Cookie Consent byPrivacyPolicies.comça c'est... - Eugenol

ça c'est...

Wolford hm5yx3 - Eugenol
Doc lyonnaise

15/02/2009 à 20h36

ma bouche à moi même :-)
et j'en suis là, parce que un jour un de vous m'a ratée.. eh oui, encore et toujours une récidive d'un traitement mal fini...
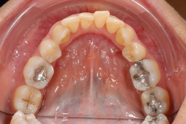
j'ai 4 PM en moins + 4 M3 en moins...bouhouhou
merci à celui qui se reconnaîtra peut-être..je te déteste!

bon c'est pas tout ça, mais cette affaire ça fait mal! ça blesse de partout...ça fait zozoter...
et je vous raconte pas l'état du fiancé ;-)))


00184905 1 kwb9ys - Eugenol
00184915 ffzozu - Eugenol

EloD

15/02/2009 à 20h56

Beh les dents, elles bougent toute la vie, c'est une adapatation physiologique et fonctionnelle. Ou alors, il faut une contention à vie avec d'autres problèmes. Ton encombrement n'avait rien de catastrophique. Tu n'étais pas aussi obligée de ré-intervenir. Ceci dit, à voir la récidive, je me demande ce que cela aurait été si tu n'avais pas eu d'extractions... essai de réfléchir un peu...et de ne pas jeter la pierre à toute une profession.


Wolford hm5yx3 - Eugenol
Doc lyonnaise

15/02/2009 à 20h59



t'as pas vu le haut....la cata ;-)...t'as pas vu l'occlusion aussi....la merde! ;-)
mais j'ai pas les photos encore....
quels sont les problèmes d'une contention à vie?


Marque a3 orange fyvhyq - Eugenol
Marc Apap

15/02/2009 à 23h01

Doc lyonnaise écrivait:
-----------------------

> quels sont les problèmes d'une contention à vie?

Le célibat ?


Smile beach jgh0a1 - Eugenol
Ceramik

15/02/2009 à 23h07

Contention à vie...ce concept manque de vision.
c'est parce que l'ortho n'est pas en équilibre myo-fonctionnel...L'ortho bouge les dents au pif, et se croise les doigts...

Exo des pré-molaires crée presque toujours une perte de stabilité car la langue n'a plus d'espace, les voies respiratoires sont mal développées, l'occlusion est moche,
lea ATM sont instables et bonjours les cas de migaines et craquements....

Il faut développer les arcades dès que possible, créer une bonne verticale, et avoir un équilible musculo-dentaire-articulaire. Bref l'esthétique de l'ortho n'est pas la seule chose.


Wolford hm5yx3 - Eugenol
Doc lyonnaise

15/02/2009 à 23h14

Ceramik écrivait:
-----------------

> c'est parce que l'ortho n'est pas en équilibre myo-fonctionnel...L'ortho bouge
> les dents au pif, et se croise les doigts...


ça alors c'est drôlement bien dit :-)


Squash u44zd8 - Eugenol
steph

16/02/2009 à 00h17

Vu ton avatar je t'aurais cru plus zen.
Mais t'es belle quand même, brackets ou pas.


Image odged8 - Eugenol
ploc

16/02/2009 à 02h29

tiens un mister Big recyclé?


Wolford hm5yx3 - Eugenol
Doc lyonnaise

16/02/2009 à 08h18

steph écrivait:
---------------
> Vu ton avatar je t'aurais cru plus zen.
> Mais t'es belle quand même, brackets ou pas.

;-)


Wolford hm5yx3 - Eugenol
Doc lyonnaise

16/02/2009 à 08h19

ploc écrivait:
--------------
> tiens un mister Big recyclé?

ah oué, un faux mister Big çui-là....a la tronche; mais un coeur en or ;-)


1 p3qrc4 - Eugenol
Bjc.

16/02/2009 à 11h06

chère Doc,
Attention aux risques Paro !
surfaçages et Kayes toutes les semaines
il ne manquerait plus, qu’en plus des P.M. et de 8, tu raccourcisse la durée de vie des dents restantes

amicalement
Bjc.

P.S. : pourquoi extraction de 34 et 45 (asymétrie) ?


Wolford hm5yx3 - Eugenol
Doc lyonnaise

16/02/2009 à 12h49

Bjc. écrivait:
--------------
> chère Doc,

> il ne manquerait plus, qu’en plus des P.M. et de 8, tu raccourcisse la durée de
> vie des dents restantes



Oh non, dis pas ça...parce que je suis traumatisée par ça...(je me fais des rétros toutes les semaines :-))
là tu vois c'est l'avatar zen qui médite...mais qui médite sur "comment tuer mes orthodontistes" :-)


EloD

16/02/2009 à 13h28

la tu signes pour perpette...j'espère pour toi qu'aucun ortho n'aura d'accident "bête"...dans les semaines qui viennent. C'est fou ce qu'on peut dire comme conneries ;-).


1 p3qrc4 - Eugenol
Bjc.

16/02/2009 à 13h42

P.S. : pourquoi extraction de 34 et 45 (asymétrie) ?


