Cookie Consent byPrivacyPolicies.comque lui feriez vous ? - Eugenol

que lui feriez vous ?

Fouilla h6plsy - Eugenol
fouilla

14/01/2009 à 16h43

voila tout est dit dans le titre
les radios

03685 x 0000002e 3 ai25gc - Eugenol
03685 x 00000036 3 nwv3ox - Eugenol
03685 x 00000037 3 qwaxwo - Eugenol

Fouilla h6plsy - Eugenol
fouilla

14/01/2009 à 16h46

63 stable +++
souhait du patient : "avoir deux dents" ignorait que 23 était là je vous mettrai des photos dès que la décision sera prise (...celle du patient) pour la suite après "les deux dents"


Sans titre tztxfv - Eugenol
Monet

14/01/2009 à 17h22

Je poserai 2 implants en 11 et en 21 en mentionnant sur le devis que 23 posera un soucis tôt ou tard avec la nécessité de réaliser un traitement de traction orthodontique.


Fouilla h6plsy - Eugenol
fouilla

14/01/2009 à 17h36

+1 pour 11 et 21 mais ça facile...pour ça rdv déja pris mais regarde mieux 23 tu vois rien d'anormal ?


Sans titre tztxfv - Eugenol
Monet

14/01/2009 à 18h43

Je ne réponds qu'aux questions faciles ;-)...Dis moi qu'est ce que tu lui reproches à cette 23 incluse?


Calvin and hobbes lr0gvh - Eugenol
larome

14/01/2009 à 18h49

Ankylosée ?
ou peut etre déja sortie ?


--
La Rome


belette

14/01/2009 à 18h59

Ses bords ressemblent à de la dentelle, résorption? .
Mais sa racine devrait un jour pouvoir tenir une couronne,à condition de la tirer un peu...


Fouilla h6plsy - Eugenol
fouilla

14/01/2009 à 19h06

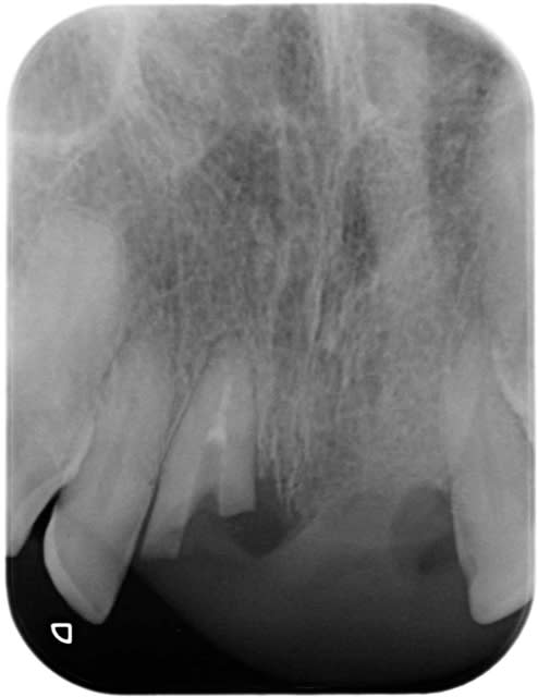
mets la rvg de la 23 et éteins ton plafonnier

tu ne vois rien au niveau de la couronne (impression qu'elle est cruantée en périphérie par ailleurs au niveau de la chambre pulpaire impression de rhyzalyse interne----)carie


Fouilla h6plsy - Eugenol
fouilla

14/01/2009 à 19h10

un exemple plus parlant d'une 13 totalement incluse et totalement cariée

13 incluse   carie djskg2 - Eugenol

Wolford hm5yx3 - Eugenol
Doc lyonnaise

14/01/2009 à 21h18

fouilla écrivait:
-----------------
> un exemple plus parlant d'une 13 totalement incluse et totalement cariée

Peut-on appeler ça "cariée"?????


Blason dql7mj - Eugenol
growler

14/01/2009 à 22h23

ortho pour repositionner 13 12 22, corriger la rotation de 14 et voir si la 23 peut être tractée. Puis implant 11 21 et ccm sur 23 si elle est repositionnée sinon extr de 23 et implant aussi pour elle.


Fouilla h6plsy - Eugenol
fouilla

16/01/2009 à 10h35

pour des raisons esthétiques et mécanique(odf) je préfère mettre en place les deux implants 11 et 21 en premier (en plus il n'était venu que pour ça) puis provisoire sur les deux mise en place systême d'ortho qui nous permettra de gérer
1) l'égression de 12 la rotation de 13 14 en diminuant le diastème

2)ancrage top pour l'ortho

3) alignement des collets facilité

4)réalisation d'une petite provisoire sur 63 en temporisation (extension de 11 et 21) pendant la traction ou avulsion de 22 même si je pense qu'elle est très atteinte

mon seul souci reste la motivation du patient 47 ans maçon pas du tout venu pour ça...;jusqu'ou le compromis doit il aller ?


Fouilla h6plsy - Eugenol
fouilla

16/01/2009 à 10h36

pour des raisons esthétiques et mécanique(odf) je préfère mettre en place les deux implants 11 et 21 en premier (en plus il n'était venu que pour ça) puis provisoire sur les deux mise en place systême d'ortho qui nous permettra de gérer
1) l'égression de 12 la rotation de 13 14 en diminuant le diastème

2)ancrage top pour l'ortho

3) alignement des collets facilité

4)réalisation d'une petite provisoire sur 63 en temporisation (extension de 11 et 21) pendant la traction ou avulsion de 23 même si je pense qu'elle est très atteinte

mon seul souci reste la motivation du patient 47 ans maçon pas du tout venu pour ça...;jusqu'ou le compromis doit il aller ?


Fouilla h6plsy - Eugenol
fouilla

05/03/2009 à 12h41

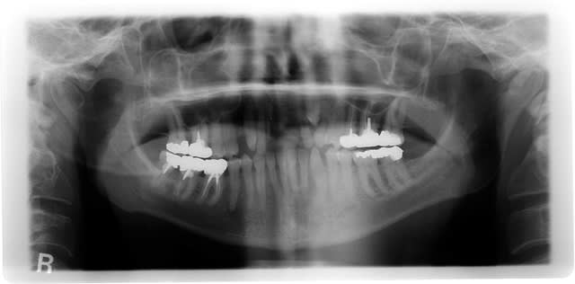
passage à l'acte la semaine dernière
EII sur 11 natea 4.1*12
natea 3.6*12 en 21
ostim + prf

à suivre...

03685 x 00000126 3 tzvgz0 - Eugenol

3f3boxni50k58rq7e9ce9ddqrxgk - Eugenol
dentiste57

06/03/2009 à 00h43

fouilla on voit tes doigts sur la radio.
Y vont bientôt tomber.
:)