Cookie Consent byPrivacyPolicies.comusures incisives maxillaires - Eugenol

usures incisives maxillaires

Images eb1m5g - Eugenol
tonio

29/01/2009 à 15h48

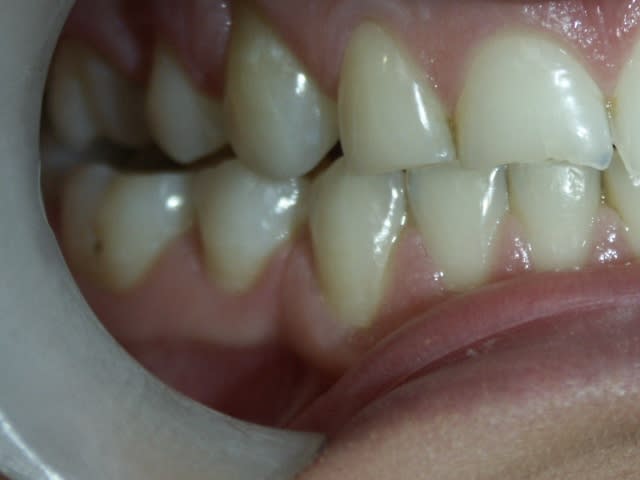
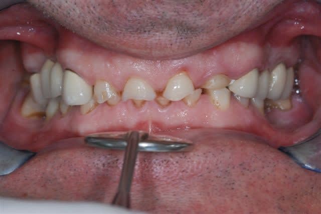
Ci-joint les photos d'un patiente qui s'est présentée pour refaire les angles cassés sur 11 et 12.
Les dents sont vitales, pas d'antécédents de choc ou de tics et manies pouvant expliquer le phénomène.
Elle a consulté un ortho qui lui a dit que ce n'était pas de son ressort et je n'en suis pas si certain.
Les molaires sont en partie en inocclusion, en particulier les 15-16/45/46, et légèrement côté G. Pas de douleur à l'ATM.
qu'en pensez-vous?
Que feriez-vous?

Pict0360 dyh0oi - Eugenol
Sans titre ycpbau - Eugenol
Pict0359 xzhpvp - Eugenol

Grueavatar nptrc9 - Eugenol
Le Choixpeau magique

29/01/2009 à 16h50

On verrait pourtant bien le bic mordillé en travers toute la journée !
Tu confirmes que les incisives mandibulaires sont normales (sur la pano, on croit deviner la concavité regardant vers le haut qui répond à celle du haut) ?


Images eb1m5g - Eugenol
tonio

29/01/2009 à 19h14

Le Choixpeau magique écrivait:
------------------------------
> On verrait pourtant bien le bic mordillé en travers toute la journée

non, rien de tout ça

> Tu confirmes que les incisives mandibulaires sont normales (sur la pano, on
> croit deviner la concavité regardant vers le haut qui répond à celle du haut) ?

pas à mon souvenir.

Je pencherais plus sur un problème en rapport avec l'inocclusion des secteurs postérieurs. La propulsion m'a semblé normale.

Elle a bénéficié d'un traitement ODF pendant l'adolescence pour tenter de corriger une tendance à la classe III squelettique. Il y a un terrain familial à la Cl III (encore plus marquée chez le frêre). Les dénudations radiculaires au maxillaire en sont certainement une séquelle (ainsi qu'un brossage intempestif) du traitement.
Sur les photos, on remarque ce qui ressemble à une asymétrie de la branche horizontale de la mandibule, qui se traduit par l'articulé inversé côté droit.

Que faire?

reprendre le traitement ODF? coller des onlays sur les dents inocclusion et:ou rajouter du composite pour retrouver un calage postérieur?

Avez-vous une idée précise de l'étiologie de ces usures?


PopHip

29/01/2009 à 19h35

tonio écrivait:
---------------

> qu'en pensez-vous?

