Cookie Consent byPrivacyPolicies.comEt hop 2 implants IDI - Eugenol

Et hop 2 implants IDI

Christophe13

20/03/2009 à 19h24

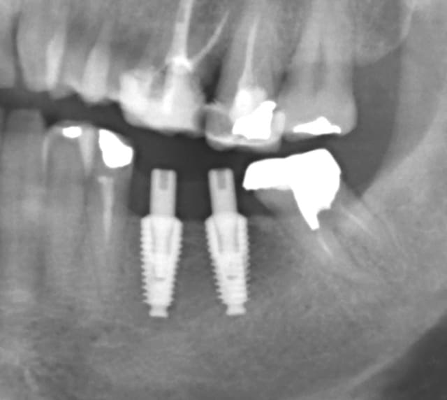
Mise en place de 2 implants IDI Idcam , très bonne impression , forage hypersimplifié ( 4 forets pour du 5.2),et sécurisé grâce aux forets à butée, excellente sensations lors de la mise en place à la clef à cliquet à la position souhaité / à l'os crestal.
Juste un regret la préhension de l'implant se fait de manière manuel avec un porte implant en plastique un poil trop large qui peut s'avérer délicat d'utilisation entre 2 dents étroites et qui contre indique l'usage abusif de café...

Img12 qmfia6 - Eugenol
Img 2525 l9wre4 - Eugenol
Img 2577 g7kopi - Eugenol
Img 2717 ggviwq - Eugenol

Fouilla h6plsy - Eugenol
fouilla

20/03/2009 à 20h06

pour être très très méchant : quelle est l'indication de tes deux implants ???


Christophe13

20/03/2009 à 20h11

Ben je sais pas trop en fait, peut-être remplacer les dents manquantes mais j'en suis pas sûr, t'as raison je vais réflechir.


Fouilla h6plsy - Eugenol
fouilla

20/03/2009 à 20h21

Christophe13 écrivait:
----------------------

> suis pas sûr, t'as raison je vais réflechir.

as tu réfléchi à ce que tu vas faire de 35 et 38 certes avec des endos douteuses mais potentielles pilliers , de même avec la 6 et la 7 (qui semble égressée non ?)

d'où ma question sur l'indication , mais c'est la une simpe interrogation toute personnelle .


Christophe13

20/03/2009 à 20h57

Ce n'est pas trop le sujet, mais je vais te répondre:
D'abord je travaille en traitement global et en regroupement et planification des actes, donc j' y ai réfléchi:
- 35 reprise trait endo + coiffe
- 26/27 coiffe ( provisoire sur la radio) pour aligner la courbe de spee
- 38 si possible reprise endo et coiffe mais pronostic très incertain en ce qui concerne l'endo et de toute façon hauteur clinique env 2 mm donc pilier très très aléatoire de surplus.


genolimit

20/03/2009 à 20h59

savez vous planter des choux...


mire

20/03/2009 à 23h57

bonjour
personnellement j'aurai fait les implants en derniers (après les soins des autres dents) pour éviter tout risque de contamination et pouvoir réharmoniser le plan d'occlusion


Humator t9r5wy - Eugenol
humator

21/03/2009 à 09h37

bravo pour ta pose, christophe13, c'est bien propre.

par contre, comme le laisse suggérer fouilla, et vu que 26, 27, 35 et 38 sont délabrées et à couronner, j'aurais plutôt vu coiffes 26-27, exo 28, et bridge 35-38.

Moins rentable, certes, mais toujours dans le cadre d'un traitement global.

un joli cas, en tout cas!

--
N.Hum


All star lmwyq8 - Eugenol
saint Desmotome

21/03/2009 à 09h54

Soyons réalistes, un bridge 35-38 c'est quand même pas la panacée, si on peut l'éviter c'est quand même mieux, non?


200106 10150128247663588 709988587 6466236 5598391 n d7mksb - Eugenol
hallboy

21/03/2009 à 10h14

Si ton bridge est bien realisé ( et de toute façon, il faudra realiser avec le mm soin les unitaires apres reprises d'endo de 35/38 ) à 5000 Euros pres quelle difference pour le patient?

Pardon. 4000 , j'avais oublié les inters.


Serieusement, si l'indication avait été posée apres reprise d'endo sur 35/ 38 , je serais moins taquin. Il est possible que la pose d'implants soit devenue incontournable. Là, visiblement la solution n'a pas été envisagée. Cela aurait aussi permis de redresser un peu la paroi Mesiale de la 38.

Joli boulot par ailleurs, mais plan de traitement discutable: imaginons qu'en reprenant l'endo de 35 tu casses un instrument: ça flambe et tu decides d'extraire. tu es obligé de mettre un troisieme implant, là ou tu aurais pu n'en mettre que deux.


Humator t9r5wy - Eugenol
humator

21/03/2009 à 10h19

pas mais alors pas du tout d'accord avec toi saint desmotome.

dans ce cas, ou il me semble que:
l'espace 36-37 est réduit.
les racines plutôt longues.
l'os plutôt dense, parodonte intègre.
la courbe de spee sera reconstituée.
coiffes indiquées sur les dents concernées.

