Cookie Consent byPrivacyPolicies.comTous les plans de TTT. sont les bienvenus - Eugenol

Tous les plans de TTT. sont les bienvenus

1 p3qrc4 - Eugenol
Bjc.

26/01/2009 à 14h52

Vous pouvez y aller, je n’ai pas encore commencé !

@+ Bjc.

Img 0683 qfh5jk - Eugenol
Img 0686 uugc1p - Eugenol
Img 0681 qwaopa - Eugenol
Img 0685 v9q8vg - Eugenol

Kon nx3ojp - Eugenol
TuBerculosis

26/01/2009 à 19h18

Il veut quoi le patient ?
Pourquoi il vient consulter ?


1 p3qrc4 - Eugenol
Bjc.

26/01/2009 à 21h17

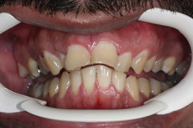
il ne peut plus croquer (mobilité des dents Sup.)
et surtout:
parcequ'il fait du bruit la nuit avec ses dents et que sa femme l'envoie dormir dans le salon

@+ Bjc.


Image001 e0kg9q - Eugenol
clemsdent

27/01/2009 à 00h13

je lui fais raser sa moustache
:-)
!!!


Image001 e0kg9q - Eugenol
clemsdent

27/01/2009 à 00h17

ben voyons je rigole!!
mais je fais quand même remaquer, que souvent les hommes ont des moustaches pour cacher leurs dents.

Je pari que après ton traitement ortho-occluso-esthétique il s'est rasé ladite moustache pour profiter pleinement de es dents.

a+


1 p3qrc4 - Eugenol
Bjc.

27/01/2009 à 10h51

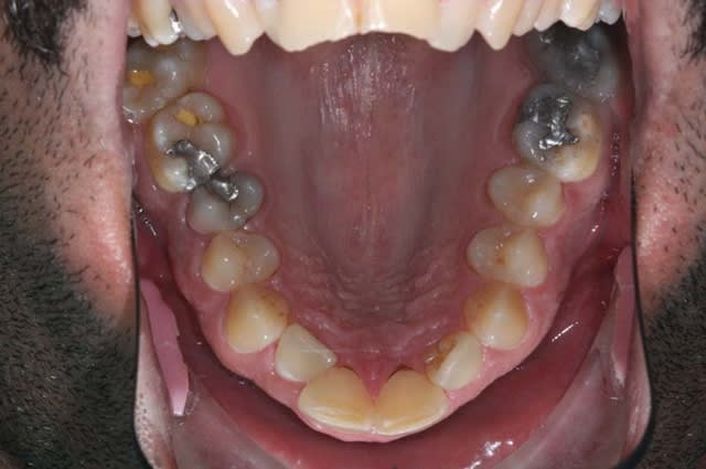
il en est souvent de m dans les cas de réalisations prothétiques antérieures

@+ Bjc.


bis.cuite

03/02/2009 à 00h18

C’est marrant ça: que ça soit plus le bruit de grincement qui le gène...

Il grince surtout sur les incisives centrales et latérales,
Pourtant les bruxomans ont généralement un parodonte qui s'adapté à cette pathologie, donc ce n'est pas ça qui devrait causer des mobilités...
C’est un fumeur? Il a une mobilité augmentée des incisives mais aucun signe d'inflammation. Peu de plaque et de tartre, peut être une parodontite agressive?
Ça serait bien d'avoir le bilan rétro alvéolaire
Quant au problème d'occlusion, je n’y toucherais pas.
On ne peut pas vraiment discuter de plan de traitement sans avoir des RA.
En tout cas il faudrait vérifier et corriger les restaurations existantes
Prendre en charge le bruxisme (stress, habitudes nocives, médicaments (antidépresseurs tricycliques, dopaminergiques)?) -prise de conscience, alternative ttt médicamenteux en accord avc médecin traitant, sinon gouttières.
Voilà ce que je ferais.
(N’hésitez pas à me critiquer, ça ne peut être que bénéfique pour mon CSCT!)


1 p3qrc4 - Eugenol
Bjc.

08/02/2009 à 12h43

"C’est marrant ça: que ça soit plus le bruit de grincement qui le gène..."

lui, ça ne le gène pas, sa femme par contre...