Cookie Consent byPrivacyPolicies.comParo super limite : ext ou pas ??? - Eugenol

Paro super limite : ext ou pas ???

Icon poker h4nm2d - Eugenol
jeff

29/01/2009 à 20h06

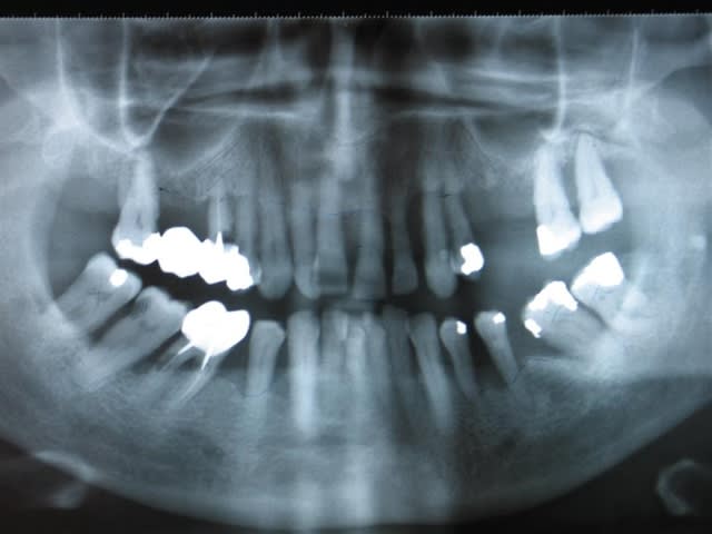
bonjour a tous,

voici la description du cas.

Patiente de 62 ans, adressé par un confrère qui ne peut plus faire grand chose pour elle, et me l'envoi pour implant.

C'est une situation que je trouve bordeline.

La patiente est prête a faire le sacrifice ultime ( on a pas encore parlé finance.. ), mais c'est toujours mieux d'avoir ses propres dents ( sans parler de la régulation tonique ! ).

En bas, je pense ext les molaires, faire paro, odf light et implants.

En haut, j'hésite : donc, soit :

1 : paro style charon, bridge 17-16-15-14, ext sans doute 27 28, implant + sinus 25 26 27, odf pour corriger les migrations paro.

( malgré la perte osseuse et les poches profonde, il y a peu de mobilité, a part les molaires. évidement, moult spiro, amibe et autres bestioles )

2 : ext le haut, complet provisoire, puis implant + bridge immédiat ( du style du dernier article dans l'ID ).

Faite moi part de vos réflexions avisées...

Ext ou pas dyyavo - Eugenol
Transit 068  medium  o15it3 - Eugenol

Wolford hm5yx3 - Eugenol
Doc lyonnaise

29/01/2009 à 20h11

j'opte pour extractions multiples...et 2 complets...sérieux! Même si je préfère de loin garder les dents....


Grueavatar nptrc9 - Eugenol
Le Choixpeau magique

29/01/2009 à 20h37

+1 pour le ménage intégral.


Kon nx3ojp - Eugenol
TuBerculosis

29/01/2009 à 21h11

Vous semblez assez violent...
Vous ne garderiez même pas de 43 à 33??? au moin!


Grueavatar nptrc9 - Eugenol
Le Choixpeau magique

29/01/2009 à 21h49

En overdenture alors !


Wolford hm5yx3 - Eugenol
Doc lyonnaise

29/01/2009 à 23h48

Le Choixpeau magique écrivait:
------------------------------
> En overdenture alors !

+1 :-)


Kon nx3ojp - Eugenol
TuBerculosis

30/01/2009 à 08h25

vous avez pas fini tout les deux de dire amen à tout ce que dit l'autre ?


Grueavatar nptrc9 - Eugenol
Le Choixpeau magique

30/01/2009 à 16h48

TuBerculosis écrivait:
----------------------
> vous avez pas fini tout les deux de dire amen à tout ce que dit l'autre ?

+1


Grueavatar nptrc9 - Eugenol
Le Choixpeau magique

30/01/2009 à 16h49

Plus sérieusement, je n'ai ni rétroalvéolaires, ni mesures de la mobilité de ces dents, mais avec certaines alvéolyses atteignant les 2/3 des dents, c'est tout de même mal barré.


