Cookie Consent byPrivacyPolicies.comDeux petites endos du jour - Eugenol

Deux petites endos du jour

Grueavatar nptrc9 - Eugenol
Le Choixpeau magique

02/04/2009 à 00h38

...avec même une petite touche égyptienne sur la première qui aurait fait plaisir à qui vous savez.

A16pr  oqkwqk - Eugenol
A16post obkelj - Eugenol
B36pr  yauvqg - Eugenol
B36post s0njrj - Eugenol

200106 10150128247663588 709988587 6466236 5598391 n d7mksb - Eugenol
hallboy

02/04/2009 à 00h54

Pas mal du tout ;)


Pa050055 igyagy - Eugenol
mark

03/04/2009 à 01h16

question pour fairch'

les radios post op sans clamp c'est parce que t'assure ou tu irradies deux fois ton patient pour que la photo soit plus belle?

sinon, bravo! :)


Grueavatar nptrc9 - Eugenol
Le Choixpeau magique

03/04/2009 à 11h35

C'est parce que j'assure bien sûr.
Je suis quasiment incapable de faire une radio correcte avec digue et capteur (ou alors avec le digora), donc je n'en fais plus (et vive le root zx).


 00041 v 1  wlw61t - Eugenol
Fredperpi

01/05/2009 à 00h48

superbes obturations, peut tu me dire qu'elle à été ta technique d'obturation dans les 2 cas.
Personnellement, j'ai aussi énormémént de mal à avoir de bon cliché sous digue, meilleur évidemment avec l'argentique mais le pince porte aiguille n'est pas toujours évidente à placer sans trop de déformations de l'image, alors je place un cavit et prend souvent la post op sans digue.
bonne soirée


Grueavatar nptrc9 - Eugenol
Le Choixpeau magique

01/05/2009 à 01h18

Salut, les deux ont été réalisées au Mc Spadden.
Je n'utilise quasiment plus le System B, que je trouve sans soucis pour la descente, mais trop embêtant à gérer pour la remontée.


200106 10150128247663588 709988587 6466236 5598391 n d7mksb - Eugenol
hallboy

01/05/2009 à 13h05

Au Mc Spadden??!!!

:)

Toutes mes felicitations;)


tu peux me donner les details de ta technique?
vitesse calibre taille du cone profondeur , thermo compaction pure? ou Syst B puis Mc spadden??


Marque a3 orange fyvhyq - Eugenol
Marc Apap

01/05/2009 à 17h21

Heure, date, âge du capitaine.. t'es de la police ?
En tous cas, ce qui est sûr, c'est que Choixpeau, qui l'année dernière encore, (me semble-t-il) ne savait pas manier le Gutta condensor, maîtrise apparemment très bien l'engin aujourd'hui.
Bravo !


200106 10150128247663588 709988587 6466236 5598391 n d7mksb - Eugenol
hallboy

01/05/2009 à 17h54

c'est bien parce que c'etait un specialiste de l'helicopter a gutta que le lui demande ;)


Grueavatar nptrc9 - Eugenol
Le Choixpeau magique

01/05/2009 à 18h21

Alors pour la technique:
- j'utilise un condenseur 50, un bon compromis je trouve
- vitesse je ne sais pas trop, bague bleue sur moteur électrique avec le moteur à mi vitesse, peut être dans les 20 000 tours ? Ce qui est sûr, c'est qu'avec les 30 et un bague vert à fond, ça ne marche pas très bien, voire pas du tout.
- ce n'est même pas la technique hybride car je maîtrise mal la latérale à froid. Monocone 6% steriblue ajusté, avec parfois un cône rajouté en coronaire quand il flotte à ce niveau.
- je place mon cône avec un ciment bien visqueux (comme on me l'avait d'ailleurs appris, mais j'avais un peu perdu le coup de main avec le temps), sealite regular.
- je coupe le cone avec un fouloir chaud
- je descend le condenseur à une longueur raisonnable (les 2/3 environ), je ramollis le truc, puis je condense le tout au plugger bleu.

Voilà, je ne crois pas avoir oublié grand chose.
Au final, c'est un peu mieux que le monocone simple et moins galère que tout le reste, alors moi ça me va.

J'ai dû faire du system B pendant deux ans, bizarrement je n'ai jamais eu de soucis avec la descente, mais beaucoup plus sur la remontée (comme en technique schilder d'ailleurs) et comme je ne fais la radio qu'une fois la dent refermée, ça m'a entraîné pas mal de fois des déceptions. Si on ajoute à ça la nécessité de sortir un périphérique de plus, les fouloirs qui finissent par rendre l'âme et l'ergonomie pas toujours géniale avec un cable assez rigide et des boutons qu'il faut tout le temps re-régler, ça ne fait pas partie de mes meilleurs investissements.