Wolford hm5yx3 - Eugenol
Doc lyonnaise

16/02/2009 à 14h22

Bjc. écrivait:
--------------
> P.S. : pourquoi extraction de 34 et 45 (asymétrie) ?

ah non! je crois que c'est le dentiste qui s'est planté de n° de dent , j'te jure ;-)
(putain, je vais devoir méditer sur son cas à lui aussi!!!!!)


belette

16/02/2009 à 15h04

Doc lyonnaise écrivait: une récidive d'un traitement mal fini...

Pas si mal fini que ça! au moins les espaces sont refermés, les dents semblent bien calées, même si elles ont un peu "respiré" mais, quid de l'occlusion ?

Tu espères quoi de ton nouveau traitement?

ps: C'est rigolo, tu t'arraches la langue pour un traitement invisible et tu l'affiches sur le forum ... plein de contradictions tout ça...


Wolford hm5yx3 - Eugenol
Doc lyonnaise

16/02/2009 à 15h16

bon ben que dalle de patience mes p'tits hein, vous n'avez pas vu la merde que c'est en haut encore :-)

P.S et pis je l'affiche là, on est chez nous là...après le côté masqué c'est pour les Big :-)))


Mmmm

16/02/2009 à 15h35

et tu zozottes pas avec?


1 p3qrc4 - Eugenol
Bjc.

16/02/2009 à 15h38

Dixit Doc.:
"et je vous raconte pas l'état du fiancé ;-)))"


belette

16/02/2009 à 15h49

Doc lyonnaise écrivait:près le côté masqué c'est pour les Big :-)))



Tu perds ton temps, doc, les bigs, ce ne sont pas tes dents qui'ls regardent; Vois ce que je t'ai trouvé :


Le palmarès officiel...
S'ils sont visuels, on aimerait donc savoir ce qui les attire le plus en nous, ce qui réveille immédiatement leurs pulsions sexuelles ? En première position, avec 38% des votes, vous ne serez pas surprises de découvrir que ce sont nos seins ! Tout juste derrière, et ça, ça va vous faire plaisir, avec 37%, ce sont nos yeux. La troisième partie de notre corps qui les rend fous, avec 25% des votes, ce sont nos fesses ! Et en dernier, 23% de la gent masculine se sent émue à la vue de nos jambes*.


Wolford hm5yx3 - Eugenol
Doc lyonnaise

16/02/2009 à 18h23

Bjc t'as parlé malheur mon p'tit, je reçois une patiente cet AM même, suivie depuis 6 mois en ODF lingual, regardez moi cette 21....




R sorption hby5uq - Eugenol

LdL

16/02/2009 à 19h02

Doc lyonnaise écrivait:
-----------------------

> et j'en suis là, parce que un jour un de vous m'a ratée..

Ho bah dis donc on croirait entendre un patient !

> une récidive d'un traitement mal fini...

Et tu en as été pour "combien de ta poche" ? (histoire que le tableau soit complet)


1 eugenol dmj5np - Eugenol
Dancha

16/02/2009 à 19h21

Pauvre Doc, tu t’es encore fait avoir !
On dirait que tu les attires, les embiernements.
Puisque c’est le haut qu’est une cata, ton orthodontiste aurait dû commencer par là et foutre la paix à tes dents du bas qui ne se voient même pas. Au lieu de ça, il t’a collé une râpe anti-langue ! Quelle idée !

Pourquoi n’en as-tu pas parlé ici plus tôt ? J’aurais pu te donner les coordonnées d’un confrère danchamonien (eux sont compétents) pas loin de chez toi. Il t’aurait fait un truc léger et discret.

Je suis d’accord avec Bjc, maintenant c’est foutu. Si tu continues tu vas tout perdre !
En plus, comme Belette vient de le dire, pour ce que tu cherches tu fais fausse route…

A ta place, au point où tu en es, je ferais tout enlever et mettre des implants. Au moins t’auras affaire à des gens sérieux, pas à ces charlots d’orthodontistes. Et ça ne bougera plus !

Daniel


1 p3qrc4 - Eugenol
Bjc.

16/02/2009 à 19h57

"Je suis d’accord avec Bjc, maintenant c’est foutu. Si tu continues tu vas tout perdre !"
"foutre la paix à tes dents du bas qui ne se voient même pas"
"En plus, comme Belette vient de le dire, pour ce que tu cherches tu fais fausse route"

Je ne suis pas d’accord avec vous, ça vous étonne ?
1°) Doc. ne va pas tout perdre, elle est loin d’être bête et saura s’arrêter à temps. au pire elle aura fait ça pour rien.
2°) même si les dents du bas ne se voient pas, il est inconcevable de ne pas les réaligner avec le haut, sous peine de récidive.
3°) je doute que Doc. soit un cas d’anneaux (Danchamon)
...
4°) la perle revient à belette (et à toi) pour ce qui est de la fausse route.


amicalement et @+

Bjc.


Wolford hm5yx3 - Eugenol
Doc lyonnaise

16/02/2009 à 20h56

LdL écrivait:
-------------
>
> Ho bah dis donc on croirait entendre un patient !
> Et tu en as été pour "combien de ta poche" ? (histoire que le tableau soit
> complet)

toi t'aurais bien aimé que je sois une patiente pour me zapper hein? ;-)


12...