Tous les forums
l'implantation transgingivale réduit elle les chances d'ostéointégration
08/03/2009 à 16h25
C'est une question que je me pose, car je viens de faire un cas comme ça mercredi matin.
Au départ j'avais plutôt prévu de faire un lambeau d'accès comme d'habitude avec sutures et tout et tout...
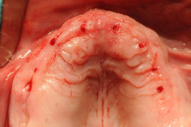
Étant donné que j'avais une autoroute en matière de crête osseuse, je me suis dis " et puis zut, restons dans le couloir prothétique et plantons en aveugle".
Une bonne connaissance du scan était nécessaire, et des petits contrôles radios pendant la pose bien évidemment pour connaître la longueur de perçage et savoir quand mon implant allait être juxta-crestal.
08/03/2009 à 16h37
petits commentaires:
- J'ai trouvé ça super de ne pas avoir à faire de sutures
- l'un des implants est volontairement incliné car il vient longer le plancher sinusien. Je n'avais pas envie de faire de Summers et le patient ne voulait pas de soulevé de sinus.
Est ce que les cellules gingivales vont réduire mes chances d'ostéointégration ?
Faites vous régulièrement ce type de technique ?
Je ne pense pas qu'on puisse le faire chez tous le monde, mais là, j'avais de la crête, de la gencive attachée et de l'os à profusion...
08/03/2009 à 16h51
c'est comme une chir guidée en flap less pourquoi veux tu que ca gene? tu à percer direct ou tu as sorti une carotte de gencive?
joli boulot comme dab mais pourquoi ne pas avoir tenter de resection? :)
08/03/2009 à 17h08
peut-être une question con, mais j'ai l'impression qu'il y en avait un 7ème prévu, non?
08/03/2009 à 17h49
non, c'est juste que j'ai changé d'avis au dernier moment.
J'ai préféré implanter un peu plus en arrière mais en inclinant mon implant.
Plus tard il est prévu d'utiliser un piliers angulé à 20° pour de la prothèse transvissée.
08/03/2009 à 17h58
sbire écrivait:
---------------
> c'est comme une chir guidée en flap less pourquoi veux tu que ca gene? tu à
> percer direct ou tu as sorti une carotte de gencive?
je n'ai pas utilisé de tissu punch donc pas de carotte ...
d'où ma question, les chances d'ostéointégrations sont elles réduites.
Je n'arrive pas à trouver une étude sur le devenir des éventuels cellules transportées le long de l'implant.
j'envoie l'opt demain. Promis.
> joli boulot comme dab mais pourquoi ne pas avoir tenter de resection? :)
Rutudju..!.
:)
08/03/2009 à 20h01
carotte ou non il ya toujours colonisation epitheliale mais neanmoins tu as execute le systeme de nobel guide ou easy guide mais sans guide et vu le recul qu'ils ont je ne pense pas qu'il y ait de prb
Mon associe et moi effectuons regulierement ce type d'intervention avec guide et tissu punch et a part une fois(le patient a fume des sa sortie de l'intervention)on ne deplore aucun raté.
tu pourras comparer lesdouleurs post pop de ton patient par rapport a tes anciennes interventions et tu seras etonne des reponses.C'est l'avenir de l'implantologie chirurgie minimum invasive.
08/03/2009 à 20h47
croc1765 écrivait:
------------------
a part une fois(le patient a fume des sa sortie de
> l'intervention)on ne deplore aucun raté.
quel problème?
08/03/2009 à 21h36
pourquoi n'avoir pas fait de mise en charge immédiate ?
--
Canin
08/03/2009 à 21h38
Non.
Flapless Implant Surgery Using an Image-Guided System. A 1- to 4-Year Retrospective Multicenter Comparative Clinical Study.
Berdougo M, Fortin T, Blanchet E, Isidori M, Bosson JL.
Clin Implant Dent Relat Res. 2009 Feb 13. [Epub ahead of print]
Cela fait une dizaine d'année que l'équipe qui a mis au point le Cad-implant fait du flapless. A main levé, le problème peut être si tu perfore ta corticale au niveau de l'apex de ton implant. Maintenant le flapless présente aussi l'inconvénient de ne rien pouvoir aménager (tissus durs et tissus mous) au cours de l'intervention donc il faut une situation de départ favorable... ou faire des compromis en connaissance de cause.
08/03/2009 à 21h49
vava écrivait:
--------------
> les cas favorables représente quel % des implants posés ?
pour faire du flapless?
je dirais moins de 10%.
09/03/2009 à 10h31
Consulte le site http://www.iscadis.fr/ et aussi www.miniinvasive.com . tu y trouveras une foule de documents sur le sujet.
09/03/2009 à 14h03
voili voilà,
excusez la qualité de radio, elle déforme un peu la mâchoire.
L'implant au niveau de 15-16 est volontairement très incliné et borde le sinus pour gagner un peu de rétention en arrière.
PS
la 46 doit normalement être extraite .
Merci J empé pour ton site.
09/03/2009 à 15h22
le site mimimainvsive.com est obsolete c'est la tres ancienne version de cadimplant ily apas qqchose de plus recent?
09/03/2009 à 17h02
bravo vava, je vois que tu connais easy implant
11 et 21 master s
pour les 4 autres :prévium sl