Cookie Consent byPrivacyPolicies.combéance (pour ciwil) - Eugenol

béance (pour ciwil)

1 p3qrc4 - Eugenol
Bjc.

25/03/2009 à 21h31

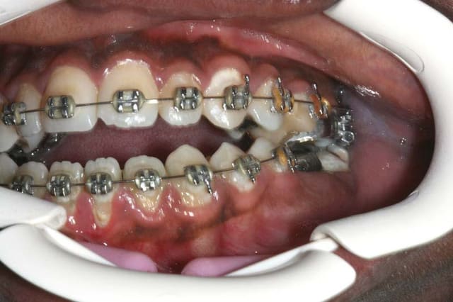
19 ans, 2 ans de ttt. !!!

Img 1 ejintw - Eugenol
Img 3 cwkzcq - Eugenol
Img 2 oiakys - Eugenol

Zoe   son arriv e whwqpj - Eugenol
emma

25/03/2009 à 21h33

faut p'tre rééduquer la langue


--
Emma


Grueavatar nptrc9 - Eugenol
Le Choixpeau magique

25/03/2009 à 21h37

Si tes messages pouvaient être un peu moins lapidaires, bjc, on comprendrait mieux...
Je suppose qu'il faut comprendre que ce patient a eu deux ans d'ortho pour arriver à ce résultat qu'on peut juger médiocre, c'est ça ?


1 p3qrc4 - Eugenol
Bjc.

25/03/2009 à 22h03

voici les moulages de départ

j'ai été lapidaire parce que j'ai eu peur d'être grossier

P.S.: chere Emma, je pense que c'est l'ortho qu'il faudrait réeduquer!


1 p3qrc4 - Eugenol
Bjc.

25/03/2009 à 22h42

et encore, je vous ai pas montré le transpalatin qui rentre dans le palais
par contre, les caries et l'absence de motivation de brossage sont clairement visible

@+ Bjc.


1 p3qrc4 - Eugenol
Bjc.

26/03/2009 à 13h04

pourquoi j'ai mis ce cas?

parce que le Pb. n'est pas comment le récupérer, mais est-il récupérable?

en tous les cas par moi

@+ Bjc.


Images 1 qtgoxf - Eugenol
ciwil

26/03/2009 à 13h54

primum non nocere

peut-on rapprocher ton cas de celui-là ?
http://www.orthodontie-fr.com/modules/news/article.php?storyid=80


1 p3qrc4 - Eugenol
Bjc.

27/03/2009 à 13h12

site intéressant, qui parle de sur-positionnements (voilà qui devrait plaire à jeamba)
belle utilisation des élastiques de fermeture de béance, qui sera stable si les arcades ont été reformées, je n’en suis pas sur, car des élastiques ont été placés sur les arcs.

ciwil:
"peut-on rapprocher ton cas de celui-là ?"

on peut, en effet, à la différence près, c’est un cas qui a été traité 2 ans, j’attends les Rx. pour voir s’il n’y a pas d’autres dégâts.
Je vais montrer les photos d’arcades, de toute manière, c’est un cas casse gueule !


dento-sofiene

03/04/2009 à 00h11

je crois que tu dois commencer par traiter ton sens transversal bjc sur la foto de face on voit bien un défaut de largeur maxillaire et une déviation mandibulaire.


jamrah

18/10/2010 à 16h15

Je ne cois pas qu un ortho bien averti puisse arriver a un tel resultat(cata)!!!
Ou en etes vous avec lui BJC????