Cookie Consent byPrivacyPolicies.comCuretage kyste sur racine palatine de16 - Eugenol

Curetage kyste sur racine palatine de16

lafraise

24/01/2009 à 00h03

Bonjour à tous,
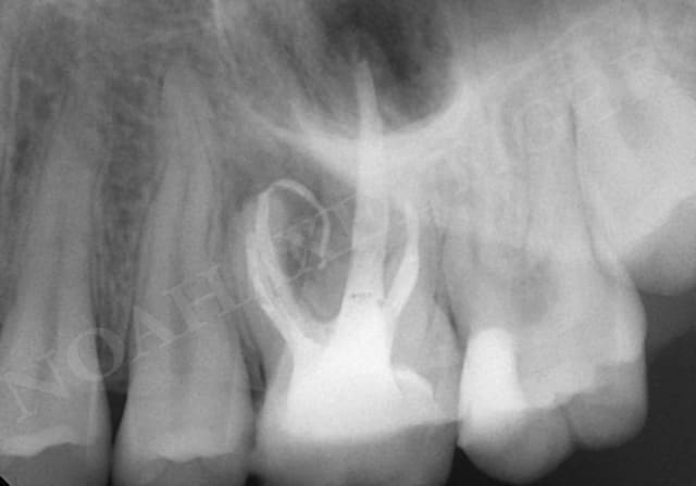
Après plusieurs séances d'hydroxyde de calcium sur la racine palatine d'une 16, la fistule palatine ne se ferme toujours pas...je commence à envisager un curetage, mais lors du décollement en pleine épaisseur, n'y a t'il pas un risque de léser l'artère qui se promène dans le secteur (désolé mais j'ai oublié son nom)ou un autre élément noble?
Le kyste en question doit faire dans les 7mm de diamètre, je pense obturer dans la séance, et si possible sans résection apicale.
Merci de vos réponses


Grueavatar nptrc9 - Eugenol
Le Choixpeau magique

24/01/2009 à 00h13

Arrives-tu à sécher le canal ? Si oui, obtures et regarde déjà ce que ça donne.


Images eb1m5g - Eugenol
tonio

24/01/2009 à 01h45

une curetage apical sur une racine palatine d'une 16???

C'est une blague???


Canin

24/01/2009 à 08h56

pareil que les deux collègues précédents, obtures et surveille mais oublie le curetage des racines palatines des molaires sup.

si récidives c'est extraction de la dent et implant.

--
Canin


Cd7ab0fb be26 42ce a229 3d3cb85fbdc0 wqmnyz - Eugenol
dorado

24/01/2009 à 10h07

évite le curetage (proximité du foramen grand palatin) tu risques gros en cas de pépin: prise de risque démesurée, ce n'est qu'une dent!


lafraise

24/01/2009 à 10h42

Bon bon je vais me raviser, retenter l'obturation et puis on verra. Merci de vos réponses


Images eb1m5g - Eugenol
tonio

24/01/2009 à 14h54

Sage décision!


Img 8465 fqhxid - Eugenol
noahaxeltiger-olivier

24/01/2009 à 18h09

Juste pour préciser que l'abord des racines palatines en vue d'une résection apicale se fait par abord sinusien et non palatin !!

Loin d'être impossible mais délicat.


Img 8465 fqhxid - Eugenol
noahaxeltiger-olivier

27/01/2009 à 17h47

cas clinique avec abord transantral:

Initial moffk3 - Eugenol
Post op dd5zvh - Eugenol
Cicatrisation b2f5yk - Eugenol

l adan

27/01/2009 à 19h39

C'est toujours un plaisir de voir tes réalisations cliniques!!
2 questions :
-comment techniquement réalises tu cette intervention?
-avec quel materiau as tu fait ton obtu à retro?


Img 8465 fqhxid - Eugenol
noahaxeltiger-olivier

27/01/2009 à 22h15

Merci l adan.

