particulier sur les faces vestibulaires antero sup (mais pas uniquement). Merci de vos avis.
12/01/2009 à 19h09
ces médicament ont des goûts tellement épouvantables que le patient peut être amené à abuser de sucreries.
ça + hygiène + respiration buccale = caries du patissier
14/01/2009 à 12h53
merci de votre interet, en fait il ne consomme pas de bonbons sans sucre mais il boit du coca au dejeuner, 50 cc selon lui.
14/01/2009 à 15h47
Effet secondaire (possible) du neurontin:
Affections gastro-intestinales :
. Fréquent : vomissements, nausées, anomalies dentaires, gingivite, diarrhée, douleur abdominale, dyspepsie, constipation, sècheresse de la bouche ou de la gorge, flatulence.
De plus, y'aurait pas quelque conso de comprimés de drogues illicites ???