(j'en pense que ta pano est vraiment belle; quel matos ?)


belette

30/01/2009 à 11h20

Moi j'aurais envie de retablir une protection canine. Les latéralités ont l'air de se faire sur les incisives, normal que ça casse. Elle a dû faire une petite chute de ski quand même,ou prendre un coup de boule sur la mandibule qui a provoqué une fissure et puis le morceau est parti plus tard.

Le problème avec des pano aussi nettes,c'est qu'on voit des caries partout..

Trop nette lpqium - Eugenol

1 p3qrc4 - Eugenol
Bjc.

30/01/2009 à 12h10

on voit aussi qu'il manque les P.M.


Images eb1m5g - Eugenol
tonio

30/01/2009 à 13h32

Bjc. écrivait:
--------------
> on voit aussi qu'il manque les P.M.
>

et?
peux-tu me donner ton avis d'ortho sur ce cas?
fau-il reprendre un traitement ODF?


Images eb1m5g - Eugenol
tonio

30/01/2009 à 13h34

belette écrivait:
-----------------

> Le problème avec des pano aussi nettes,c'est qu'on voit des caries partout..

il y a des récidives carieuses sur tous les amalgames. La patiente bosse en boulangerie et m'a confessé être une bouche sucrée... ;-)


Images eb1m5g - Eugenol
tonio

30/01/2009 à 13h34

PopHip écrivait:
----------------

> (j'en pense que ta pano est vraiment belle; quel matos ?)

planmeca pro one


Grueavatar nptrc9 - Eugenol
Le Choixpeau magique

30/01/2009 à 16h46

belette écrivait:
-----------------
> Le problème avec des pano aussi nettes,c'est qu'on voit des caries partout..

Effectivement ce type de traitement a tendance à faire des artefacts. L'avantage du logiciel planmeca, c'est que le traitement n'est en aucun cas obligatoire.


1 p3qrc4 - Eugenol
Bjc.

30/01/2009 à 19h26

cher tonio

ce cas relève de l'occlusodontie, l'ortho ne sera qu'un moyen
inutile de te dire que c'est un cas complexe
je connais qq. un dans le sud ouest qui pourrait te conseiller, si c'est dans ta région

@+ Bjc.


Blason dql7mj - Eugenol
growler

30/01/2009 à 19h38

et là, je fais quoi?

2009 01 16 013 rfzsf2 - Eugenol
2009 01 16 014 jxho95 - Eugenol
2009 01 16 015 n0pggs - Eugenol

Ylfwcw979cz1jnx9gfqeaxndiuzk - Eugenol
Algi

30/01/2009 à 19h58

cas n°1: du ressort de l'occluso avec reconstruction/surelevation des posterieures en inoclusion ou bien de l'ortho si y'a moyen de faire venir en occlusion les molaires (à part le fonctionnel ou des vis+elastiques à l'arcade opposée je vois pas),ortho aussi pour remettre la langue en bonne place si elle dysfontionne mais occluso aussi pour ladite langue (on passerait ici par levée des tensions musculaires).

ici il serait interressant de voir comment, éventuellement, les premolaires absentes ne régulent pas les fonctions masticatoires...... t'as des filtres?

cas n°2: reconstruire en provisoire avec dv surélevée ++, provisoires costauds afin de tester sur la durée.
ici aussi une bonne occlusion bien equilibrée s'impose avec en plus du boulot sur le pourquoi des serrements ayant amené à ça et trouver un moyen de lever la tension des masseters.
--
"On a toujours le choix! Mais entre quoi et quoi?
Vas-y boulégue et l'avenir te le dira!"


1 p3qrc4 - Eugenol
Bjc.

30/01/2009 à 20h35

cher Tonio

ces cas sont à chaque fois différents, et sont tous traités avec des compromis

voici un exemple qui peut te donner des idées
lui, je pouvais le mettre en bout à bout en R.C.

@+ Bjc.

