Cookie Consent byPrivacyPolicies.comappareil photo numerique - Eugenol

appareil photo numerique

Manolito wom2of - Eugenol
manolito

01/04/2009 à 10h30

est ce que les petits appareils compacts équipés d'objectifs macro et de diffuseurs de lumiere sont suffisants pour tout ce qui est communication avec le labo, ou est il préférable de s'équiper d'un reflex?


cyberquenottes

01/04/2009 à 10h50

si c'est pour le cabinet , un "petit" appareil n'est pas indispensable

perso je prefere les bridges , meilleure qualité et petit prix

et ma preference va vers la reference du genre les panasonic serie FZ

--
.
.
.
.
.
.CE N'EST PAS TERMINE , les signataires se déchaînent....
.
.SIGNEZ LA PETITION JULIE ICI :

!!!!!!! MERCI AUX 111 PREMIERS QUI ONT SIGNE !!!!!!!

http://www.mesopinions.com/pour-supprimer-les-nouveaux-controles-de-droits-inclus-dans-la-version-3-31-de-JULIE-petition-petitions-38d6097a26a6eb6b5db29a71c7a8bbdd.html


Grumpy cat ifik8s - Eugenol
radich_a_tord

01/04/2009 à 10h58

Franchement vu le prix d'un adaptateur macro + compact, autant s'équiper d'un reflex 1er prix avec objectif macro 100 ou 105mm.
Tout dépend du niveau d'exigence que tu as avec tes images.

Vite fait je viens de trouver un nikon D40 à 300 € ou un Canon 1000D à 350 €
Il faut compter un peu plus pour l'objectif macro (450€ pour un sigma monture nikon, 500-520 pour le canon 100mm).

Si ça ne te suffit pas, dans un second temps tu pourras investir dans un flash annulaire ou déporté (multipoint).

Ci joint une partie de ma thèse (datée de l'an dernier)


Tonton Phot

01/04/2009 à 20h38

Un appareil compact équipé d'un kit macro dentaire type CANON G10 peut parfaitement convenir. L'ensemble est petit et léger simple d'emploi avec ses 2 mémoires de réglages qui poerettent de retrouver instantanément ses marques.
Un reflex conviendra également bien entendu. N'oubluez pas que cet investissement doit être considéré comme ujn outil et non pas comme un gadget à la mode.
Pour certains le petit compact est rassurant car léger et simple, pour d'autres ce sera d'avoir un reflex plus lourd et plus cher. Les 2 ont raison puisque les 2 types conviennent. A priori, vers quoi va votre préférence ?


Grumpy cat ifik8s - Eugenol
radich_a_tord

02/04/2009 à 00h45

Un reflex aussi est simple d'utilisation une fois le protocole de prise de vue mis en place.

- Molette sur Mode priorité ouverture (Av chez Canon)
- réglage f supérieur à 8. Si une partie de la photo est floue, augmenter le f.
- ISO à 400 et moins. Le plus bas est le mieux.

De plus avec un objectif macro pas besoin de zoomer-dezoomer pour trouver le bon cadre et attendre que l'autofocus "accroche" la mise au point.

Ensuite on voit si les photos sont nettes et satisfaisantes. Si ça n'est pas le cas, il y a un problème d'éclairage.

Un compact de bonne qualité peut servir dans une utilisation légère et occasionnelle.


RépondreCiter
Smile beach jgh0a1 - Eugenol
Céramik

02/04/2009 à 00h52

radich_a_tord écrivait:
-----------------------
> Un reflex aussi est simple d'utilisation une fois le protocole de prise de vue
> mis en place.
>
> - Molette sur Mode priorité ouverture (Av chez Canon)
> - réglage f supérieur à 8. Si une partie de la photo est floue, augmenter le f.
> - ISO à 400 et moins. Le plus bas est le mieux.
> --


Pour la macro photo dentaire, les images seront beaucoup plus nettes et belles avec un f-Stop le plus grand possible.
f-Stop de 29 et plus.

Avec Canon
1-Mode Manuel (M)
2-f-stop 29 et plus
3-ISO 100
4-Vitesse 1/160
5-White balance : flash
6-Ring flash Canon


Céramik


Audi tt 2007 jzsdts - Eugenol
sbire

02/04/2009 à 00h59

et pour un nikon?


Smile beach jgh0a1 - Eugenol
Céramik

02/04/2009 à 01h05

sbire écrivait:
---------------
> et pour un nikon?


Faire des tests, mais le concept est le même.
Je travaille avec canon depuis 2004 (compact G3, puis Eos numérique et maintenant le 450D.

J'ai vu un type parler de photo numérique dentaire en conférence, et avec son Nikon D300, il était en mode Manuel et f-Stop de 45...