Comme il a été mentionné plus haut, la racine palatine des molaires maxillaires pose un problème spécial pendant les procédures de chirurgie endodontique.
Ces racines sont 50% plus près du sinus qu'elles sont du palais (Wallace 1996), montrent une communication apicale avec le sinus dans 20% du temps et sont à moins de 0.5 millimètre du sinus dans 40% du temps (Watzek 1997).
Un palais profond offre de longs murs latéraux verticaux et un accès amélioré palatin. Un palais peu profond présente non seulement des difficultés de visibilité et d'incision mais l'accès palatin est compliqué par la proximité apex/vaisseaux palatins.
Pour ces raisons l'approche transantrale peut être vue comme une option souhaitable. Cette technique a été décrite et avec succès employée par plusieurs auteurs (Altonen 1975, Wallace 1996 - désolé pour la biblio ancienne mais ce sont des articles de références).
Le protocole est le même que lors d’un sinuslift avec pour seule différence la taille plus importante du volet d’accès osseux. L’utilisation du piezo permet une découpe sure et une conservation du volet osseux qui pourra en fin de chirurgie être replacé.
L’élevation de la membrane sinusienne est pratiquée en profondeur jusqu’à atteindre la proéminence de la racine palatine. La suite de l’intervention est pratiquée sous microscope opératoire : la mince couche osseuse recouvrant l’apex palatin est retirée avec un ciseau à os. La racine est réséquée au niveau désiré, l'extrémité de la racine est préparée avec un rétrotip ultrasonique selon les principes de la chirurgie endodontique apicale. L’obturation à rétro se fait avec du MTA.
Une technique appropriée, une manipulation soigneuse du tissu et le recours à des antibiotiques recommandés permettent de réduire au minimum les complications.


Dr - Eugenol
JeRis

27/01/2009 à 22h24

... je suis scotché! ... c'est beau; et c'est bien la première fois que j'entends parler de cette technique.


S8ysxdzhdqgw00w4q6m07a5d47q2 - Eugenol
gai-luron

27/01/2009 à 22h35

oui, superbe.
Merci.


Blason dql7mj - Eugenol
growler

27/01/2009 à 23h14

du grand art chirurgical, merci Olivier de nous faire partager cela.


Canin

27/01/2009 à 23h15

très intéressant

c'est effectivement une indication qu'il faut savoir proposer
--
Canin


Images eb1m5g - Eugenol
tonio

28/01/2009 à 02h08

noahaxeltiger-olivier écrivait:
-------------------------------
> cas clinique avec abord transantral:


je retire ce que j'ai dit plus haut.

noax,
tes connaissances et la réalisation clinique de ce cas sont tout bonnement exceptionnelles! chapeau, vraiment!

Juste une petite petite précision concernant l'obtu à retro: il faut pas hésiter à désobturer un peu plus pour faire une mise en forme conique au niveau de l'apex (cf. J-Y Cochet).
Chapeau pour mettre du MTA proprement dans ce secteur.

Je suppose que tu as pratiquée cette intervention parce que le délabrement de la dent était modéré. Sinon, n'aurais-tu pas privilégié l'extraction et la pose d'un implant?

Bon, lafraise, il te reste à envoyer ta patiente en suéde! ;-)


Smile beach jgh0a1 - Eugenol
ceramik

28/01/2009 à 03h02

Bonjour,
Je travaille au microscope depuis 3 ans, je fais de sinus lift, j'ai fais quelques cas avec MTA, mais wow, une 16 par le sinus, bravo, encore bravo. J'aurais placé un implant, ne croyant pas cette solution possible.
Merci pour l'info.



Pa050055 igyagy - Eugenol
mark

28/01/2009 à 09h45

une indication qu'il faut savoir proposer...

... et une bonne paire de jojonès pour la réaliser! MDR!!!

bravo olivier!


Mosquitogif zt3c7k - Eugenol
mosquito

28/01/2009 à 09h55

Bravo,on se sent tout petit en voyant ça .
et frustré aussi comment proposer cette solution et trouver un correspondant qui sache (ou accepte de) la réaliser .