Img 3 c1nsps - Eugenol
Img 2 eems3f - Eugenol
Img 1 fkctcu - Eugenol

3f3boxni50k58rq7e9ce9ddqrxgk - Eugenol
dentiste57

30/01/2009 à 21h13

growler écrivait:
-----------------
> et là, je fais quoi?

on commence par virer les sagesses si elles sont encore là.
j'ai souvent remarqué que dans les cas extrèmes comme celui ci , seules les postérieurs et surtout les sagesses étaient nickel chrome mais certainement à l'origine du bruxisme.

et aprés le truc habituel; relever la DV en provisoires, gouttières et tout le toutim.


3f3boxni50k58rq7e9ce9ddqrxgk - Eugenol
dentiste57

30/01/2009 à 22h00

dentiste57 écrivait:
--------------------
> growler écrivait:
> -----------------
> > et là, je fais quoi?
>
> on commence par virer les sagesses si elles sont encore là.
> j'ai souvent remarqué que dans les cas extrêmes comme celui ci , seules les
> postérieurs et surtout les sagesses étaient nickel-chrome mais certainement à
> l'origine du bruxisme.
>
> et aprés le truc habituel; relever la DV en provisoires, gouttières et tout le
> toutim.


Squash u44zd8 - Eugenol
steph

31/01/2009 à 01h04

dentiste57 écrivait:
--------------------
les sagesses étaient nickel chrome mais certainement à
> l'origine du bruxisme.


Les dents sont à l'origine de bruxisme?????????????
Ca veut dire quoi?


200106 10150128247663588 709988587 6466236 5598391 n d7mksb - Eugenol
hallboy

31/01/2009 à 01h44

Il bruxe a cause des agesses, mais ne bruxe pas sur les sagesses????

pour ce que j'en sais, plus personne n'envisage que le bruxisme soit soumis a l'hypothese de l'epine iritative ( je dis bien le bruxisme. En l'occurence du grinding; pas du clenching )


1 p3qrc4 - Eugenol
Bjc.

31/01/2009 à 12h56

tu peux expliquer la différence entre grinding et clenching

merci,


bis.cuite

03/02/2009 à 01h05

concernant le cas numero 2:
je m'occupe actuellement d'un patient avec des usures tres semblables dans le secteur anterieur (mais avec en plus des foyers infectieux partout et edentements posterieurs, donc je me pose pas de questions :ce sera PAC)
mais concernant augmenter la DV:
generalement ces usures ne s'accompagnent pas de perte de DV car il y a une opposition osseuse au niveau de l'alveole compensant l'usure. Donc effectivement, il y a une diminution de l'espace prothetique mais pas tellement une perte de DV.
je veux bien savoir comment on fait dans ces cas?


Blason dql7mj - Eugenol
growler

03/02/2009 à 03h45

on peut peut-être composer entre augmentation mesurée de la DV et de discrètes et ponctuelles élongations coronaires?


Smile beach jgh0a1 - Eugenol
ceramik

03/02/2009 à 07h01

bis.cuite écrivait:
-------------------
>> mais concernant augmenter la DV:
> generalement ces usures ne s'accompagnent pas de perte de DV car il y a une
> opposition osseuse au niveau de l'alveole compensant l'usure. Donc
> effectivement, il y a une diminution de l'espace prothetique mais pas tellement
> une perte de DV.
> je veux bien savoir comment on fait dans ces cas?
----------------------------------------------------

Je ne crois pas que la DV reste stable avec usure dentaire...c'est un vieux paradigm...la théorie de l'apposition oseuse ne tient pas la route...Il ya toujours perte de DV avec l'usure.


200106 10150128247663588 709988587 6466236 5598391 n d7mksb - Eugenol
hallboy

03/02/2009 à 09h37

Bjc. écrivait:
--------------
> tu peux expliquer la différence entre grinding et clenching
>
> merci,

serrer /grincer.