Cookie Consent byPrivacyPolicies.comQue feriez vous ? - Eugenol

Que feriez vous ?

Dent masqu e petite f0pbaj - Eugenol
dudule

21/01/2009 à 23h02

Pour dresser le tableau rapidement :
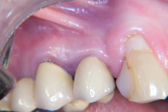
Patient de 21 ans ayant perdu une 22 lors d'un AVP en 2004. Tentative par un stomato de greffe en onlay de corail qui s'est soldée par un échec avec infection +++ et fonte osseuse aggravée.
Aujourd'hui souhaite une solution fiable et "définitive".
Avez vous des idées ?

Je pensais personnellement faire éventuellement de la chir mucco-gingivale avec greffe conjonctif enfoui + prohèse fixe conventionnelle mais je suis ouvert au dialogue.

O o3ci1c - Eugenol
O2 ia0ivx - Eugenol
O3 vgk8gy - Eugenol

Sans titre tztxfv - Eugenol
Monet

22/01/2009 à 08h39

Je te rejoins....greffe gingivale puis brigde collé ou conventionnel tout céramique.

J'ai hâte de connaitre l'avis des spécialistes en implantologie ;-)


Blason dql7mj - Eugenol
growler

22/01/2009 à 10h34

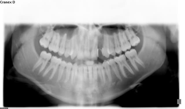
t'as pas un scan dudule?

je mettrais bien la 21 à l'état de racine puis traction orthodontique de la racine pour gagner au mieux de la hauteur d'os et du tissu mou rendant plus prédictible par la suite une greffe en onlay.

@+



Dent masqu e petite f0pbaj - Eugenol
dudule

22/01/2009 à 13h43

Growler, le scann est en fichier *.pdf
Je sais c'est pas très explicite !
a+


nolive

22/01/2009 à 13h51

D'après moi, dans ce cas, si on fait de la prothèse conventionnelle vu l'âge et vu la résorption osseuse au niveau de 21 et probablement 23, ça risque de ne pas durer éternellement. Sur le scan, il semble ne plus y avoir grand chose comme corticale vestibulaire.

Je serais super favorable pour un octogénaire mais un jeune de 21 ans, BOF.

Que lui proposera-t-on dans une dizaine d'années quand tout sera par terre ? Des implants ?

Je suis trop peu compétent en chirurgie muco-gingivale à visée esthétique et en greffe osseuse pour me lancer dans ce cas, mais je pense qu'il faut se poser la question d'extraire 21 puis reconstituer la crête osseuse au niveau de 21-22 et gérer la hauteur de gencive kératinisée. Puis poser les implants... couronnes provisoires pour gérer les tissus mous puis prothèse définitive quand on est content du résultat.

C'est un cas à ne surtout pas mettre entre toutes les mains à mon avis.

J'attends les avis des ténors avec impatience...

Bon courage pour ce patient.


Photo pluton1b h9n4ea - Eugenol
pluton

22/01/2009 à 13h52

dudule...je suis d'accord avec toi pour la chir muco gingivale...mais il est jeune...et quitte à ouvrir...tu tenterais pas en plus un comblement bio-oss+ membrane pour faire "une régénération osseuse du site" qui te permettait par la suite de lui poser un implant si çà marche, plutôt que lui mutiler ses 21 et 23 qui sont exemptes de soins?


docland72

22/01/2009 à 14h35

1:greffe gingivale conjonctif enfoui avec repositionnement coronaire au max du lambeau.
2:greffe osseuse en onlay
3:pose d'un mini implant type dentatus avec mise en esthétique immédiate
si la phase 1 ne fonctionne pas il ne faudra surtout pas se lancer dans la phase 2.


Blason dql7mj - Eugenol
growler

22/01/2009 à 17h01

vu le scan, je propose toujours la même chose: perte de 21 (mais en se servant d'elle pour tracter au mieux os et tissus mous puis greffe onlay et enfin implants.


Cuisinier2 vnbbxx - Eugenol
jeff2

24/01/2009 à 19h40

je suis d'accord avec toi Growler, perte de 21
greffe osseuse en onlay.
Même cas que ca il y a un an, super boulot de Carole.


Dent masqu e petite f0pbaj - Eugenol
dudule

24/01/2009 à 23h11

revu le patient hier... tissus mous totalement fibrosés suite à greffe ratée et retraction cicatricielle.
Je m'oriente donc avant sur récupération d'une gencive suffisament épaisse.

Cherché mais pas retrouvé le post de Carole


Avatar ow44t3 - Eugenol
Chicot

25/01/2009 à 15h12

pluton écrivait:
----------------
> dudule...je suis d'accord avec toi pour la chir muco gingivale...mais il est
> jeune...et quitte à ouvrir...tu tenterais pas en plus un comblement bio-oss+
> membrane pour faire "une régénération osseuse du site" qui te permettait par la
> suite de lui poser un implant si çà marche, plutôt que lui mutiler ses 21 et 23
> qui sont exemptes de soins?

Le Bio oss, tu veux le mettre ou ? sur la face vest de la racine de 21-23 ?
--
;O)


Img 0812 mvp6i0 - Eugenol
jeamba

25/01/2009 à 16h09

Concernant la 22, il y a une technique simple et trés efficace c'est l'extraction orthodontique rapide ( et pas lente) qui a l'avantage de tracter la dent accompagnée de son os et sa gencive. Il me semble que dans ce cas c'est la solution la plus adaptée, la plus simple et la moins traumatique.


