Tous les forums
sinus lift et hyperplasie
28/03/2009 à 23h06
est ce qu une hyperplasie de la muqueuse occupant environ 1/3 du sinus max est elle une contre indication a un sinus lift( permeabilité du meat moyen existante)
merci de vos reponses
28/03/2009 à 23h34
alainr écrivait:
----------------
> est ce qu une hyperplasie de la muqueuse occupant environ 1/3 du sinus max est
> elle une contre indication a un sinus lift( permeabilité du meat moyen
> existante)
> merci de vos reponses
1/3 du sinus ? Wow beaucoup pour une muqueuse...
Kyste de rétenton muqueux ?
Scan ?
Ablation suggérée...
--
Céramik
29/03/2009 à 08h58
Bonjour,
Ton image d'hyperplasie est-elle en cadre , en coucher de soleil, il y a t-il des antécédents de sinusite? Demande l'avis et l'autorisation à un ORL si tu as le moindre doute? Dans ce cas c'est médico-légalement obligatoire.
A+
29/03/2009 à 15h58
Il te reste les 2/3 et au moins si tu déchires la membrane tu as de la marge avant de te retouver dans la lumière.
(:-))
Si c'est unilobé tu peux y aller, ponctionne au passage avec une seringue avant de proposer le bio oss.
Le mieux est de poster une pano.
29/03/2009 à 16h26
si tu veux etre tranquille demande l'avis de l'ORL. Dans la majorité des cas il s'agit de polypes dont la forme est caractéristique (image en coucher de soleil)et n'est pas pathologique. Si c'est un polype, c'est plus facile à soulever la membrane car elle est plus epaisse.
L'avis de l'ORL te permettra d'eliminer les affections du sinus qui ne permettent pas son soulevé comme:
-les tumeurs malignes associées à une destruction osseuse
-les polyposes nasosinusiennes souvent marquées par une obstruction nasale
-les mucocèles suite à la fermeture de l'ostium
-les sinusites maxillaires d'origine rhinogene
-les sinusites maxillaires d'origine dentaire
Dans tous les cas ne fais pas de soulevé sinusien si tu ne sais pas ce que c'est.
29/03/2009 à 20h51
L'avis de l'ORL est très important mais si tu veux y aller sans avis et que tu ponctionnes comme tu dis une tumeur maligne...
30/03/2009 à 00h00
merci de vos eclaircissements je mets en ligne le scan demain au cab
L image est en coucher de soleil unilaterale avec peut etre un residu de racine ou autre (opacite similaire aux dents ,noyé dans l hyperplasie) il n ya pas d antecedents de sinusite ni de destruction osseuse
ma question etait egalemnt au sens large, pour des hyperplasies regulieres d environ 2 à 3 mm asymptomatiques,sans foyer dentaire a proximité, faut t il faire traiter? ou cela sert t il pour eviter une rupture de membrane?
30/03/2009 à 00h04
killer écrivait:
----------------
> L'avis de l'ORL est très important mais si tu veux y aller sans avis et que tu
> ponctionnes comme tu dis une tumeur maligne...
Peut-être que cette ponction sauvera la vie du patient ?
Il m'est arrivé une fois d'effondrer un plancher sinusal et d'envoyer une dent dans le sinus, c'est ce geste qui a permis de diagnostiquer une saloperie qui a pu être opérée à temps. Comme quoi...
Mais Killer a raison sur le fond, il ne faut pas tenter le diable. En cas de doute, pourquoi ne pas opérer avec l'ORL ?
30/03/2009 à 00h32
Re: sinus lift et hyperplasie
Par alainr aujourd'hui à 22:00
merci de vos eclaircissements je mets en ligne le scan demain au cab
L image est en coucher de soleil unilaterale avec peut etre un residu de racine ou autre (opacite similaire aux dents ,noyé dans l hyperplasie) il n ya pas d antecedents de sinusite ni de destruction osseuse
ma question etait egalemnt au sens large, pour des hyperplasies regulieres d environ 2 à 3 mm asymptomatiques,sans foyer dentaire a proximité, faut t il faire traiter? ou cela sert t il pour eviter une rupture de membrane?
En cas d'epaississement de la muqueuse sinusienne(asymptomatique),il n'y à rien à traiter, c'est juste une inflammation de la muqueuse, ta membrane sera plus epaisse et donc il sera moins risqué de la perforer
30/03/2009 à 23h27
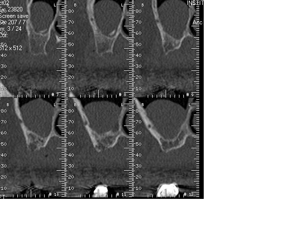
les scans donc.; sur la coupe 7 et 8 haut droite on voit un residu de je sais trop quoi, vraisemblablement l yperplasie est est due à cela..
04/04/2009 à 23h09
Radiographiquement ca ressemble à un polype mais ce qui me gene c'est le residu qu'on voit dans le sinus. Si c'est la cause de l'inflammation, envoie ton patient chez l'ORL...c'est plus sure. tu as egalement de sacrés septa ton decollement ne sera pas evident.
06/04/2009 à 01h13
ni la fenetre ou plutot les.....
mais ya toujours possib de s'aider de cathé urinaires pour passer là ou c'est difficile
07/04/2009 à 11h24
salut damdam
g pas très bien compris ce que tu fais avec tes cathés urinaires
07/04/2009 à 14h55
çà décolle la membrane terriblement bien une fois que t'as un peu attaqué sur les bords de la fenetre avec une curette classique...
j'ai pas pris les bonnes photos
en fait sur le cathé t'as un balonnet de 2cc environs
çà sert peut etre à rien mais çà me sécurise au moins pour les remiers..... on verra après je suis pas un pro
07/04/2009 à 16h14
Les résidus, ossifications intra membranaires, si possible les enlever au décollement, attention à la déchirure. J'ai un cas avec des chapelets de petits os de ce type. J'hésite à y aller. Le gars n'a pas encore repris rendez-vous.