 00041 v 1  wlw61t - Eugenol
Fredperpi

01/05/2009 à 20h02

merci pour toutes ces précisions, en ce moment j'utilise le protaper Obturator, mais des lundi je vais essayer ta technique( j'ai les cones adaptés aux protaper F1 et F2), donc on vera si la gutta se ramolit bien : j'avais déja essayé le thermocompacteur mais je restait à 8000tours/mn,compacteur N°35 et je ne coupais pas les cones à l'entrée... vibrations et pas beaucoup d'efficacité...à voir donc des lundi..en tout cas c'est cool d'avoir si bien détaillé ton protocole, merci


55 s2ba7n - Eugenol
Sid

01/05/2009 à 20h34

Le Choixpeau magique écrivait:
------------------------------
> Alors pour la technique:
> - j'utilise un condenseur 50, un bon compromis je trouve
> - vitesse je ne sais pas trop, bague bleue sur moteur électrique avec le moteur
> à mi vitesse, peut être dans les 20 000 tours ? Ce qui est sûr, c'est qu'avec
> les 30 et un bague vert à fond, ça ne marche pas très bien, voire pas du tout.
> - ce n'est même pas la technique hybride car je maîtrise mal la latérale à
> froid. Monocone 6% steriblue ajusté, avec parfois un cône rajouté en coronaire
> quand il flotte à ce niveau.
> - je place mon cône avec un ciment bien visqueux (comme on me l'avait d'ailleurs
> appris, mais j'avais un peu perdu le coup de main avec le temps), sealite
> regular.
> - je coupe le cone avec un fouloir chaud
> - je descend le condenseur à une longueur raisonnable (les 2/3 environ), je
> ramollis le truc, puis je condense le tout au plugger bleu.


La folie, je fais exactement la même chose, après avoir pas mal tatonné sur les dimensions des pluggers et des condensors, j'utilise exactement la même méthode!


>


Marque a3 orange fyvhyq - Eugenol
Marc Apap

01/05/2009 à 22h39

Super ! J'utilise les n° 30 depuis toujours, mais il faut tourner à 40000 tr/mn et ils cassent de temps en temps. Les très gros, OK, mais j'ai un peu peur qu'ils ne ramollissent pas la gutta tout au bout. Apparemment, si. Je vais essayer ça.


200106 10150128247663588 709988587 6466236 5598391 n d7mksb - Eugenol
hallboy

01/05/2009 à 23h20

+ on utilise un gros diametre plus la gutta est rechaufée loin au dela de la pointe de l'instrument. je crois que c'est 3 ou 4 mm pour du 50.
avec la conicité de la prepa, la perte de longueur de l'instrument est largement compensée.

reste le pb des canaux courbes.


Images eb1m5g - Eugenol
tonio

02/05/2009 à 01h52

j'utilise le diamètre 40 depuis 3-4 ans: un bon compromis entre le 30 et le 50... ;-)


Gutt-A

02/05/2009 à 02h00

J'utilise aussi du 40. Mais en ce qui concerne la marque de pointe de Gutta percha, j'ai trouvé que les "stériblue" avait du mal à fondre et j'étai effectivement obligé d'utiliser un CA bleu. Avec les hygenic, ca fond avec un CA vert à fond et une impression que c'est beaucoup plus fluide ...


Grueavatar nptrc9 - Eugenol
Le Choixpeau magique

02/05/2009 à 18h56

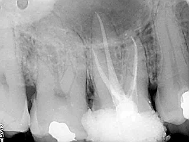
Une petite de ce matin et une plus ancienne, toutes les deux avec la même "recette".
Vous remarquerez en zoomant sur celle de ce matin comme le matériau a bien "squirté" en mésial. Devant de tels résultats, je ne vois pas pourquoi j'irai m'emmerder avec un system B...

Pour les GROS condenseurs, j'ai l'impression parfois que le condenseur se comporte comme un forêt, laissant un gros trou au milieu de la gutta.
Avec un plus moyen, on a plus l'impression de battre des oeufs en neige, si vous me pardonnez la comparaison peu scientifique.

Cematin yrjkt7 - Eugenol
Plusvieux swdvep - Eugenol

200106 10150128247663588 709988587 6466236 5598391 n d7mksb - Eugenol
hallboy

02/05/2009 à 19h09

Vraiment tres joli;)

comment t'assure tu de ne pas propulser audela de l'apex, c e qui est a peu pres le seul risuq du Mc Spadden pur. ?


