Cookie Consent byPrivacyPolicies.comça c'est... - Eugenol

ça c'est...

Img 0812 mvp6i0 - Eugenol
jeamba

01/04/2010 à 00h39

Doc, merci de nous poster des photos de l'évolution de ton cas. En tout cas moi ça m'interesse.
Merci d'y penser.


Wolford hm5yx3 - Eugenol
Doc lyonnaise

01/04/2010 à 10h35

jeamba écrivait:
----------------
> Doc, merci de nous poster des photos de l'évolution de ton cas. En tout cas moi
> ça m'interesse.
> Merci d'y penser.


sans souci...la prochaine fois j'en aurai ;-)


Wolford hm5yx3 - Eugenol
Doc lyonnaise

11/06/2010 à 20h49


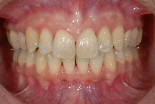
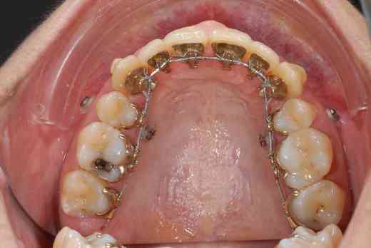
3 mois de mini vis et d'élastocs de classe II :-))
chuis pas belle comme ça? :-)))

Docly3 omoqmk - Eugenol
Docly4 ejw8be - Eugenol
Docly ywcjyy - Eugenol
Docly2 wv5imp - Eugenol
Docly5 pv5t0s - Eugenol

Images 1 qtgoxf - Eugenol
ciwil

11/06/2010 à 21h05

si avec une bouche comme ça tu ne trouves pas de mari!... tu trouveras au moins des clients!
(pardon, tu m'en veux pas hein?! c'est juste pour faire un mot)


Wolford hm5yx3 - Eugenol
Doc lyonnaise

11/06/2010 à 21h16

ciwil écrivait:
---------------
> (pardon, tu m'en veux pas hein?! c'est juste pour faire un mot)

t'as qu'à envoyer des bisous! pff


Avatar 46 aoi1yc - Eugenol
HononLulu

11/06/2010 à 22h54

Bon, tu l'appelles plus la vilaine, cette super ortho ?
;-)


Wolford hm5yx3 - Eugenol
Doc lyonnaise

11/06/2010 à 23h30

HononLulu écrivait:
-------------------
> Bon, tu l'appelles plus la vilaine, cette super ortho ?
> ;-)

j'ai pas décidé encore, j'ai pas fait les radios de contrôle des racines ;-)))


Avatar 46 aoi1yc - Eugenol
HononLulu

12/06/2010 à 00h09

Je sens comme un léger fléchissement de ta part.
Me trompé-je?


Images 1 qtgoxf - Eugenol
ciwil

12/06/2010 à 13h02

doc L s'est aperçu que son ortho lisait eugenol :)


Wolford hm5yx3 - Eugenol
Doc lyonnaise

29/06/2010 à 23h45

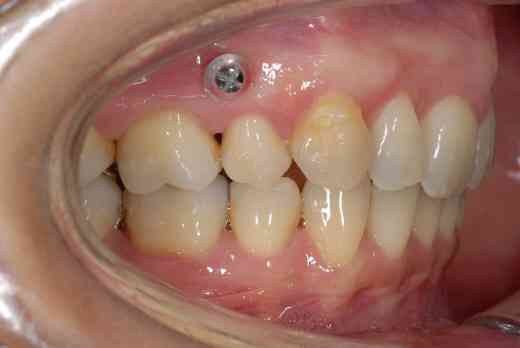
ça y est, on m'a enlevé les vis,...
n'empêche que 600 roros de vis de merde pour 3 mois, c'est un bon business moi je dis! pffffffffff


Img 3657 cwjvqm - Eugenol
alapex

29/06/2010 à 23h49

.00.


Smile beach jgh0a1 - Eugenol
Céramik

30/06/2010 à 04h58

Doc lyonnaise écrivait:
-----------------------
> ça y est, on m'a enlevé les vis,...
> n'empêche que 600 roros de vis de merde pour 3 mois, c'est un bon business moi
> je dis! pffffffffff


Pour ce prix, tu aurais du me voir...
je te les posait gratis...

;-)


--
Céramik


Wolford hm5yx3 - Eugenol
Doc lyonnaise

30/06/2010 à 09h50

Céramik écrivait:
-----------------
> Pour ce prix, tu aurais du me voir...
> je te les posait gratis...
>
> ;-)
>
>
> --
> Céramik

Bisous ybxsl5 - Eugenol

1 eugenol dmj5np - Eugenol
Dancha

30/06/2010 à 10h35

La question qu’on peut se poser est : pourquoi les vis ont-elles été placées un endroit où elles ne pouvaient que gêner le recul latéral supérieur qui avait justifié leur pose.