Calvin and hobbes lr0gvh - Eugenol
larome

28/01/2009 à 10h52

chapeaux bas Monsieur, c'est limpide et propre.
impressionnant !!

--
La Rome


Img 8465 fqhxid - Eugenol
noahaxeltiger-olivier

28/01/2009 à 11h06

Il vous faut arrêter avec vos jolis mots, je vais finir par vous croire !! ;-))

Il est clair que la chirurgie est délicate mais quand on sait faire un sinus lift, et quand on a le matos nécessaire (microscope et éclairage) rien de bien exceptionnel, je vous assure.
Pour faciliter le décollement de la membrane sinusienne j'utilise dans ces cas la technique du ballon avec un simple catether urinaire. Je suture également apicalement la membrane à la paroi latérale sinusienne (2 petits trous dans la paroi osseuse suffisent / même technique que quand on doit réparer une large déchirure de la membrane sinusienne) de facon à éviter que la membrane ne vascille pendant la chirurgie apicale.
Ensuite, miroir endo, microscope et éclairage.
Il est clair aussi qu'il m'est arrivé parfois de ne pouvoir obturer à rétro pour des raisons d'accés. Un compromis certainement à long terme, j'en suis conscient mais l'alternative pour le patient est dans ce cas l'extraction de la molaire.

Amicalement.
Olivier


Fresh watermelon 640x562 udulqz - Eugenol
gulguch

07/02/2009 à 17h36

"j'utilise dans ces cas la technique du ballon avec un simple catether urinaire"

...Noax, tu es vraiment une source d'informations irremplaçable.
Ce catheter, je suppose que c'est une sonde de Foley? Tu as une marque préférée? Ca se gonfle aussi avec une seringue de sérum?
Une remarque au passage: ta technique est plus élégante que celle mentionnée dans l'ouvrage de référence sur la chir endo, qui passe joyeusement à travers la membrane.
A+


Blason dql7mj - Eugenol
growler

07/02/2009 à 18h36

des images de l'utilisation d'une sonde urinaire (source Dr Ajou Huang http://ajouimplant.blogspot.com/ )

http://bp1.blogger.com/_Ni-dKS6hvs4/SIaUlJRFiJI/AAAAAAAACE0/b5NQyRbPh-k/s1600-h/catheterballoon.png

http://bp3.blogger.com/_Ni-dKS6hvs4/SJfIxq9MmgI/AAAAAAAACHc/Ao6tZ6QmYt0/s1600-h/cathterballoon.png

http://ajouimplant.blogspot.com/2008/08/piezotome-balloon-sinus-lift-technique.html

http://ajouimplant.blogspot.com/2008/07/open-sinus-lift-and-sinus-grafting-via.html





Img 8465 fqhxid - Eugenol
noahaxeltiger-olivier

07/02/2009 à 20h51

J'utilise les catheters urinaires de cette marque http://www.vatus.se/assets/ProduktPDFer/16produktblad_URINKATETER_2.1.pdf. Désolé c'est en suèdois mais cela se trouve égalemnt sans pb en France.
Préférez les catheter pédiatriques, ils sont plus petit de diamètres et plus adaptés au ouverture de nos fenêtre latérale lors de la réalisation de sinus lift.

Effectivement c'est avec du sérum phy que le ballonet est gonflé.

Je poste un cas d'implanto où j'ai eu recours à cette technique. Le principe est le même que pour l'apicectomie des molaires maxillaires (en espérant que l'ordre des photos soit respecté):

Insertion catheter ro6onp - Eugenol
 l vation de la membrane apr s gonflement du ballon ovz3sy - Eugenol
Mise en place de l implant vhizmd - Eugenol
Catheter modifi  et d gonfl  oepulv - Eugenol
Ballon gonfl  au s rum phy nhxecf - Eugenol
Comblement repu2y - Eugenol
Volet repositionn  gafd4t - Eugenol

Img 8465 fqhxid - Eugenol
noahaxeltiger-olivier

07/02/2009 à 20h52

toujours le même problème avec les photos ... désolé.... mais les modos sont en week end ... prolongé ;-))


12