Grueavatar nptrc9 - Eugenol
Le Choixpeau magique

02/05/2009 à 19h28

Je crois que dans la technique Mc Spadden pure, le compacteur est descendu jusqu'à ou quasiment jusqu'à l'apex, ce qui n'est bien sûr pas possible avec un compacteur 50.
Maintenant, je n'ai encore jamais eu de problème de ce type, je touche du bois pour que ça continue...
Par contre au début avec les 30, j'ai laissé quelques bouts de compacteurs au milieu de la gutta...


Gutt-A

02/05/2009 à 22h04

Ah tu es passé à côté du 3ème canal sur la prémol de droite choixpeau....


Images eb1m5g - Eugenol
tonio

02/05/2009 à 23h16

Good job boy!
Prudence tout de même avec le compacteur, surtout sur les dents porteuses de LIPOE où la constriction apicale est le plus souvent absente. Le dépassement de cône est alors possible voir un puff de gutta.
J'ai déjà eu le coup et cela m'a obligé à faire une résection apicale pour gratter l'excédent.
Par contre, la technique est globalement "sans risque" pour les traitements initiaux si l'on a pris soin de ménager l'apex.
Le débat a déjà été soulevé plusieurs fois mais ce qu'on peut dire c'est qu'il n'y a pas de technique d'obturation universelle, il en faut au moins deux dans son arsenal quotidien. Donc, ne range pas trop vite ton système B... ;-)


 00041 v 1  wlw61t - Eugenol
Fredperpi

03/05/2009 à 00h33

au lieu de ne pas ranger le syst B, pourquoi ne pas garder le protaper Obturateur pour les canaux fins et courbes et obturer les autres globalement avec la séquence de choixpeau qui me semble tres interessante, plus rapide que la latérale mixte mais que je n'ai pas encore essayé (vivement lundi)quoique le week end c'est pas mal aussi...bonne soirée à tous


200106 10150128247663588 709988587 6466236 5598391 n d7mksb - Eugenol
hallboy

04/05/2009 à 17h00

avec du 45.

Mc Spadden pur. Finition au F2

pour faire un coucou a Tonio ;)

R23 sffe6r - Eugenol

 00041 v 1  wlw61t - Eugenol
Fredperpi

05/05/2009 à 23h37

salut choixpeau, j'ai plein de question pour toi : quel et ton secret pour utiliser ces compacteur..je m'explique.
Ce matin endo d'une 16, fine de préparation au protaper F1 pour les canaux Vest et F2 en palatin.
J'ai ajuster les Maitres cones correspondant portaper F1 et F2. J'ai obturer canal par canal en tournant à 20000T/mn avec compacteur taille 55 (je n'ai que 35 ou 55 et le 35 me parait petit).
Bon le probleme étant que les cones de gutta protaper sont tres gros et impossible de descendre le compacteur plus que d'1/3 du canal. J'ai inserrer le compacteur à l'arret et effectuer un petit mouvement de pompage, ca vibre à fond et le cone s'enroule autour du compacteur laissant un vide sur 1.5mm à l'entree du canal.
Donc cet aprem endo d'une 45 ou j'ai mis un cone medium hygenic + cone accessoire et reinserrer le compacteur 55 (le canal étant tres large le compacteur est descendu au 2/3).
Donc faut t'il utilisé des Maitre cone plus petits que les protaper?, faut il utilisé un compacteur plus petit?,Faut t'il réaliser un mouvement de pompage ou juste laisser le compacteur remonter de lui même?Faut il que j'achete tes cone stériblue (6%)peut etre plus adapté au compactage...Merci d'avance pour ta réponse,bonne soirée


200106 10150128247663588 709988587 6466236 5598391 n d7mksb - Eugenol
hallboy

06/05/2009 à 00h29

le 55 c'est un peu gros.

en coupant le cone, on le ramolit un peu dans la partie haute là ou il y a le plus de volume. ça doit aider un peu.

Rapelle toi que l'echauffement est une histoire defriction. perso je ne pompe pas vraiment: en se ramolissant on sent la gutta qui poussée vers le bas entame un cycle qui la fait remonter et semble vouloir repousser le compacteur.il suffit deremonter un peu plus lentement que la gutta semblerait le vouloir.

Je sasi que ça ne parait pas tres clair, mais le Mc spadden, c'est qd mm un tour de main.

avec les differents trucs qu'on t'as donné, c'est qd mm plus simple. apres il faut un pratiquer . ça passe par là.

bien maitrisée, c'est rapide pas cher et reproductible.

On peut mm avoir des canaux lateraux comme la radio que tu as un peu plus haut


12...