Cookie Consent byPrivacyPolicies.com"mise en vitrine" immédiate... - Eugenol

"mise en vitrine" immédiate...

Blason dql7mj - Eugenol
growler

04/04/2009 à 15h44

posit, ici les piliers coniques,c'est sur des easy master L ?


Utilisateur banni

04/04/2009 à 20h07

growler écrivait:
-----------------
> posit, ici les piliers coniques,c'est sur des easy master L ?
Oui, ils vont très bien pour les extractions implantations.
Posit

Positdental 1 uhqkzv - Eugenol
Positdental 2 nxogjm - Eugenol

Img 8465 fqhxid - Eugenol
noahaxeltiger-olivier

08/05/2009 à 22h11

pluton écrivait:
----------------
> simple question...sur un implant...vous utilisez quoi comme matériaux pour çà,
> sur un pilier à provisoire?
> -dent du commerce?
> -simple composite après empreinte de la couronne (si elle existe bien sûr...)
> -autre chose?

Personne ne l'a encore cité mais tu peux aussi te servir de la dent naturelle du patient.
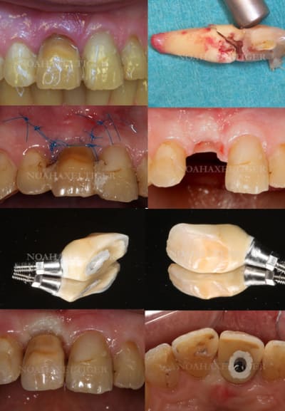
Dans le cas suivant, la dent a été extraite pour cause de résorption et fracture radiculaire. Extraction + mise en place immédiate + GBR + greffe conjonctive. Temporisation peu esthétique où la dent du patient est collée aux dents adjacentes.
Cette temporisation n'à durée que 2 semaines le temps d'obtenir une première cicatrisation gingivale. Après dépose des points j'ai utilisé la même dent du patient que j'ai ajusté et collé à un pilier temporaire transvissé. Composite, polissage méticuleux et hop en vitrine.
Ca marche parfaitement surtout dans le cas de teinte de dent particulière.
Obs : Dans le cas présent le patient n'a pas voulu de facettes sur les dents adjacentes.

Anders dxjoo0 - Eugenol

Statue modif qbkm6l - Eugenol
Dr Patsch Hans

08/05/2009 à 22h51

ach, magnifik votografiii!!

cette astuce a été cité au début du sujet par growler, je suppose qu'il parlait de la même technique?


Img 8465 fqhxid - Eugenol
noahaxeltiger-olivier

08/05/2009 à 23h45

Dr Patsch Hans écrivait:
------------------------
> ach, magnifik votografiii!!
>
> cette astuce a été cité au début du sujet par growler, je suppose qu'il parlait
> de la même technique?

oups !! désolé growler j'avais pas vu


Photo pluton1b h9n4ea - Eugenol
pluton

08/05/2009 à 23h55

magnifique Noah...comme d'hab...;-))
mais pour mon cas...il y avait une richemond céramique...inutilisable pour une telle technique...
j'ai biaisé le problème en faisant une gouttière en plastique thermoformable (au biostar) du modèle d'étude...de là j'ai fait une provisoire en composite que j'ai adapté en bouche sur le pilier provisoire et collé au composite fluide...

en fait cette solution étais fastidieuse...la prochaine fois j'utiliserai directement la gouttière en bouche en faisant un petit pertuis dedans et provisoire entièrement au compo fluide...çà ira plus vite que d'usiner le composite préalablement photo-polymérisé...
ma seule peur en fait...la hauteur dispo pour l'hexagone de vissage (pour le tournevis)...mais il y a en fait une très grande hauteur pour ces piliers zimmer...

désolé...je n'ai pas de photos du cas en cours de chir...mais je tenterai des photos quand j'en serai à la prothèse d'usage...tout ce passe bien en tout cas...j'ai croisé récemment mon patient...il est ravi...