C’est dans doute pour cela qu’elles ont été enlevées au bout de trois mois seulement..

Daniel


Wolford hm5yx3 - Eugenol
Doc lyonnaise

30/06/2010 à 11h46

le pire c'est pas ça....le pire c'est que maintenant j'ai de ces subluxations articulaires je vous rac pas :-(((


Image 4 lrchtq - Eugenol
Alain

30/06/2010 à 12h59

çà sent la MAPAD!


Smile beach jgh0a1 - Eugenol
Céramik

30/06/2010 à 16h22

Doc lyonnaise écrivait:
-----------------------
> le pire c'est pas ça....le pire c'est que maintenant j'ai de ces subluxations
> articulaires je vous rac pas :-(((

Tu es mal partie...bonne chance...

--
Céramik


Wolford hm5yx3 - Eugenol
Doc lyonnaise

30/06/2010 à 16h58

Céramik écrivait:
----------------
> Tu es mal partie...bonne chance...
>
> --
> Céramik


moyennant quelques bisous, chuis sûre tu me soigneras ;-)


petitb

25/07/2010 à 11h08

bonjour.
je suis tombée par hasar en pianotant sur un célèbre moteur de recherche (pas de pub ici?)
et je découvre quoi? un cas que je connais bien et pour cause,c'est moi qui l'ai traité!!!

je ne me doutais pas que Mademoiselle P. était passée par tous ces états d'âme, et m'avait pour ainsi dire détestée!!!!
heureusement le travail a été mené àson terme et le résultat final n'est pas mal, non?

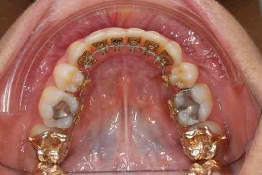
la technique linguale est plus difficile à maîtriser, les points d'appui plus difficiles à trouver (cf minivis qui doivent rester esthétiques, c le but du traitement)

en tout cas, merci à M (doc lyonnaise) de m'avoir donner cette heure de gloire tout en restant anonyme LOL

à bientôt


Grueavatar nptrc9 - Eugenol
Le Choixpeau magique

25/07/2010 à 11h45

pwned !


Images 1 qtgoxf - Eugenol
ciwil

25/07/2010 à 11h48

oh! peuchère!
qui se dévoue pour lui dire ?


Cuisinier2 vnbbxx - Eugenol
jeff2

25/07/2010 à 12h02



Damned!! une blonde de plus sur le forum!!


Wolford hm5yx3 - Eugenol
Doc lyonnaise

25/07/2010 à 14h13

petitb écrivait:
----------------
> bonjour.
> je suis tombée par hasar en pianotant sur un célèbre moteur de recherche (pas de
> pub ici?)
> et je découvre quoi? un cas que je connais bien et pour cause,c'est moi qui l'ai
> traité!!!
>
> je ne me doutais pas que Mademoiselle P. était passée par tous ces états d'âme,
> et m'avait pour ainsi dire détestée!!!!
> heureusement le travail a été mené àson terme et le résultat final n'est pas
> mal, non?
>
> la technique linguale est plus difficile à maîtriser, les points d'appui plus
> difficiles à trouver (cf minivis qui doivent rester esthétiques, c le but du
> traitement)
>
> en tout cas, merci à M (doc lyonnaise) de m'avoir donner cette heure de gloire
> tout en restant anonyme LOL
>
> à bientôt


héhéhé très drôle ;-)
si tu m'avais traitée tu saurais que c'est pas fini encore :-P


Wolford hm5yx3 - Eugenol
Doc lyonnaise

17/09/2010 à 22h25

voilà!

1 miguaq - Eugenol
2 nvwiwj - Eugenol
3 alsp3n - Eugenol
4 qy8wzv - Eugenol
5 uiseml - Eugenol

Cuisinier2 vnbbxx - Eugenol
jeff2

17/09/2010 à 22h36

Bon, la doc, je suis certain que petitb aurait été capable de te traiter dés le départ avec un beau cas en Damon.
Mais voilà, elle a fallu qu'elle rattrape les conneries d'un autre, alors quand même, pour connaître un peu les emmerdes avec les adultes, elle s'en est vachement bien sortie
Le python 357 sera pour le précédent, mais celle là, laisse là elle est aussi jolie que toi, bien sur, pas dans le même genre.

--
FSDL What Else?


1...12131415