Cookie Consent byPrivacyPolicies.comEasy Implant ? qu'en pensez vous ? - Eugenol

Easy Implant ? qu'en pensez vous ?

3f3boxni50k58rq7e9ce9ddqrxgk - Eugenol
dentiste57

19/02/2009 à 14h13

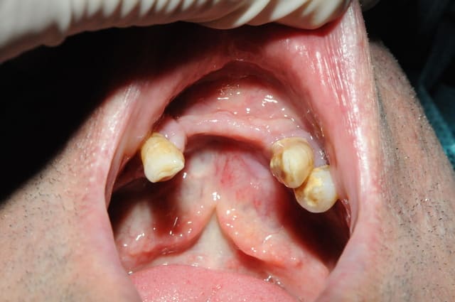
les photos...


pourquoi 4 implants et comment vont fonctionner les cavaliers ?

4 parce que le patient ne peut pas en mettre plus pour l'instant et que cela me permettra de passer plus tard en fixe.

quant à la position des cavaliers, c'est vrai que trois c'est trop, deux latéraux c'est pas super , et, un seul central c'est presque du sur traitement pour en arriver à ça.

mais encore une fois le but est de passer dans les deux ans à du fixe dés que ses finances le lui permettront.

que me conseils tu ? je suis toujours ouvert aux idées des autres.

Dsc 1812 mdmcaz - Eugenol
Dsc 1810 ujwiki - Eugenol
Dsc 1814 dg1nck - Eugenol

3f3boxni50k58rq7e9ce9ddqrxgk - Eugenol
dentiste57

19/02/2009 à 14h22

bon , pour l'ordre des photos , c'est toujours pas ça.

MODOOOOO !


Logo vuaztn - Eugenol
mac

19/02/2009 à 14h29

dentiste57 écrivait:
--------------------
> les photos...
>
>
> pourquoi 4 implants et comment vont fonctionner les cavaliers ?
>
> 4 parce que le patient ne peut pas en mettre plus pour l'instant et que cela me
> permettra de passer plus tard en fixe.
>
>


sur 4 tu peux faire du fixe.


Humator t9r5wy - Eugenol
humator

19/02/2009 à 15h36

quelques questions D57:
quelles taille pour les 4?
quelle type de barre prévois tu: simple ou fraisée?
tu dis vouloir en ajouter 2. Ou les prévois tu?

--
N.Hum


2013 03 05 16.04 - Eugenol
styves

19/02/2009 à 18h42

a l'attention de pluton, poses tu du legacy ou du screwplant et est ce que tu utilises leurs piliers sur des zimmer? j'ai pour ma part essayé le legacy avec pilier zimmer ,c'etait parfait au niveau compatibilité mais j'ai arreté car j'ai eu un gros problème avec le prélèvement de ma carte de crédit ,j'avais selectionné une offre d'intro avec 3 implants gratuits il n'y avait que le transport à payer en fait il m'ont débité de 665€,j'ai pu etre recredité 3 mois plus tard mais je suis échaudé d'autant qu'en decembre il m'ont à nouveau réclamé 665€ sinon


3f3boxni50k58rq7e9ce9ddqrxgk - Eugenol
dentiste57

19/02/2009 à 18h53

mac écrivait:
-------------

> sur 4 tu peux faire du fixe.

je suis bien d'accord, mais pour l'instant le patient n'a pas les moyens de passer en fixe.

je vais certainement faire une barre simple pour question de coût, bien que la fraisée avec une prothèse type stellite me plairait d'avantage.


Humator t9r5wy - Eugenol
humator

19/02/2009 à 19h15

la differance entre un transfixé et une barre sur 4 n'est pourtant pas très importante, avec une maintenance tellement + simple!
qu'en penses tu?

--
N.Hum


Photo pluton1b h9n4ea - Eugenol
pluton

19/02/2009 à 22h48

styves écrivait:
----------------
> a l'attention de pluton, poses tu du legacy ou du screwplant et est ce que tu
> utilises leurs piliers sur des zimmer? j'ai pour ma part essayé le legacy avec
> pilier zimmer ,c'etait parfait au niveau compatibilité mais j'ai arreté car j'ai
> eu un gros problème avec le prélèvement de ma carte de crédit ,j'avais
> selectionné une offre d'intro avec 3 implants gratuits il n'y avait que le
> transport à payer en fait il m'ont débité de 665€,j'ai pu etre recredité 3 mois
> plus tard mais je suis échaudé d'autant qu'en decembre il m'ont à nouveau
> réclamé 665€ sinon

je pense que t'as pas eu de bol...je n'ai jamais eu de pbs avec eux....
actuellement je pose du screwplant avec le porte implant/transfert/pilier...super implant...même si j'attends avec impatience le legacy plus avec porte implant/transfert pilier comme pour le screwplant et avec comme autre avantage d'avoir des implants de 3,2mm à 5,7mm par augmentation de diamètre de 0,5mm (donc 3,2; 3,7; 4,2; 4,7; 5,2; et 5,7) son autre avantage est que c'est un implant vraiment crestal avec platform switching et avec un filetage qui augmente de volume pour améliorer la stabilité primaire...
sinon pour ton pb...je pense que t'as intérêt à les appeler...


3f3boxni50k58rq7e9ce9ddqrxgk - Eugenol
dentiste57

20/02/2009 à 04h30

pour une prothèse transvissée sur 6 implants avec une barre noyée dedans, le prothésiste me demande environ 800 à 900 euros (uniquement la barre en métal 1/2 précieux).
(chez nobel, le prix est de 1500 pour une barre en titane usinée, et la qualité d'adaptation est sensiblement inférieur.)
à cela il faut ajouter environ 300 de cavalier.
mais je ne suis pas obligé de faire trois segments de barre dés le début.
un seul segment antérieur est largement suffisant, ensuite, on passera au fixe.


Flaschcode adresse site cabinet  bsizag - Eugenol
dentissimo

21/02/2009 à 21h10

dentiste57 écrivait:
--------------------
> pour une prothèse transvissée sur 6 implants avec une barre noyée dedans, le
> prothésiste me demande environ 800 à 900 euros (uniquement la barre en métal 1/2
> précieux).
> (chez nobel, le prix est de 1500 pour une barre en titane usinée, et la qualité
> d'adaptation est sensiblement inférieur.)
> à cela il faut ajouter environ 300 de cavalier.
> mais je ne suis pas obligé de faire trois segments de barre dés le début.
> un seul segment antérieur est largement suffisant, ensuite, on passera au fixe.

tout s disute OK.. mais je ne pense pas que tu puisse affirmer que la barre usinée de chez Nobel est moins bonne en adaptation qu'une barrecoulée au labo... cela n'a pas de sens...indépendament de Nobel ou tartempion
si ton empreinte est juste(clé en plâtre) la barre usinée est d'une passivité totale...!cela en fait maintenant un certains nombres que je fais..
Au labo tu peux en obtenir une barre aussi bonne ou moins bonnes... elles sont plus opérateur dépendantes... mais pas meilleure...


12