Cookie Consent byPrivacyPolicies.comque faire ? - Eugenol

que faire ?

hmg

03/02/2009 à 13h11

salut a tous
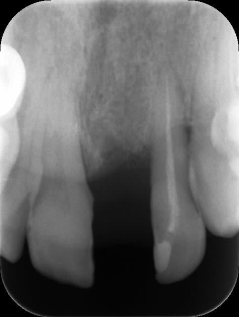
est ce qu'un implant peut trouver sa place ici ? alors quel serait l'avenir de la 22
sinon est ce qu'un bridge est preferable la solution implantaire et quels piliers choisir ?

Radio nmumpx - Eugenol

Gonzo k0qhwz - Eugenol
matten

03/02/2009 à 14h39

A priori on peut toujours poser un implant dans ton cas.
Le probleme viendra plus de la recession tissulaire qui entrainera la fabrication d'une ccm "longue" ce qui peut etre disgracieux si le patient a une ligne du sourire haut placee.

Idem pour les diastemes interproximaux.

Ne fais pas de bridge car c'est enterrer les collaterales...


Blason dql7mj - Eugenol
growler

03/02/2009 à 15h45

qu'as-tu en volume osseux?


hmg

03/02/2009 à 16h46

ca veut dire quoi enterrer les collaterales ?


Image h0nqdy - Eugenol
yann le pautrermat

04/02/2009 à 12h01

avant tout il faut déjà voir le volume osseux que tu as (scann) si tout est ok la pose d'1 implant est tout à fait jouable, aprés en effet tu vas avoir un soucis de hauteur de couronne.
2 solutions : soit lors de la pose en profiter pour réaliser une greffe ggvale, mais qui ne suffira peut être pas
ou alors lors de la réalisation de la couronne tu fait une céram ggvale ( rose ) pour aligner les collet, le résultat est pas mal.
pour la latérale il faut + d'info?


Gbazylo1 fvg1vg - Eugenol
Aron

09/02/2009 à 12h55

Bonjour.

Il manque pas mal de données:

age? sexe? métier? sourire gingival ou non (combien de mm de gencive visible)? classe d'occlusion? bruxisme? motivé(e) et prévenu(e) pour de la muco-gingivale? et l'os disponible, t'as pas un scan?

En gros est-ce que l'enjeu esthétique gingival va être compliqué ou simple? Et dans le cas où ce serait compliqué, faire ta muco gingivale avant ou pendant, et qu'il soit prévenu des possibles remaniements gingivaux ultérieurs.