Je persiste du coté du bridge. Et pourtant, je suis plus qu'implanto conscient.

Si c'est ma bouche, j'opte direct pour cette solution, car franchement, poser des implants, c'est un plaisir que pour le praticien.

nota bene: faut bien sur pas être une burne en endo!
--
N.Hum


dov

21/03/2009 à 10h23

Selon la position la 38,il y a eu une derive mesiale importante qui est plutot positive(version mesiale minimale).De ce fait l'espace edente s'est reduit a la dimension d'une 36 +. l'anatomie radiculaire de 35 38 permettrait apres retraitement,la construction d'un bridge dont la perenite ne semble pas poser de doute..Reste a completer par un diagnostic clinique.


Fouilla h6plsy - Eugenol
fouilla

21/03/2009 à 19h08


humator écrivait:
-----------------
>
> Je persiste du coté du bridge. Et pourtant, je suis plus qu'implanto conscient.

+1

> Si c'est ma bouche, j'opte direct pour cette solution, car franchement,
+2



> nota bene: faut bien sur pas être une burne en endo!

je suis persuadé que vu la qualité des axes de pose il est loin d'être manche le garçon, mais on pourra toujours lui reprocher de ne pas avoir mis tous les moyens AVANT d'avoir posé les implants pour sauver les dents en question et éviter la pose de ces deux implants car même avec des doutes tu réalises ton travail prothètique "conventionnel" et conventionné et au pire si ça ne marche pas ( ce dont je doute) tu ne perdras tout ce beau nonos ...

voila ce que j'aurai souhaité moi aussi que l'on me réalise j'ai rarement vu un patient me dire qu'au contraire il voulait que l'on mette des implants de réserve au cas ou le reste ne marcherait pas mais peut être qu'en tant de crise il craint (le patient) de ne plus pouvoir se les payer demain et la je comprends certains choix thérapeutiques (car c'est bien de cela dont il s'agit)

allez sans rancunes mais bravo pour la pose en tant que telle !
> --
> N.Hum


Grueavatar nptrc9 - Eugenol
Le Choixpeau magique

21/03/2009 à 19h40

Faudrait arrêter les conneries, quel est la perte de chance pour ce patient de lui avoir posé ces deux implants, j'aimerai bien qu'on m'explique !!!
Que le bridge soit une solution tout à fait envisageable, je ne dis pas le contraire, mais la solution retenue est au MINIMUM aussi pérenne que le pont que vous nous présentez comme la panacée dans ce cas là.
Par contre comme l'a dit hallboy, c'est peut être au niveau de la chronologie qu'on aurait peut être pu agir différemment, parce que si effectivement on se rend compte qu'une des deux dents bordantes est inexploitable, ça va faire un peu la forêt de Sherwood avec les implants supplémentaires....


Logo vuaztn - Eugenol
mac

21/03/2009 à 20h26

Le Choixpeau magique écrivait:
------------------------------

> Par contre comme l'a dit hallboy, c'est peut être au niveau de la chronologie
> qu'on aurait peut être pu agir différemment, parce que si effectivement on se
> rend compte qu'une des deux dents bordantes est inexploitable, ça va faire un
> peu la forêt de Sherwood avec les implants supplémentaires....


d'accord pour la chronologie mais 3 implants pour remplacer une prémo et deux molaires ça ne me semble pas excessif.


200106 10150128247663588 709988587 6466236 5598391 n d7mksb - Eugenol
hallboy

21/03/2009 à 20h34

2 implants et 3 dents non plus.
un bridge et 0 implants non plus aussi;)


Logo vuaztn - Eugenol
mac

21/03/2009 à 21h33

hallboy écrivait:
-----------------
> 2 implants et 3 dents non plus.



ça peut se discuter.


Smile beach jgh0a1 - Eugenol
Céramik

21/03/2009 à 22h19

1-Chronologie un peu discutable, mais bon...
2-Bridge 35 -X-X-38, non mais c'est limite.

Ceux qui reprochent le non respect des ''conventions'' dentaires et des textes sur le sujet...c'est un bridge
34-35-x-x-38 qu'il faut faire ET la périnité de cela VS des implants est moins bonne (dixit Dr Misch, prosthodontiste et implantologiste de renom).

Et moi je dit exo 35, implant 35-36-37 ! ;-)
Ça va faire réagir !
J'aurais refait les endos en 1er.

En fait, il y a 10 façons de gérer ce cas.
J'ai des patients qui me demandent même de remplacer un bridge par un implant pour avoir des dent individuelles losque le bridge est à refaire...En fait, je fais souvent des implants suite à un échec de bridge...avec perte d'une des dents pilliers

A +

--
Céramik


Christophe13

22/03/2009 à 10h08

La question de refaire les endos avant est judicieuse, mais je préfère les reprendre pendant le délai de cicatrisation des implants car bien que ne m'appelle pas Stéphane, Fréderic ou Willy, je devrai pas rencontrer de pb sur 35 en tout cas, sur 38 si il ya souci elle sortira...
- Médicalement celà me semble aussi justifié que de les faire avant car une fois les reprises endo terminées on termine le cas en entier, alors que si on les fait avant on risque de laisser les provisoires + longtemps avec les risques de descellement à répétition et percolation.
- Celà permet de réduire la durée du traitement et de pas émousser la motivation du patient par des séances d'endo longues et fastidieuses où il ne comprend pas trop ce qu'on lui fait.

