Cookie Consent byPrivacyPolicies.comsainte apolline ne l'a pas sauvée. - Eugenol

sainte apolline ne l'a pas sauvée.

Fouilla h6plsy - Eugenol
fouilla

03/03/2009 à 21h55

voila un joli cas clinique
JH 31 ans parodontopathe non fumeur à qui "on" a proposé une solution originale pour "sauver" sa 27 qui grace à cette technique ne "bouge plus" mais pris trois semaines après de douleur insupportables "on" lui a répondu alors que "on" ne pouvait pas se brosser les dents à sa place.
la radio parle d' "on" ne voit pas comment ça aurait pu marcher.
$$$$$ quand tu nous tiens
pour rire(ou plutôt en pleurer) je vous mettrai la pano du patient à qui j'avais proposé il y à 10 ans un implant pour remplacer une 36 et la mise en place de tt paro mais à l'époque a été voir "on".
appel ce matin en urgence j'ai été grand seigneur et l'ai vu à l'instant pour m'occuper de la 27

Splint ktzbwp - Eugenol

Fouilla h6plsy - Eugenol
fouilla

03/03/2009 à 21h56

il s'agit bien d'un "splint" pris dans un composite dans l'amalgame de la 26 !!!


Smile beach jgh0a1 - Eugenol
Ceramik

03/03/2009 à 23h45


Et tu as fait quoi avec la 27 ?
--
Ceramik


3f3boxni50k58rq7e9ce9ddqrxgk - Eugenol
dentiste57

03/03/2009 à 23h51

j'espère que tu vas suivre les exceptionnelles recommandations de la Très Haute Autorité de Santé qui recommande de ne pas faire de Traitement Endodontique sur les dents qui bougent vachement beaucoup.(reçu dans le courrier ce matin).



comme me disait mes instituteurs à la maternelle, "ON EST UN CON"


Wolford hm5yx3 - Eugenol
Doc lyonnaise

04/03/2009 à 00h01

eh ben...j'espère que la Sainte davier est intervenue....;-)


Smile beach jgh0a1 - Eugenol
Ceramik

04/03/2009 à 00h32


Un davier ?
Une grosse curette !
Un peu d'os, et un implant plus tard.
--
Ceramik


zazamouk

04/03/2009 à 00h35

J'aime beaucoup ce genre de technique "non conventionnel" et original pour sauver une dent...



Ou pas!


Fouilla h6plsy - Eugenol
fouilla

04/03/2009 à 14h48

Ceramik écrivait:
-----------------
>
> Un davier ?
tout juste nécessaire suffit de couper le "splint"
> Une grosse curette !
oui ++++
> Un peu d'os, et un implant plus tard.
+++
> --
> Ceramik
fouilla


Fouilla h6plsy - Eugenol
fouilla

12/03/2009 à 19h25

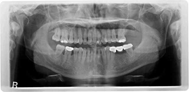
la pano comme promis un bel exemple de massacre

avec tout ce nonos dessous et les surcontours pffff

La suite    vfeu3i - Eugenol

Bouddha 2 wmj1zk - Eugenol
HAIG

12/03/2009 à 19h28

Ceci dit comme il a un bridge en face il peut rester sans sa 7.
Mais quand même bel exemple de l'action iatrogène des dentistes !!!!!!!!
Sois sympa regardes un peu ce qui se passe au niveau de la poche en distal de 37 ou espères-tu lui coller deux implants ?

--
HAIG (º¿º)


belette

12/03/2009 à 19h53

fouilla écrivait: avec tout ce nonos dessous

Allez! Pleure pas et fais vite en bas à droite, la 46 a des pb imminents...


Fouilla h6plsy - Eugenol
fouilla

12/03/2009 à 19h55

HAIG écrivait:
--------------
> Ceci dit comme il a un bridge en face il peut rester sans sa 7.

ya plus urgent à faire c'est sur
> Mais quand même bel exemple de l'action iatrogène des dentistes !!!!!!!!

oui et reoui, mais en même temps c'est lui qui a choisi de trouver un praticien pour lui faire (la solution implantaire et paro je l'avais préconisé et proposé mais sans doute ai je été mauvais) ce qui veux quand même dire (et cela rejoins certains posts)que même pour ne pas perdre un patient il ne faut pas accepter de faire tout et .... quoi ,

je suis un gentil et jamais je ne critiquerai ce qui a été fait mais ce n'est pas le cas de tout le monde...

> Sois sympa regardes un peu ce qui se passe au niveau de la poche en distal de 37

à rapprocher de ce qui s'est passé sur 27 si la il 'y a pas eu un problème d'occluso ça y ressemble fort

> ou espères-tu lui coller deux implants ?
>

ce n'est pas ma préoccupation principale pour l'heure

> --
> HAIG (º¿º)


Bouddha 2 wmj1zk - Eugenol
HAIG

12/03/2009 à 21h14

Non ne change rien Fouilla, je suis sur que tu as au moment voulu bien informer ton patient.
On ne peut pas réussir a 100 % l'éducation de ceux-ci, il a fait son choix de praticien et du traitement.
Il se rendra compte lui-même que sur les 3 choses qui ont été faites dans sa bouche les trois présentent des problèmes.

"ce qui veux quand même dire (et cela rejoins certains posts)que même pour ne pas perdre un patient il ne faut pas accepter de faire tout et .... quoi ,"
Non il ne faut pas faire ça , tu perdras les cons et tant mieux, les autres reviendront.

En lisant le Marmasse étudiant quand il dit : " les patients ont les soins qu'ils méritent " ; je pensais que c'était une bêtise mais il a raison Mr Marmasse.

--
HAIG (º¿º)


Image odged8 - Eugenol
ploc

12/03/2009 à 21h44

HAIG écrivait:>
>
> En lisant le Marmasse étudiant quand il dit : " les patients ont les soins> qu'ils méritent " ; je pensais que c'était une bêtise mais il a raison Mr> Marmasse.

-))))))))

> --
>


Fouilla h6plsy - Eugenol
fouilla

13/03/2009 à 12h04

HAIG écrivait:

>
> "ce qui veux quand même dire (et cela rejoins certains posts)que même pour ne
> pas perdre un patient il ne faut pas accepter de faire tout et .... quoi ,"
> Non il ne faut pas faire ça , tu perdras les cons et tant mieux, les autres
> reviendront.
>

je pense que je me suis mal exprimé j'aurai du écrire : quitte à perdre un patient il ne faut pas faire tout et ... quoi

j'irai plus loin que marmasse : "le praticien aussi a les patients qu'il mérite"

l'avantage de garder une ligne de conduite est que lorsque les patients reviennent tu sais et ils savent pourquoi...


Bouddha 2 wmj1zk - Eugenol
HAIG

13/03/2009 à 12h15

Tu as entièrement raison, je crois que c'est on Maitre Louise Kassis qui m'a dit " On a la patientèle qui nous ressemble "
De toute façon avec ceux qui ne comprennent pas ton plan de traitement, tu as vers les problèmes.
Bien qu'enseignant de Prothèse, il m'est arrive beaucoup de fois de dire que je ne savais pas simplement pour le patient aille voir ailleurs.
Comme ça je dormais plus tranquille.

--
HAIG (º¿º)