Avatar ow44t3 - Eugenol
Chicot

25/01/2009 à 19h35

jeamba écrivait:
----------------
> Concernant la 22, il y a une technique simple et trés efficace c'est
> l'extraction orthodontique rapide ( et pas lente) qui a l'avantage de tracter la
> dent accompagnée de son os et sa gencive. Il me semble que dans ce cas c'est la
> solution la plus adaptée, la plus simple et la moins traumatique.


sauf qu'elle n'existe plus la 22.....
--
;O)


Dent masqu e petite f0pbaj - Eugenol
dudule

25/01/2009 à 20h04

Merci pour cette remarque pertinente mon petit Chicot.
A Mardi
;+))


Img 0812 mvp6i0 - Eugenol
jeamba

25/01/2009 à 20h14

J'espère que tu as bien compris qu'il s'agit effectivement de la 21. Autant pour moi.


Smile beach jgh0a1 - Eugenol
ceramik

25/01/2009 à 21h56

Bonjour,

Extraction (ortho) 21
Greffe gingivale (conjonctif) pour avoir un bon tissu lors de la greffe osseuse,
Greffe osseuse (bloc autogène, menton)
Implants 21 et 22

Penser aussi à l'occlusion, orthodontie pour développer l'arcade du haut, trop étroite, pendant la guérison des greffes.


Carambar h3uqin - Eugenol
carambar

25/04/2009 à 22h04

Ola dudule

Regarde le DVD de Egon Euwe vendu sur le site de gIDE, ou va le voir (il passe régulièrement à la SFPIO)

Il réalise des ROG magnifiques et surtout il a une gestion fantastique de la gencive avec beaucoup de principes innovants et intéressants.

Donc greffe gingivale enfouie puis ROG avec biooss puis implant étroit si possible. Il ne découvre pas trop.

Surveille ton mail je t'envoie une vidéo.


Carambar h3uqin - Eugenol
carambar

25/04/2009 à 22h06

tu peux aussi l'adresser chez georges et accompagner ton patient. Tu apprends ainsi d'autres techniques.


juninho56

26/04/2009 à 16h35


Je souhaiterai avoir un avis pour une patiente.
Je fais actuellement un remplacement jusqu'en septembre.
Vendredi apres midi, j'ai reçu une patiente qui venait pour la premiere fois au cabinet.

C'etait une femme de 26ans qui était venue avec son pere.
Elle consultait car sa 11 est mobile et qu'elle est en avant par rapport aux autres dents.

A l'examen clinique,la patiente n'a pas de carie, tres peu de soins, besoin juste d'un petit détartrage.
La 11 présente une mobilité 2 majorée, elle est en vestibulo position. A la radio, il y a une importante perte osseuse. Il reste uniquement 1/3 de la racine dans l'os et les 2/3 sur les parois de 12 et 21 en rapport avec la 11.
A l'interrogatoire, elle a admis avoir un ATCD de choc sur la dent, elle a fait une chute de vélo il y a plusieurs années.
Je lui ai fais une ordonnance de pano et je dois la revoir.

Vu son age, la meilleure solution me semble etre une greffe osseuse puis implant. peut on obtenir de bons résultats avec une greffe ossseuse en cas de perte osseuse importante


Img 8465 fqhxid - Eugenol
noahaxeltiger-olivier

28/04/2009 à 01h24

t'es sûr de ton bilan paro ?


S2y2o1v7q53ws4r5wy6ou8czrpom - Eugenol
pxav

29/04/2009 à 11h11

Je crois que je tenterais une "simple" expansion si possible avec des ostéotomes curvilignes de Tatum pour 22 + implant éventuellement VitalOs
Si tout se passe bien tu vas rétablir un joli bombé vestibulaire et tu pourras gérer ensuite la centrale.
Ce n'est pas le même cas mais ça montre ce que donne une expansion faite en 91 (14) malgré une surveillance très épisodique


--
xbk

100 0655 akhkgt - Eugenol
100 0658 mlgb0b - Eugenol

3f3boxni50k58rq7e9ce9ddqrxgk - Eugenol
dentiste57

29/04/2009 à 13h36

es tu vraiment satisfait du Vital os ?
j'ai entendu peu de bien de ce matériau, as tu des photos de l'os après cicatrisation?


S2y2o1v7q53ws4r5wy6ou8czrpom - Eugenol
pxav

30/04/2009 à 01h33

es tu vraiment satisfait du Vital os ?
j'ai entendu peu de bien de ce matériau, as tu des photos de l'os après cicatrisation?


est tu satisfait de D57 j'ai entendu peu de ...........

J'ai aussi entendu beaucoup de chose sur le Vitalos mais je trouvais le concept sympa et je me refuse à utiliser ce qui n'est pas d'origine synthetique donc j'ai voulu essayer et tres honnetement si tu respecte le protocole c'est un produit qui me semble plus que sympa.
d'autant plus que le SAV est vraiment parfait
pour les photos il s'agit d'un bone splitting mais ce ne sont que des photos....... pas une preuve irrefutable
--
xbk

100 0910 qt3ezn - Eugenol
100 0110 evsvii - Eugenol
100 0123 jwzqwe - Eugenol
100 1639 ovygue - Eugenol

Amibien

30/04/2009 à 08h44

ici tu vas avoir un problème esthétique...


S2y2o1v7q53ws4r5wy6ou8czrpom - Eugenol
pxav

30/04/2009 à 11h30

la question est sur le VitalOs pas sur la gestion de l'esthetique.... même si je suis d'accord avec toi Amibien
mais il faut voir d'ou je suis parti et le final, sans greffe ni prelevements ni paro.
moins d'actes il y a mieux je me porte
il est certain que je ne facilite pas le travail du prothésiste dans ce cas, mais le résultat est vivable
pour la patiente

--
xbk

100 0077 locovs - Eugenol
100 0080 o6brov - Eugenol
100 0091 dioclb - Eugenol
100 0097 skdugw - Eugenol
100 0115 vkpe9l - Eugenol

12