Quant au bridge sincèrement vu la 38( hauteur clinique et endo) c'est risqué, mais si les implants n'existait pas j'aurais 34/35-38


Smile beach jgh0a1 - Eugenol
Céramik

22/03/2009 à 21h57

Christophe13 écrivait:
----------------------
> La question de refaire les endos avant est judicieuse, mais je préfère les
> reprendre pendant le délai de cicatrisation des implants car bien que ne
> m'appelle pas Stéphane, Fréderic ou Willy, je devrai pas rencontrer de pb sur 35
> en tout cas, sur 38 si il ya souci elle sortira...
> - Médicalement celà me semble aussi justifié que de les faire avant car une fois
> les reprises endo terminées on termine le cas en entier, alors que si on les
> fait avant on risque de laisser les provisoires + longtemps avec les risques de
> descellement à répétition et percolation.
> - Celà permet de réduire la durée du traitement et de pas émousser la motivation
> du patient par des séances d'endo longues et fastidieuses où il ne comprend pas
> trop ce qu'on lui fait.
>
> Quant au bridge sincèrement vu la 38( hauteur clinique et endo) c'est risqué,
> mais si les implants n'existait pas j'aurais 34/35-38



+1

A+

--
Céramik


Amibien

22/03/2009 à 22h12

A écouter Hallboy on finirait par croire que c'est mieux de faire morfler deux racines à y faire travailler trois dents que de mettre une racine artificielle à la place de la dent perdue ?

Franchement, vous n'avez pas l'impression que de décider de poser un bridge sur dents naturelles vous est chuchoté à l'oreille d'Outre-Tombe ?

Il est temps de vous secouer les puçes et d'enlever les toiles d'araignées...


ned

23/03/2009 à 20h54

Concernant les implants IDI
Que penser de la qualité de ces implants et du sérieux de la Société.
En tout cas leurs propositions tarifaires sont intelligentes par ces temps de crise.


Homer simpson wallpaper brain 1024 f4t8dv - Eugenol
Jpeg

24/03/2009 à 22h31

En tout cas, leur nouvel implant semble intéressant; j'ai vu le représentant il y a peu, et je suis tenté. Comme tu le dis Ned, en plus, leur politique commerciale n'est pas dénuée de sens, et a su me toucher, je l'avoue!
Pour ce qui concerne le sérieux de la société, il semble difficile de prédire l'avenir, mais a priori, il sont l'air de fournir pas mal de praticiens. Au pire, Nobel les rachètera !


ptitbobo

16/05/2009 à 18h55

IDI EST UNE SOCIETE QUI EXISTE DEPUIS 1987 ET QUI INOVE REGULIEREMENT DEPUIS TOUTES CES ANNEE CE SONT QUASIMENT EUX LES PREMIERS A AVOIR FAIT DU SABL2 MORDANCE A L ACIDE; BREF LE SEUL REPROCHE QUE JE LEURS FAISAIT ETAIT LEUR CONECTIQUE IMPLANTAIRE DEPUIS L ID CAM C EST MIEUX MAIS PAS ENCORE PARFAIT MAIS CES GENS TRAVAILLENT ET REFLECHISSENT.

CONCERNANT CE CAS JE JE VOUS DIS BRAVO POUR LA PERTE DE TEMPS POUR MOIS CE CA EST TRAIT2E SELON UNE CHRONOLOGIE PEU ETRE PAS COMPLETEENT LOGIQUE MAIS J AURAI FAIT PAREIL D AUTRE PART 0 TOUS LES REPRENEURS DE TRAITEMENTS ENDO IL ME SEMBLE QUE LE TAUX DE REUSSSITE DES RTE EST INFERIEUR A 50% ALORS BRAVO LES CHAMPIONS FAITES DES BRIDGE PLEIN POT SUR DES RTE AVEC UNE LONGUE PORT2E UNE 38 DEGUEULASSE ET UNE PREMO QUI VA SE FENDRE EN DEUX SOUS 10 ANS AVEC LA SURCHARGE DUE AU BRIDGE

POUR MOI CAS INTELIGEMENT TRAITE MAIS CERTAIN VEULENT A TOUS PRIX CRITIQUER SANS DOUTE PAR JALOUSIE DEVANT UNE BELLE POSE D IMPLANT BRAVO A SON AUTEUR ET BOUUUUU LES CRITIQUES


Statue modif qbkm6l - Eugenol
Dr Patsch Hans

16/05/2009 à 20h02

ach! tu n'as pas pris tes gouttes?


12