Cookie Consent byPrivacyPolicies.comQue feriez vous ? - Eugenol

Que feriez vous ?

3f3boxni50k58rq7e9ce9ddqrxgk - Eugenol
dentiste57

30/04/2009 à 11h56

tu devrais demander à ton assistante de faire aussi des photos de face par rapport au dents pour se rendre mieux compte du défaut osseux en verticalité.
je sais , c'est pas toujours facile.


Gutt-A

30/04/2009 à 13h39

une gencive céramisée éventuellement?


Calvin and hobbes lr0gvh - Eugenol
larome

30/04/2009 à 18h32

perso gencive céramisée je trouve cela moche mais je débute


--
La Rome


Img 8465 fqhxid - Eugenol
noahaxeltiger-olivier

30/04/2009 à 19h34

pxav écrivait:
--------------
> pour les photos il s'agit d'un bone splitting mais ce ne sont que des
> photos....... pas une preuve irrefutable

Joli bone splitting !


S2y2o1v7q53ws4r5wy6ou8czrpom - Eugenol
pxav

01/05/2009 à 03h21

arrettes noa je vais prendre la grosse tête

--
xbk


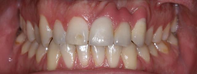
Dent masqu e petite f0pbaj - Eugenol
dudule

05/09/2010 à 19h20

dudule écrivait:
----------------
> Pour dresser le tableau rapidement :
> Patient de 21 ans ayant perdu une 22 lors d'un AVP en 2004. Tentative par un
> stomato de greffe en onlay de corail qui s'est soldée par un échec avec
> infection +++ et fonte osseuse aggravée.
> Aujourd'hui souhaite une solution fiable et "définitive".
> Avez vous des idées ?
>
> Je pensais personnellement faire éventuellement de la chir mucco-gingivale avec
> greffe conjonctif enfoui + prohèse fixe conventionnelle mais je suis ouvert au
> dialogue.
>

Le patient avait super peur d'une greffe et m'a annoncé d'ailleurs lors de notre 2° rendez vous qu'il avait consulté tulasne quelques mois avant mais qu'on lui avait conseillé de venir me voir... N'ayant pas un ego surdimensionné, je lui ai proposé un bridge en conservant 23 vivante et en dévitalisant 21.

Le résultat lui convient et je trouve cette solution finalement beaucoup plus rationnel avec un résultat plus prédictible.

Sourire2 mgrisz - Eugenol
Sourire forc  fjo256 - Eugenol
O2 lgzdf4 - Eugenol
J 30 fliahj - Eugenol
Bridge rz8qxa - Eugenol

3f3boxni50k58rq7e9ce9ddqrxgk - Eugenol
dentiste57

05/09/2010 à 21h52

bravo, moi j'aime beaucoup, c'est plus simple et c'est bien plus prévisible.


Avatar ow44t3 - Eugenol
Chicot

05/09/2010 à 23h13

Dudule, c'est qui ton proto ?

--
;O)


Gonzo k0qhwz - Eugenol
matten

06/09/2010 à 12h00

La qualite est extraordinaire!
Je veux bien ses coordonnees en mp aussi stp : )


dov

07/09/2010 à 10h46

Comment envisages tu le suivi et l'entretien,hygiene brossage..


Dent masqu e petite f0pbaj - Eugenol
dudule

07/09/2010 à 18h56

Les embrasures sont concues pour permettre le passage de brossette 1414 de GUM donc je ne vois pas le prb ?


Gbazylo1 fvg1vg - Eugenol
Aron

08/09/2010 à 16h12

Sage traitement, je fais confiance à Dudule pour sa qualité et sa survie dans le temps.

C'est joli, bravo!


12