Cookie Consent byPrivacyPolicies.comappareil photo numerique - Eugenol

appareil photo numerique

Smile beach jgh0a1 - Eugenol
Céramik

10/04/2009 à 16h40

mac écrivait:
-------------
> Céramik écrivait:
> -----------------
>
> > Nice !
> >
>
> thank's
>
> > ISO ? 800
> > f-Stop ? 25
> > Mode ? manuel 1/200
>
>
> Céramik c'est toi qui a parlé du nouveau canon, 500D chez nous, tu crois qu'on
> pourra filmer des chirs en qualité correcte?
>
> j'hésite à changer mon 350 il commence à se faire vieux, mais je sais pas si on
> verra la différence en terme de qualité.


ISO 800, je suis surpris...faut dire que l'image réduite qu'on voit sur Eugénol n'est pas la meilleur façon de voir...Je fais des présentations et sur un écran de 3X4 m et plus, on voit beaucoup les défauts des photos...

J'avais un très bon Canon 300D (snif...), changé pour 450D il y a 8 mois (déjà plus de 2800 photos !). Conserve ton 350D à la clinique et si tu veux prend le 500D pour t'amuser. De toute façon, 2 appareils, c'est pratique.

Pour la vidéo, je crois que ça sera très ''hot'', mais je pense attendre les premiers tests (www.dpreview.com).
Tu peux aussi trouver une caméra numérique pour pas trop cher et placer sur un trépied.




--
Céramik


Logo vuaztn - Eugenol
mac

10/04/2009 à 16h58

je fais tout à 800 ISO


le lien pour la photo originale, dis moi si tu vois des défauts.


http://www.sendspace.com/file/job1wu


Photo pluton1b h9n4ea - Eugenol
pluton

10/04/2009 à 17h02

moi, je garde mon 350D pour la clinique, largement suffisant....mais pour m'amuser...j'ai craqué pour le 50D...un régal au niveau du viseur comparé au 350D qui paraît du coup petit comme un trou de serrure...et les 15 Mpix et la priorité Ht lumière permettent quelques fantaisies d'exposition sans effets de "trou blanc"...
pour la construction, là aussi rien à voir...le boîtier fait "pro", on l'a bien en main, et toutes les touches sont bien placées et intuitives...(sauf le testeur de profondeur de champ...mais çà c'est pas une nouveauté chez Canon...);-))


Mosquitogif zt3c7k - Eugenol
mosquito

10/04/2009 à 17h43

,pluton écrivait:
----------------
> moi, je garde mon 350D pour la clinique, largement suffisant....mais pour
> m'amuser...j'ai craqué pour le 50D...un régal au niveau du viseur comparé au
> 350D qui paraît du coup petit comme un trou de serrure...et les 15 Mpix
____________________

tout à fait d'accord pour le viseur ,et tu n'as pas de pb de front ou backfocus ? ça à l'air d'une maladie récurrente sur les nouveaux modèles .


Photo pluton1b h9n4ea - Eugenol
pluton

10/04/2009 à 17h48

non, pas constaté ce genre de désagrément...et en plus...le cas échéant...un réglage de mise au point fine par objectif est mémorisable par l'appareil...c'est l'avantage de passer en modèle expert...par rapport aux gammes grand public...


Blason dql7mj - Eugenol
growler

10/04/2009 à 19h17

100 iso pour toi ceramik!?

en dessous de 800 iso et >=f22 je suis franchement sous-ex

je me demande si ce n'est pas le i-ttl de mon flash qui ne poserait pas problème.

@+



Avatar transparent iqadnc - Eugenol
adhoc

10/04/2009 à 19h21

Ces geeks, avec leurs apn (mais je les aime bien!) :-)))


Photo pluton1b h9n4ea - Eugenol
pluton

10/04/2009 à 19h24

growler écrivait:
-----------------
> 100 iso pour toi ceramik!?
>
> en dessous de 800 iso et >=f22 je suis franchement sous-ex
>
> je me demande si ce n'est pas le i-ttl de mon flash qui ne poserait pas
> problème.
>
> @+
>
>
100 iso pour moi aussi...mais comme ceramik...j'ai un flash Canon...pas dit, en effet, que ton flash soit bien réglé en i-ttl...


Blason dql7mj - Eugenol
growler

10/04/2009 à 19h57

problème résolu: j'ai mis le flash en "manuel" à pleine puissance, f32 200 iso c'est nickel.

donc il semblerait que la compatibilité i-ttl du flash sigma laisse à désirer (à moins que ce soit moi qui ne sache pas le paramétrer comme il faut.

je vais donc me faire des réglages en manuel pour tous les rapports de grossissements: 1:1 1:2 etc...

@+


nt

12/04/2009 à 19h18

Bonjour

Si j ai bien compris ce qui a été écrit il y a qq jours, il vaut mieux avoir un objectif de plus de 100mm alors... Evidemment je me suis lancée et ai acheté un 60. Ma configuration est - canon EOS 1000D
- Flash annulaire interimage emoblitz digital ttl
- objectif macro canon EF-60mm

Qu'en pensez vous?
Pour ma part avec les essais que j'ai faits je suis moyennement satisfaite ou alors suis pas douée en réglage
Merci


Audi tt 2007 jzsdts - Eugenol
sbire

12/04/2009 à 19h37

ben pourtant c'est simple, non ;)

--
sbire


Grueavatar nptrc9 - Eugenol
Le Choixpeau magique

12/04/2009 à 19h38

nt écrivait:
------------
> Bonjour
>
> Si j ai bien compris ce qui a été écrit il y a qq jours, il vaut mieux avoir un
> objectif de plus de 100mm alors...