--
Céramik


Grumpy cat ifik8s - Eugenol
radich_a_tord

02/04/2009 à 09h14

Avec un f trop grand on rentre dans d'autres problèmes (tels que la diffraction, très nette au delà de f 16 sur un capteur APS-C, moins grave sur un capteur Full Frame)

Concrètement on a une image beaucoup plus douce et floue, qui manque de piqué pour utiliser un mot de photographe.

Je reste sur mon conseil de rester sur un f inférieur à 22 et supérieur à 8.

On pourrait aussi largement parler de la balance des blancs et de son étalonnage.

Maintenant chacun fait ses propres essais en fonction de son matériel.


Img 0812 mvp6i0 - Eugenol
jeamba

02/04/2009 à 12h53

Céramik écrivait:
-----------------

> Je travaille avec canon depuis 2004 (compact G3, puis Eos numérique et
> maintenant le 450D.
Quel objectif utilises-tu pour le 450 D ?
Merci.


Dog wwyerg - Eugenol
Antony

03/04/2009 à 15h34

Toutes vos discussions sur les ouvertures, les fermetures,... dont je n'y entend que pouic, m'ont convaincu de rester dans les bridges (panasonic fz...) où un seul réglage dispo dès l'ouverture (ouverture en mode macro) suffit pour des photos de qualité.
J'en ai un dans chaque salle de soins et ce sont mes assistantes qui bombardent.


--

Antony


Manolito wom2of - Eugenol
manolito

04/04/2009 à 11h03

et est ce que les photos sont exploitables par un prothesiste pour determiner la teinte et la rugosité de surface des dents?


003 penrd2 - Eugenol
Cingulum

04/04/2009 à 11h42

tu pourrais montrer des photos antony... pour qu'on puisse voire ce que ça donne ?

--
Dr Cingulum
-----Ancien interné----
----Attaché à l'apex----


Grumpy cat ifik8s - Eugenol
radich_a_tord

04/04/2009 à 14h32

Antony écrivait:
----------------
> Toutes vos discussions sur les ouvertures, les fermetures,... dont je n'y entend
> que pouic, m'ont convaincu de rester dans les bridges (panasonic fz...) où un
> seul réglage dispo dès l'ouverture (ouverture en mode macro) suffit pour des
> photos de qualité.
> J'en ai un dans chaque salle de soins et ce sont mes assistantes qui bombardent.
>
>
> --
>
> Antony

Justement, j'ai donné dans mon 1er post un protocole utilisable pour quelqu'un qui n'y connait rien en photo.
Ensuite il y a eu un autre avis, j'ai justifié le mien sur des bases techniques, qui sont inutiles pour un simple utilisateur.

Les bridges sont en général comme les compacts bien plus compliqués, avec des modes scene, détection du sourire etc.

Pour les objectifs monture Canon, tu as :

Tamron AF 90mm f/2.8 Di SP macro Très bon objectif pas cher
Sigma AF 105mm f/2.8 EX macro DG Idem
Canon EF 100mm f/2.8 USM Plus cher, optiquement aussi bien mais avec un autofocus plus rapide et moins bruyant


Blason dql7mj - Eugenol
growler

04/04/2009 à 14h36

nikon D 80, flash sigma, obj sigma 105
f18 en ttl

2009 04 04b 004 eimusl - Eugenol

Smile beach jgh0a1 - Eugenol
Céramik

07/04/2009 à 05h37

growler écrivait:
-----------------
> nikon D 80, flash sigma, obj sigma 105
> f18 en ttl


Pour une photo avec plan assez "plat", un f 18 c'est OK,
mais j'utilise rarement plus petit que f-25.
Mais pour une arcade vue de face, c'est trop juste.


Pour l'autre question, j'ai un Sigma 105mm EX macro sur mon Canon 450D.


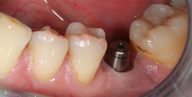
Pour Growler...photo implant
f-32, Canon 300D, Ring Flash Canon, Sigma 105 mm




PS Canon sort aux USA, le Rebel T1-i :
Capteur 15 Mpixels
Digic-4 (Comme le 5D Mark-II, qui fait 22 Mpixels !))
Video HD (1080) (comme le 5D mark-II)
Pour $800 US.
(le 1/3 du 5D Mark-II, qui a un capteur pleine grandeur)

J'ai hâte à Noël !


--
Céramik

Implant 43 imm - Eugenol

Smile beach jgh0a1 - Eugenol
Céramik

08/04/2009 à 04h46

growler écrivait:
-----------------
> nikon D 80, flash sigma, obj sigma 105
> f18 en ttl


Sorry my friend, mais je trouve ta photo floue...
La dent est floue, l'implant moins.
Un f-stop de 29, et tout est OK...

;-)

--
Céramik


Smile beach jgh0a1 - Eugenol
Céramik

08/04/2009 à 05h04

radich_a_tord écrivait:
-----------------------
> Avec un f trop grand on rentre dans d'autres problèmes (tels que la diffraction,
> très nette au delà de f 16 sur un capteur APS-C, moins grave sur un capteur Full
> Frame)
>
> Concrètement on a une image beaucoup plus douce et floue, qui manque de piqué
> pour utiliser un mot de photographe.