Blason dql7mj - Eugenol
growler

09/05/2009 à 00h20

ton iconographie est très belle et complète Olivier.
Effectivement j'ai déjà appliqué cette technique que j'ai vu lors d'une Conférence de Salama (plusieurs fois pour transformer la dent en "inter" provisoire collé mais jamais eu encore l'occasion de le faire en provisoire transvissée (prochainement sans doute) et donc pas de photos intéressantes sur le sujet, mais effectivement comme je l'avais vu à plusieurs reprises j'en ai touché un petit mot.
En parler c'est bien mais le faire et le montrer c'est encore mieux et je pense qu'unanimement nous te remercions de nous l'illustrer aussi parfaitement.

@++


3f3boxni50k58rq7e9ce9ddqrxgk - Eugenol
dentiste57

10/05/2009 à 18h13

belle iconographie en effet, et comme toujours, cas parfaitement bien réalisé.

sur ton avant dernière photo, on voit que la gencive est blanchie par la compression des tissus lors de la mise en place de la dent.
gonfles tu le volume de la dent au niveau du pilier pour obtenir une émergence gingivale ?


Img 8465 fqhxid - Eugenol
noahaxeltiger-olivier

10/05/2009 à 20h19

dentiste57 écrivait:
--------------------
> belle iconographie en effet, et comme toujours, cas parfaitement bien réalisé.
>
> sur ton avant dernière photo, on voit que la gencive est blanchie par la
> compression des tissus lors de la mise en place de la dent.
> gonfles tu le volume de la dent au niveau du pilier pour obtenir une émergence
> gingivale ?

Absolument. Il m'arrive très souvent de modifier, d'élargir cette émergence gingivale durant la phase de cicatrisation en modifiant mon pilier temporaire et ce jusqu*à obtenir une forme qui me convient.
Cette même émergence gingivale "sculptée" est transmise au labo lors de l'empreinte par la transformation du transfert d'empreinte en transfert d'empreinte individuel (beaucoup de jolis mots juste pour dire ce que j'illustre en dessous). Rien de sorcier. Tout comme Touati ou Buser l'ont largement décrit.

Olivier

Transfert d empreinte individuel oc5jfe - Eugenol

P1010130 jpci1f - Eugenol
MarcB6

10/05/2009 à 22h09

Cher Olivier,

je voulais te féliciter pour ton cas et ta magnifique iconographie, c'est du grand art.
tous les détails sont parfaitement soignés. Bravo.
Une petite question tu as fait la mise en temporisation 2 semaines plus tard, n'est ce pas.
A quinze jours on a une diminution de la stabilité mécanique implantaire, c'est une période critique, qu'en pense tu ?
cordialement

--
marcB6


3f3boxni50k58rq7e9ce9ddqrxgk - Eugenol
dentiste57

10/05/2009 à 22h21

bien vu marcb6!
cette question devait être la prochaine que je voulais poser.
pour, ma part, je n'ose pas démonter car je crains la diminution de la stabilité implantaire et donc je redoute le moment du serrage de la provisoire.


Img 8465 fqhxid - Eugenol
noahaxeltiger-olivier

11/05/2009 à 00h05

MarcB6 écrivait:
----------------
> Cher Olivier,
>
> je voulais te féliciter pour ton cas et ta magnifique iconographie, c'est du
> grand art.
> tous les détails sont parfaitement soignés. Bravo.

Merci.

> Une petite question tu as fait la mise en temporisation 2 semaines plus tard,
> n'est ce pas.
> A quinze jours on a une diminution de la stabilité mécanique implantaire, c'est
> une période critique, qu'en pense tu ?
> cordialement

Effectivement merci MarcB6 de faire cette remarque. Ta question illustre parfaitement comment il est difficile de montrer un cas clinique en essayant de le décrire au mieux et en essayant d'aborder tous les points importants. Il est clair que tout comme vous, j'agis avec un genre de check list, d'automatismes et qu'avec le temps on acquiert un feeling qu'il est difficile de transmettre.

Entre parenthèse cela me rappelle le jour où, quand je travaillais comme dentiste généraliste, je devais informer un jeune de 13 ans sur le risque carieux qu'il encourait avec sa consommation de 2 litres de coca par jour. Après avoir précautionneusement décrit tous les inconvénient, j'étais persuadé que ce jeune patient avait quitté le cabinet avec suffisament d'informations pour pouvoir changer ses mauvaises habitudes. A son retour quelques semaines plus tard, je m'empressais de lui demander s'il continuait à boire du coca quand il avait soif. Et lui de répondre tout fièrement : "oh non, ca était dur mais j'ai completement arrété avec le coca ... maintenant je ne bois que tu Fanta !!!