Smile beach jgh0a1 - Eugenol
ceramik

31/01/2009 à 03h58

Extaction haut et bas.
Impossible d'assainir la paro et faire des prothèeses fixes avec des dents comme cela...

Exo, greffes, implants (haut et bas)

J'ai fais des cas comme cela avec moins de perte osseuse !
Conserver des dents dans cet état, c'est bonjour la perte osseuse supervisée et plus complexe pour les implants...

Il y a un coup biologique (perte osseuse) à conserver des dents comme cela...L'extraction aurait du être fait il y a 3-4 ans !


Blason dql7mj - Eugenol
growler

31/01/2009 à 10h26

pareil


Icon poker h4nm2d - Eugenol
jeff

31/01/2009 à 16h10

Et bien, c'est tres polarisé au niveau des réponses.

J'avais mis le sujet exprès en cas clinique, et pas en implanto , ni en paro, car dans ce cas, le type d'exercice donne le plan de traitement.

Un petit commentaire sur le cas présenté sur le site de charon ?

http://www.paroconcept.com/praticiens/reponse-clinique.php

Je suppose que tout le monde extrait aussi dans ce cas ?

Bon, ext en haut, c'est sur.

Il n'y a déja plus beaucoup de hauteur osseuse, si ext et complet prov, on part sur un bridge type all-on 6, je pense.

Sinon, il faudrait surement greffer pour avoir un bridge céram sans fausse gencive.



bis.cuite

03/02/2009 à 00h51

Apres avoir stabilisé la maladie parodontale : donc valable si motivation +++ et +


Au maxillaire
Je garderais les dents existantes (tout en prévenant que ce n’est peut être pas une solution définitive) en proposant une PAP conventionnelle pour tenir compte du facteur psychologique et puis cela n’empêche pas de passer à la PAC ni à la solution implantaire plus tard.
Et je proposerais une PAP conventionnelle sur 4 dents : elle serait évolutive si les 27 et 28 partaient
Pour le secteur antérieur : comme vous dites, une odf light (sur une de mes patientes nous avons réussi à sauver et ingresser une incisive en stade paro subterminal)
Si le sourire ne découvre pas trop, une fois toutes les OC faites ça pourrait être convenable…

Ou une PAP composite avec des attachements extra coronaires et couronner tout les dents de 15 à 24 (pas très réaliste : vu le pronostic réservé des dents restantes il faudrait investir beaucoup peut être pour rien…)

A la mandibule :
Abstention dans les secteur 3 : c’est en équilibre, il n’y aura pas d’egression, la fonction est assurée, la région n’est pas concernée par l’esthétique
Secteur 4 : hémisection 46 (je suis pas sure) puis bridge, sinon bridge conventionnel

Voilà, après c’est à voir avec la réalité des facteurs de réussite de ttt paro et à confronter avec les attentes de la patiente
Vous me direz ce que vous en pensez ?


Smile beach jgh0a1 - Eugenol
ceramik

03/02/2009 à 04h26

1- Le cas clinique du Dr Charon...c'est un cas, avec résultat esthétique douteux. Faut voir ce que la patiente en pense...pour moi c'est un compromis...

2-Hémisection de la 46...je trouve qu'en 2009, ce genre de traitement n'est plus indiqué, je peux me trompé...

3- Aller hop, une prothèse partielle, on verra dans 2-3 ans...plus d'os, pas beaucoup de chance en implants...


Logo vuaztn - Eugenol
mac

03/02/2009 à 08h12

jeff écrivait:
--------------
> Et bien, c'est tres polarisé au niveau des réponses.
>
> J'avais mis le sujet exprès en cas clinique, et pas en implanto , ni en paro,
> car dans ce cas, le type d'exercice donne le plan de traitement.
>
> Un petit commentaire sur le cas présenté sur le site de charon ?
>


elle peut manger des pommes et des sandwichs?


Image h0nqdy - Eugenol
yann le pautrermat

06/02/2009 à 10h40

vaut peut etre mieux tout extraire car vu l'investissemnt la patiente ell sera peut etre pas super ravis de devoir recommencer dans 2 ans, surtout qd tu parles de ttt ortho+ bridge+ implant....etc.
autant faire des choses nickel tout de suite plutôt que de vouloir conserver à tout prix juste pour ta satisfaction perso.