Pas en accord, l'image n'est pas plus douce et floue avec un f-stop plus grand, c'est le contraire.
Toute mes sources d'infos (cours, manuels, internet, et mes 5 ans de photo dentaires)m'indiquent qu'un f-stop élevé est recherché (f-25 et plus).

En vue raprochée (1:1), f-40/45 donne de très belles photos, nettes et très détaillées



>
> Je reste sur mon conseil de rester sur un f inférieur à 22 et supérieur à 8.
>
> On pourrait aussi largement parler de la balance des blancs et de son
> étalonnage.
>

Pourquoi pas ?
Et le spectre de couleurs, la netteté, l'histogramme balancé, le jpeg VS RAW, etc.



--
Céramik


Grumpy cat ifik8s - Eugenol
radich_a_tord

08/04/2009 à 09h23

Céramik écrivait:
-----------------
> En vue raprochée (1:1), f-40/45 donne de très belles photos, nettes et très
> détaillées
> --
> Céramik

Un lien très bien fait, vite fait. Forcément on rentre un peu dans des notions d'optique : http://www.cambridgeincolour.com/tutorials/diffraction-photography.htm

Sur l'exemple on voit qu'à partir d'une certaine ouverture, l'image perd de son piqué, l'impression de netteté de l'image s'atténue. Il ne faut pas confondre ce manque de netteté avec un manque de profondeur de champ (une zone de l'image est floue, dans la profondeur). Ce phénomène est très visible sur les clichés avec un genre de "trame", plutôt pas le cas en dentaire.

Bon après l'essentiel c'est d'être satisfait de ses images.


Smile beach jgh0a1 - Eugenol
Céramik

09/04/2009 à 04h26

radich_a_tord écrivait:
-----------------------
> Céramik écrivait:
> -----------------
> > En vue raprochée (1:1), f-40/45 donne de très belles photos, nettes et très
> > détaillées
> > --
> > Céramik
>
> Un lien très bien fait, vite fait. Forcément on rentre un peu dans des notions
> d'optique :
> http://www.cambridgeincolour.com/tutorials/diffraction-photography.htm
>
> Sur l'exemple on voit qu'à partir d'une certaine ouverture, l'image perd de son
> piqué, l'impression de netteté de l'image s'atténue. Il ne faut pas confondre ce
> manque de netteté avec un manque de profondeur de champ (une zone de l'image est
> floue, dans la profondeur). Ce phénomène est très visible sur les clichés avec
> un genre de "trame", plutôt pas le cas en dentaire.
>
> Bon après l'essentiel c'est d'être satisfait de ses images.


=============================================

Merci pour l'info
Je vais faire des tests avec f-11 et f-29, même si je pense que f-11 , c'est trop petit.

A+

--
Céramik


Blason dql7mj - Eugenol
growler

09/04/2009 à 09h57

Céramik écrivait:
-----------------
> growler écrivait:
> -----------------
> > nikon D 80, flash sigma, obj sigma 105
> > f18 en ttl
>
>
> Sorry my friend, mais je trouve ta photo floue...
> La dent est floue, l'implant moins.
> Un f-stop de 29, et tout est OK...
>
> ;-)
>
> --
> Céramik


oui, je sais mais j'ai justement un souci: à partir de f22 mes photos sont sous-exposées et je ne parviens pas à résoudre le problème.....peut-être devrais-je augmenter la sensibilité? quelle valeur de sensibilité paramètres-tu ?

@+


Logo vuaztn - Eugenol
mac

09/04/2009 à 10h36

canon 350D+ tamron 90 + flash sigma

Img 5443 yrynm2 - Eugenol

Smile beach jgh0a1 - Eugenol
Céramik

10/04/2009 à 02h32


Salut Growler,

Mes réglages :

Canon 450D
Manuel mode
f-29 (ou +)
ISO 100
Vitesse 1/160
Flash ETTL +1 (Canon Ring MR-14-X)

--
Céramik


Smile beach jgh0a1 - Eugenol
Céramik

10/04/2009 à 02h35

mac écrivait:
-------------
> canon 350D+ tamron 90 + flash sigma


Nice !

ISO ?
f-Stop ?
Mode ?

--
Céramik


Logo vuaztn - Eugenol
mac

10/04/2009 à 11h19

Céramik écrivait:
-----------------

> Nice !
>

thank's

> ISO ? 800
> f-Stop ? 25
> Mode ? manuel 1/200


Céramik c'est toi qui a parlé du nouveau canon, 500D chez nous, tu crois qu'on pourra filmer des chirs en qualité correcte?

j'hésite à changer mon 350 il commence à se faire vieux, mais je sais pas si on verra la différence en terme de qualité.