Pour en revenir à notre question, il y a des éléments déterminants qui ont fait que j'ai osé mettre en vitrine à 2 semaines. Effectivement cette periode est comme tu l'as bien souligné MarcB6 une periode de transition lors du remodèlement osseux périimplantaire (voir schéma ci joint). Lors de la mise en place implantaire, j'ai d'une part utilisé un implant de 15mm, avec un ancrage apical me garantissant une stabilité primaire excellente. Je travaille toujours avec Osstell et j'aurais très bien pu mettre en esthétique directement après implantation, puisque j'avais une RFA de plus de 65.
Alors pourquoi je ne l'ai pas fait ? J'ai réalisé dans ce cas une greffe conjonctive et j'ai préféré attendre d'obtenir une cicatrisation gingivale superficielle avant de mettre mon pilier temporaire. J'ai en effet remarqué que le composite que l'on utilise pour former nos piliers temporaires entraine toujours une certaine irritation gingivale même avec un polissage méticuleux (voir photo ci jointe). Et j'ai jugé que cette inflammation pouvait compromettre la cicatrisation de mon conjonctif enfoui. Voilà pourquoi.

Il est clair que j'ai pris soin de ne pas serrer ma vis de cicatrisation comme un âne lorsque j'ai placé mon implant. De plus j'ai fait une nouvelle analyse avec Osstell à 2 semaines me garantissant une stabilité excellente.

En conclusion j'ai réalisé cette mise en esthétique en ayant pesé et mesuré les risques. Encore merci MarcB6 d'avoir souligné ce point.

Olivier

Remaniement osseux periimplantaire myvxde - Eugenol
Inflammation en rapport avec composite zbhncx - Eugenol

P1010130 jpci1f - Eugenol
MarcB6

11/05/2009 à 00h34

Merci Olivier pour ta réponse et tes explications convaincantes,
En effet, j'avais raison de dire que tu gère parfaitement tous les détails.
Tu agis avec une grande maîtrise et rien n'ai laissé au hasard.
Encore bravo pour ton professionnalisme.
C'est génial ce forum,
On peut échanger avec des praticiens de grand talent qui donnent sans compter avec une immense humilité.
Cordialement

--
marcB6


S2y2o1v7q53ws4r5wy6ou8czrpom - Eugenol
pxav

11/05/2009 à 15h30

c'est clair si Olivier n'existait pas, il faudrait l'inventer!

--
xbk


Smile beach jgh0a1 - Eugenol
Céramik

12/05/2009 à 07h34

noahaxeltiger-olivier écrivait:
-------------------------------
>> > gonfles tu le volume de la dent au niveau du pilier pour obtenir une émergence
> > gingivale ?
-----------------------------------------------
> Absolument. Il m'arrive très souvent de modifier, d'élargir cette émergence
> gingivale durant la phase de cicatrisation en modifiant mon pilier temporaire et
> ce jusqu*à obtenir une forme qui me convient.
> Cette même émergence gingivale "sculptée" est transmise au labo lors de
> l'empreinte par la transformation du transfert d'empreinte en transfert
> d'empreinte individuel (beaucoup de jolis mots juste pour dire ce que j'illustre
> en dessous). Rien de sorcier. Tout comme Touati ou Buser l'ont largement décrit.
>
> Olivier



Salut olivier, encore bien tes photo, presque belles !
;-)

J'ai vu un truc au meeting de l'AACD (American Academy of cosmetic dentistry), faire une empreinte au compo fluide de la gencive avec le pillier d'empreinte, pour avoir un pillier anatomique sur-mesure. J'avais déjà fait le truc de façon indirect (comme tes presque belles photo ;-) , mais le faire directement en bouche...un autre trucs de plus à essayer...

A+
--
Céramik


Img 8465 fqhxid - Eugenol
noahaxeltiger-olivier

27/05/2009 à 01h20

Céramik écrivait:
-----------------

> le faire directement en bouche...un autre trucs de plus à
> essayer...


Tu veux dire comme ca Ceramik ...