07/04/2009 à 16h47
damdam écrivait:
----------------
> çà décolle la membrane terriblement bien une fois que t'as un peu attaqué sur
> les bords de la fenetre avec une curette classique...
> j'ai pas pris les bonnes photos
> en fait sur le cathé t'as un balonnet de 2cc environs
> çà sert peut etre à rien mais çà me sécurise au moins pour les remiers..... on
> verra après je suis pas un pro
ah ok!! mais les ballonnets sont plus un gadget commercial, g un confrere qui a perforé avec, je pense pas que tu maitrises le decollement de la muqueuse sinusienne. Meme le piezotome, je l'ai mais je l'utilise pas pour le decollement. Dans le cas d'alainir, s'il s'agit d'ossification intramembranaire(Amibien)?,alors tu peux y aller mais moi je ferai deux fenetres laterales de part et d'autre du septum mesial sur la radio
10/04/2009 à 23h56
killer écrivait:
----------------
> ah ok!! mais les ballonnets sont plus un gadget commercial, g un
> confrere qui a perforé avec, je pense pas que tu maitrises le
> decollement de la muqueuse sinusienne.
C'est comme avec tout. Le décollement avec le ballonnet nécessite tout comme avec le piézotome une technique particulière. Ce n'est pas parce que ton pote a subi un échec que la technique est mauvaise !! Elle est simplement operateur dépendante. Choix du bon ballonnet, choix du volume insufflé, .... Il n'y a rarement de mauvais instrument, juste de mauvais utilisateur. Quant elle est maitrîsée cette technique donne de très bon résultat.
> Dans le cas d'alainir, s'il s'agit d'ossification
> intramembranaire(Amibien)?,alors tu peux y aller mais moi je ferai
> deux fenetres laterales de part et d'autre du septum mesial sur la > radio
Tout à fait d'accord avec toi. Comme dans le cas suivant ou avec le piézo j'ai découpé 2 fenetres latérales de part et d'autre du septum que j'ai ensuite refoulées dans le sinus après élévation de la membrane de Schneider. Mise en place de mon implant dans le septum puis comblement sinusien classique.
Amicalement
Olivier
11/04/2009 à 12h23
C'est comme avec tout. Le décollement avec le ballonnet nécessite tout comme avec le piézotome une technique particulière. Ce n'est pas parce que ton pote a subi un échec que la technique est mauvaise !! Elle est simplement operateur dépendante. Choix du bon ballonnet, choix du volume insufflé, .... Il n'y a rarement de mauvais instrument, juste de mauvais utilisateur. Quant elle est maitrîsée cette technique donne de très bon résultat
J'ai dit gadget commercial car on presentait le ballonet comme une revolution. La technique est bien sur operateur dependante mais cet operateur doit savoir que le ballonnet n'est pas le remède. "Il n'y a rarement de mauvais instrument, juste de mauvais utilisateur"...un peu pretentieux.
Je pense pas qu'avec le ballonet tu puisses controler ton decollement de la muqueuse dans la cas de sinus volumineux ou en presence de septa. En revanche pour le remplacement d'une voire deux dents si Summers pas possible, je dirai que là ce serai peut etre utile.
Pour le piezotome, bien sur il a fait ses preuves le nombre de perforations est largement diminué mais c très long. Dans le cas de sinus-lifts bilateraux je ne me vois pas utiliser que le piezotome. En cas d'adherences oui le piezotome peut etre utile. Personnellement la meilleure technique reste la curette.
Cordialement
11/04/2009 à 12h46
killer écrivait:
----------------
> La technique est bien sur operateur dependante mais cet operateur
> doit savoir que le ballonnet n'est pas le remède.
Non effectivement, c'est un outil ... avec ses indications et ses limites.
> "Il n'y a rarement de mauvais instrument, juste de mauvais
> utilisateur"...un peu pretentieux.
Je ne crois pas non. Il s'agit de poser les bonnes indications et de connaitre l'instrument à utiliser.
> Je pense pas qu'avec le ballonet tu puisses controler ton
> decollement de la muqueuse dans la cas de sinus volumineux
C'est justement dans ce cas que le ballon est tout indiqué : simple, rapide et peu risqué.
> Personnellement la meilleure technique reste la curette.
... dans tes mains, n'oublies pas de le préciser !!
Je n'ai jamais dit que tous les sinus lift peuvent être gérés avec la technique du ballon, j'ai juste dit que cette technique quand elle est indiquée et maîtrisée donne de bon résultat.
Amicalement.
Olivier.
11/04/2009 à 14h49
> Je pense pas qu'avec le ballonet tu puisses controler ton
> decollement de la muqueuse dans la cas de sinus volumineux
C'est justement dans ce cas que le ballon est tout indiqué : simple, rapide et peu risqué.
A prouver...
> Personnellement la meilleure technique reste la curette.
... dans tes mains, n'oublies pas de le préciser !!
c'est pour ca que j'ai dit personnellement. Si tu preferes "personnellement la meilleure technique reste la curette dans mes mains". Pardon
Bon je deconne mais pour le ballonnet j'aimerais bien avoir des publications qui prouvent son efficacité.
Cordialement.
Jean-Yves