Cookie Consent byPrivacyPolicies.comVive la republique tchéque!!!!!!! - Eugenol

Vive la republique tchéque!!!!!!!

petit vice

12/02/2009 à 23h46

Bonjour à tous,
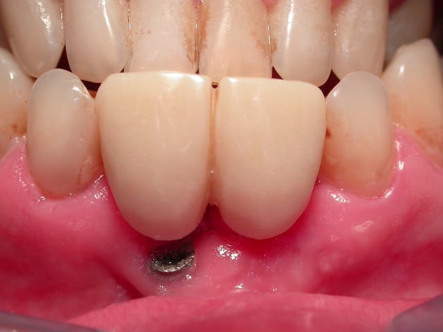
J'ai besoin d'un coup de main pour reconnaitre un implant qui a été posé sur un de mes patients (originaire de république tchèque).

Pour la partie "prothétique" bizarre je vous laisse commenté les photos.

Donc si quelqu'un reconnait le type d'implant et la marque à l'aide de la radio je l'en remercie.

Dscn0692 bgmzqk - Eugenol
Dscn0695 tvtbwa - Eugenol
Rvg 11 fbidwl - Eugenol

floydal

13/02/2009 à 00h41

Regarde a cette adresse:
http://www.radix.ru/files/documentation/catalogue.pdf
j ai eu un patient appareillé par ce type d implants.


3f3boxni50k58rq7e9ce9ddqrxgk - Eugenol
dentiste57

18/02/2009 à 22h02

marrant ton truc, c'est une sorte de prothèse aiguille sur implant.


 mg 0207 xwjxcl - Eugenol
Tillc

15/03/2009 à 00h10

Le mec a voulut coter un SC33 sur un implant je pense .
Il a du sceller la tige directement dans le fut de l'implant.
Je me demande si ca passerais devant un DC cette cotation ...


vince34

23/04/2009 à 12h45

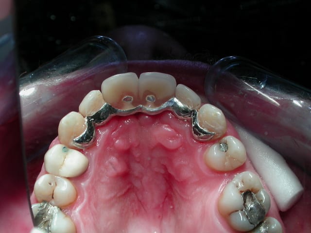
Comme je n'ai pas pu trouver la marque de l'implant, j'ai du me débrouiller autrement pour dépanner ce patient( à la cmu).

Voilà quelques photos de l'étape provisoire et du definitif avec un ancrage dans l'impant et des ailettes palatines.

Un grand merci à mon prothésiste.

Dscn0936 rtz9cb - Eugenol
Dscn0906 ayc1m2 - Eugenol
Dscn0925 td5iyn - Eugenol
Dscn0928 cjnijv - Eugenol
Dscn0844 fbkw9p - Eugenol
Dscn0857 zvyl4z - Eugenol
Dscn0847 qbjwwc - Eugenol
Dscn0855 rq1klx - Eugenol
Dscn0930 i2ajme - Eugenol
Dscn0935 kkfpie - Eugenol
Rvg final ta4z6v - Eugenol

Canin

23/04/2009 à 23h59


tu as bien du courage (ou un peu d'inconscience) pour te lancer dans un traitement aussi bizarre.

je dis ça car pour moi ça aurait été retour à la case départ.

--
Canin


vince34

24/04/2009 à 13h15

Son dentiste étant en république tchèque et qu'il n'a pas l'intention de retourner dans son pays, j'avais quel choix.

Étant en plus à la CMU je ne pouvais pas lui proposer de traitement idéal (Dépose de l'implant + greffe + 2 implants+ 2CCM).

Et puis ce patient présente un problème cardiaque qui contre indique la dépose de l'implant.

Donc je pense avoir réaliser un traitement correct avec ce que j'avais de disponible comme matière et le patient est satisfait. N'est ce pas l'essentiel!!!!


croc1765

24/04/2009 à 15h17

felicitation pour ta mentalité


DELAF

24/04/2009 à 15h28

vince34 écrivait:
-----------------
> Son dentiste étant en république tchèque et qu'il n'a pas l'intention de
> retourner dans son pays, j'avais quel choix.
>
> Étant en plus à la CMU je ne pouvais pas lui proposer de traitement idéal
> (Dépose de l'implant + greffe + 2 implants+ 2CCM).
>
> Et puis ce patient présente un problème cardiaque qui contre indique la dépose
> de l'implant.
>
> Donc je pense avoir réaliser un traitement correct avec ce que j'avais de
> disponible comme matière et le patient est satisfait. N'est ce pas
> l'essentiel!!!!

JE N AURAI QU UN MOT BRAVO