Transfert d empreinte individuel r alis  in situ kji7tp - Eugenol

S2y2o1v7q53ws4r5wy6ou8czrpom - Eugenol
pxav

27/05/2009 à 01h29

chic j'ai appris quelques chose.
donc la journée est une bonne journée
merci les jeunes

--
xbk


Smile beach jgh0a1 - Eugenol
Céramik

27/05/2009 à 02h00

noahaxeltiger-olivier écrivait:
-------------------------------
> Céramik écrivait:
> -----------------
>
> > le faire directement en bouche...un autre trucs de plus à
> > essayer...
>
>
> Tu veux dire comme ca Ceramik ...


C'est bien cela...
--
Céramik


Blason dql7mj - Eugenol
growler

27/05/2009 à 11h55

j'avais déjà essayer ce truc il y a quelques temps mais franchement j'ai pas trouvé çà terrible, j'avais un état de surface granuleux. J'ai essayé par la suite en injectant de la même façon du jetblue http://www.coltenewhaledent.biz/index.php?TPL=10034&x1200_node=28&x1200_article_id=257 en utilisant un embout mélangeur de silicone light avec l'extremité très fine
on doit pouvoir faire la même chose avec du blumousse:
http://www.prestige-dental.co.uk/parkell_10_158.html

j'ai même essayé dans un cas où l'évasement gingivale était étroit en mettant le matériau sur la base du transfert non encore placé et de le mettre en place alors immédiatement (faut pas traîner), j'ai obtenu un bon résultat.
je trouve la consistance de ces matériaux idéal pur cette usage.
Maintenant il est possible que je ne m'y soit mal pris avec le flow, mais avec l'humidité et la necessité de polymériser j'ai pas obtenu un résultat comme je l'attendais.


@++


Photo pluton1b h9n4ea - Eugenol
pluton

27/05/2009 à 13h35

pourquoi ne pas avoir alors utilisé un compo fluide dual (auto photo) de reconstitution coronaire??? là t'aurais pas eu de pb de polymérisation...


Blason dql7mj - Eugenol
growler

27/05/2009 à 14h08

tu as raison, mais ce n'est pas tant la polymérisation qui m'a géné que le problème de l'humidité avec laquelle le flow ne fait pas bon ménage.
Avec un matériau un peu moins fluide tel que cité plus haut, j'ai eu personnellement un meilleur résultat (état de surface plus lisse et le prothésiste n'a pas eu à régulariser sa fausse gencive).

Olivier, as-tu constaté ce même phénomène (même à un moindre degré)?


Img 8465 fqhxid - Eugenol
noahaxeltiger-olivier

27/05/2009 à 23h46

growler écrivait:
-----------------
> tu as raison, mais ce n'est pas tant la polymérisation qui m'a géné que le
> problème de l'humidité avec laquelle le flow ne fait pas bon ménage.
> Avec un matériau un peu moins fluide tel que cité plus haut, j'ai eu
> personnellement un meilleur résultat (état de surface plus lisse et le
> prothésiste n'a pas eu à régulariser sa fausse gencive).
>
> Olivier, as-tu constaté ce même phénomène (même à un moindre degré)?

On a toujours un "fluide gingival" periimplantaire qui peut venir perturber la polymérisation du XFlow.
On obtient un meilleur état de surface lorsque le pilier d'empreinte est individualisé de facon indirecte, mais même de facon directe je n'ai pas eu de mauvais feedback de la part de mon prothésiste. Et je n'ai pas pu non plus constater de différence au niveau du produit final.

Amicalement / Olivier.


3f3boxni50k58rq7e9ce9ddqrxgk - Eugenol
dentiste57

28/05/2009 à 00h41

en fait, tu peux injecter du xflow, le polymériser, retirer ton moignon, rajouter une très fine couche de flow (milieu sec ) et polir ensuite.
tu gagne ainsi le volume que l'on perd avec la pression in situ des tissus...

bon ché pa si jété clair là ?


Blason dql7mj - Eugenol
growler

28/05/2009 à 01h02

oui comme cela çà paraît être une bonne solution, je vais tester cela sous peu.

@+


Amibien

28/05/2009 à 01h33

Je ne comprends pas bien votre émoi, la gencive se colle toujours à la provisoire, pourquoi vouloir ajuster aussi finement au départ ? Personnellement j'utilise du filtek suprême.