Pourquoi ?
Entre 60 et 105, tu peux obtenir les mêmes cadrages, mais avec une distance de prise de vue (et donc des perspectives) différentes.
Selon l'utilisation (ortho ?), je ne sais pas quelle est la focale la plus intéressante.

> Pour ma part avec les essais que j'ai faits je suis moyennement satisfaite ou
> alors suis pas douée en réglage


Pourrais-tu nous montrer quelques photos, pour voir si c'est plus un problème de réglages ou de technique ?


Grueavatar nptrc9 - Eugenol
Le Choixpeau magique

12/04/2009 à 19h40

growler écrivait:
-----------------
> problème résolu: j'ai mis le flash en "manuel" à pleine puissance, f32 200 iso
> c'est nickel.
>
> donc il semblerait que la compatibilité i-ttl du flash sigma laisse à désirer (à
> moins que ce soit moi qui ne sache pas le paramétrer comme il faut.

Mais tes réglages manuels varieront aussi en fonction des conditions lumineuses dans ton cabinet....

As-tu essayé de modifier le réglage d'expo sur ton appareil ? Pour photographier des dents en gros plan (structures très blanches qui trompent le calculateur d'expo), sur mon Nikon je me mets à +1.


nt

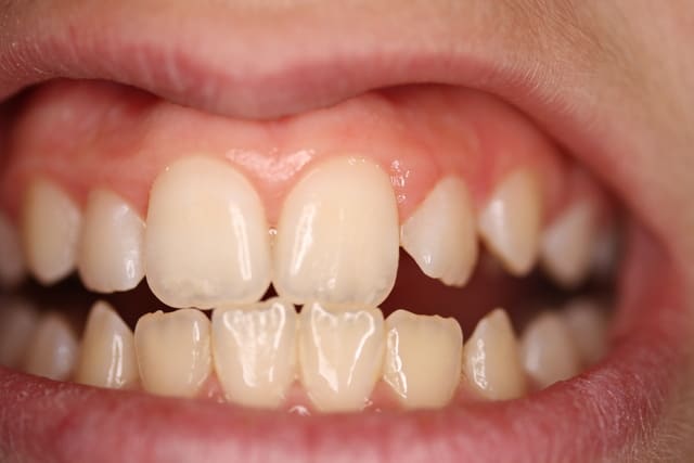
12/04/2009 à 20h58

Je t envoie deux photos. Qu'en penses tu? Merci pour tes préceiux conseils

Photo damien dents 017 yunkol - Eugenol
Photo damien dents 019 pycbpi - Eugenol

Marque a3 orange fyvhyq - Eugenol
Marc Apap

12/04/2009 à 21h05

L'image est floue, il n'y a pas assez de profondeur de champ : il faut donc fermer plus le diaphragme (F11 ou plus)


Photo pluton1b h9n4ea - Eugenol
pluton

12/04/2009 à 21h18

+1...f11 ou plus...et passer en mode manuel, avec sélection du SEUL collimateur central...là la mise au point se fait sur un collimateur périphérique....(le/les collimateurs utilisés sont en rouge lors de la map...et tu peux vérifier en modifiant les paramètres de lecture...tu peux faire afficher les collimateurs actifs...)...mais encore une fois...que le central pour la macro...
pour le efs 60...c'est celui que j'ai...parfaitement satisfait...


nt

13/04/2009 à 03h32

satisfait, meme pour des details tels que fissures et variations de teintes? merci encore


Audi tt 2007 jzsdts - Eugenol
sbire

13/04/2009 à 10h22

bon moi j epasse avec un 50mm, en automatique (enfin position macro)et ca donne ca...

Dsc 0015 oejucj - Eugenol

nt

13/04/2009 à 10h41

bon la preuve est faite de bon matin. je repars à mes réglages.....


Smile beach jgh0a1 - Eugenol
Céramik

13/04/2009 à 16h41

sbire écrivait:
---------------
> bon moi j epasse avec un 50mm, en automatique (enfin position macro)et ca donne
> ca...




...et ça, c'est pas mal, mais pas très bon non plus...
c'est flou dès qu'on arrive aux canines...

--
Céramik


 mg 0207 xwjxcl - Eugenol
Tillc

13/04/2009 à 23h57

il faut augmenter fermer les diphragmes a 20 et faire le point sur la canine pour avoir des centrales aux
amygdales.


003 penrd2 - Eugenol
Cingulum

14/04/2009 à 16h08

photo au 100mm macro... 27 felée


--
Dr Cingulum
-----Ancien interné----
----Attaché à l'apex----

Img 7207  custom  lbkcmt - Eugenol

 mg 0207 xwjxcl - Eugenol
Tillc

14/04/2009 à 16h49

jsuis sure que si tu avais laissé le MV2 non préparé la dent aurait été moins fragile et sans felure :)


Smile beach jgh0a1 - Eugenol
Céramik

14/04/2009 à 20h17

Cingulum écrivait:
------------------
> photo au 100mm macro... 27 felée
>
>
> --
> Dr Cingulum
> -----Ancien interné----
> ----Attaché à l'apex----

Belle photo, bon, aller hop un implant...

--
Céramik


Blue eye thumb medium dx1i0w - Eugenol
bill

16/05/2009 à 03h32

Juste une question aux David Hamilton d'eugénol ;-)

elles pèsent combien vos photos ?
J'ai un 450d et c'est énorme, heureusement j'ai www.reduction-image.com ,le très bon site du pote adhoc pour les réduire...
Quel réglage de qualité d'image ?
Merci.